XB-ART-41503
J Biol Chem
2010 Aug 20;28534:26406-16. doi: 10.1074/jbc.M109.090340.
Show Gene links
Show Anatomy links
Purified E255L mutant SERCA1a and purified PfATP6 are sensitive to SERCA-type inhibitors but insensitive to artemisinins.
Cardi D, Pozza A, Arnou B, Marchal E, Clausen JD, Andersen JP, Krishna S, Møller JV, le Maire M, Jaxel C.
???displayArticle.abstract???
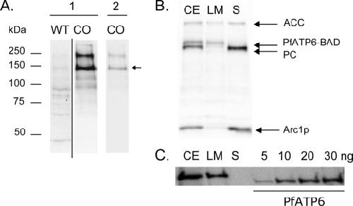
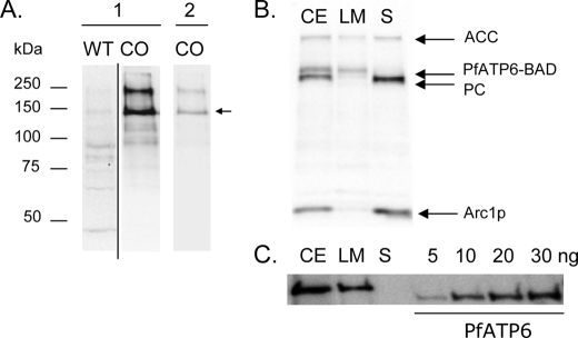
The antimalarial drugs artemisinins have been described as inhibiting Ca(2+)-ATPase activity of PfATP6 (Plasmodium falciparum ATP6) after expression in Xenopus oocytes. Mutation of an amino acid residue in mammalian SERCA1 (Glu(255)) to the equivalent one predicted in PfATP6 (Leu) was reported to induce sensitivity to artemisinin in the oocyte system. However, in the present experiments, we found that artemisinin did not inhibit mammalian SERCA1a E255L either when expressed in COS cells or after purification of the mutant expressed in Saccharomyces cerevisiae. Moreover, we found that PfATP6 after expression and purification from S. cerevisiae was insensitive to artemisinin and significantly less sensitive to thapsigargin and 2,5-di(tert-butyl)-1,4-benzohydroquinone than rabbit SERCA1 but retained higher sensitivity to cyclopiazonic acid, another type of SERCA1 inhibitor. Although mammalian SERCA and purified PfATP6 appear to have different pharmacological profiles, their insensitivity to artemisinins suggests that the mechanism of action of this class of drugs on the calcium metabolism in the intact cell is complex and cannot be ascribed to direct inhibition of PfATP6. Furthermore, the successful purification of PfATP6 affords the opportunity to develop new antimalarials by screening for inhibitors against PfATP6.
???displayArticle.pubmedLink??? 20530490
???displayArticle.pmcLink??? PMC2924071
???displayArticle.link??? J Biol Chem
???displayArticle.grants??? [+]
074395/Z/04/Z Wellcome Trust
Species referenced: Xenopus
Genes referenced: atp2a1 avd bad cpa1 mt-atp6 myh3 pc tert tes
???attribute.lit??? ???displayArticles.show???
References [+] :
Asawamahasakda,
Reaction of antimalarial endoperoxides with specific parasite proteins.
1994, Pubmed
Asawamahasakda, Reaction of antimalarial endoperoxides with specific parasite proteins. 1994, Pubmed
Avery, Structure-activity relationships of the antimalarial agent artemisinin. 1. Synthesis and comparative molecular field analysis of C-9 analogs of artemisinin and 10-deoxoartemisinin. 1993, Pubmed
Baginski, Microdetermination of inorganic phosphate, phospholipids, and total phosphate in biologic materials. 1967, Pubmed
Bhisutthibhan, The Plasmodium falciparum translationally controlled tumor protein homolog and its reaction with the antimalarial drug artemisinin. 1998, Pubmed
Burk, Antimalarial artemisinin drugs induce cytochrome P450 and MDR1 expression by activation of xenosensors pregnane X receptor and constitutive androstane receptor. 2005, Pubmed
Centeno, Expression of the sarcoplasmic reticulum Ca(2+)-ATPase in yeast. 1994, Pubmed
Champeil, Interaction of magnesium and inorganic phosphate with calcium-deprived sarcoplasmic reticulum adenosinetriphosphatase as reflected by organic solvent induced perturbation. 1985, Pubmed
Chen, High-efficiency transformation of mammalian cells by plasmid DNA. 1987, Pubmed
Clausen, Roles of Leu249, Lys252, and Leu253 in membrane segment M3 of sarcoplasmic reticulum Ca2+-ATPase in control of Ca2+ migration and long-range intramolecular communication. 2003, Pubmed
Cojean, Resistance to dihydroartemisinin. 2006, Pubmed
de Pilla Varotti, Synthesis, antimalarial activity, and intracellular targets of MEFAS, a new hybrid compound derived from mefloquine and artesunate. 2008, Pubmed
Dondorp, Artemisinin resistance in Plasmodium falciparum malaria. 2009, Pubmed
Eckstein-Ludwig, Artemisinins target the SERCA of Plasmodium falciparum. 2003, Pubmed , Xenbase
Falson, The cytoplasmic loop between putative transmembrane segments 6 and 7 in sarcoplasmic reticulum Ca2+-ATPase binds Ca2+ and is functionally important. 1997, Pubmed
Ferreira, Plasmodium falciparum from Pará state (Brazil) shows satisfactory in vitro response to artemisinin derivatives and absence of the S769N mutation in the SERCA-type PfATPase6. 2008, Pubmed
Fidock, Recent highlights in antimalarial drug resistance and chemotherapy research. 2008, Pubmed
Garah, Docking studies of structurally diverse antimalarial drugs targeting PfATP6: no correlation between in silico binding affinity and in vitro antimalarial activity. 2009, Pubmed
Gietz, Studies on the transformation of intact yeast cells by the LiAc/SS-DNA/PEG procedure. 1995, Pubmed
Golenser, Current perspectives on the mechanism of action of artemisinins. 2006, Pubmed
Gu, Uptake of [3H] dihydroartemisinine by erythrocytes infected with Plasmodium falciparum in vitro. 1984, Pubmed
Hartwig, Accumulation of artemisinin trioxane derivatives within neutral lipids of Plasmodium falciparum malaria parasites is endoperoxide-dependent. 2009, Pubmed
Haviv, Stabilization of Na(+),K(+)-ATPase purified from Pichia pastoris membranes by specific interactions with lipids. 2007, Pubmed
Haynes, Artemisone--a highly active antimalarial drug of the artemisinin class. 2006, Pubmed
Hedfalk, Production, characterization and crystallization of the Plasmodium falciparum aquaporin. 2008, Pubmed
Hoppe, Antimalarial quinolines and artemisinin inhibit endocytosis in Plasmodium falciparum. 2004, Pubmed
Ittarat, Effect of dihydroartemisinin on the antioxidant capacity of P. falciparum-infected erythrocytes. 2003, Pubmed
Jambou, Resistance of Plasmodium falciparum field isolates to in-vitro artemether and point mutations of the SERCA-type PfATPase6. 2005, Pubmed
Jidenko, Crystallization of a mammalian membrane protein overexpressed in Saccharomyces cerevisiae. 2005, Pubmed
Jidenko, Expression in yeast and purification of a membrane protein, SERCA1a, using a biotinylated acceptor domain. 2006, Pubmed
Juul, Do transmembrane segments in proteolyzed sarcoplasmic reticulum Ca(2+)-ATPase retain their functional Ca2+ binding properties after removal of cytoplasmic fragments by proteinase K? 1995, Pubmed
Kaufman, The phosphorylation state of eucaryotic initiation factor 2 alters translational efficiency of specific mRNAs. 1989, Pubmed
Kimura, Cloning of a Ca(2+)-ATPase gene of Plasmodium falciparum and comparison with vertebrate Ca(2+)-ATPases. 1993, Pubmed
Kombila, Light microscopic changes in Plasmodium falciparum from Gabonese children treated with artemether. 1997, Pubmed
Krishna, Expression and functional characterization of a Plasmodium falciparum Ca2+-ATPase (PfATP4) belonging to a subclass unique to apicomplexan organisms. 2001, Pubmed , Xenbase
Krishna, Artemisinins: their growing importance in medicine. 2008, Pubmed
Kumar, Stage-specific gametocytocidal effect in vitro of the antimalaria drug qinghaosu on Plasmodium falciparum. 1990, Pubmed
Lenoir, Functional properties of sarcoplasmic reticulum Ca(2+)-ATPase after proteolytic cleavage at Leu119-Lys120, close to the A-domain. 2004, Pubmed
Lenoir, Overproduction in yeast and rapid and efficient purification of the rabbit SERCA1a Ca(2+)-ATPase. 2002, Pubmed
Li, Yeast model uncovers dual roles of mitochondria in action of artemisinin. 2005, Pubmed
Lund, Detergent structure and associated lipid as determinants in the stabilization of solubilized Ca2+-ATPase from sarcoplasmic reticulum. 1989, Pubmed
Marchand, Crystal structure of D351A and P312A mutant forms of the mammalian sarcoplasmic reticulum Ca(2+) -ATPase reveals key events in phosphorylation and Ca(2+) release. 2008, Pubmed
Maruyama, Mutation of aspartic acid-351, lysine-352, and lysine-515 alters the Ca2+ transport activity of the Ca2+-ATPase expressed in COS-1 cells. 1988, Pubmed
Meshnick, Artemisinin and the antimalarial endoperoxides: from herbal remedy to targeted chemotherapy. 1996, Pubmed
Møller, Enzyme kinetics and substrate stabilization of detergent-solubilized and membraneous (Ca2+ + Mg2+)-activated ATPase from sarcoplasmic reticulum. Effect of protein-protein interactions. 1980, Pubmed
Montigny, Fe2+ -catalyzed oxidative cleavages of Ca2+ -ATPase reveal novel features of its pumping mechanism. 2004, Pubmed
Nagamune, Artemisinin induces calcium-dependent protein secretion in the protozoan parasite Toxoplasma gondii. 2007, Pubmed
Nagamune, Artemisinin-resistant mutants of Toxoplasma gondii have altered calcium homeostasis. 2007, Pubmed
Nagamune, Comparative genomic and phylogenetic analyses of calcium ATPases and calcium-regulated proteins in the apicomplexa. 2006, Pubmed
Olliaro, Possible modes of action of the artemisinin-type compounds. 2001, Pubmed
O'Neill, The therapeutic potential of semi-synthetic artemisinin and synthetic endoperoxide antimalarial agents. 2005, Pubmed
Pompon, Yeast expression of animal and plant P450s in optimized redox environments. 1996, Pubmed
Riganti, Artemisinin induces doxorubicin resistance in human colon cancer cells via calcium-dependent activation of HIF-1alpha and P-glycoprotein overexpression. 2009, Pubmed
Rigaud, Bio-Beads: an efficient strategy for two-dimensional crystallization of membrane proteins. 1997, Pubmed
Sagara, Inhibition of the sarcoplasmic reticulum Ca2+ transport ATPase by thapsigargin at subnanomolar concentrations. 1991, Pubmed
Sharp, The codon Adaptation Index--a measure of directional synonymous codon usage bias, and its potential applications. 1987, Pubmed
Smith, Measurement of protein using bicinchoninic acid. 1985, Pubmed
Sorensen, Mutation Lys758 --> Ile of the sarcoplasmic reticulum Ca2+-ATPase enhances dephosphorylation of E2P and inhibits the E2 to E1Ca2 transition. 1997, Pubmed
Soulié, Treatment with crystalline ultra-pure urea reduces the aggregation of integral membrane proteins without inhibiting N-terminal sequencing. 1998, Pubmed
Stockwin, Artemisinin dimer anticancer activity correlates with heme-catalyzed reactive oxygen species generation and endoplasmic reticulum stress induction. 2009, Pubmed
Tan, Functional reconstitution of purified chloroquine resistance membrane transporter expressed in yeast. 2006, Pubmed
ter Kuile, Plasmodium falciparum: in vitro studies of the pharmacodynamic properties of drugs used for the treatment of severe malaria. 1993, Pubmed
Thastrup, Thapsigargin, a tumor promoter, discharges intracellular Ca2+ stores by specific inhibition of the endoplasmic reticulum Ca2(+)-ATPase. 1990, Pubmed
Toovey, Effect of artemisinins and amino alcohol partner antimalarials on mammalian sarcoendoplasmic reticulum calcium adenosine triphosphatase activity. 2008, Pubmed
Toyoshima, Structural changes in the calcium pump accompanying the dissociation of calcium. 2002, Pubmed
Uhlemann, A single amino acid residue can determine the sensitivity of SERCAs to artemisinins. 2005, Pubmed , Xenbase
Varotti, Plasmodium falciparum malaria parasites display a THG-sensitive Ca2+ pool. 2003, Pubmed
Vial, Phospholipids in parasitic protozoa. 2003, Pubmed
Vilsen, Functional consequences of alterations to amino acids located in the hinge domain of the Ca(2+)-ATPase of sarcoplasmic reticulum. 1991, Pubmed
Vyas, Carrier-mediated partitioning of artemisinin into Plasmodium falciparum-infected erythrocytes. 2002, Pubmed
White, Qinghaosu (artemisinin): the price of success. 2008, Pubmed
Witting, Reaction of human myoglobin and nitric oxide. Heme iron or protein sulfhydryl (s) nitrosation dependence on the absence or presence of oxygen. 2001, Pubmed
Woodrow, Artemisinins. 2005, Pubmed
Zhang, Analysis of the antimalarial drug resistance protein Pfcrt expressed in yeast. 2002, Pubmed
Zhang, No PfATPase6 S769N mutation found in Plasmodium falciparum isolates from China. 2008, Pubmed
