|
Figure 1 Reduction of Pax6 protein by morpholino treat- ment. A: Western blot using polyclonal Pax6 antibodies on proteins from whole embryos carrying control morpholino (MO CO) or Pax6 antisense-morpholino (MO Pax6), or from isolated heads at developmental Stages 20, 32, and 38. Immunoreactive bands migrate between Mr 48 and 54 kD. Aliquots of the same extracts were analyzed for bactin (lower panel). B: Immunofluorescent staining for Pax6 on eyes from control (CO MO) and Pax6-inhibited (Pax6 MO) Stage 42 tadpoles. Small-eyed phenotypes show retinal folding (top right, bottom left) and duplications (bottom middle). Rudimentary eye anlagen contain a reduced num- ber of Pax6 expressing cells (bottom right). Bar, 50 um. [Color figure can be viewed in the online issue, which is available at wileyonlinelibrary.com.] |
|
Figure 2 External phenotypes of Pax6, mNcad, Ncad, and NCAM knockdown embryos. A: Representative tadpoles at Stage 45 carrying control morpholino (CO MO) or antisense morpholino against Pax6 (Pax6 MO) or individual Pax6-de- pendent genes coding for the cell adhesion molecules (mNcad MO, Ncad MO, or NCAM MO). Pax6 MO, two small-eyed Pax6-deficient tadpoles and one \eyeless" indi- vidual. Note the delay in differentiation of the intestinal tract, the most severe case presenting prolapse (arrow). mNcad MO, two small-eyed individuals with delayed differentiation of the intestinal tract. Ncad MO, two small-eyed individuals with delayed differentiation including the intestinal tract. NCAM MO, tadpole with slightly decreased eye size and normal differentiation of the body. B: Normal neurula (CO MO) and two arrested gastrulae (mNcad MO) with dissociat- ing cells in one body half, resulting from injection of 15 ng of morpholino directed against mNcad into one cell of the two-cell stage. C: Frequency of external phenotypes, scored at Stage 42. Averages of 3â6 experimental series with >100 injected embryos. Embryos were injected with no (none), control (CO) or with antisense morpholino (MO) against Pax6, mNcad, Ncad, or NCAM. OK, normal embryos; eye, reduced or rudimentary eyes; def, various deformities (microcephaly, axial disturbance, bent tail) considered to be non-specific; diss, entirely dissociated embryos, most often, accompanied by disturbances in the digestive tract; dead, le- thal before Stage 42. [Color figure can be viewed in the online issue, which is available at wileyonlinelibrary.com.] |
|
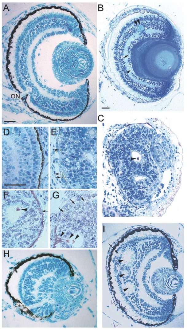
Figure 3 Retinal disturbances in tadpoles deficient for Pax6 (B,C,E), mNcad (F,G,I) or Ncad (H).Representative semithin sections through eyes between Stages 38â48. A: Control Stage 42 with correct retinal lamination. ON, optic nerve. B: Eye of Pax6-deficient Stage 48 tadpole with small photoreceptor rosettes (arrowheads) and reduced number of ganglion cells (arrows). C: Eye of a Pax6-deficient, albino tadpole (Stage 48) displaying distorted eye axis, a poorly differentiated lens, and severely disturbed lamination with rosette formation and a displaced cluster of RPE cells (arrowhead). Note retarded neuronal differentiation. D: RPE-neural retinal interface of a control retina (Stage 40) with correct apposition of photoreceptors onto RPE. E: Age-matched Pax6-deficient retina with a poorly defined interface between RPE and neural retina (arrows). F,G: Dis- turbed interface (arrows) with rosettes and displaced RPE cells (arrowheads) in an mN caddeficient retina (Stage 38). H: Small-eyed phenotype caused by Ncad deficiency (Stage 42). I: Multiple rosettes (arrowheads) and a duplication of inner retina (arrow) in an mNcad-deficient Stage 46 tad- pole. Bars, 50 um (A), (DâG), (B,C,H,I). |
|
Figure 4 Photoreceptor rosettes in retinas deficient for Pax6 (A), mNcad (B), Ncad (C), and NCAM (D). Cryostat sections and confocal microscopy of Stage 42 tadpoles using antiserum to photoreceptors (red) and monoclonal antibody to vimentin (green) to reveal radial glia. A: Mu Ìller cell endfeet (arrowheads) directed toward the RPE layer (arrows), indicating the presence of a second retina in mir- ror orientation. B: Rosette (arrowhead) and a corresponding gap (arrows) in the photoreceptor layer suggesting displace- ment of outer into inner retina. C: Heavy disruption of photoreceptor layer (arrows) and rosette formation (arrow- heads). D: Numerous rosettes (arrowheads) and Mu Ìller cell endfeet (arrow) in the outer retina. Bar, 50 um. |
|
Figure 5 Duplication of inner retinal layers in Pax6 (A,B), mNcad (C), Ncad (D), and (E) tadpoles (Stage 42). Cryostat sections and confocal microscopy using polyclonal antibodies to Pax6 (red) and monoclonal antibody to syn- taxin (green). Duplications are marked by an arrowhead. B: Note duplication in the rudimentary eye, in spite of reduced number of neurons. D: Cluster of Pax6-positive nuclei in outer retina in the absence of a differentiated inner plexiform layer (arrowhead). D,E: Staining of the lens is not specific. Bars, 50 uM (AâD), (E). |
|
Figure 6 Normal and reduced expression of mRNAs cod- ing for Pax6 and the cell adhesion molecules mNcad, Ncad or NCAM. A: Normal expression during development (Stage 1â 38). Relative mRNA levels are normalized to 18S rRNA. B: Average mRNA levels of Pax6 (n 1â4 7 batches of 5 embryos each), mNcad (n 1â4 12), Ncad (n 1â4 6) and NCAM (n 1â4 9) in Pax6 knockdown embryos at Stage 32. The respective mRNA levels are given as ratio over that of sibling control embryos. For statistical significance see text. C: Expression of mNcad mRNA in control (MO CO) and Pax6 knockdown (MO Pax6) embryos during development. Average of 5 independent ex- perimental series. [Color figure can be viewed in the online issue, which is available at wileyonlinelibrary.com.] |
|
Figure 7 Rescue of target gene expression by Pax6. A: Steady state Pax6, mNcad, Ncad, and NCAM mRNA levels in embryos (Stage 30) carrying either control (MO-CO) or anti-Pax6 morpholino (MO-Pax6), mixed with a CMV- driven expression vector coding for either red fluorescent protein (CMV-Red) or Pax6 (CMV-Pax6). B: Frequency of phenotypes (Stage 36) in sibling embryos (treated as in A). OK, normal; eye, small or defective eye; def, other malfor- mations. C: Western blots for mNcad and bactin in knock- down and rescued embryos (as in A, Stage 30). The smaller reactive band is a degradation product. D: mNcad mRNA levels in embryos (Stage 30) carrying anti-Pax6 (MO-Pax6) or anti-mNcad morpholino (MO-mNcad) and CMV-Red or CMV-mNcad vector. E: Frequency of phenotypes in sibling embryos (Stage 36; treated as in D, phenotypes as in B). [Color figure can be viewed in the online issue, which is available at wileyonlinelibrary.com.] |
|
Figure 8 Chromatin immunoprecipitation of Pax6-binding motifs in genes coding for cell adhesion molecules. A: Sketch of promoter regions of the genes coding for mNcad, Ncad, and NCAM. Hypothetical Pax6-binding sites, revealed by computer search, are indicated by circles of varying diameter, reflecting their respective scores. Amplicons (boxes) of pro- moter regions (PRO) or an intragenic region (CO) may origi- nate from DNA fragments extending 250â500 bp (lozenge) on either side. Repetitive elements (stippled line) and so far not sequenced segments (N) preclude analysis of the proximal promoter region of mNcad. B: ChIP analysis of the four gene regions mNcad PRO and CO, Ncad PRO and NCAM PRO, with histone H3 antibodies yields near-equal values in both head and tail chromatin, expressed as percent of the input ma- terial precipitated. Average from two experiments 6 SD. C: ChIP analysis with anti-Clock and anti-Pax6 antibodies on the same gene regions as in B. Note that about twice as many fragments of the promoter regions of the three genes coding for cell adhesion proteins were precipitated from chromatin preparations of heads by Pax6 antibody as compared to the nonspecific anti-Clock antibody. [Color figure can be viewed in the online issue, which is available at wileyonlinelibrary. com.] |