Click here to close
Hello! We notice that you are using Internet Explorer, which is not supported by Xenbase and may cause the site to display incorrectly.
We suggest using a current version of Chrome,
FireFox, or Safari.
???displayArticle.abstract???
Individual cell shape changes are essential for epithelial morphogenesis. A transcriptional network for epithelial cell shape change is emerging in Drosophila, but this area remains largely unexplored in vertebrates. The distinction is important as so far, key downstream effectors of cell shape change in Drosophila appear not to be conserved. Rather, Shroom3 has emerged as a central effector of epithelial morphogenesis in vertebrates, driving both actin- and microtubule-based cell shape changes. To date, the morphogenetic role of Shroom3 has been explored only in the neural epithelium, so the broad expression of this gene raises two important questions: what are the requirements for Shroom3 in non-neural tissues and what factors control Shroom3 transcription? Here, we show in Xenopus that Shroom3 is essential for cell shape changes and morphogenesis in the developing vertebrate gut and that Shroom3 transcription in the gut requires the Pitx1 transcription factor. Moreover, we show that Pitx proteins directly activate Shroom3 transcription, and we identify Pitx-responsive regulatory elements in the genomic DNA upstream of Shroom3. Finally, we show that ectopic expression of Pitx proteins is sufficient to induce Shroom3-dependent cytoskeletal reorganization and epithelial cell shape change. These data demonstrate new breadth to the requirements for Shroom3 in morphogenesis, and they also provide a cell-biological basis for the role of Pitx transcription factors in morphogenesis. More generally, these results provide a foundation for deciphering the transcriptional network that underlies epithelial cell shape change in developing vertebrates.
Fig. 1. Shroom3 is essential for morphogenesis of the developing Xenopus gut. (A) The expression pattern of Shroom3 in a normal stage 43 dissected gut. Shroom3 is robustly expressed in the foregut (arrow). (B,Bâ²) Normal gut looping in a control stage 46 embryo injected with mRNA encoding GFP only (green in Bâ²). (C,Câ²) Gut looping is disrupted following dominant-negative (DN)-Shroom3 expression (as marked by GFP, green in Câ²). (D,E) Control gut (D) and DN-Shroom3-injected (E) gutepithelium. GFP-positive gut epithelial cells display a high-columnar morphology in controls, whereas cells expressing GFP and DN-Shroom3 display more rounded shapes.
Fig. 2. Shroom3 is essential for cell shape change during gut morphogenesis. (A) Diagram of a transverse section of the stage 32 Xenopus embryo. (B) Shroom3 expression in the endoderm at stage 32. Note the robust Shroom3 expression (arrow) in the archenteron floor and roof. (C) α-tubulin staining of the archenteron floor in a control embryo. The archenteron floor displays a V-shaped morphology. (D) Archenteron floor morphology is disrupted and microtubule (MT) arrays are reduced in cells lacking Shroom3. We observed a less acute archenteron floor angle in Shroom3 MO-injected embryos (P=0.001, Mann-Whitney U-test). Moreover, archenteron floor thickness is reduced from 68±1 μm (mean ± s.e.m.; n=13) in control embryos to 59±1 μm (n=21) (P=0.0003) in Shroom3 MO-injected embryos. (E) γ-tubulin staining of the archenteron floor in a control embryo. (F) γ-tubulin accumulation is reduced in archenteron floor cells lacking Shroom3 function. (G) ZO-1 staining of tight junctions in archenteron floor cells. (H) The apical surface of archenteron floor cells is less constricted in the Shroom3 morphant embryo. ZO-1 localization is not affected. Scale bars: 10 μm.
Fig. 3. Pitx1 and Shroom3 are co-expressed in the developing gut. (A-C) Expression patterns of (A) Pitx1 and (B) Shroom3 in a transverse section of the stage 32 Xenopus embryo, as schematized in C. Both Shroom3 and Pitx1 are expressed in the archenteron roof and floor (arrowheads). (D,E) At stage 44, a ventral view of dissected guts reveals that both (D) Pitx1 and (E) Shroom3 are expressed in the foregut (arrows).
Fig. 4. Pitx1 controls Shroom3 expression in the developing gut. (A,B) Transverse sections showing Shroom3 expression in (A) a control Xenopus embryo and (B) the Pitx1 MO-injected embryo, where Shroom3 expression is reduced in the archenteron floor (arrows). The regions indicated by the arrows in A and B approximate to those shown at higher magnification in C,E and D,F, respectively. (C) α-tubulin staining of control archenteron floor cells. (D) α-tubulin staining of archenteron floor cells lacking Pitx1. The archenteron floor fails to take on its deep V-shaped morphology, showing an average archenteron floor angle 132±4° (mean ± s.e.m.; n=22), compared with 62±5° (n=16) (P<0.0001) in control embryos. Moreover, the archenteron thickness is reduced from 90±3 μm (mean ± s.e.m.; n=13) to 68±3 μm (n=17) (P<0.001). (E) γ-tubulin staining of the archenteron floor in the control embryo. (F) γ-tubulin accumulates less in archenteron floor cells lacking Pitx1. (G) ZO-1 staining of control archenteron floor cells. (H) The apical surface of archenteron floor cells is less constricted in the Pitx1 knockdown embryo, whereas ZO-1 localization is not affected. Scale bars: 10 μm.
Fig. 5. Pitx1 is essential for Xenopus gut morphogenesis. (A,Aâ²,C,Câ²) Ventral (A,Aâ²) and lateral (C,Câ²) views of a stage 44 dissected control gut reveal Shroom3 expression in the foregut (arrow in A). In the diagrams, Shroom3 expression is represented in purple and normal gut looping by the black line. (B,Bâ²,D,Dâ²) Ventral (B,Bâ²) and lateral (D,Dâ²) views of dissected guts lacking Pitx1 reveal reduced Shroom3 expression in the foregut (arrow in B). The Pitx1 morphant displays a failure of looping (red line) in the foregut, corresponding to regions of disrupted Shroom3 expression.
Fig. 6. Ectopic Pitx1 activates Shroom3 expression. (A) Stage 19 control Xenopus embryo. (B) Ectopic expression of Pitx1 in the epidermis induces ectopic pigment accumulation, similar to that induced by Shroom3 expression (Haigo et al., 2003; Lee et al., 2007). (C) Shroom3 expression pattern in a control embryo. (D) Ectopic Pitx1 expression activates ectopic Shroom3 expression in the epidermis. (E,F) Control (E) and Pitx3-injected (F) embryos. Ectopic Pitx3 also induces pigment accumulation. (G) Control Shroom3 expression pattern. (H) Ectopic Pitx3 expression activates ectopic Shroom3 expression in the epidermis. (I) Experimental scheme for the animal cap assay. Pitx1 mRNA (100 pg) was injected into the animal pole at the 4-cell stage. Animal caps were dissected at stage 8 and cultured to stage 16. (J) Shroom3 and Shroom1 expression levels in whole embryos, control caps, and Pitx1-injected caps were analyzed by RT-PCR using Xag1 as a positive control and Ef1α as a loading control. Shroom3 expression is induced following Pitx1 expression. (K) Shroom3 expression is induced following Pitx3 expression in animal caps.
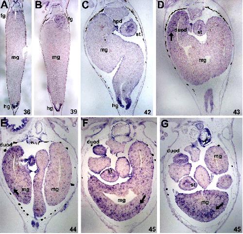
Fig. S1. Shroom3 is widely expressed in the developing gut. (A-G) Shroom3 expression pattern shown by in situ hybridization of gut sections at the stages indicated at the lower right of each panel. Duod, duodenum; mg, midgut; fg, foregut; st, stomach; hg, hindgut.
Barrett,
The Rho GTPase and a putative RhoGEF mediate a signaling pathway for the cell shape changes in Drosophila gastrulation.
1997, Pubmed
Barrett,
The Rho GTPase and a putative RhoGEF mediate a signaling pathway for the cell shape changes in Drosophila gastrulation.
1997,
Pubmed Borghese,
Systematic analysis of the transcriptional switch inducing migration of border cells.
2006,
Pubmed Burnside,
Analysis of morphogenetic movements in the neural plate of the newt Taricha torosa.
1968,
Pubmed Capdevila,
Mechanisms of left-right determination in vertebrates.
2000,
Pubmed
,
Xenbase Chalmers,
Development of the gut in Xenopus laevis.
1998,
Pubmed
,
Xenbase Chalmers,
The Xenopus tadpole gut: fate maps and morphogenetic movements.
2000,
Pubmed
,
Xenbase Christiaen,
The transcription/migration interface in heart precursors of Ciona intestinalis.
2008,
Pubmed Davies,
Synthetic morphology: prospects for engineered, self-constructing anatomies.
2008,
Pubmed Davis,
The chirality of gut rotation derives from left-right asymmetric changes in the architecture of the dorsal mesentery.
2008,
Pubmed Faas,
Overlapping functions of Cdx1, Cdx2, and Cdx4 in the development of the amphibian Xenopus tropicalis.
2009,
Pubmed
,
Xenbase Fairbank,
Shroom2 (APXL) regulates melanosome biogenesis and localization in the retinal pigment epithelium.
2006,
Pubmed
,
Xenbase Gage,
The bicoid-related Pitx gene family in development.
1999,
Pubmed Gage,
Dosage requirement of Pitx2 for development of multiple organs.
1999,
Pubmed Gammill,
Identification of otx2 target genes and restrictions in ectodermal competence during Xenopus cement gland formation.
1997,
Pubmed
,
Xenbase Häcker,
DRhoGEF2 encodes a member of the Dbl family of oncogenes and controls cell shape changes during gastrulation in Drosophila.
1998,
Pubmed Hagens,
A new standard nomenclature for proteins related to Apx and Shroom.
2006,
Pubmed
,
Xenbase Haigo,
Shroom induces apical constriction and is required for hingepoint formation during neural tube closure.
2003,
Pubmed
,
Xenbase Hildebrand,
Shroom, a PDZ domain-containing actin-binding protein, is required for neural tube morphogenesis in mice.
1999,
Pubmed Hildebrand,
Shroom regulates epithelial cell shape via the apical positioning of an actomyosin network.
2005,
Pubmed Horb,
Endoderm specification and differentiation in Xenopus embryos.
2001,
Pubmed
,
Xenbase Jacobson,
Changes in the shape of the developing vertebrate nervous system analyzed experimentally, mathematically and by computer simulation.
1976,
Pubmed Kitamura,
Mouse Pitx2 deficiency leads to anomalies of the ventral body wall, heart, extra- and periocular mesoderm and right pulmonary isomerism.
1999,
Pubmed Kolm,
Efficient hormone-inducible protein function in Xenopus laevis.
1995,
Pubmed
,
Xenbase Kölsch,
Control of Drosophila gastrulation by apical localization of adherens junctions and RhoGEF2.
2007,
Pubmed Lamonerie,
Ptx1, a bicoid-related homeo box transcription factor involved in transcription of the pro-opiomelanocortin gene.
1996,
Pubmed Larkin,
Ventral cell rearrangements contribute to anterior-posterior axis lengthening between neurula and tailbud stages in Xenopus laevis.
1999,
Pubmed
,
Xenbase Lee,
The shroom family proteins play broad roles in the morphogenesis of thickened epithelial sheets.
2009,
Pubmed
,
Xenbase Lee,
Whole-mount fluorescence immunocytochemistry on Xenopus embryos.
2008,
Pubmed
,
Xenbase Lee,
Shroom family proteins regulate gamma-tubulin distribution and microtubule architecture during epithelial cell shape change.
2007,
Pubmed
,
Xenbase Leptin,
Cell shape changes during gastrulation in Drosophila.
1990,
Pubmed Li,
Sfrp5 coordinates foregut specification and morphogenesis by antagonizing both canonical and noncanonical Wnt11 signaling.
2008,
Pubmed
,
Xenbase Logan,
The transcription factor Pitx2 mediates situs-specific morphogenesis in response to left-right asymmetric signals.
1998,
Pubmed Matsuyama,
Sfrp controls apicobasal polarity and oriented cell division in developing gut epithelium.
2009,
Pubmed Moody,
Segregation of fate during cleavage of frog (Xenopus laevis) blastomeres.
1990,
Pubmed
,
Xenbase Morize,
Hyperactivation of the folded gastrulation pathway induces specific cell shape changes.
1998,
Pubmed Muller,
Left-right asymmetric morphogenesis in the Xenopus digestive system.
2003,
Pubmed
,
Xenbase Myat,
Epithelial tube morphology is determined by the polarized growth and delivery of apical membrane.
2002,
Pubmed Newport,
A major developmental transition in early Xenopus embryos: II. Control of the onset of transcription.
1982,
Pubmed
,
Xenbase Nikolaidou,
A Rho GTPase signaling pathway is used reiteratively in epithelial folding and potentially selects the outcome of Rho activation.
2004,
Pubmed Nishimura,
Shroom3-mediated recruitment of Rho kinases to the apical cell junctions regulates epithelial and neuroepithelial planar remodeling.
2008,
Pubmed Plageman,
Pax6-dependent Shroom3 expression regulates apical constriction during lens placode invagination.
2010,
Pubmed Pommereit,
Xpitx3: a member of the Rieg/Pitx gene family expressed during pituitary and lens formation in Xenopus laevis.
2001,
Pubmed
,
Xenbase Reed,
Morphogenesis of the primitive gut tube is generated by Rho/ROCK/myosin II-mediated endoderm rearrangements.
2009,
Pubmed
,
Xenbase Rodríguez-León,
Pitx2 regulates gonad morphogenesis.
2008,
Pubmed Rogers,
Drosophila RhoGEF2 associates with microtubule plus ends in an EB1-dependent manner.
2004,
Pubmed Schoenwolf,
Microsurgical analyses of avian neurulation: separation of medial and lateral tissues.
1988,
Pubmed Schoenwolf,
Cell movements driving neurulation in avian embryos.
1991,
Pubmed Schweickert,
Differential gene expression of Xenopus Pitx1, Pitx2b and Pitx2c during cement gland, stomodeum and pituitary development.
2001,
Pubmed
,
Xenbase Stancheva,
DNA methylation at promoter regions regulates the timing of gene activation in Xenopus laevis embryos.
2002,
Pubmed
,
Xenbase Sweeton,
Gastrulation in Drosophila: the formation of the ventral furrow and posterior midgut invaginations.
1991,
Pubmed Viamontes,
Cell shape changes and the mechanism of inversion in Volvox.
1977,
Pubmed Wallingford,
Neural tube closure and neural tube defects: studies in animal models reveal known knowns and known unknowns.
2005,
Pubmed Wang,
Analysis of cell migration using whole-genome expression profiling of migratory cells in the Drosophila ovary.
2006,
Pubmed Zeitlinger,
Whole-genome ChIP-chip analysis of Dorsal, Twist, and Snail suggests integration of diverse patterning processes in the Drosophila embryo.
2007,
Pubmed