XB-ART-41270
PLoS Pathog
2010 Jan 29;61:e1000741. doi: 10.1371/journal.ppat.1000741.
Show Gene links
Show Anatomy links
Nucleoporin 153 arrests the nuclear import of hepatitis B virus capsids in the nuclear basket.
Schmitz A, Schwarz A, Foss M, Zhou L, Rabe B, Hoellenriegel J, Stoeber M, Panté N, Kann M.
???displayArticle.abstract???
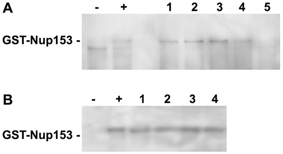
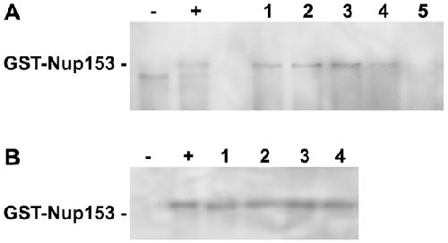
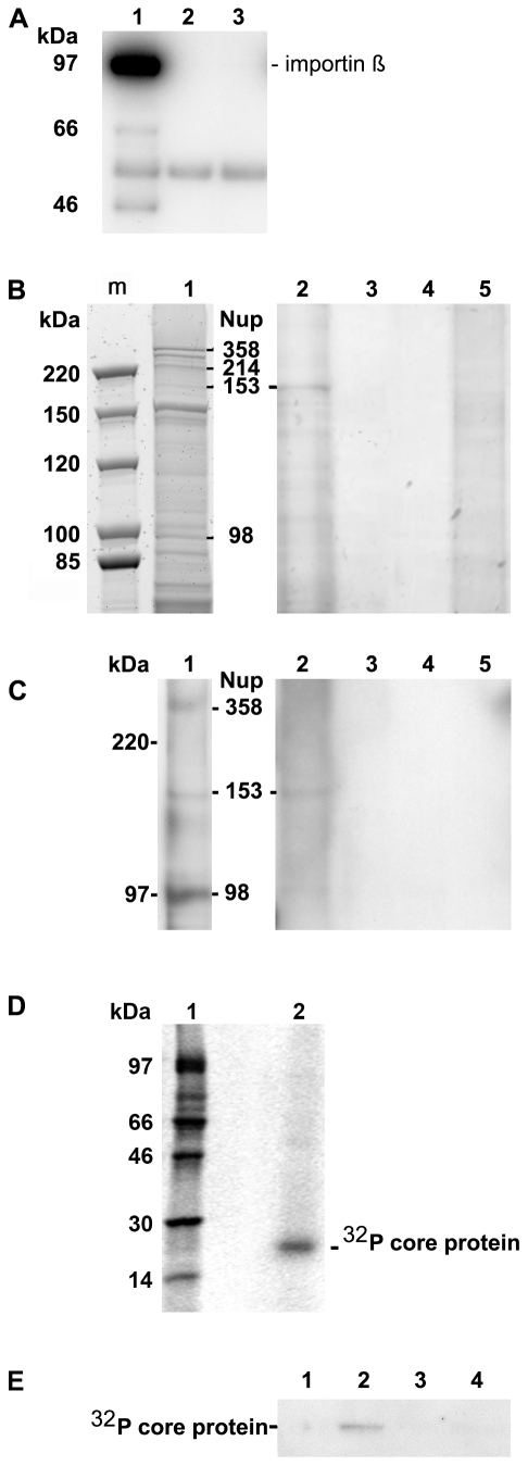
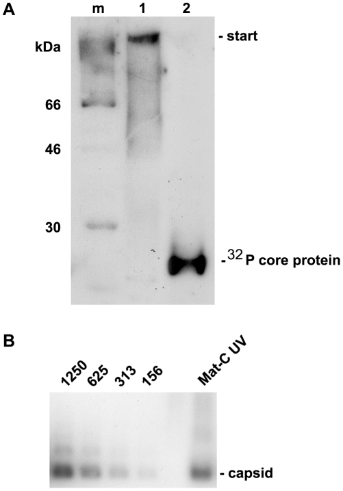
Virtually all DNA viruses including hepatitis B viruses (HBV) replicate their genome inside the nucleus. In non-dividing cells, the genome has to pass through the nuclear pore complexes (NPCs) by the aid of nuclear transport receptors as e.g. importin beta (karyopherin). Most viruses release their genome in the cytoplasm or at the cytosolic face of the NPC, as the diameter of their capsids exceeds the size of the NPC. The DNA genome of HBV is derived from reverse transcription of an RNA pregenome. Genome maturation occurs in cytosolic capsids and progeny capsids can deliver the genome into the nucleus causing nuclear genome amplification. The karyophilic capsids are small enough to pass the NPC, but nuclear entry of capsids with an immature genome is halted in the nuclear basket on the nuclear side of the NPC, and the genome remains encapsidated. In contrast, capsids with a mature genome enter the basket and consequently liberate the genome. Investigating the difference between immature and mature capsids, we found that mature capsids had to disintegrate in order to leave the nuclear basket. The arrest of a karyophilic cargo at the nuclear pore is a rare phenomenon, which has been described for only very few cellular proteins participating in nuclear entry. We analyzed the interactions causing HBV capsid retention. By pull-down assays and partial siRNA depletion, we showed that HBV capsids directly interact with nucleoporin 153 (Nup153), an essential protein of the nuclear basket which participates in nuclear transport via importin beta. The binding sites of importin beta and capsids were shown to overlap but capsid binding was 150-fold stronger. In cellulo experiments using digitonin-permeabilized cells confirmed the interference between capsid binding and nuclear import by importin beta. Collectively, our findings describe a unique nuclear import strategy not only for viruses but for all karyophilic cargos.
???displayArticle.pubmedLink??? 20126445
???displayArticle.pmcLink??? PMC2813275
???displayArticle.link??? PLoS Pathog
???displayArticle.grants??? [+]
Species referenced: Xenopus laevis
Genes referenced: brap kpnb1 nup153
???attribute.lit??? ???displayArticles.show???
References [+] :
Adam,
Identification of cytosolic factors required for nuclear location sequence-mediated binding to the nuclear envelope.
1994, Pubmed
Adam, Identification of cytosolic factors required for nuclear location sequence-mediated binding to the nuclear envelope. 1994, Pubmed
Adam, Nuclear protein import in permeabilized mammalian cells requires soluble cytoplasmic factors. 1990, Pubmed , Xenbase
Asabe, The size of the viral inoculum contributes to the outcome of hepatitis B virus infection. 2009, Pubmed
Ball, Versatility at the nuclear pore complex: lessons learned from the nucleoporin Nup153. 2005, Pubmed
Bapteste, The two tempos of nuclear pore complex evolution: highly adapting proteins in an ancient frozen structure. 2005, Pubmed
Ben-Efraim, Gradient of increasing affinity of importin beta for nucleoporins along the pathway of nuclear import. 2001, Pubmed
Blobel, Nuclei from rat liver: isolation method that combines purity with high yield. 1966, Pubmed
Bodoor, Sequential recruitment of NPC proteins to the nuclear periphery at the end of mitosis. 1999, Pubmed
Bourne, Quantitative analysis of HBV cccDNA from clinical specimens: correlation with clinical and virological response during antiviral therapy. 2007, Pubmed
Ceres, Weak protein-protein interactions are sufficient to drive assembly of hepatitis B virus capsids. 2002, Pubmed
Crowther, Three-dimensional structure of hepatitis B virus core particles determined by electron cryomicroscopy. 1994, Pubmed
D'Angelo, Nuclear pores form de novo from both sides of the nuclear envelope. 2006, Pubmed , Xenbase
Davis, Nuclear pore complex contains a family of glycoproteins that includes p62: glycosylation through a previously unidentified cellular pathway. 1987, Pubmed
Davis, Identification and characterization of a nuclear pore complex protein. 1986, Pubmed
DeGrasse, Evidence for a shared nuclear pore complex architecture that is conserved from the last common eukaryotic ancestor. 2009, Pubmed
Denning, Disorder in the nuclear pore complex: the FG repeat regions of nucleoporins are natively unfolded. 2003, Pubmed
Dryden, Native hepatitis B virions and capsids visualized by electron cryomicroscopy. 2006, Pubmed
Fahrenkrog, Domain-specific antibodies reveal multiple-site topology of Nup153 within the nuclear pore complex. 2002, Pubmed , Xenbase
Feldherr, The molecular mechanism of translocation through the nuclear pore complex is highly conserved. 2002, Pubmed
Gao, Formation of hepatitis B virus covalently closed circular DNA: removal of genome-linked protein. 2007, Pubmed
Garcia-Segura, Distribution of nuclear pores and chromatin organization in neurons and glial cells of the rat cerebellar cortex. 1989, Pubmed
Gazina, Core protein phosphorylation modulates pregenomic RNA encapsidation to different extents in human and duck hepatitis B viruses. 2000, Pubmed
Gerelsaikhan, Hepatitis B virus nucleocapsid envelopment does not occur without genomic DNA synthesis. 1996, Pubmed
Glebe, Viral and cellular determinants involved in hepadnaviral entry. 2007, Pubmed
Görlich, Distinct functions for the two importin subunits in nuclear protein import. 1995, Pubmed , Xenbase
Görlich, Isolation of a protein that is essential for the first step of nuclear protein import. 1994, Pubmed , Xenbase
Greber, The role of the nuclear pore complex in adenovirus DNA entry. 1997, Pubmed
Guo, Characterization of the intracellular deproteinized relaxed circular DNA of hepatitis B virus: an intermediate of covalently closed circular DNA formation. 2007, Pubmed
Harborth, Identification of essential genes in cultured mammalian cells using small interfering RNAs. 2001, Pubmed
Hase, Direct interaction with nup153 mediates binding of Tpr to the periphery of the nuclear pore complex. 2003, Pubmed
Hindley, A role for transportin in the nuclear import of adenovirus core proteins and DNA. 2007, Pubmed
Kann, Effect of core protein phosphorylation by protein kinase C on encapsidation of RNA within core particles of hepatitis B virus. 1994, Pubmed
Kann, Phosphorylation-dependent binding of hepatitis B virus core particles to the nuclear pore complex. 1999, Pubmed
Krull, Nucleoporins as components of the nuclear pore complex core structure and Tpr as the architectural element of the nuclear basket. 2004, Pubmed
Lanford, Construction and characterization of an SV40 mutant defective in nuclear transport of T antigen. 1984, Pubmed
Leung, NOPdb: Nucleolar Proteome Database. 2006, Pubmed
Lim, From the trap to the basket: getting to the bottom of the nuclear pore complex. 2006, Pubmed
Mackay, The nucleoporin Nup153 has separable roles in both early mitotic progression and the resolution of mitosis. 2009, Pubmed
Matsuura, Nup50/Npap60 function in nuclear protein import complex disassembly and importin recycling. 2005, Pubmed
Melegari, Hepatitis B virus DNA replication is coordinated by core protein serine phosphorylation and HBx expression. 2005, Pubmed
Miller, Nuclear pore complex: structure, function, and regulation. 1991, Pubmed
Moriyama, Immunobiology and pathogenesis of hepatocellular injury in hepatitis B virus transgenic mice. 1990, Pubmed
Moroianu, Mammalian karyopherin alpha 1 beta and alpha 2 beta heterodimers: alpha 1 or alpha 2 subunit binds nuclear localization signal and beta subunit interacts with peptide repeat-containing nucleoporins. 1995, Pubmed
Nakielny, Nup153 is an M9-containing mobile nucleoporin with a novel Ran-binding domain. 1999, Pubmed
Nassal, The arginine-rich domain of the hepatitis B virus core protein is required for pregenome encapsidation and productive viral positive-strand DNA synthesis but not for virus assembly. 1992, Pubmed
Ojala, Herpes simplex virus type 1 entry into host cells: reconstitution of capsid binding and uncoating at the nuclear pore complex in vitro. 2000, Pubmed
Panté, Use of intact Xenopus oocytes in nucleocytoplasmic transport studies. 2006, Pubmed , Xenbase
Panté, Nuclear pore complex is able to transport macromolecules with diameters of about 39 nm. 2002, Pubmed , Xenbase
Panté, Interactions and three-dimensional localization of a group of nuclear pore complex proteins. 1994, Pubmed , Xenbase
Rabe, Nuclear entry of hepatitis B virus capsids involves disintegration to protein dimers followed by nuclear reassociation to capsids. 2009, Pubmed
Rabe, Nuclear import of hepatitis B virus capsids and release of the viral genome. 2003, Pubmed
Rabe, Lipid-mediated introduction of hepatitis B virus capsids into nonsusceptible cells allows highly efficient replication and facilitates the study of early infection events. 2006, Pubmed
Ribbeck, Kinetic analysis of translocation through nuclear pore complexes. 2001, Pubmed
Roseman, A structural model for maturation of the hepatitis B virus core. 2005, Pubmed
Sells, Replicative intermediates of hepatitis B virus in HepG2 cells that produce infectious virions. 1988, Pubmed
Shah, Separate nuclear import pathways converge on the nucleoporin Nup153 and can be dissected with dominant-negative inhibitors. , Pubmed , Xenbase
Southern, Detection of specific sequences among DNA fragments separated by gel electrophoresis. 1975, Pubmed
Sukegawa, A nuclear pore complex protein that contains zinc finger motifs, binds DNA, and faces the nucleoplasm. 1993, Pubmed
Summers, Hepadnavirus envelope proteins regulate covalently closed circular DNA amplification. 1990, Pubmed
Terry, Crossing the nuclear envelope: hierarchical regulation of nucleocytoplasmic transport. 2007, Pubmed
Tran, Dynamic nuclear pore complexes: life on the edge. 2006, Pubmed
Trotman, Import of adenovirus DNA involves the nuclear pore complex receptor CAN/Nup214 and histone H1. 2001, Pubmed
van Loo, Baculovirus infection of nondividing mammalian cells: mechanisms of entry and nuclear transport of capsids. 2001, Pubmed
Vasu, Novel vertebrate nucleoporins Nup133 and Nup160 play a role in mRNA export. 2001, Pubmed , Xenbase
Walther, The nucleoporin Nup153 is required for nuclear pore basket formation, nuclear pore complex anchoring and import of a subset of nuclear proteins. 2001, Pubmed , Xenbase
Watts, The morphogenic linker peptide of HBV capsid protein forms a mobile array on the interior surface. 2002, Pubmed
Whittaker, Viral entry into the nucleus. 2000, Pubmed
Wodrich, Adenovirus core protein pVII is translocated into the nucleus by multiple import receptor pathways. 2006, Pubmed
Woodward, Integrase interacts with nucleoporin NUP153 to mediate the nuclear import of human immunodeficiency virus type 1. 2009, Pubmed
Yoakum, High-frequency transfection and cytopathology of the hepatitis B virus core antigen gene in human cells. 1983, Pubmed
Zlotnick, Localization of the C terminus of the assembly domain of hepatitis B virus capsid protein: implications for morphogenesis and organization of encapsidated RNA. 1997, Pubmed
