Click here to close
Hello! We notice that you are using Internet Explorer, which is not supported by Xenbase and may cause the site to display incorrectly.
We suggest using a current version of Chrome,
FireFox, or Safari.
???displayArticle.abstract???
The signal transduction protein SmTK4 from Schistosoma mansoni belongs to the family of Syk kinases. In vertebrates, Syk kinases are known to play specialized roles in signaling pathways in cells of the hematopoietic system. Although Syk kinases were identified in some invertebrates, their role in this group of animals has not yet been elucidated. Since SmTK4 is the first Syk kinase from a parasitic helminth, shown to be predominantly expressed in the testes and ovary of adult worms, we investigated its function. To unravel signaling cascades in which SmTK4 is involved, yeast two-/three-hybrid library screenings were performed with either the tandem SH2-domain, or with the linker region including the tyrosine kinase domain of SmTK4. Besides the Src kinase SmTK3 we identified a new Src kinase (SmTK6) acting upstream of SmTK4 and a MAPK-activating protein, as well as mapmodulin acting downstream. Their identities and colocalization studies pointed to a role of SmTK4 in a signaling cascade regulating the proliferation and/or differentiation of cells in the gonads of schistosomes. To confirm this decisive role we performed biochemical and molecular approaches to knock down SmTK4 combined with a novel protocol for confocal laser scanning microscopy for morphological analyses. Using the Syk kinase-specific inhibitor Piceatannol or by RNAi treatment of adult schistosomes in vitro, corresponding phenotypes were detected in the testes and ovary. In the Xenopus oocyte system it was finally confirmed that Piceatannol suppressed the activity of the catalytic kinase domain of SmTK4. Our findings demonstrate a pivotal role of SmTK4 in gametogenesis, a new function for Syk kinases in eukaryotes.
Figure 1. Domain structure of SmTK4.SmTK4 contains an N-terminal tandem SH2-domain (aa 48–143 and aa 201–292; A: interdomain) followed by a linker region (linker) and a C-terminally located, catalytic tyrosine kinase domain (TK, aa 881–1147). Black bars indicate the relative position of the bait constructs SmTK4-SH2SH2 (upstream screening) and SmTK4-linker+TK (downstream screening).
Figure 2. Comparative β-Gal liquid assays to determine the relative binding strengths of SmTK4 upstream interaction partners.For this analysis, yeast cells (strain AH109) were re-transformed with one representative prey clone of each group together with the bait SmTK4-SH2SH2 pBridge (light grey) or SmTK4-SH2SH2 + SmTK3-TK pBridge (dark grey). The tested clones were (from left to right): SmTK6 (Src kinase), SmTK3 (Src kinase), a homolog of a dipeptidyl peptidase III, and a homolog of a nonsense mRNA reducing factor (NORF1). As control, untransformed yeast cells were used (control). The statistical evaluation of three independent measurements of β-Gal activity (n = 3) is shown (error bars are indicated). Student's t-test (two-tailed): *p<0.002.
Figure 3. Co-immunoprecipitation of SmTK4 and SmTK6.The tandem SH2-domain of SmTK4 was expressed with a FLAG-tag, and the sequence of SmTK6 with a cMyc-tag in yeast. Co-IPs were done with lysates from yeast (strain YPH501) expressing both proteins using anti-FLAG- (F) or anti-cMyc antibodies (M). After co-IP, the proteins were separated on a SDS-PAGE and blotted onto a nitrocellulose membrane. A: INDIA-Ink staining of the nitrocellulose membrane (N: negative control without antibody, L: yeast lysate before immunoprecipitation). B: Detection of SmTK6 full-length-cMyc (55 kDa) and SmTK4-SH2SH2-FLAG (31 kDa) by Western blots using anti-cMyc or anti-FLAG-tag antibodies, respectively.
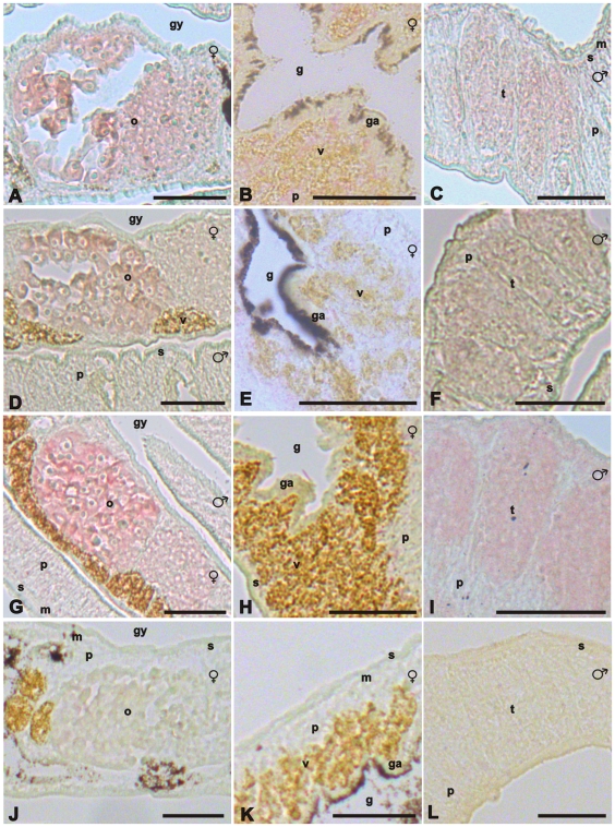
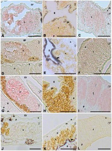
Figure 4. In situ-hybridization experiments localizing SmTK6, MAPK activating protein, and mapmodulin transcripts.Representative sections (5 µm) of adult schistosome couples (males and females are indicated), which were hybridized with DIG-labeled antisense-RNA probes of SmTK6 (A–C), MAPK-activating protein (D–F), or mapmodulin (G–I). For control, a DIG-labeled sense-RNA probe of mapmodulin was used (J–L). mRNA transcripts of all genes were detected in the ovary (o), the testes (t), and the parenchyma (p). No MAPK-activating protein gene-transcripts or mapmodulin transcripts were found in the vitellarium (v), but weak SmTK6 signals were observed in this organ. In the muscles (m), the subtegument (s), or the gastrodermis (ga), no signals were detected. [g, gut; gy, gynaecophoric canal; scale bar: 50 µm.]
Figure 5. Comparative β-Gal liquid assays to determine the relative binding strengths of SmTK4 downstream interaction partners.Yeast cells (strain AH109) were re-transformed with one representative prey clone of the groups A–D together with the bait SmTK4-linker+TK + SmTK3-TK pBridge (white), SmTK4-linker+TK pBridge (light grey), SmTK4-linker pBridge (dark grey), or SmTK4-TK pBridge (black). The tested clones were (from left to right): a homolog of a small HSP 25, a caspase 3 homolog, a putative MAPK-activating protein (PM20/PM21), and a mapmodulin homolog. The statistical evaluation of six independent measurements of β-Gal activity (n = 6) is shown (error bars are indicated). Student's t-test (two-tailed): *p<0.0001, **p<0.005, *** p<0.05.
Figure 6. Morphology of the testes and ovary of Piceatannol- or dsRNA-treated S. mansoni.Confocal scanning laser microscope images of carmine red-stained whole-mount preparations of S. mansoni couples (A, C, E, G: males; B, D, F, H: females) treated with Piceatannol (C, D) or dsRNA (G, H). A, B: control worms treated with DMSO only; C, D: worms treated for 6 days with 70 µM Piceatannol; E, F: control worms after electroporation without dsRNA; G, H: worms after electroporation with SmTK4 dsRNA. [e: egg, io: immature oocytes, mo: mature oocytes, od: oviduct, vd: vitelloduct; asterisk: sperm vesicle, arrows: mature sperms; scale bar: 40 µm]
Figure 7. Influence of Piceatannol-treatment on egg production of S. mansoni couples.For this, 20 worm couples each were cultured for 7 days in the absence (DMSO control) or presence of 70 µM Piceatannol, and the egg numbers were determined at a daily basis. The statistical evaluation of four independent experiments (n = 4) is shown (error bars indicated). Student's t-test (two-tailed): *p<0.01.
Arias-Salgado,
Src kinase activation by direct interaction with the integrin beta cytoplasmic domain.
2003, Pubmed
Arias-Salgado,
Src kinase activation by direct interaction with the integrin beta cytoplasmic domain.
2003,
Pubmed Baral,
The first structure of dipeptidyl-peptidase III provides insight into the catalytic mechanism and mode of substrate binding.
2008,
Pubmed Beckmann,
Schistosoma mansoni: signal transduction processes during the development of the reproductive organs.
2010,
Pubmed Bellier,
Phosphorylation of the RNA polymerase II largest subunit during Xenopus laevis oocyte maturation.
1997,
Pubmed
,
Xenbase Berriman,
The genome of the blood fluke Schistosoma mansoni.
2009,
Pubmed Blüthgen,
Systems analysis of MAPK signal transduction.
2008,
Pubmed Braydich-Stolle,
Role of Src family kinases and N-Myc in spermatogonial stem cell proliferation.
2007,
Pubmed Browaeys-Poly,
Signal transduction pathways triggered by fibroblast growth factor receptor 1 expressed in Xenopus laevis oocytes after fibroblast growth factor 1 addition. Role of Grb2, phosphatidylinositol 3-kinase, Src tyrosine kinase, and phospholipase Cgamma.
2000,
Pubmed
,
Xenbase Budd,
Activation-induced cell death.
2001,
Pubmed Calderwood,
Extracellular heat shock proteins in cell signaling.
2007,
Pubmed Castro,
ZAP-70 is a novel conditional heat shock protein 90 (Hsp90) client: inhibition of Hsp90 leads to ZAP-70 degradation, apoptosis, and impaired signaling in chronic lymphocytic leukemia.
2005,
Pubmed Chitsulo,
Schistosomiasis.
2004,
Pubmed Coopman,
The Syk tyrosine kinase: a new negative regulator in tumor growth and progression.
2006,
Pubmed Correnti,
Long-term suppression of cathepsin B levels by RNA interference retards schistosome growth.
2005,
Pubmed Erasmus,
A comparative study of the reproductive system of mature, immature and "unisexual" female Schistosoma mansoni.
1973,
Pubmed Faruki,
Syk-dependent phosphorylation of microtubules in activated B-lymphocytes.
2000,
Pubmed Fenwick,
Schistosomiasis: challenges for control, treatment and drug resistance.
2006,
Pubmed Ferrante,
Shark, a Src homology 2, ankyrin repeat, tyrosine kinase, is expressed on the apical surfaces of ectodermal epithelia.
1995,
Pubmed Finken,
Characterization of the complete protein disulfide isomerase gene of Schistosoma mansoni and identification of the tissues of its expression.
1994,
Pubmed Flück,
Molecular characterization of the murine syk protein tyrosine kinase cDNA, transcripts and protein.
1995,
Pubmed Furlong,
Identification of the major sites of autophosphorylation of the murine protein-tyrosine kinase Syk.
1997,
Pubmed Geahlen,
Syk and pTyr'd: Signaling through the B cell antigen receptor.
2009,
Pubmed Geahlen,
Piceatannol (3,4,3',5'-tetrahydroxy-trans-stilbene) is a naturally occurring protein-tyrosine kinase inhibitor.
1989,
Pubmed Grevelding,
The female-specific W1 sequence of the Puerto Rican strain of Schistosoma mansoni occurs in both genders of a Liberian strain.
1995,
Pubmed Harayama,
A cyclic adenosine 3',5'-monophosphate-induced tyrosine phosphorylation of Syk protein tyrosine kinase in the flagella of boar spermatozoa.
2004,
Pubmed Hirai,
Induction of germinal vesicle breakdown in Xenopus laevis oocytes: response of denuded oocytes to progesterone and insulin.
1983,
Pubmed
,
Xenbase Hokke,
Glycomics-driven discoveries in schistosome research.
2007,
Pubmed Inatome,
A critical role for Syk in endothelial cell proliferation and migration.
2001,
Pubmed Jiang,
Syk regulation of phosphoinositide 3-kinase-dependent NK cell function.
2002,
Pubmed Kapp,
The Schistosoma mansoni Src kinase TK3 is expressed in the gonads and likely involved in cytoskeletal organization.
2004,
Pubmed Kapp,
Identification, isolation and characterization of a Fyn-like tyrosine kinase from Schistosoma mansoni.
2001,
Pubmed
,
Xenbase Kierszenbaum,
Tyrosine protein kinases and spermatogenesis: truncation matters.
2006,
Pubmed Knobloch,
Tyrosine kinase and cooperative TGFbeta signaling in the reproductive organs of Schistosoma mansoni.
2007,
Pubmed Knobloch,
A novel Syk-family tyrosine kinase from Schistosoma mansoni which is preferentially transcribed in reproductive organs.
2002,
Pubmed Knobloch,
Herbimycin A suppresses mitotic activity and egg production of female Schistosoma mansoni.
2006,
Pubmed Kosako,
Requirement for the MAP kinase kinase/MAP kinase cascade in Xenopus oocyte maturation.
1994,
Pubmed
,
Xenbase Krautz-Peterson,
Optimizing gene suppression in schistosomes using RNA interference.
2007,
Pubmed Kunz,
Schistosome male-female interaction: induction of germ-cell differentiation.
2001,
Pubmed Kurosaki,
Syk activation by the Src-family tyrosine kinase in the B cell receptor signaling.
1994,
Pubmed Loverde,
Schistosoma mansoni: TGF-beta signaling pathways.
2007,
Pubmed Machado-Silva,
Morphological study of adult male worms of Schistosoma mansoni Sambon, 1907 by confocal laser scanning microscopy.
1998,
Pubmed Mansir,
The microtubular system and posttranslationally modified tubulin during spermatogenesis in a parasitic nematode with amoeboid and aflagellate spermatozoa.
1998,
Pubmed Marengere,
Structure and function of SH2 domains.
1994,
Pubmed McManus,
Current status of vaccines for schistosomiasis.
2008,
Pubmed Moon,
Molecular basis for a direct interaction between the Syk protein-tyrosine kinase and phosphoinositide 3-kinase.
2005,
Pubmed MOORE,
The relative egg producing capacity of Schistosoma mansoni and Schistosoma japonicum.
1956,
Pubmed Ndegwa,
Protocols for gene silencing in schistosomes.
2007,
Pubmed Neves,
A new description of the reproductive system of Schistosoma mansoni (Trematoda: Schistosomatidae) analyzed by confocal laser scanning microscopy.
2005,
Pubmed Oliveira,
The Schistosoma mansoni transcriptome: an update.
2007,
Pubmed Oliver,
Inhibition of mast cell Fc epsilon R1-mediated signaling and effector function by the Syk-selective inhibitor, piceatannol.
1994,
Pubmed Opal,
Mapmodulin/leucine-rich acidic nuclear protein binds the light chain of microtubule-associated protein 1B and modulates neuritogenesis.
2003,
Pubmed Osborne,
The yeast tribrid system--genetic detection of trans-phosphorylated ITAM-SH2-interactions.
1995,
Pubmed Ottinger,
Tandem SH2 domains confer high specificity in tyrosine kinase signaling.
1998,
Pubmed Page,
Tyrosine kinases and inflammatory signalling.
2009,
Pubmed Pawson,
Kinome signaling through regulated protein-protein interactions in normal and cancer cells.
2009,
Pubmed Peters,
Syk, activated by cross-linking the B-cell antigen receptor, localizes to the cytosol where it interacts with and phosphorylates alpha-tubulin on tyrosine.
1996,
Pubmed Popiel,
Male-stimulated female maturation inSchistosoma: A review.
1986,
Pubmed Ptacek,
Global analysis of protein phosphorylation in yeast.
2005,
Pubmed Quack,
Schistosomiasis and the molecular biology of the male-female interaction of S. mansoni.
2006,
Pubmed Quack,
The formin-homology protein SmDia interacts with the Src kinase SmTK and the GTPase SmRho1 in the gonads of Schistosoma mansoni.
2009,
Pubmed Raman,
Differential regulation and properties of MAPKs.
2007,
Pubmed Ross,
Schistosomiasis.
2002,
Pubmed Sada,
Structure and function of Syk protein-tyrosine kinase.
2001,
Pubmed Schistosoma japonicum Genome Sequencing and Functional Analysis Consortium,
The Schistosoma japonicum genome reveals features of host-parasite interplay.
2009,
Pubmed Shokat,
Tyrosine kinases: modular signaling enzymes with tunable specificities.
1995,
Pubmed Spiliotis,
Characterisation of EmMPK1, an ERK-like MAP kinase from Echinococcus multilocularis which is activated in response to human epidermal growth factor.
2006,
Pubmed Steele,
Appearance and disappearance of Syk family protein-tyrosine kinase genes during metazoan evolution.
1999,
Pubmed Stricker,
Differing mechanisms of cAMP- versus seawater-induced oocyte maturation in marine nemertean worms II. The roles of tyrosine kinases and phosphatases.
2006,
Pubmed Sun,
Regulation of dynamic events by microfilaments during oocyte maturation and fertilization.
2006,
Pubmed
,
Xenbase Tsujimura,
Syk protein-tyrosine kinase is involved in neuron-like differentiation of embryonal carcinoma P19 cells.
2001,
Pubmed Ulitzur,
Mapmodulin: a possible modulator of the interaction of microtubule-associated proteins with microtubules.
1997,
Pubmed van Hellemond,
Schistosome biology and proteomics: progress and challenges.
2007,
Pubmed Vicogne,
Conservation of epidermal growth factor receptor function in the human parasitic helminth Schistosoma mansoni.
2004,
Pubmed
,
Xenbase Wang,
SH2 domain-mediated interaction of inhibitory protein tyrosine kinase Csk with protein tyrosine phosphatase-HSCF.
2001,
Pubmed Wilkinson,
The cycle of nonsense.
2003,
Pubmed Willeke,
A role for Syk-kinase in the control of the binding cycle of the beta2 integrins (CD11/CD18) in human polymorphonuclear neutrophils.
2003,
Pubmed Xiao,
Actin-based dynamics during spermatogenesis and its significance.
2007,
Pubmed Yan,
Molecular cloning and characterisation of SmSLK, a novel Ste20-like kinase in Schistosoma mansoni.
2007,
Pubmed
,
Xenbase Yanagi,
Syk expression and novel function in a wide variety of tissues.
2001,
Pubmed Zhong,
Zeta-associated protein of 70 kDa (ZAP-70), but not Syk, tyrosine kinase can mediate apoptosis of T cells through the Fas/Fas ligand, caspase-8 and caspase-3 pathways.
2004,
Pubmed Zhou,
Nucleocytoplasmic trafficking of the Syk protein tyrosine kinase.
2006,
Pubmed