XB-ART-40924
Gen Comp Endocrinol
2010 Sep 01;1682:293-301. doi: 10.1016/j.ygcen.2010.01.008.
Show Gene links
Show Anatomy links
Ultrastructural and neurochemical architecture of the pituitary neural lobe of Xenopus laevis.
???displayArticle.abstract???
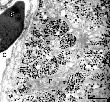
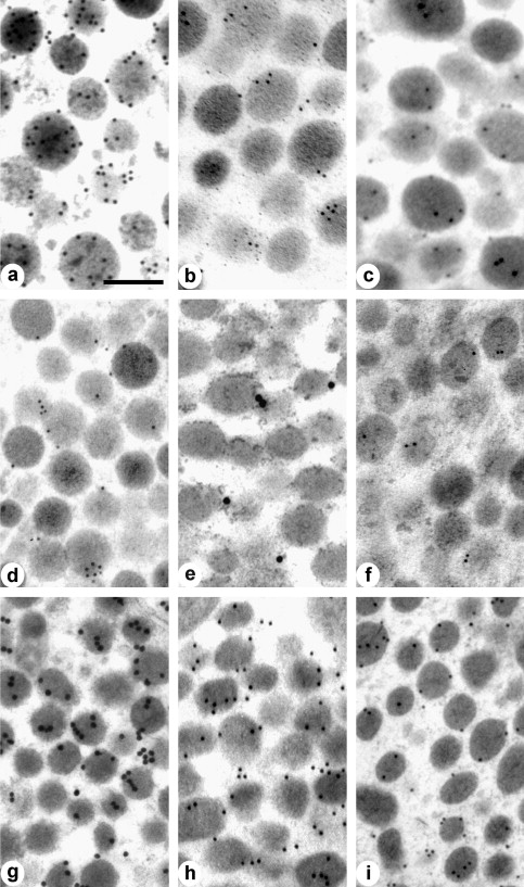
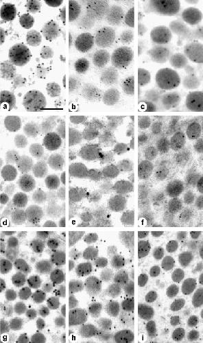
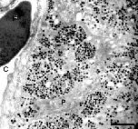
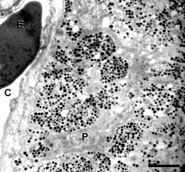
The melanotrope cell in the amphibian pituitary pars intermedia is a model to study fundamental aspects of neuroendocrine integration. They release alpha-melanophore-stimulating hormone (alphaMSH), under the control of a large number of neurochemical signals derived from various brain centers. In Xenopus laevis, most of these signals are produced in the hypothalamic magnocellular nucleus (Mg) and are probably released from neurohemal axon terminals in the pituitary neural lobe, to stimulate alphaMSH-release, causing skin darkening. The presence in the neural lobe of at least eight stimulatory factors implicated in melanotrope cell control has led us to investigate the ultrastructural architecture of this neurohemal organ, with particular attention to the diversity of neurohemal axon terminals and their neurochemical contents. Using regular electron microscopy, we here distinguish six types of neurohemal axon terminal, on the basis of the size, shape and electron-density of their secretory granule contents. Subsequently, we have identified the neurochemical contents of these terminal types by immuno-electron microscopy and antisera raised against not only the 'classical' neurohormones vasotocin and mesotocin but also brain-derived neurotrophic factor, cocaine- and amphetamine-regulated transcript peptide, corticotropin-releasing factor, metenkephalin, pituitary adenylyl cyclase-activating polypeptide, thyrotropin-releasing hormone and urocortin-1. This has revealed that each terminal type possesses a unique set of neurochemical messengers, containing at least four, but in some cases up to eight messengers. These results reveal the potential of the Mg/neural lobe system to release a wide variety of neurochemical messengers in a partly co-ordinated and partly differential way to control melanotrope cell activity as well as ion and water balance regulatory organs, in response to various, continuously changing, environmental stimuli.
???displayArticle.pubmedLink??? 20067800
???displayArticle.link??? Gen Comp Endocrinol
Species referenced: Xenopus laevis
Genes referenced: adcyap1 avp bdnf cartpt crh pomc trh ucn1
???attribute.lit??? ???displayArticles.show???
