XB-ART-40481
Front Mol Neurosci
2009 Sep 11;2:4. doi: 10.3389/neuro.02.004.2009.
Show Gene links
Show Anatomy links
Cloning and Phylogenetic Analysis of NMDA Receptor Subunits NR1, NR2A and NR2B in Xenopus laevis Tadpoles.
Ewald RC, Cline HT.
???displayArticle.abstract???
N-methyl-d-aspartate receptors (NMDARs) play an important role in many aspects of nervous system function such as synaptic plasticity and neuronal development. NMDARs are heteromers consisting of an obligate NR1 and most commonly one or two kinds of NR2 subunits. While the receptors have been well characterized in some vertebrate and invertebrate systems, information about NMDARs in Xenopus laevis brain is incomplete. Here we provide biochemical evidence that the NR1, NR2A and NR2B subunits of NMDARs are expressed in the central nervous system of X. laevis tadpoles. The NR1-4a/b splice variants appear to be the predominant isoforms while the NR1-3a/b variants appear to be expressed at low levels. We cloned the X. laevis NR2A and NR2B subunits and provide a detailed annotation of their functional domains in comparison with NR2A and NR2B proteins from 10 and 13 other species, respectively. Both NR2A and NR2B proteins are remarkably well conserved between species, consistent with the importance of NMDARs in nervous system function.
???displayArticle.pubmedLink??? 19826620
???displayArticle.pmcLink??? PMC2759366
???displayArticle.link??? Front Mol Neurosci
???displayArticle.grants??? [+]
R01 EY011261 NEI NIH HHS
Species referenced: Xenopus laevis
Genes referenced: grin1 grin2a grin2b nodal1 nodal2
???attribute.lit??? ???displayArticles.show???
|
|
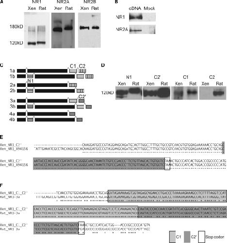
Figure 1. Detection of NMDAR subunits and splice variants in X. laevis tadpole brain. (A) Immunoblots for NR1, NR2A and NR2B were done on whole brain lysates of stage 47/48 tadpoles (Xen) with antibodies generated against homologous rat proteins. Immunoreactive bands of about the same size as in rat whole brain lysate (Rat) were found for all three subunits. (B) Western blots of whole cell lysates of HEK293 cells transfected with X. laevis the NR1-4a/b splice variant or NR2A cDNA, and their mock-transfected controls. (C) Cartoon of NR1 splice variants and the alternatively spliced exons (N1, C1, C2) and C-terminal ends (C2â²) that they contain. (D) Cross-reactive bands for exons N1 and C1, as well as alternative C-terminal end C2â² in X. laevis were detected with antibodies to rat homologs by Western blot on whole brain extracts from stage 47/48 tadpoles and rat. No cross-reactive band was detected for C2. (E,F) C-terminal ends of NR1 mRNAs were amplified by RT-PCR and PCR with primer pairs 5â² to the spliced region and in the 3â²UTR. (E) Twenty-six out of 29 nucleotide sequences contained only C2â² (Xen_NR1_C2â²). They aligned perfectly to the published X. laevis NR1 sequence (Xen_NR1_X94156). (F) Two out of 29 nucleotide sequences contained C1 and C2â² (Xen_NR1_C1_C2â²), indicating that NR1-3a/b also exists in X. laevis. The alignment to rat NR1-3a (Rat_NR1-3a) shows a very high degree of sequence conservation. Identical residues are marked with (*). |
|
|
Figure 2. Phylogenetic trees of NR2A and NR2B. The phylogenetic relationships of 11 NR2A and 14 NR2B proteins from different species and the NR2 proteins from C. elegans and D. melanogaster were analyzed using the Neighbor Joining algorithm. The confidence values of the nodes were determined after bootstrapping with 1000 repetitions and are shown at the nodes. The trees were rooted by aligning two unrelated sequences, mouse GABA-A-a1 and GABA-A-a2 (gray italics). The cloned X. Laevis NR2A and NR2B are bold, sequences that were assembled by hand are in italics and the remaining sequences have GenBank accession numbers. |
|
|
Figure 3. Conserved residues in X. laevis NR2A and NR2B. (A) Cartoon of the annotated functional domains and residues of NR2A. (B) Table of the number and percentage of conserved residues and domains of NR2A from 11 different species. The overall amino acid identity was determined in comparison to the X. laevis NR2A protein. (C) Cartoon of the annotated functional domains and residues of NR2B. (D) Table of the number and percentage of conserved residues and domains of NR2B from 14 different species. The overall amino acid identity was determined in comparison to the X. laevis NR2B protein. The number or percentage of conserved residues was determined in comparison to the sequence of the species where they were first characterized (mostly rat). Functional sites that are not conserved between all species are highlighted in gray. |
|
|
Figure 4. Protein sequence alignment of NR2A from 11 different species. The protein sequences of X. laevis NR2A and 10 other species were aligned with the ClustalW algorithm. When full sequences were not available or could not be assembled by hand, incomplete sequences were used. Amino acids identical to the reference sequence are depicted as (.). Lack of sequence is symbolized by (−). A (*) below the alignment signifies amino acid identity, while (:) and (.) indicate the degree of amino acid similarity. NR2A is highly conserved between species. The membrane-associated segments M1–M4, other structurally and functionally important domains and amino acids, as well as known protein–protein interaction domains and phosphorylation sites are highlighted. Descriptions in italics indicate sites that are not conserved between species. |
|
|
Figure 5. Protein sequence alignment of NR2B from 14 different species. The protein sequences of X. laevis NR2B and 13 other species were aligned with the ClustalW algorithm. When full sequences were not available or could not be assembled by hand, incomplete sequences were used. Amino acids identical to the reference sequence are depicted as (.). Lack of sequence is symbolized by (−). A (*) below the alignment signifies amino acid identity, while (:) and (.) indicate the degree of amino acid similarity. NR2B is very highly conserved between species. The membrane-associated segments M1–M4, other structurally and functionally important domains and amino acids, as well as known protein–protein interaction domains and phosphorylation sites are highlighted. Descriptions in italics indicate sites that are not conserved between species. |
References [+] :
Aizenman,
Enhanced visual activity in vivo forms nascent synapses in the developing retinotectal projection.
2007, Pubmed,
Xenbase
Aizenman, Enhanced visual activity in vivo forms nascent synapses in the developing retinotectal projection. 2007, Pubmed , Xenbase
Anson, Identification of amino acid residues of the NR2A subunit that control glutamate potency in recombinant NR1/NR2A NMDA receptors. 1998, Pubmed
Barria, Subunit-specific NMDA receptor trafficking to synapses. 2002, Pubmed
Bottai, Alternative RNA splicing of the NMDA receptor NR1 mRNA in the neurons of the teleost electrosensory system. 1998, Pubmed
Brockie, The C. elegans glutamate receptor subunit NMR-1 is required for slow NMDA-activated currents that regulate reversal frequency during locomotion. 2001, Pubmed
Chen, Structural features of the glutamate binding site in recombinant NR1/NR2A N-methyl-D-aspartate receptors determined by site-directed mutagenesis and molecular modeling. 2005, Pubmed , Xenbase
Cline, In vivo development of neuronal structure and function. 1996, Pubmed
Cox, Molecular characterization and embryonic expression of the family of N-methyl-D-aspartate receptor subunit genes in the zebrafish. 2005, Pubmed
Cull-Candy, NMDA receptor subunits: diversity, development and disease. 2001, Pubmed
Cull-Candy, Role of distinct NMDA receptor subtypes at central synapses. 2004, Pubmed
Dingledine, The glutamate receptor ion channels. 1999, Pubmed
Durand, Splice variants of the N-methyl-D-aspartate receptor NR1 identify domains involved in regulation by polyamines and protein kinase C. 1993, Pubmed , Xenbase
Durand, Cloning of an apparent splice variant of the rat N-methyl-D-aspartate receptor NMDAR1 with altered sensitivity to polyamines and activators of protein kinase C. 1992, Pubmed , Xenbase
Ehlers, Regulated subcellular distribution of the NR1 subunit of the NMDA receptor. 1995, Pubmed
Espinosa, Uncoupling dendrite growth and patterning: single-cell knockout analysis of NMDA receptor 2B. 2009, Pubmed
Ewald, Roles of NR2A and NR2B in the development of dendritic arbor morphology in vivo. 2008, Pubmed , Xenbase
Fayyazuddin, Four residues of the extracellular N-terminal domain of the NR2A subunit control high-affinity Zn2+ binding to NMDA receptors. 2000, Pubmed , Xenbase
Foldes, Cloning and sequence analysis of additional splice variants encoding human N-methyl-D-aspartate receptor (hNR1) subunits. 1994, Pubmed
Foldes, Cloning and sequence analysis of cDNAs encoding human hippocampus N-methyl-D-aspartate receptor subunits: evidence for alternative RNA splicing. 1993, Pubmed
Gardoni, Protein kinase C activation modulates alpha-calmodulin kinase II binding to NR2A subunit of N-methyl-D-aspartate receptor complex. 2001, Pubmed
Hollmann, Zinc potentiates agonist-induced currents at certain splice variants of the NMDA receptor. 1993, Pubmed , Xenbase
Holmes, The N-methyl-D-aspartate receptor splice variant NR1-4 C-terminal domain. Deletion analysis and role in subcellular distribution. 2002, Pubmed
Hua, Neural activity and the dynamics of central nervous system development. 2004, Pubmed
Jones, PKC site mutations reveal differential modulation by insulin of NMDA receptors containing NR2A or NR2B subunits. 2005, Pubmed , Xenbase
Klinger, Identification of two NOGO/RTN4 genes and analysis of Nogo-A expression in Xenopus laevis. 2004, Pubmed , Xenbase
Krupp, N-terminal domains in the NR2 subunit control desensitization of NMDA receptors. 1998, Pubmed
Kuner, A common architecture for K+ channels and ionotropic glutamate receptors? 2003, Pubmed
Kuner, Structure of the NMDA receptor channel M2 segment inferred from the accessibility of substituted cysteines. 1996, Pubmed , Xenbase
Laube, Molecular determinants of agonist discrimination by NMDA receptor subunits: analysis of the glutamate binding site on the NR2B subunit. 1997, Pubmed
Laurie, Regional and developmental heterogeneity in splicing of the rat brain NMDAR1 mRNA. 1994, Pubmed
Laurie, Regional, developmental and interspecies expression of the four NMDAR2 subunits, examined using monoclonal antibodies. 1997, Pubmed
Lavezzari, Differential binding of the AP-2 adaptor complex and PSD-95 to the C-terminus of the NMDA receptor subunit NR2B regulates surface expression. 2003, Pubmed
Lavezzari, Subunit-specific regulation of NMDA receptor endocytosis. 2004, Pubmed
Lee-Rivera, Developmental expression of N-methyl-D-aspartate glutamate receptor 1 splice variants in the chick retina. 2003, Pubmed
Liao, Evidence for direct protein kinase-C mediated modulation of N-methyl-D-aspartate receptor current. 2001, Pubmed , Xenbase
Mayadevi, Sequence determinants on the NR2A and NR2B subunits of NMDA receptor responsible for specificity of phosphorylation by CaMKII. 2002, Pubmed
Monyer, Developmental and regional expression in the rat brain and functional properties of four NMDA receptors. 1994, Pubmed
Moriyoshi, Molecular cloning and characterization of the rat NMDA receptor. 1991, Pubmed , Xenbase
Mu, Activity-dependent mRNA splicing controls ER export and synaptic delivery of NMDA receptors. 2003, Pubmed
Nakazawa, Characterization of Fyn-mediated tyrosine phosphorylation sites on GluR epsilon 2 (NR2B) subunit of the N-methyl-D-aspartate receptor. 2001, Pubmed
Nedivi, Developmental regulation of CPG15 expression in Xenopus. 2001, Pubmed , Xenbase
Nedivi, Promotion of dendritic growth by CPG15, an activity-induced signaling molecule. 1998, Pubmed , Xenbase
Omkumar, Identification of a phosphorylation site for calcium/calmodulindependent protein kinase II in the NR2B subunit of the N-methyl-D-aspartate receptor. 1996, Pubmed
Paoletti, Molecular organization of a zinc binding n-terminal modulatory domain in a NMDA receptor subunit. 2000, Pubmed , Xenbase
Perin-Dureau, Mapping the binding site of the neuroprotectant ifenprodil on NMDA receptors. 2002, Pubmed , Xenbase
Prybylowski, The synaptic localization of NR2B-containing NMDA receptors is controlled by interactions with PDZ proteins and AP-2. 2005, Pubmed
Riedel, Glutamate receptor function in learning and memory. 2003, Pubmed
Roche, Molecular determinants of NMDA receptor internalization. 2001, Pubmed
Schmidt, Revisiting the postulated "unitary glutamate receptor": electrophysiological and pharmacological analysis in two heterologous expression systems fails to detect evidence for its existence. 2006, Pubmed , Xenbase
Schmidt, Apparent homomeric NR1 currents observed in Xenopus oocytes are caused by an endogenous NR2 subunit. 2008, Pubmed , Xenbase
Scott, Endocytosis and degradative sorting of NMDA receptors by conserved membrane-proximal signals. 2004, Pubmed , Xenbase
Sheng, Ligand-gated ion channel interactions with cytoskeletal and signaling proteins. 2000, Pubmed
Sin, Dendrite growth increased by visual activity requires NMDA receptor and Rho GTPases. 2002, Pubmed , Xenbase
Soloviev, Functional expression of a recombinant unitary glutamate receptor from Xenopus, which contains N-methyl-D-aspartate (NMDA) and non-NMDA receptor subunits. 1996, Pubmed , Xenbase
Standley, PDZ domain suppression of an ER retention signal in NMDA receptor NR1 splice variants. 2000, Pubmed
Strack, Mechanism and regulation of calcium/calmodulin-dependent protein kinase II targeting to the NR2B subunit of the N-methyl-D-aspartate receptor. 2000, Pubmed
Sugihara, Structures and properties of seven isoforms of the NMDA receptor generated by alternative splicing. 1992, Pubmed , Xenbase
Traynelis, Control of proton sensitivity of the NMDA receptor by RNA splicing and polyamines. 1995, Pubmed , Xenbase
Traynelis, Control of voltage-independent zinc inhibition of NMDA receptors by the NR1 subunit. 1998, Pubmed , Xenbase
Vicini, Functional and pharmacological differences between recombinant N-methyl-D-aspartate receptors. 1998, Pubmed
Vissel, A use-dependent tyrosine dephosphorylation of NMDA receptors is independent of ion flux. 2001, Pubmed
Waxman, N-methyl-D-aspartate receptor subtypes: multiple roles in excitotoxicity and neurological disease. 2005, Pubmed
Wollmuth, Differential contribution of the NR1- and NR2A-subunits to the selectivity filter of recombinant NMDA receptor channels. 1996, Pubmed , Xenbase
Wollmuth, Adjacent asparagines in the NR2-subunit of the NMDA receptor channel control the voltage-dependent block by extracellular Mg2+. 1998, Pubmed , Xenbase
Xia, NMDA receptors mediate olfactory learning and memory in Drosophila. 2005, Pubmed , Xenbase
Zarain-Herzberg, Cloning and characterization of the chick NMDA receptor subunit-1 gene. 2005, Pubmed
Zhang, Spermine potentiation of recombinant N-methyl-D-aspartate receptors is affected by subunit composition. 1994, Pubmed , Xenbase
Zheng, Tyrosine kinase potentiates NMDA receptor currents by reducing tonic zinc inhibition. 1998, Pubmed
Zheng, Mutagenesis rescues spermine and Zn2+ potentiation of recombinant NMDA receptors. 1994, Pubmed , Xenbase
Zukin, Alternatively spliced isoforms of the NMDARI receptor subunit. 1995, Pubmed
