Click here to close
Hello! We notice that you are using Internet Explorer, which is not supported by Xenbase and may cause the site to display incorrectly.
We suggest using a current version of Chrome,
FireFox, or Safari.
BMC Biochem
2006 May 01;7:14. doi: 10.1186/1471-2091-7-14.
Show Gene links
Show Anatomy links
Aquaporin-11: a channel protein lacking apparent transport function expressed in brain.
Gorelick DA, Praetorius J, Tsunenari T, Nielsen S, Agre P.
???displayArticle.abstract???
The aquaporins are a family of integral membrane proteins composed of two subfamilies: the orthodox aquaporins, which transport only water, and the aquaglyceroporins, which transport glycerol, urea, or other small solutes. Two recently described aquaporins, numbers 11 and 12, appear to be more distantly related to the other mammalian aquaporins and aquaglyceroporins. We report on the characterization of Aquaporin-11 (AQP11). AQP11 RNA and protein is found in multiple rat tissues, including kidney, liver, testes and brain. AQP11 has a unique distribution in brain, appearing in Purkinje cell dendrites, hippocampal neurons of CA1 and CA2, and cerebral cortical neurons. Immunofluorescent staining of Purkinje cells indicates that AQP11 is intracellular. Unlike other aquaporins, Xenopus oocytes expressing AQP11 in the plasma membrane failed to transport water, glycerol, urea, or ions. AQP11 is functionally distinct from other proteins of the aquaporin superfamily and could represent a new aquaporin subfamily. Further studies are necessary to elucidate the role of AQP11 in the brain.
Figure 1. Phylogenetic tree of the human Aquaporin gene family. Water permeable aquaporins are shown in bold (AQP0, 1, 2, 4, 5, 6, 8, AqpZ). Glycerol permeable aquaglyceroporins are in italics (AQP3, 7, 9, 10, GlpF). E. coli homologues are AqpZ and GlpF. The unclassified subfamily comprising AQP11 and 12 is on the bottom right. The scale bar represents genetic distance between homologues.
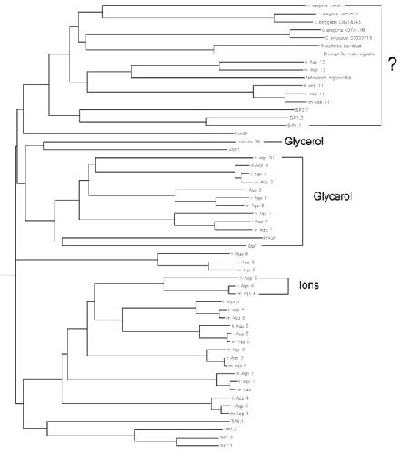
Figure 2. Major Intrinsic Protein Superfamily. Phylip rooted phylogenetic tree of aquaporin proteins from diverse species. Shown are aquaporins from mouse (m), rat (r), and human (h); from plants Arabidopsis thaliana (SIPs, TIPs) and soybean Glycine max (Nodulin 26); from bacteria E. coli GlpF and AqpZ; from intracellular parasites Trypanosoma cruzi (TcAQP) and Plasmodium falciparum (PfAQP); from nematodes C. elegans and C. briggsae; from fruitfly D. melanogaster and mosquito A. gambiae; from pufferfish T. nigroviridis. Aquaporins that transport glycerol or ions, in addition to water, are labeled by brackets on the right. Aquaporins hat transport only water are unlabelled. Aquaporins for which there is no known solute are labeled with a question mark. In many cases only one or two of the mammalian aquaporins in a specific group have been characterized. For example, TIP1.1 is a water-selective channel, but TIP5.1 has not been characterized; human and rat AQP6 are ion and water channels, but mouse AQP6 has not been characterized.
Figure 3. Sequence alignment of human Aquaporins. Clustal alignment of human aquaporins and E. coli AqpZ and GlpF proteins. Identical residues are highlighted in black, residues with at least 70% similarity are boxed.
Figure 5. Validation of anti-AQP11 antibody and tissue immunoblotting. (A) – (C) Confocal images of cultured CHO cells transiently transfected with rat AQP11 (A, B) or with empty vector (C) and stained with anti-AQP11 C-term antibody. Bars represent 20 μm (A, C) and 5 μm (B). (D) CHO cells were transiently transfected with rat AQP11, empty vector, or rat AQP4 M23 and treated with membrane impermeable biotin, then precipitated with streptavidin. Surface proteins eluted from the streptavidin (S) and cytosolic proteins from the supernatant (C) were analyzed by SDS-PAGE followed by immunoblotting with antibodies against AQP11 and actin. As a control, cells transfected with AQP11 were precipitated with streptavidin but not incubated with biotin. (E) Western blot of multiple rat tissue probed with AQP11 antibody (upper panel). The bottom panel was probed with the same antibody preincubated with antigenic peptide. (F) Sucrose density sedimentation of AQP11 from rat brain. Membrane proteins from rat brain hemispheres were layered onto a 5–20% linear sucrose gradient, spun, and analyzed by SDS-PAGE followed by immunoblotting for either AQP4 or AQP11. Fraction 1 corresponds to the lightest fraction, 23 to the heaviest. Molecular size in kDa is shown.
Figure 6. Expression of AQP11 in Xenopus oocytes. Oocytes were injected with rat AQP11 cRNA (A, B), myc-tagged human AQP11 (D), or water (C, E) and stained with an antibody against rat AQP11 (A, C), with the antibody preadsorbed to antigenic peptide (B), or with an antibody against myc (D, E). Scale bars represent 100 μm. (F) Immunoblots of total protein from oocytes injected with rat AQP11 (AQP11), myc-tagged human AQP11 (myc-AQP11) or water (control). Blots were probed with anti-AQP11 antibody or with anti-myc antibody, respectively.
Figure 7. Localization of AQP11 in rat cerebellum and hippocampus. Semi-thin sections of rat brain were stained with an anti-N-terminal AQP11 antibody. (A) The CA1 and CA2 regions of the hippocampus displayed a filamentous labeling pattern. (B) Preabsorbing the antibody with the immunizing peptide prevented labeling in an adjacent section. (C) The dendrites of Purkinje cells showed strong AQP11 immunoreacivity which was absent after peptide preabsorption (D). Bars indicate 50 μm. (E) Immunofluorescence confocal micrograph showing punctuate labeling inside a Purkinje dendrite. Bars indicate 10 μm.
Agre,
Aquaporin water channels (Nobel Lecture).
2004, Pubmed
Agre,
Aquaporin water channels (Nobel Lecture).
2004,
Pubmed Badaut,
Aquaporins in brain: distribution, physiology, and pathophysiology.
2002,
Pubmed Badaut,
Distribution of Aquaporin 9 in the adult rat brain: preferential expression in catecholaminergic neurons and in glial cells.
2004,
Pubmed Borgnia,
Cellular and molecular biology of the aquaporin water channels.
1999,
Pubmed Carbrey,
Aquaglyceroporin AQP9: solute permeation and metabolic control of expression in liver.
2003,
Pubmed
,
Xenbase Elkjaer,
Immunolocalization of AQP9 in liver, epididymis, testis, spleen, and brain.
2000,
Pubmed Fu,
Structure of a glycerol-conducting channel and the basis for its selectivity.
2000,
Pubmed Gonen,
Aquaporin-0 membrane junctions reveal the structure of a closed water pore.
2004,
Pubmed Harries,
The channel architecture of aquaporin 0 at a 2.2-A resolution.
2004,
Pubmed Itoh,
Identification of a novel aquaporin, AQP12, expressed in pancreatic acinar cells.
2005,
Pubmed
,
Xenbase Marchler-Bauer,
CDD: a Conserved Domain Database for protein classification.
2005,
Pubmed Morishita,
Disruption of aquaporin-11 produces polycystic kidneys following vacuolization of the proximal tubule.
2005,
Pubmed Neely,
Heterotetrameric composition of aquaporin-4 water channels.
1999,
Pubmed
,
Xenbase Preston,
Appearance of water channels in Xenopus oocytes expressing red cell CHIP28 protein.
1992,
Pubmed
,
Xenbase Savage,
Architecture and selectivity in aquaporins: 2.5 a X-ray structure of aquaporin Z.
2003,
Pubmed Sui,
Structural basis of water-specific transport through the AQP1 water channel.
,
Pubmed Yasui,
Aquaporin-6: An intracellular vesicle water channel protein in renal epithelia.
1999,
Pubmed Zelenina,
Nickel and extracellular acidification inhibit the water permeability of human aquaporin-3 in lung epithelial cells.
2003,
Pubmed