|
Figure 1. Competitive repositioning of histone H3 mutations by Chd1. (A) A native polyacrylamide gel for a repositioning assay using wild-type and H3 H39A nucleosomes assembled on 54A0 fragments, 6.9 fmol Chd1 and incubation at 30°C for the indicated times. (B) Chd1 repositioned H3 H39A nucleosomes 1.9-fold ± 0.1 (mean ± standard error of the mean) faster than wild-type nucleosomes. The raw data from the repositioning assays are plotted as points, the average hyperbolic fit of the data is shown as a line. (C) The initial rate of Chd1 repositioning is plotted for the histone H3 mutations. The dashed line marks an initial rate of 1. The error bars represent the standard error of the mean. WT, wild-type. |
|
Figure 2. Histone H3 mutations differentially affect RSC repositioning. (A) Native polyacrylamide gel displaying repositioning of wild-type and H3 R49A nucleosomes assembled on 54A18 fragments by 0.44 fmol RSC at 30°C for the indicated times. Asterisk denotes P position. (B) RSC repositioned H3 R49A nucleosomes 2.1-fold ± 0.1 faster than wild-type nucleosomes. The raw data of the repositioning assays are shown as points, the curved line represents the average hyperbolic equation fit. (C) The initial rates of RSC repositioning for the histone H3 mutations. The dashed line indicates an initial rate of 1. Error bars represent the standard error of the mean. WT, wild-type. |
|
Figure 3. Histone H3 mutations alter banding patterns following remodelling with RSC. When nucleosomes that have been remodelled by RSC (0.44 fmol) are separated on a native polyacrylamide gel three faster migrating species can be detected. These are labelled 1, 2 and 3. Nucleosomes H3 G44A and T45A were predominantly relocated to band 1 after a 64-min incubation at 30°C, in contrast wild-type nucleosomes were relocated equally to bands 1 and 2. Repositioning of mutations H3 K56A and Y41A produced a similar banding pattern relative to wild-type. Note band 3 represents a doublet in some gels. WT, wild-type. |
|
Figure 4. The effect of H3 mutations on the end products of RSC directed remodelling. To drive remodelling reactions towards completion, reactions were performed for 2 h at 30°C with increasing concentrations of RSC as indicated. The products were separated into one of four classes dependent on the distribution pattern of the repositioned products (bands 1, 2 and 3). Wild-type nucleosomes represent class 1, H3 K56A nucleosomes class 2, H3 R40A nucleosomes class 3 and H3 I51A nucleosomes class 4. The band intensities of the RSC remodelled nucleosomes are plotted in the graph to the right of each respective native polyacrylamide gel. Band 0, main initial nucleosome position. Asterisk denotes P position. |
|
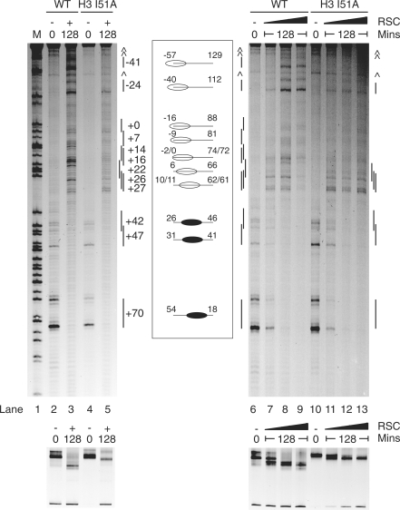
Figure 5. RSC redistributes H3 I51A nucleosomes to a subset of locations. The base-pair locations of RSC repositioned nucleosomes on the 54A18 fragment were determined by site-directed hydroxyl radical mapping. At top, sequencing gels. M, guanine marker of the 54A18 fragment, lane 1. No RSC controls, lanes 2, 4, 6 and 10. Repositioning of nucleosomes at 30°C for 128 min using 10 fmol RSC, lanes 7, 11; 83 fmol RSC, lanes 8, 12; and 660 fmol RSC, lanes 3, 5, 9 and 13. The cleavage products and an illustration of nucleosome locations (black ovals initial locations, clear ovals RSC redistributed locations) on the 54A18 DNA fragment are shown alongside the sequencing gels. At bottom, the corresponding native polyacrylamide gel. ⁁ (caret sign), non-specific bands. WT, wild-type mapping nucleosomes. |
|
Figure 6. Differences observed between RSC and SWI/SNF end products. (A) Repositioning of 1 pmol of H3 I51A and Q55A mutant nucleosomes by 0.44, 1.18 or 3.52 fmol RSC showed a preferential accumulation in band 1 on native polyacrylamide gels. In contrast, repositioning of 0.5 pmol of mutant nucleosomes with 10, 20 or 60 fmol of SWI/SNF showed repositioning to band 3. Band 0, main initial position. (B) RSC and (C) SWI/SNF repositioning of H3 I51A nucleosomes. Asterisk denotes P position, not present in either mutation. WT, wild-type. |
|
Figure 7. Remodelling enzymes are distinctly affected by histone H3 mutations. (A) The histone H3 αN helical map, introduced in ref. 10. This map allows the impact of each interaction surface to be compared among the different remodellers. (B) The initial rate of Chd1 repositioning. (C) The distribution of the end products after RSC repositioning, class 1–4 (see Figure 4 for description of classes). (D) The distribution of end products after SWI/SNF, classes 1–4. (E) The initial rate of RSC repositioning. (F) The initial rate of thermal repositioning, values from ref. 10, except for H3 E50A where remeasurement detected a difference from the previously published value. |