Click here to close
Hello! We notice that you are using Internet Explorer, which is not supported by Xenbase and may cause the site to display incorrectly.
We suggest using a current version of Chrome,
FireFox, or Safari.
???displayArticle.abstract???
Vertebrate development relies on the regulated translation of stored maternal mRNAs, but how these regulatory mechanisms may have evolved to control translational efficiency of individual mRNAs is poorly understood. We compared the translational regulation and polyadenylation of the cyclin B1 mRNA during zebrafish and Xenopus oocyte maturation. Polyadenylation and translational activation of cyclin B1 mRNA is well characterized during Xenopus oocyte maturation. Specifically, Xenopus cyclin B1 mRNA is polyadenylated and translationally activated during oocyte maturation by proteins that recognize the conserved AAUAAA hexanucleotide and U-rich Cytoplasmic Polyadenylation Elements (CPEs) within cyclin B1 mRNA's 3'UnTranslated Region (3'UTR). The zebrafish cyclin B1 mRNA was polyadenylated during zebrafish oocyte maturation. Furthermore, the zebrafish cyclin B1 mRNA's 3'UTR was sufficient to stimulate translation of a reporter mRNA during zebrafish oocyte maturation. This stimulation required both AAUAAA and U-rich CPE-like sequences. However, in contrast to AAUAAA, the positions and sequences of the functionally defined CPEs were poorly conserved between Xenopus and zebrafish cyclin B1 mRNA 3'UTRs. To determine whether these differences were relevant to translation efficiency, we analyzed the translational activity of reporter mRNAs containing either the zebrafish or Xenopus cyclin B1 mRNA 3'UTRs during both zebrafish and Xenopus oocyte maturation. The zebrafish cyclin B1 3'UTR was quantitatively less effective at stimulating polyadenylation and translation compared to the Xenopus cyclin B1 3'UTR during both zebrafish and Xenopus oocyte maturation. Although the factors that regulate translation of maternal mRNAs are highly conserved, the target sequences and overall sequence architecture within the 3'UTR of the cyclin B1 mRNA have diverged to affect translational efficiency, perhaps to optimize levels of cyclin B1 protein required by these different species during their earliest embryonic cell divisions.
???displayArticle.pubmedLink???
19175933 ???displayArticle.pmcLink???PMC2644680 ???displayArticle.link???BMC Dev Biol ???displayArticle.grants???[+]
Figure 1. The endogenous zebrafish cyclinB1 mRNA is polyadenylated during oocyte maturation and early embryogenesis. (A) Diagram of oligonucleotide/RNaseH treatment for analysis of mRNA poly (A) tails. i.) RNA samples were hybridized to a DNA oligonucleotide complementary to a region of the open reading frame close to the 3'UTR. Half of each sample was also hybridized to oligo/dT. ii.) Treatment with RNaseH cleaved the RNA in the region of the RNA/DNA hybrid. In the sample with oligo/dT RNaseH cleaved the poly (A) tail. iii.) Treated RNA samples were analyzed by high resolution RNA blot hybridization and the sizes of the 3'UTR fragments with and without poly (A) indicates the length of poly (A) tail present. (B) Analysis of the endogenous zebrafish cyclinB1 mRNA 3'UTR following oligonucleotide/RNaseH treatment. Total RNAs from zebrafish oocytes, mature oocytes and two-cell embryos were hybridized with a DNA oligonucleotide complimentary to the zebrafish cyclin B1 mRNA's 3'UTR nucleotides -393 to -372 relative to poly(A) addition site at +1. Half of each sample was also hybridized with oligo dT (lanes 1, 3, 5). All samples were then treated with RNaseH and analyzed by RNA blot hybridization using a radio labeled probe corresponding to the 3'UTR of zebrafish CyclinB1 mRNA (-199 to +1). The positions of RNA markers are indicated.
Figure 2. Polyadenylation of the zebrafish cyclin B1 mRNA 3'UTR depended upon U-rich CPE sequences. (A) Sequences of wild-type, AAUAAA mutant and U-rich mutant zebrafish cyclin B1 3'UTRs. The zebrafish cyclin B1 3'UTR is 199 nucleotides in length and the last 99 nucleotides are shown. U-rich putative CPE elements adjacent to AAUAAA are overlined and bolded while the AAUAAA sequence is underlined. Mutated sequences are white on black. Other U-rich sequences are present in the zebrafish cyclin B1 3'UTR, but their distance from AAUAAA makes it unlikely that they function as CPEs. (B) Sequences of wild-type, AAUAAA mutant and CPE mutant Xenopus cyclinB1 3'UTRs. Mutated sequences are white on black, CPE elements are overlined and bolded and AAUAAA elements are underlined. The numbers indicate positions of each nucleotide relative to the poly (A) addition site. (C) Zebrafish oocytes and matured oocytes. (D) Zebrafish cyclin B1 3'UTR is sufficient to direct polyadenylation during oocyte maturation, and the CPEs are required. P32-labeled RNA consisting of the zebrafish cyclin B1 mRNA 3'UTR was injected into 50–100 zebrafish oocytes and some oocytes were matured. RNA from injected non-mature oocytes (N) or injected matured oocytes (M) were analyzed by 4% denaturing PAGE and autoradiography. IN: Uninjected RNA. N: RNA from non-mature oocytes. M: RNA from mature oocytes. As controls, half of the total RNAs extracted from WT 3'UTR RNA injected matured oocytes were subjected to oligo dT/RNaseH treatment prior to denaturing PAGE (lane 4). The size reduction after oligo dT/RNaseH treatment indicated that the 3'UTR RNA was polyadenylated.
Figure 3. The 3'UTR of zebrafish cyclinB1 mRNA is sufficient to activate translation during zebrafish oocyte maturation and this activation requires the CPE and AAUAAA sequences. (A) Schematic of various luciferase reporter mRNAs with different 3'UTRs (ZF-zebrafish). (B) The zebrafish cyclin B1 3'UTR directs translational activation during oocyte maturation and activation requires the putative CPE elements and AAUAAA element. Luciferase reporter mRNAs with various zebrafish cyclinB1 3'UTRs were injected into oocytes. Some of the injected oocytes were matured. Luciferase activity was measured in extracts prepared from injected oocytes and injected matured oocytes. The ratio of luciferase in matured versus non-matured oocytes was plotted for comparison. The mat/non-mature ratios shown are represented as mean +/- SEM of at least three independent experiments. Statistical analysis (P values) was performed by one-way ANOVA. * P < 0.05. Each reporter containing zebrafish cyclin B1 mutant 3'UTR, bactin2 3'UTR or no 3'UTR was compared to the reporter with zebrafish cyclin B1 WT 3'UTR. (C) Luciferase reporters were equally stable in mature vs. non-mature oocytes. Total RNA was extracted from mature and non-matured oocytes injected with each zebrafish cyclin B1 3'UTR reporter mRNA. Equal amounts of total RNA from each sample were utilized in quantitative RT-PCR using luciferase-specific primers. Product formation was monitored with increasing cycles of amplification and analyzed by agarose gel electrophoresis. (D) The presence of a poly (A) tail is sufficient to stimulate mRNA translation in zebrafish oocytes. Luciferase reporter mRNAs (Luc vs. LucA50) were injected into 20–30 fully-grown zebrafish oocytes and assayed for luciferase activity after 6 hours. This experiment was repeated twice and shown here are the absolute values of luciferase activity from one representative experiment.
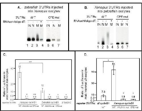
Figure 4. Directing polyadenylation and activating translation during oocyte maturation are evolutionarily conserved functions of cyclin B1 3'UTRs. (A) The zebrafish cyclinB1 3'UTR is sufficient to direct polyadenylation during Xenopus oocyte maturation, and the CPEs are required. Each P32-labeled 3'UTR RNA was injected into 30–50 Xenopus oocytes and some oocytes were matured. RNA isolated from injected non-mature oocytes or injected matured oocytes were analyzed by 4% denaturing PAGE. IN: Uninjected RNA. N: RNA from non-mature oocytes. M: RNA from mature oocytes. Half of the RNA from WT 3'UTR injected mature oocytes was treated with oligo dT/RNaseH prior to analysis (lane 4). The size reduction after oligo dT/RNaseH treatment (lane 4 versus lane 3) indicated that the WT 3'UTR RNA was polyadenylated. (B) The Xenopus cyclinB1 3'UTR is sufficient to direct polyadenylation during zebrafish oocyte maturation, and the CPEs are required. Each P32-labeled 3'UTR RNA was injected into 50–100 zebrafish oocytes and some oocytes were matured. RNA from injected non-matured oocytes or injected matured oocytes were analyzed by 4% denaturing PAGE. IN: Uninjected RNA. N: RNA from non-mature oocytes. M: RNA from mature oocytes. Half of the RNA extracted from WT 3'UTR injected matured oocytes was treated with oligo dT/RNaseH prior to analysis (lane 4). The size reduction after oligo dT/RNaseH treatment indicated that the WT 3'UTR RNA was polyadenylated (compare lanes 3 and 4). (C) The zebrafish cyclinB1 3'UTR is sufficient to activate translation during Xenopus oocyte maturation and the AAUAAA and CPE sequences are required for this activation. Luciferase reporter RNAs with various 3'UTRs were injected into 30–40 Xenopus oocytes and half were matured with progesterone. The ratios of luciferase activities from mature vs. non-mature oocytes were calculated and graphed as mean +/- SEM from at least three independent experiments. Statistical analysis was performed by one-way ANOVA. * P < 0.05, ** P < 0.01. Each Xenopus mutant 3'UTR was compared to Xenopus WT 3'UTR, each zebrafish mutant cyclin B1 3'UTR or WT bactin2 3'UTR was compared to zebrafish WT cyclin B1 3'UTR. The mature/non-mature ratio of Xenopus cyclin B1 3'UTR is significantly different from that of zebrafish cyclin B1 3'UTR (D) The Xenopus Cyclin B1 3'UTR is sufficient to activate translation during zebrafish oocyte maturation and the AAUAAA and CPE sequences are required for this activation. Luciferase reporter RNAs with various 3'UTRs were injected into 50–100 zebrafish oocytes and half were matured with hormone. The ratio of luciferase activities from mature versus non-mature oocytes were calculated and graphed as the mean values +/- SEM from at least three independent experiments. Statistical analysis was performed by one-way ANOVA. * P < 0.05. Each mutant Xenopus reporter was compared to WT Xenopus reporter. The mature/non-mature ratio of zebrafish cyclin B1 3'UTR is significantly different from that of Xenopus cyclin B1 3'UTR.
Figure 5. 3'UTR orthologs from zebrafish and Xenopus contain similar sequence elements but different architectures. (A) Schematic diagram of the zebrafish and Xenopus cyclin B1 3'UTRs depicting the RNA sequence elements that affect maturation-specific poly (A) addition and translation. The hexanucleotide sequences AAUAAA or AUUAAA, PBE: pumilio binding elements UGUA(N)AUA, CPE: cytoplasmic polyadenylation elements UUUUAU, UUUUUCAU, UUUUAAU, UUUUACU. The activity of the cyclin B1 3'UTRs in directing poly (A) addition and activating translation during oocyte maturation in both zebrafish and Xenopus (this study) are summarized on the right. (B) Schematic diagram comparing the 3'UTR architecture of zebrafish and Xenopus mRNAs. These 3'UTRs were chosen for comparison because previous studies demonstrated that the Xenopus 3'UTR in each pair is sufficient to direct poly (A) addition and activate translation during oocyte maturation. The following zebrafish mRNAs were used for analysis (listed as gene name, gene symbol, Accession number) cyclin A1, ccna1, accession BC095579; cyclin B1, ccnb1, NM_131513; b-actin2, bactin2, BC045879; cyclin B2, ccnb2, BC116569; wee1, wee1, BC116569; c-mos, mos, NM_205580, PRE – polyadenylation response element.
Bally-Cuif,
Characterization of the zebrafish Orb/CPEB-related RNA binding protein and localization of maternal components in the zebrafish oocyte.
1998, Pubmed,
Xenbase
Bally-Cuif,
Characterization of the zebrafish Orb/CPEB-related RNA binding protein and localization of maternal components in the zebrafish oocyte.
1998,
Pubmed
,
Xenbase Barkoff,
Translational control of cyclin B1 mRNA during meiotic maturation: coordinated repression and cytoplasmic polyadenylation.
2000,
Pubmed
,
Xenbase Barnard,
Symplekin and xGLD-2 are required for CPEB-mediated cytoplasmic polyadenylation.
2004,
Pubmed
,
Xenbase Charlesworth,
Cytoplasmic polyadenylation element (CPE)- and CPE-binding protein (CPEB)-independent mechanisms regulate early class maternal mRNA translational activation in Xenopus oocytes.
2004,
Pubmed
,
Xenbase Charlesworth,
A novel regulatory element determines the timing of Mos mRNA translation during Xenopus oocyte maturation.
2002,
Pubmed
,
Xenbase Colegrove-Otero,
RNA-binding proteins in early development.
2005,
Pubmed Colgan,
Mechanism and regulation of mRNA polyadenylation.
1997,
Pubmed Connors,
Temporal and spatial action of tolloid (mini fin) and chordin to pattern tail tissues.
2006,
Pubmed Danckwardt,
3' end mRNA processing: molecular mechanisms and implications for health and disease.
2008,
Pubmed de Moor,
Mechanisms of translational control by the 3' UTR in development and differentiation.
2005,
Pubmed Dosch,
Maternal control of vertebrate development before the midblastula transition: mutants from the zebrafish I.
2004,
Pubmed Fox,
Polyadenylation of maternal mRNA during oocyte maturation: poly(A) addition in vitro requires a regulated RNA binding activity and a poly(A) polymerase.
1992,
Pubmed Fox,
Poly(A) addition during maturation of frog oocytes: distinct nuclear and cytoplasmic activities and regulation by the sequence UUUUUAU.
1989,
Pubmed
,
Xenbase Fritz,
Regulation of the mRNAs encoding proteins of the BMP signaling pathway during the maternal stages of Xenopus development.
2001,
Pubmed
,
Xenbase Gallie,
The cap and poly(A) tail function synergistically to regulate mRNA translational efficiency.
1991,
Pubmed Hake,
Specificity of RNA binding by CPEB: requirement for RNA recognition motifs and a novel zinc finger.
1998,
Pubmed
,
Xenbase Hake,
CPEB is a specificity factor that mediates cytoplasmic polyadenylation during Xenopus oocyte maturation.
1994,
Pubmed
,
Xenbase Kondo,
Introduction of cyclin B induces activation of the maturation-promoting factor and breakdown of germinal vesicle in growing zebrafish oocytes unresponsive to the maturation-inducing hormone.
1997,
Pubmed Kondo,
Dispersion of cyclin B mRNA aggregation is coupled with translational activation of the mRNA during zebrafish oocyte maturation.
2001,
Pubmed Kuersten,
The power of the 3' UTR: translational control and development.
2003,
Pubmed Lyman Gingerich,
hecate, a zebrafish maternal effect gene, affects dorsal organizer induction and intracellular calcium transient frequency.
2005,
Pubmed McGrew,
Poly(A) elongation during Xenopus oocyte maturation is required for translational recruitment and is mediated by a short sequence element.
1989,
Pubmed
,
Xenbase Mendez,
Phosphorylation of CPEB by Eg2 mediates the recruitment of CPSF into an active cytoplasmic polyadenylation complex.
2000,
Pubmed
,
Xenbase Mendez,
Translational control by CPEB: a means to the end.
2001,
Pubmed
,
Xenbase Nakahata,
Involvement of Xenopus Pumilio in the translational regulation that is specific to cyclin B1 mRNA during oocyte maturation.
2003,
Pubmed
,
Xenbase Nakahata,
Biochemical identification of Xenopus Pumilio as a sequence-specific cyclin B1 mRNA-binding protein that physically interacts with a Nanos homolog, Xcat-2, and a cytoplasmic polyadenylation element-binding protein.
2001,
Pubmed
,
Xenbase Pelegri,
Maternal factors in zebrafish development.
2003,
Pubmed Piqué,
A combinatorial code for CPE-mediated translational control.
2008,
Pubmed
,
Xenbase Prasad,
Mos 3' UTR regulatory differences underlie species-specific temporal patterns of Mos mRNA cytoplasmic polyadenylation and translational recruitment during oocyte maturation.
2008,
Pubmed
,
Xenbase Sheets,
The 3'-untranslated regions of c-mos and cyclin mRNAs stimulate translation by regulating cytoplasmic polyadenylation.
1994,
Pubmed
,
Xenbase Stebbins-Boaz,
Maskin is a CPEB-associated factor that transiently interacts with elF-4E.
1999,
Pubmed
,
Xenbase Tay,
The control of cyclin B1 mRNA translation during mouse oocyte maturation.
2000,
Pubmed Tribulo,
Regulation of Msx genes by a Bmp gradient is essential for neural crest specification.
2003,
Pubmed
,
Xenbase Vardy,
Regulating translation of maternal messages: multiple repression mechanisms.
2007,
Pubmed Vasudevan,
Metazoan oocyte and early embryo development program: a progression through translation regulatory cascades.
2006,
Pubmed
,
Xenbase Yabe,
The zebrafish maternal-effect gene cellular atoll encodes the centriolar component sas-6 and defects in its paternal function promote whole genome duplication.
2007,
Pubmed