Click here to close
Hello! We notice that you are using Internet Explorer, which is not supported by Xenbase and may cause the site to display incorrectly.
We suggest using a current version of Chrome,
FireFox, or Safari.
Söker T, Dalke C, Puk O, Floss T, Becker L, Bolle I, Favor J, Hans W, Hölter SM, Horsch M, Kallnik M, Kling E, Moerth C, Schrewe A, Stigloher C, Topp S, Gailus-Durner V, Naton B, Beckers J, Fuchs H, Ivandic B, Klopstock T, Schulz H, Wolf E, Wurst W, Bally-Cuif L, de Angelis MH, Graw J.
???displayArticle.abstract???
In Drosophila, mutations in the gene eyes absent (eya) lead to severe defects in eye development. The functions of its mammalian orthologs Eya1-4 are only partially understood and no mouse model exists for Eya3. Therefore, we characterized the phenotype of a new Eya3 knockout mouse mutant. Expression analysis of Eya3 by in-situ hybridizations and beta-Gal-staining of Eya3 mutant mice revealed abundant expression of the gene throughout development, e.g. in brain, eyes, heart, somites and limbs suggesting pleiotropic effects of the mutated gene. A similar complex expression pattern was observed also in zebrafish embryos. The phenotype of young adult Eya3 mouse mutants was systematically analyzed within the German Mouse Clinic. There was no obvious defect in the eyes, ears and kidneys of Eya3 mutant mice. Homozygous mutants displayed decreased bone mineral content and shorter body length. In the lung, the tidal volume at rest was decreased, and electrocardiography showed increased JT- and PQ intervals as well as decreased QRS amplitude. Behavioral analysis of the mutants demonstrated a mild increase in exploratory behavior, but decreased locomotor activity and reduced muscle strength. Analysis of differential gene expression revealed 110 regulated genes in heart and brain. Using real-time PCR, we confirmed Nup155 being down regulated in both organs. The loss of Eya3 in the mouse has no apparent effect on eye development. The wide-spread expression of Eya3 in mouse and zebrafish embryos is in contrast to the restricted expression pattern in Xenopus embryos. The loss of Eya3 in mice leads to a broad spectrum of minor physiological changes. Among them, the mutant mice move less than the wild-type mice and, together with the effects on respiratory, muscle and heart function, the mutation might lead to more severe effects when the mice become older. Therefore, future investigations of Eya3 function should focus on aging mice.
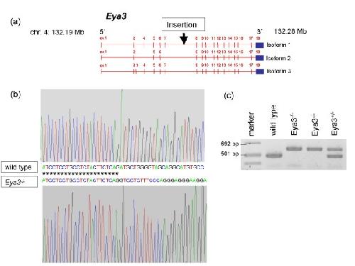
Figure 1. Generation of Eya3-deficient mice by insertional mutagenesis. (a) Schematic illustration of the gene trap vector integration into intron 7 of the Eya3 gene resulting in a loss of the following exons. (b) Sequence fragment of the Eya3 gene. The upper chromatogram displays the sequence of wild-type mice, while the lower chromatogram shows the vector integration in mutant mice at 132.23 Mb on chromosome 4 (Ensembl database, release No. 50, 2008). (c) Eya3 mutant mice were genotyped by triplex PCR with a genomic forward primer combined with a genomic reverse primer for identification of wild-type animals and with a reverse primer within the gene trap vector for identification of homozygous mutant animals.
Figure 2. Mutation of Eya3 causes a loss of exons 8 – 15 in homozygous mutants. (a) RT-PCR with cDNA of wild type and Eya3-/- embryos at developmental stages E11.5 (whole embryo), E13.5 (head), E15.5 (head) showed the loss of exons 8 – 15 of the Eya3 gene in Eya3-/- mice. (b) Northern-Blotting using RNA of wild-type and Eya3-/- embryos (E15.5) with a riboprobe against exons 8 – 11 confirmed the data received from RT-PCR.
Figure 3. Expression pattern of Eya3 in mice. (a) Expression analysis of Eya3 by lacZ-staining in homozygous Eya3-/- embryos (A – E, E9.5 – E13.5) revealed an expression of Eya3 in specific regions including the eyes, limbs, somites, branchial arches, tectorial regions, and in different areas of the developing brain. Since the expression pattern of Eya3 is identical, if analyzed by in-situ hybridization in wild-type embryos or by β-Gal expression in Eya3-/- mutant mice, only the mutant data are shown. Wild-type embryos as negative controls did not show lacZ-staining (F). (Ba, branchial arches; Ey, eye; Ea, ear; Fl, forelimb; FlB, forelimb bud; H, heart; Hl, hindlimb; HlB, hindlimb bud; OlP, olfactory pit; Ol, olfactory region; Ov, optic vesicle; OtV, otic vesicle; Pt, pretectorial region; So, somites; Tc, tectorial region; Ta, tail; Te, telencephalon; TeV, telencephalic vesicle; Tg, trigeminal nerve; Wf, follicle of whiskers). (b) Expression analysis of Eya3 in the eye with in-situ hybridization displayed transcripts in the detaching lens at E11.5 and afterwards in the lens epithelium and in the retina (E15.5 – E17.5) (L, lens; Le, lens epithelium; Lfc, lens fiber cells; Lv lens vesicle; R, retina; On, optic nerve). (c) RT-PCR with cDNA of adult mice showed an Eya3 expression in muscle, heart, brain, kidney and lung, however, no Eya3 transcript was found in the liver.
Figure 4. Whole-mount in-situ hybridization for eya3 expression in zebrafish embryos. Whole-mount in-situ hybridization for eya3 expression in zebrafish embryos reveals a ubiquitous expression of eya3 throughout gastrulation and early somitogenesis (A-F). Cross sections at the tailbud stage (level indicated in C) confirm expression in all cell layers (D), compared to a hybridization using the sense probe (E). The expression is more restricted to the anterior part of the embryo at 14 hpf (G). From 19 hpf the expression is most prominent in the developing brain and eye (H). By the beginning of the second day (28 hpf) (I) eya3 expression strongly decreases and is only weakly detectable in the eye, optic tectum, tegmentum and olfactory placode. This is confirmed on cross sections (J, L, at the levels indicated in I) compared to hybridization with the sense probe (K, M). Abbreviations: ap, animal pole; e, eye; l, lens; ot, optic tectum; olf, olfactory placode; r, retina; s, shield; tb, tailbud; teg, tegmentum.
Figure 5. Histology and funduscopy of the eye in Eya3 mouse mutants. (a) Histology of the eye showed no morphological differences between wild-type mice and homozygous mutants (C, cornea; L, lens; R, retina). In line with these results histological analysis (b) and funduscopy (c) of the retina could not detect structural impairments in mutant animals (GCL, ganglion cell layer; IPL, inner plexiform layer; INL, inner nuclear layer; OPL, outer plexiform layer; ONL, outer nuclear layer; RPE retinal pigment epithelium).
Figure 6. Electroretinography (ERG) and laser interference biometry. (a) The electroretinography displays no obvious deviations in the shape of the a-wave (response of photoreceptor cells) and b-wave (response of bi-polar cells) between wild-type controls and Eya3 mutant animals. (b) Measurement of the axial length of the entire eye and of the lens size in particular did not reveal significant alterations in Eya3 mutant animals compared to wild-type controls.
Figure 7. Electrocardiography (ECG) of wild-type and Eya3-/- mutant mice. a) Electrocardiogram of a wild-type control. b) Electrocardiogram of an Eya3-/-animal is shown. Eya3 mutant mice of both sexes displayed several alterations compared to the control animals: the PQ-interval and the JT-interval are extended in mutants, while the amplitude of the QRS-complex is reduced in Eya3-/- animals (alterations are indicated by black arrows).
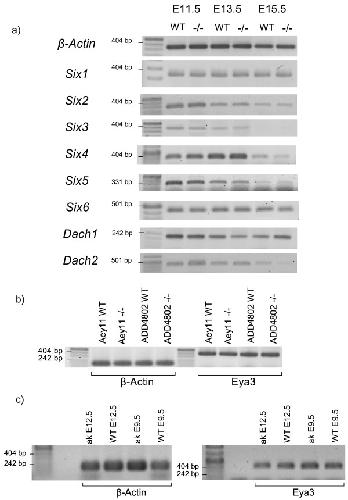
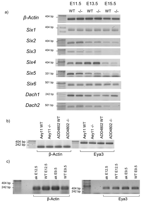
Figure 8. Eya3 and the retinal determination network. a) The expression of all six Six genes (Six1 – Six6) and the two Dach (Dach1, Dach2) genes have been investigated in wild-type and homozygous mutant embryos by RT-PCR using total mRNA; β-actin was used as loading control. b) Eya3 expression was tested in embryos of two homozygous Pax6 mutant alleles (Pax6Aey11 and Pax6ADD4802); β-actin was used as loading control. b) Eya3 expression was tested in embryos of a homozygous Pitx3 mutant allele (Pitx3ak); β-actin was used as loading control.
Figure 9. Heat plots of gene expression profiles from 8 DNA microarray experiments of Eya3 mutants versus control mice. Differential gene expression was analyzed in the brain (a) and in the heart (b). One dye-flip pair represents two experimental replicates of each analyzed mouse (A-D). One ArrayTAG ID is the unique probe identifier from the LION Bioscience clone set. Official gene symbols are given. The scale bar encodes the ratio of the fold induction; 0.7% (a) or 1.3% (b) of the elements are above the upper limit of the color range selection (red is up-regulated and green down-regulated in the Eya3 mutant mice).
Figure 10. Conserved elements in Eya3 promoter/enhancer region. Sequence analysis of 5 kb upstream from Eya3 transcriptional start site for mouse, zebrafish and Xenopus using mVISTA (parameters: 50% sequence identity, 80 bp window length). The analysis revealed 10 conserved non-coding regions within the mouse-zebrafish alignment (sequence identity: 1325 bp at 52.9%, highlighted in red) and only 1 conserved non-coding region for the mouse-Xenopus alignment (sequence identity: 78 bp at 50%). Transcription factor binding sites of a matrix similarity of 1.000 are mentioned. TSS, transcription start site.
Abdelhak,
Clustering of mutations responsible for branchio-oto-renal (BOR) syndrome in the eyes absent homologous region (eyaHR) of EYA1.
1997, Pubmed
Abdelhak,
Clustering of mutations responsible for branchio-oto-renal (BOR) syndrome in the eyes absent homologous region (eyaHR) of EYA1.
1997,
Pubmed Azuma,
Mutations of a human homologue of the Drosophila eyes absent gene (EYA1) detected in patients with congenital cataracts and ocular anterior segment anomalies.
2000,
Pubmed Beckers,
Identification and validation of novel ERBB2 (HER2, NEU) targets including genes involved in angiogenesis.
2005,
Pubmed Bonini,
Multiple roles of the eyes absent gene in Drosophila.
1998,
Pubmed Bonini,
The eyes absent gene: genetic control of cell survival and differentiation in the developing Drosophila eye.
1993,
Pubmed
,
Xenbase Borsani,
EYA4, a novel vertebrate gene related to Drosophila eyes absent.
1999,
Pubmed Chen,
Dachshund and eyes absent proteins form a complex and function synergistically to induce ectopic eye development in Drosophila.
1997,
Pubmed Christie,
Differential regulation of inhibitors of apoptosis proteins in Alzheimer's disease brains.
2007,
Pubmed Clark,
D-six4 plays a key role in patterning cell identities deriving from the Drosophila mesoderm.
2006,
Pubmed Dalke,
Electroretinography as a screening method for mutations causing retinal dysfunction in mice.
2004,
Pubmed Depreux,
Eya4-deficient mice are a model for heritable otitis media.
2008,
Pubmed DRORBAUGH,
A barometric method for measuring ventilation in newborn infants.
1955,
Pubmed Edgar,
Gene Expression Omnibus: NCBI gene expression and hybridization array data repository.
2002,
Pubmed Franz,
Nup155 regulates nuclear envelope and nuclear pore complex formation in nematodes and vertebrates.
2005,
Pubmed
,
Xenbase Frazer,
VISTA: computational tools for comparative genomics.
2004,
Pubmed Gaborit,
Regional and tissue specific transcript signatures of ion channel genes in the non-diseased human heart.
2007,
Pubmed Gailus-Durner,
Introducing the German Mouse Clinic: open access platform for standardized phenotyping.
2005,
Pubmed Gloeckner,
Quantitative analysis of transthyretin, tau and amyloid-beta in patients with dementia.
2008,
Pubmed Greenwood,
Cell line dependent RNA expression profiles of prion-infected mouse neuronal cells.
2005,
Pubmed Grifone,
Eya1 and Eya2 proteins are required for hypaxial somitic myogenesis in the mouse embryo.
2007,
Pubmed Grimm,
Aphakia (ak), a mouse mutation affecting early eye development: fine mapping, consideration of candidate genes and altered Pax6 and Six3 gene expression pattern.
1998,
Pubmed Hauptmann,
Two-color whole-mount in situ hybridization to vertebrate and Drosophila embryos.
1994,
Pubmed Heanue,
Synergistic regulation of vertebrate muscle development by Dach2, Eya2, and Six1, homologs of genes required for Drosophila eye formation.
1999,
Pubmed Hegde,
A concise guide to cDNA microarray analysis.
2000,
Pubmed Heneka,
Neuronal and glial coexpression of argininosuccinate synthetase and inducible nitric oxide synthase in Alzheimer disease.
2001,
Pubmed Horsch,
Systematic gene expression profiling of mouse model series reveals coexpressed genes.
2008,
Pubmed Jemc,
The eyes absent family of phosphotyrosine phosphatases: properties and roles in developmental regulation of transcription.
2007,
Pubmed Kallnik,
Impact of IVC housing on emotionality and fear learning in male C3HeB/FeJ and C57BL/6J mice.
2007,
Pubmed Kim,
Decreased levels of ARPP-19 and PKA in brains of Down syndrome and Alzheimer's disease.
2001,
Pubmed Kimmel,
Stages of embryonic development of the zebrafish.
1995,
Pubmed
,
Xenbase Kriebel,
Xeya3 regulates survival and proliferation of neural progenitor cells within the anterior neural plate of Xenopus embryos.
2007,
Pubmed
,
Xenbase Laclef,
Thymus, kidney and craniofacial abnormalities in Six 1 deficient mice.
2003,
Pubmed Li,
Eya protein phosphatase activity regulates Six1-Dach-Eya transcriptional effects in mammalian organogenesis.
2003,
Pubmed Makishima,
Nonsyndromic hearing loss DFNA10 and a novel mutation of EYA4: evidence for correlation of normal cardiac phenotype with truncating mutations of the Eya domain.
2007,
Pubmed März,
Ataxin-10, the spinocerebellar ataxia type 10 neurodegenerative disorder protein, is essential for survival of cerebellar neurons.
2004,
Pubmed Ohl,
Differential analysis of behavior and diazepam-induced alterations in C57BL/6N and BALB/c mice using the modified hole board test.
2001,
Pubmed Ohto,
Cooperation of six and eya in activation of their target genes through nuclear translocation of Eya.
1999,
Pubmed Pfaffl,
Relative expression software tool (REST) for group-wise comparison and statistical analysis of relative expression results in real-time PCR.
2002,
Pubmed Pignoni,
The eye-specification proteins So and Eya form a complex and regulate multiple steps in Drosophila eye development.
1997,
Pubmed Puk,
Variations of eye size parameters among different strains of mice.
2006,
Pubmed Rayapureddi,
Eyes absent represents a class of protein tyrosine phosphatases.
2003,
Pubmed Rebay,
New vision from Eyes absent: transcription factors as enzymes.
2005,
Pubmed Romero-Isart,
Engineering of metallothionein-3 neuroinhibitory activity into the inactive isoform metallothionein-1.
2002,
Pubmed Saeed,
TM4: a free, open-source system for microarray data management and analysis.
2003,
Pubmed Schönberger,
Mutation in the transcriptional coactivator EYA4 causes dilated cardiomyopathy and sensorineural hearing loss.
2005,
Pubmed Seltmann,
Assessment of a systematic expression profiling approach in ENU-induced mouse mutant lines.
2005,
Pubmed Silver,
Functional dissection of eyes absent reveals new modes of regulation within the retinal determination gene network.
2003,
Pubmed Tootle,
The transcription factor Eyes absent is a protein tyrosine phosphatase.
2003,
Pubmed Tusher,
Significance analysis of microarrays applied to the ionizing radiation response.
2001,
Pubmed Wiles,
Establishment of a gene-trap sequence tag library to generate mutant mice from embryonic stem cells.
2000,
Pubmed Xu,
Eya1-deficient mice lack ears and kidneys and show abnormal apoptosis of organ primordia.
1999,
Pubmed Xu,
Mouse Eya homologues of the Drosophila eyes absent gene require Pax6 for expression in lens and nasal placode.
1997,
Pubmed Yoo,
Synaptosomal proteins, beta-soluble N-ethylmaleimide-sensitive factor attachment protein (beta-SNAP), gamma-SNAP and synaptotagmin I in brain of patients with Down syndrome and Alzheimer's disease.
2001,
Pubmed Zou,
CARP, a cardiac ankyrin repeat protein, is downstream in the Nkx2-5 homeobox gene pathway.
1997,
Pubmed
,
Xenbase