Click here to close
Hello! We notice that you are using Internet Explorer, which is not supported by Xenbase and may cause the site to display incorrectly.
We suggest using a current version of Chrome,
FireFox, or Safari.
Nucleic Acids Res
2008 Nov 01;3619:6091-100. doi: 10.1093/nar/gkn616.
Show Gene links
Show Anatomy links
Identification of the Xenopus DNA2 protein as a major nuclease for the 5'->3' strand-specific processing of DNA ends.
Liao S, Toczylowski T, Yan H.
???displayArticle.abstract???
The first step of homology-dependent DNA double-strand break (DSB) repair is the 5' strand-specific processing of DNA ends to generate 3' single-strand tails. Despite extensive effort, the nuclease(s) that is directly responsible for the resection of 5' strands in eukaryotic cells remains elusive. Using nucleoplasmic extracts (NPE) derived from the eggs of Xenopus laevis as the model system, we have found that DNA processing consists of at least two steps: an ATP-dependent unwinding of ends and an ATP-independent 5'-->3' degradation of single-strand tails. The unwinding step is catalyzed by DNA helicases, the major one of which is the Xenopus Werner syndrome protein (xWRN), a member of the RecQ helicase family. In this study, we report the purification and identification of the Xenopus DNA2 (xDNA2) as one of the nucleases responsible for the 5'-->3' degradation of single-strand tails. Immunodepletion of xDNA2 resulted in a significant reduction in end processing and homology-dependent DSB repair. These results provide strong evidence that xDNA2 is a major nuclease for the resection of DNA ends for homology-dependent DSB repair in eukaryotes.
Figure 1. Purification and identification of the major 5′→3′ ssDNA exonuclease in Xenopus extracts. (A) Purification scheme. (B) Nuclease assay of the heparin flow through and 250 mM NaCl elute. The oligo substrate carried two 32P-labeled dA near the 3′-end and was attached to magnetic beads through a biotin at the 3′-end. After incubation at room temperature for 1 h, the reactions were terminated with 1% SDS, heated at 95°C for 5 min and then analyzed on an 8% TAE/PAGE. The 32P signal was detected by Phophoimager (Fuji). The nuclease activity was determined by calculating the fraction of small product generated (normalized to that of reaction 3 that contained both the 250 mM elute and the flow through). (C) A silver stained SDS–PAGE gel (4–12%) of the purified xDNA2 after the oligo beads purification. Load, proteins before binding to the oligo beads; unbound, proteins after incubation with beads; elute, bound proteins eluted by high salt buffer. (D) Nuclease assay of the purified xDNA2 in the presence of heparin flow through or buffer. The assay condition and the determination of the nuclease activity were similar to those in (B).
Figure 2. Identification of xRPA as the stimulating factor for xDNA2. (A) Western blot of xRPA (p70 subunit) in the heparin flow through before and after incubation with ss-oligo beads. (B) The stimulating activity in heparin flow through, before and after incubation with oligo beads, and pure xRPA (at 90 nM and 30 nM). The reactions were terminated with 1% SDS, heated at 95°C for 5 min, and then analyzed on an 8% TAE/PAGE. (C) Nuclease assay with different DNA substrates. The substrates were 48-mers in either ss- or ds-form. They were attached to magnetic beads, leaving either the 5′ or the 3′-end (of the 32P-labeled strand) accessible to the nuclease. The assay condition was similar to that in (B).
Figure 3. Effect of xDNA2 on DNA end processing. (A) Depletion efficiency, end processing substrate, and reaction set up. The quantitation standards for western analysis were NPE loaded at the indicated amounts relative the depleted NPE. The 3′-ends of the partially filled-in linear pUC19 were labeled with 32P-dA by Klenow. (B) Effect of xDNA2 depletion on end processing. DNA (2 ng/µl) was incubated in xDNA2-depleted NPE, mock-depleted NPE or xDNA2-depleted NPE supplemented with either ELB buffer or the purified xDNA2 protein (to ∼15% of the endogenous xDNA2 level) in the presence of ddNTPs (to block NHEJ). Two additional reactions containing xDNA2 or ELB buffer served as controls. Samples were taken at the indicated time, treated with SDS/proteinase K and separated on a 1% TAE/agarose gel. The gel was first stained with SYBR Gold to detect total DNA and then dried for exposure to X-ray film to detect 32P.
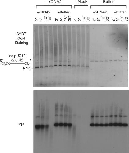
Figure 4. Effect of xDNA2 on 5′ ss-tail degradation. Denatured pUC19 DNA (2 ng/µl) labeled at the 3′-end was incubated in xDNA2-depleted or mock-depleted NPE supplemented with buffer or the purified xDNA2 (to ∼5% of the level of the endogenous xDNA2). Time points were treated with SDS/proteinase K and separated on a 1% TAE agarose gel. The gel was first stained with SYBR Gold to detect total DNA and then dried for exposure to X-ray film to detect 32P. The band migrated just below the ss-pUC19 DNA is the RNA in NPE.
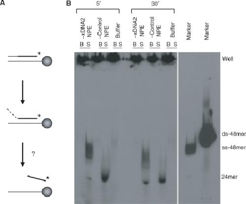
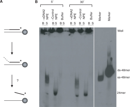
Figure 5. Effect of xDNA2 on end unwinding. (A) Principle of the unwinding assay. Thin line: normal nucleotides; thick line: thio nucleotides; *, 32P label. (B) The thio 5′ oligo duplex precoated onto Streptavidin magnetic beads was incubated in xDNA2-depleted or mock-depleted NPE. Samples were separated into bead and supernatant fractions, treated with SDS/proteinase K and analyzed on a 10% native TAE PAGE. B, beads; S, supernatant. The SDS/proteinase K treatment in this study was at room temperature for 2 h, a condition not harsh enough to disrupt the binding of biotin with Streptavidin (1).
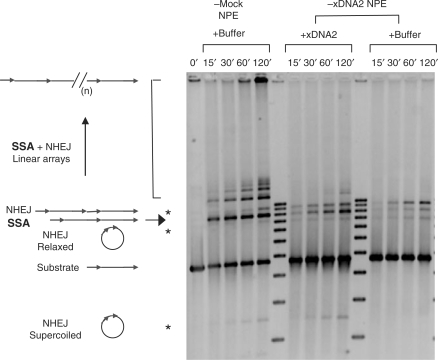
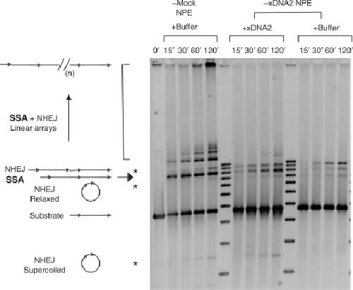
Figure 6. Effect of xDNA2 on SSA. The substrate, pRW4′, which carried two direct repeats at the partially filled-in XhoI protruding ends, was incubated in mock-depleted or xDNA2-depleted NPE (supplemented with xDNA2 or buffer) at room temperature. DNA samples were taken at the indicated times, treated with SDS/EDTA/Proteinase K, separated by TAE/agarose gel electrophoresis and detected by SYBR Gold stain. The SSA products include the band indicated by the arrow and a subset of the bands indicated by the bracket. The asterisks indicate the NHEJ products.
Figure 7. Model for the strand-specific processing of DNA ends. (A) End processing in the nucleoplasmic extract. xWRN (and potentially other helicases) are recruited to unwind the end in an ATP-dependent reaction. xDNA2 (and another exonuclease(s)) degrades the 5′ ss-tail. Proteins like MRE11 and CtIP (not depicted) might act upstream of xWRN. (B) The postulated RecQ-RecJ mechanism for end processing.
Amundsen,
Interchangeable parts of the Escherichia coli recombination machinery.
2003, Pubmed
Amundsen,
Interchangeable parts of the Escherichia coli recombination machinery.
2003,
Pubmed Bae,
RPA governs endonuclease switching during processing of Okazaki fragments in eukaryotes.
2001,
Pubmed Baumann,
Role of the human RAD51 protein in homologous recombination and double-stranded-break repair.
1998,
Pubmed Budd,
A network of multi-tasking proteins at the DNA replication fork preserves genome stability.
2005,
Pubmed Budd,
The nuclease activity of the yeast DNA2 protein, which is related to the RecB-like nucleases, is essential in vivo.
2000,
Pubmed Budd,
The pattern of sensitivity of yeast dna2 mutants to DNA damaging agents suggests a role in DSB and postreplication repair pathways.
2000,
Pubmed Budd,
A yeast gene required for DNA replication encodes a protein with homology to DNA helicases.
1995,
Pubmed Cheng,
Werner syndrome protein associates with gamma H2AX in a manner that depends upon Nbs1.
2005,
Pubmed Clerici,
The Saccharomyces cerevisiae Sae2 protein promotes resection and bridging of double strand break ends.
2005,
Pubmed Fiorentini,
Exonuclease I of Saccharomyces cerevisiae functions in mitotic recombination in vivo and in vitro.
1997,
Pubmed Imamura,
The human Bloom syndrome gene suppresses the DNA replication and repair defects of yeast dna2 mutants.
2003,
Pubmed Karran,
DNA double strand break repair in mammalian cells.
2000,
Pubmed Keeney,
Covalent protein-DNA complexes at the 5' strand termini of meiosis-specific double-strand breaks in yeast.
1995,
Pubmed Kowalczykowski,
Initiation of genetic recombination and recombination-dependent replication.
2000,
Pubmed Krogh,
Mutations in Mre11 phosphoesterase motif I that impair Saccharomyces cerevisiae Mre11-Rad50-Xrs2 complex stability in addition to nuclease activity.
2005,
Pubmed Lengsfeld,
Sae2 is an endonuclease that processes hairpin DNA cooperatively with the Mre11/Rad50/Xrs2 complex.
2007,
Pubmed Liu,
Identification of the Xenopus laevis homolog of Saccharomyces cerevisiae DNA2 and its role in DNA replication.
2000,
Pubmed
,
Xenbase Llorente,
The Mre11 nuclease is not required for 5' to 3' resection at multiple HO-induced double-strand breaks.
2004,
Pubmed Moreau,
The nuclease activity of Mre11 is required for meiosis but not for mating type switching, end joining, or telomere maintenance.
1999,
Pubmed Moreau,
Overlapping functions of the Saccharomyces cerevisiae Mre11, Exo1 and Rad27 nucleases in DNA metabolism.
2001,
Pubmed Pastink,
Genomic integrity and the repair of double-strand DNA breaks.
2001,
Pubmed Paull,
The 3' to 5' exonuclease activity of Mre 11 facilitates repair of DNA double-strand breaks.
1998,
Pubmed Paull,
Nbs1 potentiates ATP-driven DNA unwinding and endonuclease cleavage by the Mre11/Rad50 complex.
1999,
Pubmed Sartori,
Human CtIP promotes DNA end resection.
2007,
Pubmed Sharma,
In vivo function of the conserved non-catalytic domain of Werner syndrome helicase in DNA replication.
2004,
Pubmed Smythe,
Systems for the study of nuclear assembly, DNA replication, and nuclear breakdown in Xenopus laevis egg extracts.
1991,
Pubmed
,
Xenbase Symington,
Role of RAD52 epistasis group genes in homologous recombination and double-strand break repair.
2002,
Pubmed Takeda,
Ctp1/CtIP and the MRN complex collaborate in the initial steps of homologous recombination.
2007,
Pubmed Toczylowski,
Mechanistic analysis of a DNA end processing pathway mediated by the Xenopus Werner syndrome protein.
2006,
Pubmed
,
Xenbase Tomita,
Fission yeast Dna2 is required for generation of the telomeric single-strand overhang.
2004,
Pubmed Tran,
EXO1-A multi-tasking eukaryotic nuclease.
2004,
Pubmed Trujillo,
DNA structure-specific nuclease activities in the Saccharomyces cerevisiae Rad50*Mre11 complex.
2001,
Pubmed Trujillo,
Nuclease activities in a complex of human recombination and DNA repair factors Rad50, Mre11, and p95.
1998,
Pubmed Walter,
Regulated chromosomal DNA replication in the absence of a nucleus.
1998,
Pubmed
,
Xenbase Weitao,
Evidence that yeast SGS1, DNA2, SRS2, and FOB1 interact to maintain rDNA stability.
2003,
Pubmed Yan,
FFA-1, a protein that promotes the formation of replication centers within nuclei.
1995,
Pubmed
,
Xenbase Yan,
Analysis of the Xenopus Werner syndrome protein in DNA double-strand break repair.
2005,
Pubmed
,
Xenbase Yan,
Cell cycle-regulated nuclear localization of MCM2 and MCM3, which are required for the initiation of DNA synthesis at chromosomal replication origins in yeast.
1993,
Pubmed