XB-ART-38342
PLoS One
2007 Aug 08;28:e797. doi: 10.1371/journal.pone.0000797.
Show Gene links
Show Anatomy links
Molecular characterization of a novel intracellular ADP-ribosyl cyclase.
Churamani D, Boulware MJ, Geach TJ, Martin AC, Moy GW, Su YH, Vacquier VD, Marchant JS, Dale L, Patel S.
???displayArticle.abstract???
BACKGROUND: ADP-ribosyl cyclases are remarkable enzymes capable of catalyzing multiple reactions including the synthesis of the novel and potent intracellular calcium mobilizing messengers, cyclic ADP-ribose and NAADP. Not all ADP-ribosyl cyclases however have been characterized at the molecular level. Moreover, those that have are located predominately at the outer cell surface and thus away from their cytosolic substrates. METHODOLOGY/PRINCIPAL FINDINGS: Here we report the molecular cloning of a novel expanded family of ADP-ribosyl cyclases from the sea urchin, an extensively used model organism for the study of inositol trisphosphate-independent calcium mobilization. We provide evidence that one of the isoforms (SpARC1) is a soluble protein that is targeted exclusively to the endoplasmic reticulum lumen when heterologously expressed. Catalytic activity of the recombinant protein was readily demonstrable in crude cell homogenates, even under conditions where luminal continuity was maintained. CONCLUSIONS/SIGNIFICANCE: Our data reveal a new intracellular location for ADP-ribosyl cyclases and suggest that production of calcium mobilizing messengers may be compartmentalized.
???displayArticle.pubmedLink??? 17726527
???displayArticle.pmcLink??? PMC1949048
???displayArticle.link??? PLoS One
Species referenced: Xenopus
Genes referenced: ngdn
???attribute.lit??? ???displayArticles.show???
|
|
Figure 1. A new family of sea urchin ADP-ribosyl cyclases.A, Sequence alignment of the predicted coding regions of three ADP-ribosyl cyclases isolated from Stronglycentrotus purpuratus cDNA libraries (termed SpARC1-3) and representative members of the ADP-ribosyl cyclase family. Conserved cysteine and catalytic residues are highlighted in yellow and green, respectively. Abbreviations: Ac, Aplysia californica; Hs, Homo sapiens; Sm, Schistosoma mansoni. |
|
|
Figure 2. SpARC1 is glycosylated.A, In vitro translation. mRNA coding for C terminally myc-tagged SpARC1 was translated in the presence of [35S]methionine using rabbit reticulocyte lysate. Autoradiogram of translation reactions performed in the absence (−) or presence (+) of canine pancreatic microsomes. B, Expression of SpARC1 in Xenopus laevis embryos. Western blot analysis using an anti-myc antibody of homogenates prepared from control embryos (C) or embryos injected with mRNA for myc-tagged SpARC1. Samples were either mock treated (−) or digested with PNGase F (+) prior to analysis (left). Migration of molecular mass markers (in kDa) is shown on the left of the panels. |
|
|
Figure 3. SpARC1 is a soluble luminal protein.A, Sub-cellular fractionation. Xenopus laevis embryos expressing myc-tagged SpARC1 were homogenized in a sucrose-containing buffer and diluted in to the same buffer (C), a carbonate-containing buffer (Na2CO3) or a hypertonic buffer (Hyper.). In other experiments the embryos were freeze-thawed and sonicated in a hypotonic buffer (Hypo.). All samples were centrifuged and the resulting pellets and supernatant fractions analysed by Western blotting. B, Proteolytic protection. Xenopus laevis embryos expressing myc-tagged SpARC1 were homogenized in a sucrose-containing buffer and the homogenates incubated with or without 1% v/v Triton X-100. Samples were then treated with the indicated concentration of proteinase K before Western blot analysis. |
|
|
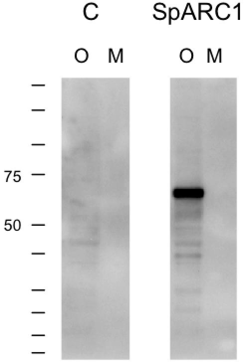
Figure 4. SpARC1 is not secreted.Control Xenopus laevis oocytes or oocytes injected with myc-tagged SpARC1 were cultured overnight and Western blots for both the oocytes (O) and culture media (M) performed. 0.5 oocyte equivalents were loaded in each lane. |
|
|
Figure 5. SpARC1 localizes to the endoplasmic reticulum in Xenopus laevis oocytes and eggs.A, Confocal fluorescence images of Xenopus laevis oocytes co-expressing myc-tagged SpARC1 (red) and GFP-tagged human reduced folate carrier (hRFC, green). SpARC1 expression was detected by immunocytochemistry using an anti-myc primary antibody and an FITC labeled secondary antibody whereas hRFC was detected by GFP fluorescence. A plot of the individual emission intensities with depth averaged along a 5 µm wide section (arrowed line) in the overlay image is shown on the right. B, Lateral (‘xy’) images of SpARC1 expression (green) in oocytes and in eggs (right). The control image was obtained from an identically processed un-injected oocyte. Images were captured from the animal (A) and vegetal (V) poles as indicated. |
|
|
Figure 6. SpARC1 localizes to the endoplasmic reticulum in HEK cells.A, Western blot analysis using an anti-myc antibody of homogenates prepared from mock transfected cells (C) or cells transfected with myc-tagged SpARC1 (left). PNGase F treatment (right) was performed as described in Fig. 2. B–C, Expression of myc-tagged SpARC1 and DsRed2-ER (B) or mitochondrial GFP (C) in HEK cells transfected with the indicated plasmid or plasmid combination. SpARC1 expression was detected by immunocytochemistry using an anti-myc primary antibody and a Cy5-labelled secondary antibody, whereas the endoplasmic reticulum and mitochondria were visualized by fluorescence of the DsRed2 and GFP reporters, respectively. Results from control, mock-transfected cultures are also shown. Images were captured at the wavelengths corresponding to the colours marked at the side of the figure. |
|
|
Figure 7. SpARC1 catalyses NAADP production.A, Hypotonic lysates from Xenopus laevis embryos were incubated with NADP (1 mM) and nicotinic acid (NA, 50 mM) at pH 4 for 21 h and the resulting mixtures separated by HPLC. The top chromatograms are from lysates prepared from control embryos (dashed lines) and embryos injected with myc-tagged SpARC1 mRNA (solid line). The elution of authentic NAADP is shown below. B, Western blot comparing SpARC1 expression in 4 independent embryo preparations. C, Production of NAADP following incubation of a typical embryo homogenate with substrates for the indicated times. D, A plot of the initial rate of NAADP production (measured over 3 h) against the level of SpARC1 expression (determined by densitometric analysis of Western blot data for the preparations analysed in B). |
|
|
Figure 8. SpARC1 catalyses cyclic GDP-ribose production.Homogenates from Xenopus laevis embryos were incubated with 1 mM NGD for 21 h at pH 7.2 and the resulting mixtures separated by HPLC. A, Representative chromatograms from lysates prepared from control embryos (dashed lines) and embryos injected with myc-tagged SpARC1 mRNA (solid line). Both hypotonic lysates (Hypo.; top) or homogenates prepared in sucrose-containing medium (Sucrose; middle) were used. The elution of authentic cyclic GDP-ribose is shown below. B, Pooled data (mean+/−standard error of the mean) from 3 experiments comparing the amount of cyclic GDP-ribose produced using either control (C) or SpARC1-expressing preparations. C, Western blot analysis of myc-tagged SpARC1 expression in pellet (P) and supernatant (S) fractions prepared following centrifugation of the two reaction mixes from a typical experiment described in A at the end of the incubation period. D, 45Ca flux uptake by homogenates prepared from Xenopus embryos (in sucrose-containing media) or sea urchin eggs either in the absence (−) or presence (+) of the sarco-endoplasmic reticulum calcium ATPase inhibitor, thapsigargin (Tg; 1 µM). Data are presented as means±standard deviation of triplicate samples from one of 3 independent experiments. |
|
|
Figure 9. Compartmentalized ADP-ribosyl cyclase signalling.Hypothetical scheme whereby putative transporter molecules allow delivery of substrates from the cytoplasm (Cyto.) to SpARC1 located in the endoplasmic reticulum (ER) and the subsequent release of the formed products. See text for details. |
References [+] :
Aarhus,
Activation and inactivation of Ca2+ release by NAADP+.
1996, Pubmed
Aarhus, Activation and inactivation of Ca2+ release by NAADP+. 1996, Pubmed
Adebanjo, A new function for CD38/ADP-ribosyl cyclase in nuclear Ca2+ homeostasis. 1999, Pubmed
Bendtsen, Improved prediction of signal peptides: SignalP 3.0. 2004, Pubmed
Berger, The new life of a centenarian: signalling functions of NAD(P). 2004, Pubmed
Berridge, The versatility and universality of calcium signalling. 2000, Pubmed
Berridge, Metabolism of the novel Ca2+-mobilizing messenger nicotinic acid-adenine dinucleotide phosphate via a 2'-specific Ca2+-dependent phosphatase. 2002, Pubmed
Berridge, Solubilization of receptors for the novel Ca2+-mobilizing messenger, nicotinic acid adenine dinucleotide phosphate. 2002, Pubmed
Billington, Characterization of cyclic adenine dinucleotide phosphate ribose levels in human spermatozoa. 2006, Pubmed
Billington, A transport mechanism for NAADP in a rat basophilic cell line. 2006, Pubmed
Billington, Nicotinic acid adenine dinucleotide phosphate (NAADP) is present at micromolar concentrations in sea urchin spermatozoa. 2002, Pubmed
Boulware, IP3 receptor activity is differentially regulated in endoplasmic reticulum subdomains during oocyte maturation. 2005, Pubmed , Xenbase
Brailoiu, Nicotinic acid adenine dinucleotide phosphate potentiates neurite outgrowth. 2005, Pubmed
Brailoiu, Nicotinic acid adenine dinucleotide phosphate enhances quantal neurosecretion at the frog neuromuscular junction: possible action on synaptic vesicles in the releasable pool. 2001, Pubmed
Brailoiu, Messenger-specific role for nicotinic acid adenine dinucleotide phosphate in neuronal differentiation. 2006, Pubmed
Bruzzone, Cyclic ADP-ribose is a second messenger in the lipopolysaccharide-stimulated proliferation of human peripheral blood mononuclear cells. 2003, Pubmed
Ceni, Evidence for an intracellular ADP-ribosyl cyclase/NAD+-glycohydrolase in brain from CD38-deficient mice. 2003, Pubmed
Chameau, Ryanodine-, IP3- and NAADP-dependent calcium stores control acetylcholine release. 2001, Pubmed
Chenna, Multiple sequence alignment with the Clustal series of programs. 2003, Pubmed
Chini, Cyclic ADP-ribose signaling in sea urchin gametes: metabolism in spermatozoa. 1997, Pubmed
Churchill, Sperm deliver a new second messenger: NAADP. 2003, Pubmed
Churchill, NAADP mobilizes Ca(2+) from reserve granules, lysosome-related organelles, in sea urchin eggs. 2002, Pubmed
Clapper, Pyridine nucleotide metabolites stimulate calcium release from sea urchin egg microsomes desensitized to inositol trisphosphate. 1987, Pubmed
De Flora, Autocrine and paracrine calcium signaling by the CD38/NAD+/cyclic ADP-ribose system. 2004, Pubmed
Dickinson, Modulation of NAADP (nicotinic acid-adenine dinucleotide phosphate) receptors by K+ ions: evidence for multiple NAADP receptor conformations. 2003, Pubmed
Eisenhaber, Prediction of potential GPI-modification sites in proprotein sequences. 1999, Pubmed
Fukushi, Identification of cyclic ADP-ribose-dependent mechanisms in pancreatic muscarinic Ca(2+) signaling using CD38 knockout mice. 2001, Pubmed
Galione, Ca(2+)-induced Ca2+ release in sea urchin egg homogenates: modulation by cyclic ADP-ribose. 1991, Pubmed
Galione, cGMP mobilizes intracellular Ca2+ in sea urchin eggs by stimulating cyclic ADP-ribose synthesis. 1993, Pubmed
Galione, Redundant mechanisms of calcium-induced calcium release underlying calcium waves during fertilization of sea urchin eggs. 1993, Pubmed , Xenbase
Galione, The NAADP receptor: new receptors or new regulation? 2005, Pubmed
Galione, NAADP-induced calcium release in sea urchin eggs. 2000, Pubmed
Genazzani, Unique inactivation properties of NAADP-sensitive Ca2+ release. 1996, Pubmed
Glick, Primary structure of a molluscan egg-specific NADase, a second-messenger enzyme. 1991, Pubmed
Goodrich, Production of calcium-mobilizing metabolites by a novel member of the ADP-ribosyl cyclase family expressed in Schistosoma mansoni. 2005, Pubmed
Graeff, Cyclic GMP-dependent and -independent effects on the synthesis of the calcium messengers cyclic ADP-ribose and nicotinic acid adenine dinucleotide phosphate. 1998, Pubmed
Graeff, Enzymatic synthesis and characterizations of cyclic GDP-ribose. A procedure for distinguishing enzymes with ADP-ribosyl cyclase activity. 1994, Pubmed
Guida, Equilibrative and concentrative nucleoside transporters mediate influx of extracellular cyclic ADP-ribose into 3T3 murine fibroblasts. 2002, Pubmed
Guse, Regulation of calcium signalling in T lymphocytes by the second messenger cyclic ADP-ribose. 1999, Pubmed
Heidemann, Extracellular application of nicotinic acid adenine dinucleotide phosphate induces Ca2+ signaling in astrocytes in situ. 2005, Pubmed
Hirata, ADP ribosyl cyclase activity of a novel bone marrow stromal cell surface molecule, BST-1. 1994, Pubmed
Hohenegger, Nicotinic acid-adenine dinucleotide phosphate activates the skeletal muscle ryanodine receptor. 2002, Pubmed
Howard, Formation and hydrolysis of cyclic ADP-ribose catalyzed by lymphocyte antigen CD38. 1993, Pubmed
Kato, CD38 disruption impairs glucose-induced increases in cyclic ADP-ribose, [Ca2+]i, and insulin secretion. 1999, Pubmed
Kuhn, Redesign of Schistosoma mansoni NAD+ catabolizing enzyme: active site H103W mutation restores ADP-ribosyl cyclase activity. 2006, Pubmed
Kyte, A simple method for displaying the hydropathic character of a protein. 1982, Pubmed
Lee, Enzymatic functions and structures of CD38 and homologs. 2000, Pubmed
Lee, Cyclic ADP-ribose and calcium signaling in eggs. 1996, Pubmed
Lee, A derivative of NADP mobilizes calcium stores insensitive to inositol trisphosphate and cyclic ADP-ribose. 1995, Pubmed
Lee, Multiplicity of Ca2+ messengers and Ca2+ stores: a perspective from cyclic ADP-ribose and NAADP. 2004, Pubmed
Lee, Structural determination of a cyclic metabolite of NAD+ with intracellular Ca2+-mobilizing activity. 1989, Pubmed
Lee, Physiological functions of cyclic ADP-ribose and NAADP as calcium messengers. 2001, Pubmed
Lee, Calcium mobilization by dual receptors during fertilization of sea urchin eggs. 1993, Pubmed
Lim, NAADP+ initiates the Ca2+ response during fertilization of starfish oocytes. 2001, Pubmed
Mani, Demonstration of equilibrative nucleoside transporters (hENT1 and hENT2) in nuclear envelopes of cultured human choriocarcinoma (BeWo) cells by functional reconstitution in proteoliposomes. 1998, Pubmed
Matsumura, Involvement of cytosolic NAD+ glycohydrolase in cyclic ADP-ribose metabolism. 1998, Pubmed
Mészáros, Sarcoplasmic reticulum-associated and protein kinase C-regulated ADP-ribosyl cyclase in cardiac muscle. 1997, Pubmed
Moreno-García, Localization of CD38 in murine B lymphocytes to plasma but not intracellular membranes. 2005, Pubmed
Munshi, Characterization of the active site of ADP-ribosyl cyclase. 1999, Pubmed
Partida-Sánchez, Cyclic ADP-ribose production by CD38 regulates intracellular calcium release, extracellular calcium influx and chemotaxis in neutrophils and is required for bacterial clearance in vivo. 2001, Pubmed
Patel, Coordination of Ca2+ signalling by NAADP. 2001, Pubmed
Soares, NAADP as a second messenger: neither CD38 nor base-exchange reaction are necessary for in vivo generation of NAADP in myometrial cells. 2007, Pubmed
Sternfeld, Hormonal control of ADP-ribosyl cyclase activity in pancreatic acinar cells from rats. 2003, Pubmed
Subramanian, Intracellular trafficking/membrane targeting of human reduced folate carrier expressed in Xenopus oocytes. 2001, Pubmed , Xenbase
Takasawa, Cyclic ADP-ribose in insulin secretion from pancreatic beta cells. 1993, Pubmed
Terasaki, Organization of the sea urchin egg endoplasmic reticulum and its reorganization at fertilization. 1991, Pubmed
Todisco, Identification of the mitochondrial NAD+ transporter in Saccharomyces cerevisiae. 2006, Pubmed
Wilson, Differential regulation of nicotinic acid-adenine dinucleotide phosphate and cADP-ribose production by cAMP and cGMP. 1998, Pubmed
Wilson, Adp-ribosyl cyclase and cyclic ADP-ribose hydrolase act as a redox sensor. a primary role for cyclic ADP-ribose in hypoxic pulmonary vasoconstriction. 2001, Pubmed
Xie, ADP-ribosyl cyclase couples to cyclic AMP signaling in the cardiomyocytes. 2005, Pubmed
Yamada, Ultrastructural localization of CD38 immunoreactivity in rat brain. 1997, Pubmed
Zhang, Production of NAADP and its role in Ca2+ mobilization associated with lysosomes in coronary arterial myocytes. 2006, Pubmed
Zocchi, NAD+-dependent internalization of the transmembrane glycoprotein CD38 in human Namalwa B cells. 1996, Pubmed
