XB-ART-38221
BMC Dev Biol
2008 Aug 07;8:77. doi: 10.1186/1471-213X-8-77.
Show Gene links
Show Anatomy links
Cold-inducible RNA binding protein (CIRP), a novel XTcf-3 specific target gene regulates neural development in Xenopus.
???displayArticle.abstract???
BACKGROUND: As nuclear mediators of wnt/beta-catenin signaling, Lef/Tcf transcription factors play important roles in development and disease. Although it is well established, that the four vertebrate Lef/Tcfs have unique functional properties, most studies unite Lef-1, Tcf-1, Tcf-3 and Tcf-4 and reduce their function to uniformly transduce wnt/beta-catenin signaling for activating wnt target genes. In order to discriminate target genes regulated by XTcf-3 from those regulated by XTcf-4 or Lef/Tcfs in general, we performed a subtractive screen, using neuralized Xenopus animal cap explants. RESULTS: We identified cold-inducible RNA binding protein (CIRP) as novel XTcf-3 specific target gene. Furthermore, we show that knockdown of XTcf-3 by injection of an antisense morpholino oligonucleotide results in a general broadening of the anterior neural tissue. Depletion of XCIRP by antisense morpholino oligonucleotide injection leads to a reduced stability of mRNA and an enlargement of the anterior neural plate similar to the depletion of XTcf-3. CONCLUSION: Distinct steps in neural development are differentially regulated by individual Lef/Tcfs. For proper development of the anterior brain XTcf-3 and the Tcf-subtype specific target XCIRP appear indispensable. Thus, regulation of anterior neural development, at least in part, depends on mRNA stabilization by the novel XTcf-3 target gene XCIRP.
???displayArticle.pubmedLink??? 18687117
???displayArticle.pmcLink??? PMC2527318
???displayArticle.link??? BMC Dev Biol
Species referenced: Xenopus
Genes referenced: ag1 cirbp eya1 h4c12 hmgb2 hmgn1 hmgn2 lef1 meis3 myc ncam1 odc1 sox2 tcf7 tcf7l1 tcf7l2 tle4 tmem126a
???displayArticle.morpholinos??? cirbp MO2 lef1 MO3 lef1 MO4 tcf7l1 MO3 tcf7l2 MO1
???attribute.lit??? ???displayArticles.show???
|
|
Figure 3. Coexpression of XTcf-3 and putative XTcf-3 target genes. In situ hybridization reveals synexpression of XTcf-3, HMGN1, HMGN2, HMGX and XCIRP throughout early embryonic development. (A) At neurula stages all five genes are co-expressed and demarcate the anterior border of the neural plate (arrowhead). The main expression of HMGX is found in more posterior neural tissue (arrow) adjacent to the XTcf-4 expression field. The coexpression persists during early embryogenesis and is found in tailbud stages in head structures, including brain, eye, otic vesicle and branchial arches. (B) During gastrulation, XTcf-3 and XCIRP are co-expressed at the dorsal blastopore lip (arrowhead upper panel). The higher magnification reveals that both genes are expressed in the involuting mesoderm (anterior most mesoderm is indicated by a red arrowhead). In the endoderm (black arrowhead) underlying the involuting mesoderm, neither XTcf-3 nor XCIRP are expressed. While XTcf-3 is predominantly localized in the mesoderm (black arrow), the highest expression of XCIRP is found in the ectoderm (red arrow). But still substantial amounts of XCIRP RNA are detected in the mesoderm (black arrow). In anterior transversal sections of stage 18 embryos (lower panel) mRNA of both, XTcf-3 and XCIRP, is located in the neuroectoderm (arrowhead). While XTcf-3 is additionally found in the paraxial mesoderm (arrow), the most prominent XCIRP staining apart from the neural plate is located in the epidermis. (C) A higher magnification of transversal sections shows that following XTcf-3 morpholino injection (Tcf3Mo) XCIRP is strongly reduced in the neural plate (arrow) at the injected side (marked with an asterisk). |
|
|
Figure 4. XCIRP is a Tcf-subtype specific target gene. (A) Anterior view of in situ hybridization reveals that depletion of XTcf-3 by morpholino injection (Tcf3Mo), but not depletion of XTcf-4 (Tcf4Mo) or XLef-1 (LefMo1,2) results in an absence of XCIRP staining at the injected side (asterisk). (B) XCIRP expression in Tcf3Mo injected embryos can be restored by co-injection of XTcf-3 and XLef-1 mRNA. The asterisks mark the injected side. (C, D) The rescue of XCIRP expression by XTcf-3 is dose dependent and Tcf-subtype specific. In (C): the indicated amount of N-terminal myc tagged XTcf-3mRNA was co-injected with two picomoles of Tcf3Mo. In (D): 1000 pg of the indicated Lef/Tcf mRNA or 300 pg β-catenin mRNA were coinjected with two picomoles of Tcf3Mo. Given is the percentage of embryos showing reduced or absent XCIRP expression at the injected side. n: number of analyzed embryos. |
|
|
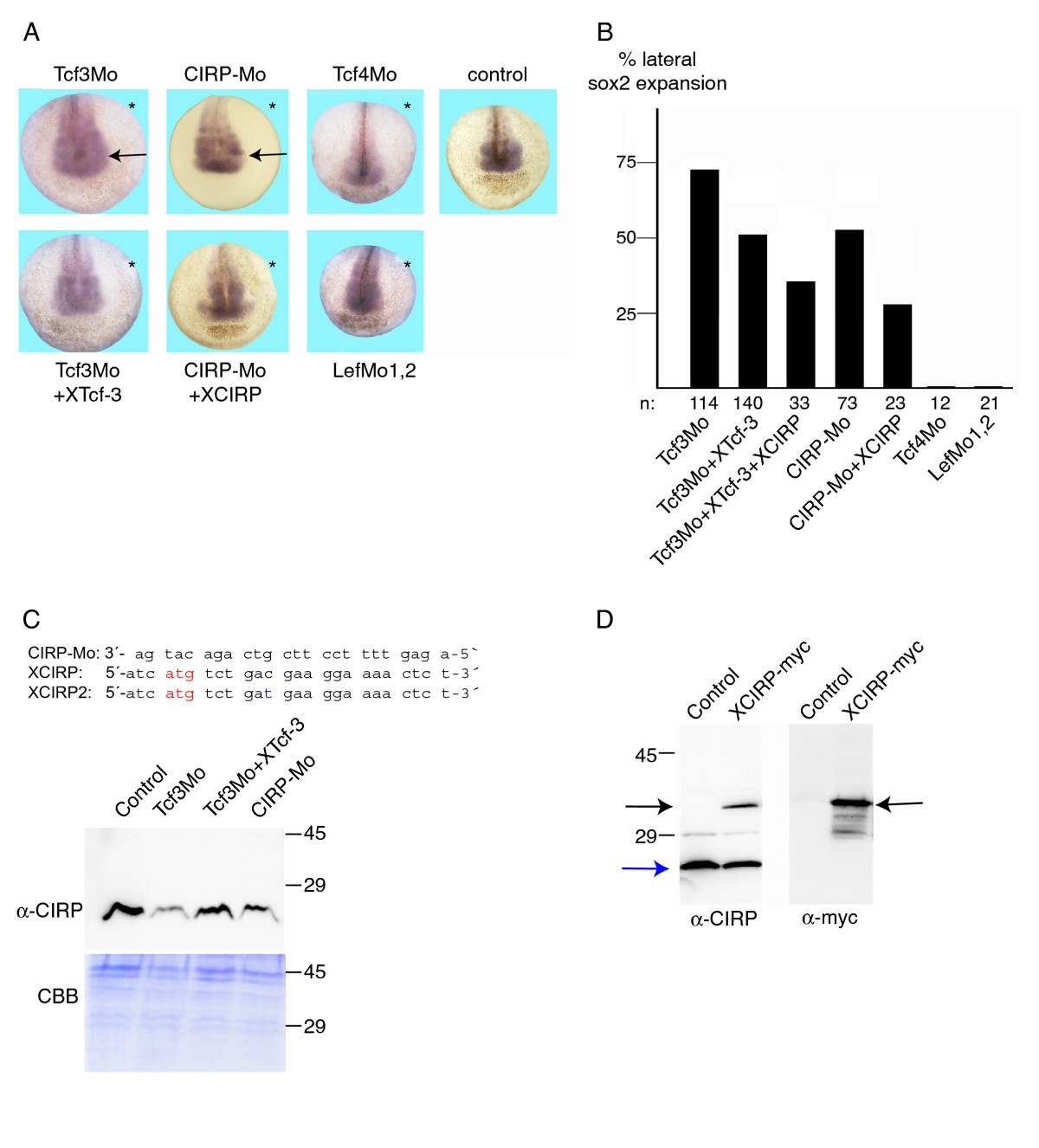
Figure 5. Depletion of XTcf-3 and XCIRP results in a lateral expansion of sox2. (A) In situ hybridization revealed that both, XTcf-3 and XCIRP are required for proper neural development. The expression of sox2 was laterally expanded (arrow) at the injected side (asterisk). Two picomoles Tcf3Mo, eight picomoles Tcf4Mo or two picomoles CIRP-Mo or two picomoles LefMo1 + two picomoles LefMo2 were coinjected with 4 pg dextrane (to trace the injected side) and 1000 pg XTcf-3 mRNA or 200 pg XCIRP DNA into one blastomere of 2-cell stage embryos. (B) Quantification of the lateral expansion. 71,2% of the Tcf3Mo, 51,5% Tcf3Mo+XTcf-3, 36% Tcf3Mo+XTcf-3+XCIRP, 53% of the CIRP-Mo and 30% of the CIRP-Mo+CIRP and 0% of the Tcf4Mo and LefMo, injected embryos showed a lateral expansion of sox2. n: number of analyzed embryos. (C) The alignment of the XCIRP antisense morpholino oligonucleotide (CIRP-Mo) with XCIRP and XCIRP2 indicates that it is supposed to block both isoforms. The Western Blot demonstrates that the amount of endogenous XCIRP protein is reduced following CIRP-Mo injection. The reduction of XCIRP protein by blocking XTcf-3 translation (Tcf3Mo) can be restored by co-injection of XTcf-3 mRNA (Tcf3Mo + XTcf-3). Two picomoles CIRP-Mo, two picomoles Tcf3Mo and two picomoles Tcf3Mo + 1000 pg XTcf-3 mRNA were injected into both blastomeres of 2-cell stage embryos. RIPA lysates corresponding two 1/3 embryo where separated on a 15% SDS page and either stained with coomassie (CBB) as loading control or transferred to nitrocellulose and stained with anti-CIRP polyclonal antiserum (α-CIRP).(D) The anti-CIRP polyclonal antiserum (α-CIRP), originally directed against XCIRP2 [18] recognizes both, endogenous XCIRP/XCIRP2 (blue arrow) and overexpressed XCIRP (black arrow). Staining with the anti-myc antibody shows the overexpressed myc-tagged XCIRP (black arrow) and some faster migrating proteins, which correspond most likely to degradation products. |
|
|
Figure 6. Depletion of XCIRP causes reduction of mRNA. (A) XCIRP is not necessary for convergent extension movements. Similar to dorsal animal zone explants of control embryos, more than 60 percent of the explants of CIRP-Mo injected embryos elongate. 0 and 1 indicate non-elongated explants, 2 indicate elongated and restricted explants and 2X elongated, but not constricted explants according to Schambony and Wedlich [27]. (B, C) Depletion of XCIRP results in a reduction of mRNA. Total RNA of stage 16 embryos was reverse transcribed either with oligo dT primer (mRNA) or random hexamer primer (total RNA) in the presence of 60 μCi P32 α-dCTP. (B) Shows an autoradiograph of a representative gel with a smear of labeled cDNA, the free radioactive nucleotides and the background. (C) The signals were quantified by setting the relation of mRNA/total RNA for the control as 1. Shown is the average and standard error for 3 independent experiments. |
|
|
Additional File 4. Depletion of XTcf-3 and XCIRP results in a lateral shift of the neuroectodermal border. (A) Lateral expansion (arrows) of Meis3, (B) lateral shift (arrows) of eya1 expression following unilateral injection of two picomoles XTcf-3 morpholino (Tcf3Mo), XTcf-3 morpholino together with 1000 pg XTcf-3 mRNA (Tcf3Mo + XTcf-3) or two picomoles XCIRP-morpholino (CIRP-Mo: 5'-agtacagactgcttccttttgaga-3'). The asterisks mark the injected side. The quantification gives the percentage of embryos showing lateral expansion of Meis3 (A) or shift of eya1 (B). N gives the number of analyzed embryos. Probes for in situ hybridization are as described [3]. |
|
|
Additional File 3. Depletion of XTcf-3 has minor effects on the expression of HMG-box genes. Depletion of XTcf-3 by injection of two picomoles morpholino (Tcf3Mo): 5'-cgctgttgagctgaggcatgatgag-3' (directed against BC077764) into one blastomere of 2-cell stage embryos (the injected side is indicated by an asterisk) has only minor effects on the expression of HMGN1, HMGN2 and HMGX. While HMGN2 and HMGX are laterally expanded (arrow), HMGN1 remains unchanged. Probes for in situ hybridization are as described: HMGN1 and HMGN2 [1], HMGX [2]. |
|
|
Additional File 2. Expression of XCIRP during early embryogenesis. (A) Spatial expression of XCIRP during early development as revealed by in situ hybridization. The arrows indicate high expression of XCIRP in neural tissue. Arrowheads point to the expression in the branchial arches. The red arrow indicates staining of the pronephros. The open reading frame of XCIRP was amplified using the following primers: XCIRPstart: 5'-tcagaattcaatgtctgacgaaggaaaact-3' and XCIRPstop 5'-cttctcgagttactcgtgtgtagcatagctg-3' and sub-cloned into pGEMT for creating labeled antisense RNA. (B) Temporal expression of XCIRP and XCIRP2 as revealed by RT-PCR. H4 indicates the amplification of the house keeping gene histone 4, -RT the amplification of H4 in samples, which have not been reverse transcribed. The following primer pairs were used: histone 4: 5'-cgggataacattcagggtatcact-3' and 5'-atccatggcggtaa ctgtcttctt-3'; XCIRP: 5'-gctgatcaggcggggccacc-3' and 5'-gcacccaggctctgtcctgc-3'; XCIRP2: 5'-ccattcaggctgatcagg-3' and 5'-ctggagagagacgaacac-3'. |
|
|
hmgb2 ( high mobility group box 2 ) gene expression in Xenopus laevis embryos, NF stage 28, as assayed by in situ hybridization, lateral view, anterior left, dorsal up. |
|
|
tcf7L2 (transcription factor 7-like 2) gene expression in Xenopus laevis embryos, NF stage 28, as assayed by in situ hybridization, lateral view, anterior left, dorsal up. |
|
|
tcf7L1 (transcription factor 7-like 1 (T-cell specific, HMG-box) ) gene expression in Xenopus laevis embryo, NF stage 28, as assayed by in situ hybridization, lateral view, anterior left, dorsal up. |
|
|
hmgn2 (high mobility group nucleosomal binding domain 2) gene expression in Xenopus laevis embryo, NF stage 28, as assayed by in situ hybridization, lateral view, anterior left, dorsal up. |
|
|
hmgn1(high mobility group nucleosomal binding domain 1) gene expression in Xenopus laevis embryo, NF stage 28, as assayed by in situ hybridization, lateral view, anterior left, dorsal up. |
|
|
cirbp (cold inducible RNA binding protein ) gene expression in Xenopus laevis embryos, NF stage 28, as assayed by in situ hybridization, lateral view, anterior left, dorsal up |
|
|
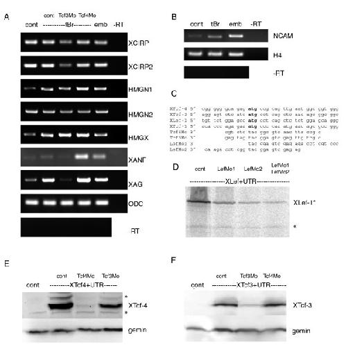
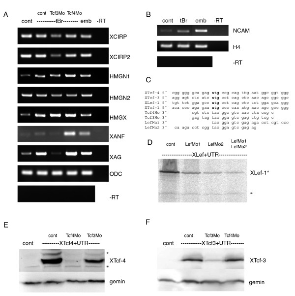
Figure 1. XCIRP is regulated by XTcf-3, but not by XTcf-4. (A) RT-PCR on sibling embryos (emb), animal cap explants of naive animal caps (cont), neuralized animal caps (tBr, cont) and neuralized animal caps coinjected with truncated BMP receptor (tBr) and the indicated morpholino (Tcf3Mo: XTcf-3 specific antisense morpholino oligonucleotide, Tcf4Mo: XTcf-4 specific antisense morpholino oligonucleotide) revealed that following XTcf-3 depletion, the expression of XCIRP and XCIRP2, as well as the cement gland specific marker gene XAG is robustly downregulated. The expression of HMGN1, HMGN2 and HMGX is not regulated in a Tcf-subtype specific manner. ODC shows the amplification of the house keeping gene ornithine decarboxylase, -RT is the control amplification of not reverse transcribed RNA. (B) RT-PCR on sibling embryos (emb), animal cap explants of naive animal caps (cont) and neuralized animal caps (tBr) demonstrate that the pan-neural marker gene NCAM is induced by injection of 100 pg mRNA encoding for truncated BMP receptor (tBr). H4 shows the amplification of the house keeping gene histone 4, -RT is the control amplification of not reverse transcribed RNA. (C) Sequence alignment of the Lef/Tcf specific antisense morpholino oligonucleotides together with the corresponding mRNAs, start codons of the Lef/Tcfs are indicated in bold. Tcf4Mo: XTcf-4 specific antisense morpholino oligonucleotides, Tcf3Mo: XTcf-3 specific antisense morpholino oligonucleotides, LefMo1 and LefMo2: XLef-1 specific antisense morpholino oligonucleotidess. (D-F) Specificity of the Lef/Tcf morpholinos towards their target mRNA, (D) reduction of in vitro translated S-35 labelled XLef-1 protein in the presence of the indicated morpholinos, The asterisk marks an unspecific band. (E) reduction of injected C-terminally myc-tagged XTcf-4 by coinjection of ten picomoles Tcf4Mo, but not two picomoles Tcf3Mo. The asterisks indicate unspecific staining. Gemin staining was used as loading control. (F) reduction of injected C-terminally myc-tagged XTcf-3 by coinjection of two picomoles Tcf3Mo, but not ten picomoles Tcf4Mo. Gemin staining was used as loading control. |
|
|
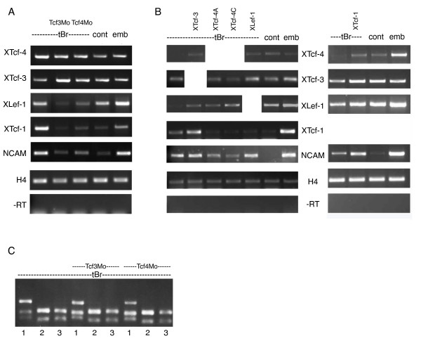
Figure 2. Regulation of Lef/Tcf expression by Lef/Tcfs in neuralized animal caps. (A) RT-PCR on sibling embryos (emb), animal cap explants of naive animal caps (cont), neuralized animal caps (tBr) and neuralized animal caps coinjected with truncated BMP receptor (tBr) and the indicated morpholino (Tcf3Mo: XTcf-3 specific antisense morpholino oligonucleotide, Tcf4Mo: XTcf-4 specific antisense morpholino oligonucleotide) revealed that the expression of XLef-1 and XTcf-1 (but not of XTcf-3 and XTcf-4) depends on the presence of XTcf-3 and XTcf-4. NCAM is the amplification of the pan-neural marker gene neural cell adhesion molecule, H4 the amplification of the house keeping gene histone 4, -RT the control amplification without reverse transcription. (B) Co-injection of 500 pg Lef/Tcf mRNA together with 100 pg tBr indicated complex cross-regulation of Lef/Tcf transcription factors in neuralized animal caps. NCAM is the amplification of the pan-neural marker gene neural cell adhesion molecule, H4 the amplification of the house keeping gene histone 4, -RT the control amplification without reverse transcription. (C) The pattern of XTcf-4 isoforms remained unchanged following XTcf-3 and XTcf-4 knockdown. Amplicons were digested with isoform-specific restriction enzymes (1: XbaI, 2: RsaI, 3: XbaI + RsaI) and analysed according to [27]. |
|
|
tcf7l2 (transcription factor 7-like 2) gene expression in Xenopus laevis embryo, assayed via in situ hybridization, NF stage 17, anterior view, dorsal up. |
References [+] :
Aoki,
Xenopus cold-inducible RNA-binding protein 2 interacts with ElrA, the Xenopus homolog of HuR, and inhibits deadenylation of specific mRNAs.
2003, Pubmed,
Xenbase
Aoki, Xenopus cold-inducible RNA-binding protein 2 interacts with ElrA, the Xenopus homolog of HuR, and inhibits deadenylation of specific mRNAs. 2003, Pubmed , Xenbase
Aoki, Methylation of Xenopus CIRP2 regulates its arginine- and glycine-rich region-mediated nucleocytoplasmic distribution. 2002, Pubmed , Xenbase
Arce, Diversity of LEF/TCF action in development and disease. 2006, Pubmed
Atcha, A unique DNA binding domain converts T-cell factors into strong Wnt effectors. 2007, Pubmed
Baker, Wnt signaling in Xenopus embryos inhibits bmp4 expression and activates neural development. 1999, Pubmed , Xenbase
Blauwkamp, Novel TCF-binding sites specify transcriptional repression by Wnt signalling. 2008, Pubmed
Brugmann, Six1 promotes a placodal fate within the lateral neurogenic ectoderm by functioning as both a transcriptional activator and repressor. 2004, Pubmed , Xenbase
David, Xenopus Eya1 demarcates all neurogenic placodes as well as migrating hypaxial muscle precursors. 2001, Pubmed , Xenbase
Deblandre, A two-step mechanism generates the spacing pattern of the ciliated cells in the skin of Xenopus embryos. 1999, Pubmed , Xenbase
Fetka, Expression of the RNA recognition motif-containing protein SEB-4 during Xenopus embryonic development. 2000, Pubmed , Xenbase
Galceran, Wnt3a-/--like phenotype and limb deficiency in Lef1(-/-)Tcf1(-/-) mice. 1999, Pubmed
Gawantka, Antagonizing the Spemann organizer: role of the homeobox gene Xvent-1. 1995, Pubmed , Xenbase
Gestri, Six3 functions in anterior neural plate specification by promoting cell proliferation and inhibiting Bmp4 expression. 2005, Pubmed , Xenbase
Ghogomu, HIC-5 is a novel repressor of lymphoid enhancer factor/T-cell factor-driven transcription. 2006, Pubmed , Xenbase
Gradl, Functional diversity of Xenopus lymphoid enhancer factor/T-cell factor transcription factors relies on combinations of activating and repressing elements. 2002, Pubmed , Xenbase
Gregorieff, Hindgut defects and transformation of the gastro-intestinal tract in Tcf4(-/-)/Tcf1(-/-) embryos. 2004, Pubmed
Hecht, Identification of a promoter-specific transcriptional activation domain at the C terminus of the Wnt effector protein T-cell factor 4. 2003, Pubmed
Heeg-Truesdell, Neural induction in Xenopus requires inhibition of Wnt-beta-catenin signaling. 2006, Pubmed , Xenbase
Hikasa, The involvement of Frodo in TCF-dependent signaling and neural tissue development. 2004, Pubmed , Xenbase
Hong, The activity of Pax3 and Zic1 regulates three distinct cell fates at the neural plate border. 2007, Pubmed , Xenbase
Honoré, Sox10 is required for the early development of the prospective neural crest in Xenopus embryos. 2003, Pubmed , Xenbase
Hoppler, Wnt signalling: variety at the core. 2007, Pubmed
Hovanes, Beta-catenin-sensitive isoforms of lymphoid enhancer factor-1 are selectively expressed in colon cancer. 2001, Pubmed
Kiecker, A morphogen gradient of Wnt/beta-catenin signalling regulates anteroposterior neural patterning in Xenopus. 2001, Pubmed , Xenbase
Kinoshita, HMG-X, a Xenopus gene encoding an HMG1 homolog, is abundantly expressed in the developing nervous system. 1994, Pubmed , Xenbase
Koenig, Autoregulation of XTcf-4 depends on a Lef/Tcf site on the XTcf-4 promoter. 2008, Pubmed , Xenbase
König, The HMG-box transcription factor XTcf-4 demarcates the forebrain-midbrain boundary. 2000, Pubmed , Xenbase
Körner, Developmental role of HMGN proteins in Xenopus laevis. 2003, Pubmed , Xenbase
Kunz, Autoregulation of canonical Wnt signaling controls midbrain development. 2004, Pubmed , Xenbase
Liu, Distinct roles for Xenopus Tcf/Lef genes in mediating specific responses to Wnt/beta-catenin signalling in mesoderm development. 2005, Pubmed , Xenbase
Matsumoto, CIRP2, a major cytoplasmic RNA-binding protein in Xenopus oocytes. 2000, Pubmed , Xenbase
Molenaar, Differential expression of the HMG box transcription factors XTcf-3 and XLef-1 during early xenopus development. 1998, Pubmed , Xenbase
Muñoz-Sanjuán, Gene profiling during neural induction in Xenopus laevis: regulation of BMP signaling by post-transcriptional mechanisms and TAB3, a novel TAK1-binding protein. 2002, Pubmed , Xenbase
Peng, Cold-inducible RNA binding protein is required for the expression of adhesion molecules and embryonic cell movement in Xenopus laevis. 2006, Pubmed , Xenbase
Peng, Maternal cold inducible RNA binding protein is required for embryonic kidney formation in Xenopus laevis. 2000, Pubmed , Xenbase
Perron, Xenopus elav-like genes are differentially expressed during neurogenesis. 1999, Pubmed , Xenbase
Pukrop, Identification of two regulatory elements within the high mobility group box transcription factor XTCF-4. 2001, Pubmed , Xenbase
Richter, Gene expression in the embryonic nervous system of Xenopus laevis. 1988, Pubmed , Xenbase
Roël, Lef-1 and Tcf-3 transcription factors mediate tissue-specific Wnt signaling during Xenopus development. 2002, Pubmed , Xenbase
Roël, Tcf-1 expression during Xenopus development. 2003, Pubmed , Xenbase
Roose, Synergy between tumor suppressor APC and the beta-catenin-Tcf4 target Tcf1. 1999, Pubmed
Schambony, Wnt-5A/Ror2 regulate expression of XPAPC through an alternative noncanonical signaling pathway. 2007, Pubmed , Xenbase
Standley, Maternal XTcf1 and XTcf4 have distinct roles in regulating Wnt target genes. 2006, Pubmed , Xenbase
Stern, Initial patterning of the central nervous system: how many organizers? 2001, Pubmed
Uochi, XCIRP (Xenopus homolog of cold-inducible RNA-binding protein) is expressed transiently in developing pronephros and neural tissue. 1998, Pubmed , Xenbase
Wöhrle, Differential control of Wnt target genes involves epigenetic mechanisms and selective promoter occupancy by T-cell factors. 2007, Pubmed
