Click here to close
Hello! We notice that you are using Internet Explorer, which is not supported by Xenbase and may cause the site to display incorrectly.
We suggest using a current version of Chrome,
FireFox, or Safari.
???displayArticle.abstract???
The drastic morphological changes of the tadpole are induced during the climax of anuran metamorphosis, when the concentration of endogenous thyroid hormone is maximal. The tadpoletail, which is twice as long as the body, shortens rapidly and disappears completely in several days. We isolated a cDNA clone, designated as Xl MMP-9TH, similar to the previously reported Xenopus laevis MMP-9 gene, and showed that their Xenopus tropicalis counterparts are located tandemly about 9 kb apart from each other in the genome. The Xenopus MMP-9TH gene was expressed in the regressing tail and gills and the remodeling intestine and central nervous system, and induced in thyroid hormone-treated tail-derived myoblastic cultured cells, while MMP-9 mRNA was detected in embryos. Three thyroid hormone response elements in the distal promoter and the first intron were involved in the upregulation of the Xl MMP-9TH gene by thyroid hormone in transient expression assays, and their relative positions are conserved between X. laevis and X. tropicalis promoters. These data strongly suggest that the MMP-9 gene was duplicated, and differentiated into two genes, one of which was specialized in a common ancestor of X. laevis and X. tropicalis to be expressed in degenerating and remodeling organs as a response to thyroid hormone during metamorphosis.
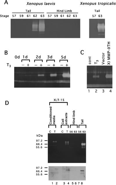
Fig. 5. Detection and identification of gelatinolytic enzymes by zymographic and immunoblotting analyses. (A) Gelatin zymographic analysis of Xenopus laevis tail and hindlimb and Xenopus tropicalis tail. Each lane contains 1 µg total protein at the indicated stage. (B) Gelatin zymographic analysis of conditioned media from TH-treated XLT-15 cultured cells. Each lane contains 10 µL of conditioned medium from the cultured cells treated with or without 10 nm T3. The numbers above the lanes refer to days of T3-treatment. (C) Gelatin zymographic analysis of conditioned media from the cultured cells transfected with Xl MMP-9TH expression construct. Each lane contains 10 µL of conditioned medium. XLT-15â11 cultured cells (Nakajima et al. 2000) were treated without (lane 1) or with 10 nm T3 (lane 2) for 3 days. Alternatively, XLT-15â11 cultured cells were transfected with a vector (lane 3) or Xl MMP-9TH expression construct (lane 4) and incubated for 3 days. (D) Comparison of zymogram and immunoblot reacted with anti-Xl MMP-9TH serum. The upper and lower panels are gelatin zymogram and immunoblot using rabbit anti-Xl MMP-9TH serum, respectively. In the gels for zymographic and immunoblot analyses, 2 and 12 µL of conditioned medium of XLT-15 cells cultured for 5 days without or with 10 nm T3 (lanes 1 and 2), 11 and 66 µg of total cellular protein from XLT-15 cells treated for 3 days in the absence or presence of T3 (lanes 3 and 4), and 3 and 20 µg of protein from hindlimb (lanes 5 and 6) or tail (lanes 7 and 8) of stage 56 and 63 tadpoles were loaded, respectively.
Fig. 2. Expression of the Xl MMP-9TH gene is induced during spontaneous metamorphosis and in a T3-treated XLT-15 cultured cell line. (A) The developmental expression of Xl MMP-9TH mRNA in tail, hindlimb, intestine and central nervous system. A Xl MMP-9TH probe was hybridized to 5 µg of total cellular RNA isolated from tail (a), hindlimb (b), intestine (c) and central nervous system (d) of stage 56â63 tadpoles. These blotting filters contain RNA of stage 58 tail for the comparison. Arrowheads indicate the positions of 18S and 28S rRNA. (B) The T3 doseâresponse of Xl MMP-9TH mRNA upregulation. A Xl MMP-9TH probe was hybridized to 5 µg of total cellular RNA isolated from XLT-15 cells treated with the indicated concentration of T3 for 24 h. (C) The time course of Xl MMP-9TH mRNA upregulation by T3. A Xl MMP-9TH probe was hybridized to 5 µg of total cellular RNA isolated from XLT-15 cells treated with 10 nm T3 for the indicated times. (D) The effect of protein synthesis inhibition on Xl MMP-9TH mRNA upregulation by T3. A Xl MMP-9TH probe was hybridized to 5 µg of total cellular RNA isolated from XLT-15 cells treated with or without 10 nm T3 for 8 h in the presence or absence of a protein synthesis inhibitor, 10 µg/mL cycloheximide. Control hybridization of the blots with the Xenopus laevis elongation factor-1α probe (EF) (Krieg et al. 1989) is shown below to standardize the amounts of RNA.
Fig. 3. In situ hybridization of Xl MMP-9TH [ mmp9, matrix metallopeptidase 9] in the branchial arches. Two consecutive cross sections of branchial arches in stage 57 (A,B) and stage 61 (C,D) tadpole were hybridized with antisense (A,C) or sense (B,D) digoxigenin-labeled Xl MMP-9TH probe.
Fig. 4. Quantitative real-time reverse transcriptionâpolymerase chain reaction (RTâPCR) analysis of MMP-9 and MMP-9TH mRNA expression. Total RNA was extracted and subjected to quantitative real-time RTâPCR to determine MMP-9 and MMP-9TH mRNA levels normalized to elongation factor-1α (EF) expression. Real-time RTâPCR was performed using total RNA isolated from tails of stage 57 and 63 tadpoles of Xenopus laevis and Xenopus tropicalis (A), central nervous system of stage 57 and 62 tadpoles (B), intestine of stage 57â63 tadpoles (C), XLT-15 cells cultured in the absence (control) or presence of 10 nm T3 for 20 h (D), and whole embryo of stage 39 (E). Results are the means ± SE of three independent experiments. The levels of MMP-9 and MMP-9TH mRNA are shown as copy numbers relative to 10 000 copies of EF mRNA.
Fig. 6. Transient transfection assays of luciferase expression driven by the Xl MMP-9TH promoter. (A) Sequence comparison of genomic DNA surrounding the promoter in Xl and Xt MMP-9TH genes. The percentage nucleotide sequence identity in every 25 bp is indicated on the diagram. The MMP-9TH gene structure is represented below. The exons are indicated by dark boxes. The numbers show distance from the transcription initiation site (+1). The locations of putative TRE in the promoters of Xenopus laevis and Xenopus tropicalis are indicated with arrows labeled by l and t, respectively. (B,C) XLT-15 cells were transiently co-transfected with 25 ng of the indicated constructs, 12.5 ng of xTRα expression vector, 12.5 ng xRXRα expression vector and 5 ng of pRL-CMV. Two days after transfection, cells were incubated for 24 h in the presence or absence of 10 nm T3. Cells were lyzed, and luciferase assays were conducted. When xTRα and xRXRα expression vectors were removed in transient transfection assays, the induction by T3 decreased to 1.1-fold and 1.2-fold, respectively. Each point was performed in triplicate and repeated at least three times. The data are presented as fold induction by T3. The error bars represent the SE.
Fig. 7. Identification of functional T3 responsive elements in the first intron of the Xl MMP-9TH gene. The regions of nucleotides +204 to +1258 (a portion of the first exon and almost all the first intron), nucleotides +745 to +760, nucleotides +771 to +786, and nucleotides +745 to +760 and nucleotides +771 to +786 were deleted to generate the −964/+1299 Xl MMP-9THM-Lucδint,δTRE1,δTRE2, and δTRE1&2, respectively. These vectors were transfected as described in the legend to Figure 6. Each point was conducted in triplicate and repeated three times. Results are expressed as fold induction by T3. The error bars represent the SE.