Click here to close
Hello! We notice that you are using Internet Explorer, which is not supported by Xenbase and may cause the site to display incorrectly.
We suggest using a current version of Chrome,
FireFox, or Safari.
???displayArticle.abstract???
BACKGROUND: Epimorphic regeneration is the process by which complete regeneration of a complex structure such as a limb occurs through production of a proliferating blastema. This type of regeneration is rare among vertebrates but does occur in the African clawed frog Xenopus laevis, traditionally a model organism for the study of early development. Xenopus tadpoles can regenerate their tails, limb buds and the lens of the eye, although the ability of the latter two organs to regenerate diminishes with advancing developmental stage. Using a heat shock inducible transgene that remains silent unless activated, we have established a stable line of transgenic Xenopus (strain N1) in which the BMP inhibitor Noggin can be over-expressed at any time during development. Activation of this transgene blocks regeneration of the tail and limb of Xenopus tadpoles.
RESULTS: In the current study, we have taken advantage of the N1 transgenic line to directly compare morphology and gene expression in same stage regenerating vs. BMP signalling deficient non-regenerating hindlimb buds. The wound epithelium of N1 transgenic hindlimb buds, which forms over the cut surface of the limb bud after amputation, does not transition normally into the distal thickened apical epithelial cap. Instead, a basement membrane and dermis form, indicative of mature skin. Furthermore, the underlying mesenchyme remains rounded and does not expand to form a cone shaped blastema, a normal feature of successful regeneration. Using Affymetrix Gene Chip analysis, we have identified genes linked to regenerative success downstream of BMP signalling, including the BMP inhibitor Gremlin and the stress protein Hsp60 (no blastema in zebrafish). Gene Ontology analysis showed that genes involved in embryonic development and growth are significantly over-represented in regenerating early hindlimb buds and that successful regeneration in the Xenopus hindlimb correlates with the induction of stress response pathways.
CONCLUSION: N1 transgenic hindlimbs, which do not regenerate, do not form an apical epithelial cap or cone shaped blastema following amputation. Comparison of gene expression in stage matched N1 vs. wild type hindlimb buds has revealed several new targets for regeneration research.
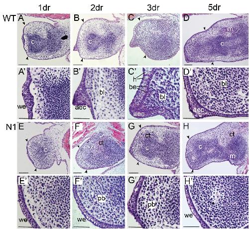
Figure 1. Histological characterisation of hindlimb bud regeneration in WT and N1 tadpoles Histological characterisation of hindlimb bud regeneration in WT and N1 tadpoles. Representative haematoxylin and eosin stained 5 μm sections showing the phenotypic differences between regenerating WT and non-regenerating transgenic N1 hindlimb buds. Stage 52 limb buds were amputated at knee level and heat shocked as previously. Cartilage condensa- tions are marked with a c. (A-D) WT limb buds, scale bars are 100 μm. Black arrowheads show the approximate plane of amputation. (A'-D') Higher magnification focusing on the distal area, scale bars are 50 μm. (A, A') wound healing has occurred after 24 hours and a wound epithelium (we) covers the cut site. (B, B') 2 days after amputation, blastema (bl) and AEC (aec) are forming. (C, C') 3 days after amputation, a cone-shaped blastema and the AEC are well established. Columnar basal epithelial cells (be) can be seen. Hypertrophic epithelial cells (h) can be seen in the AEC. (D, D') 5 days after amputation, the AEC and blastema are still apparent and outgrowth has begun. Muscle cells (m) can be seen proximally. (E-F) N1 limb buds, scale bars are 100 μm. Connective tissue (ct) is more obvious in these limb buds. E'-F' Higher magnification focusing on the distal area, scale bars are 50 μm. (E, E') wound healing has occurred after 24 hours, and a wound epithelium (we) covers the cut surface. (F, F') No AEC is apparent after 2 days and a rounded pseudoblastema (pb) forms proximal to the wound epithelium. (G, G') 3 days after amputation. (H, H') 5 days after amputation, the pseudoblastema has not expanded and a cell-free area of matrix is visible between the wound epithelium and underlying stump cells. Distal is to the left and posterior uppermost. dr = days of regeneration.
Figure 4. Expression of Gremlin in regenerating WT and N1 limbs and during development Expression of Gremlin in regenerating WT and N1 limbs and during development. Gene expression in regenerating wild type (WT) and N1 limbs and embryotissue. (A-J) In situ hybridisation showing Gremlin expression in the regeneration bud. (L-O) Unoperated limb buds illustrating Gremlin expression during limb development. (K) In situ hybridisation showing Gremlin expression in a stage 32 embryo, the expression pattern is consistent with previously published Gremlinembryo expression [30]. White arrowheads indicate approximate amputation plane, scale bar in A applies to panels A-J and scale bar in O to pan- els L-O. In limb panels (A-J, L-O) posterior is uppermost, and distal to the left, dr = days of regeneration. In K, anterior is to the left and dorsal uppermost. White asterisks mark areas of Gremlin expression that are developmental and unrelated to regeneration.
Figure 5. Expression of HSP60 in regenerating WT and N1 limbs and during development Expression of HSP60 in regenerating WT and N1 limbs and during development. Gene expression in regenerating WT and N1 limbs and embryotissue. (A-J) In situ hybridisation showing Hsp60 expression in the regeneration bud. (M-P) Unoperated limb buds illustrating Hsp60 expression during limb development. (K) In situ hybridisation showing Hsp60 expression in stage 57 hindlimb of a WT animal 2 days after amputation. (L) In situ hybridisation showing Hsp60 expression in stage 32 embryo. White arrowheads indicate approximate amputation plane, scale bar in A applies to panels A-J and scale bar in P applies to panels M-P. In limb pictures (A-K, M-P) posterior is uppermost, and distal to the left, dr = days of regeneration. In L, anterior is to the left and dorsal uppermost.
hspd1 (heat shock 60kDa protein 1 (chaperonin)) gene expression in Xenopus laevis embryo, via in situ hybridization, NF stage 32 embryo, lateral view, anteriorleft, dorsal up.
grem1 (gremlin 1) gene expression in Xenopus laevis embryo, via in situ hybridization, NF stage 32 embryo, lateral view, anteriorleft, dorsal up.
Figure 2. Design of microarray experiment. A) Timeline showing the treatments used to generate tissue for arrays. hs = heat shock, 30 minutes at 34°C. B) Stage 52 hindlimb buds were bilaterally amputated at the level of the future ankle (dotted line), defined by the anterior indentation, to remove the autopod. Knee level is marked by black arrowhead for orientation. Heat shocks were applied to both WT and N1 tadpoles as depicted in (A). After 3 days the blastemas were removed from the WT limbs and pseudoblastemas from the N1 limbs. BMP signalling is inhibited in the N1 limb buds, due to expression of Noggin from an inducible transgene, preventing successful regeneration. Pools of 20 blastemas or pseudoblastemas were used to extract RNA to generate microarray probes.
Figure 3. Effect of Noggin over-expression on regeneration outcome following amputation at the future knee or ankle level. Histogram of limb regeneration success as defined by the number of toes regenerated by stage 58 following amputation at either the future knee or ankle level of the limb bud at stage 52. WT and N1 animals were both subjected to heat shocks that activate transgene expression of Noggin in N1s. Non heat shocked controls were amputated at knee level. Error bars represent standard error and significant differences between WT and N1 animals are denoted by **).
Ahn,
BMPR-IA signaling is required for the formation of the apical ectodermal ridge and dorsal-ventral patterning of the limb.
2001, Pubmed
Ahn,
BMPR-IA signaling is required for the formation of the apical ectodermal ridge and dorsal-ventral patterning of the limb.
2001,
Pubmed Arasapam,
Roles of COX-2 and iNOS in the bony repair of the injured growth plate cartilage.
2006,
Pubmed Ashburner,
The induction of gene activity in drosophilia by heat shock.
1979,
Pubmed Bandyopadhyay,
Genetic analysis of the roles of BMP2, BMP4, and BMP7 in limb patterning and skeletogenesis.
2006,
Pubmed Beck,
Molecular pathways needed for regeneration of spinal cord and muscle in a vertebrate.
2003,
Pubmed
,
Xenbase Beck,
Temporal requirement for bone morphogenetic proteins in regeneration of the tail and limb of Xenopus tadpoles.
2006,
Pubmed
,
Xenbase Bornman,
Heat-shock protein 90 and ubiquitin: developmental regulation during myogenesis.
1996,
Pubmed Bosco,
In vitro lens transdifferentiation of Xenopus laevis outer cornea induced by Fibroblast Growth Factor (FGF).
1997,
Pubmed
,
Xenbase Brunet,
Noggin, cartilage morphogenesis, and joint formation in the mammalian skeleton.
1998,
Pubmed Calderwood,
Extracellular heat shock proteins in cell signaling.
2007,
Pubmed Cannata,
Regenerative responses in cultured hindlimb stumps of larval Xenopus laevis.
1992,
Pubmed
,
Xenbase Capdevila,
Control of vertebrate limb outgrowth by the proximal factor Meis2 and distal antagonism of BMPs by Gremlin.
1999,
Pubmed Castillo-Davis,
GeneMerge--post-genomic analysis, data mining, and hypothesis testing.
2003,
Pubmed Chen,
Control of muscle regeneration in the Xenopus tadpole tail by Pax7.
2006,
Pubmed
,
Xenbase Cheng,
Mitochondrial heat-shock protein hsp60 is essential for assembly of proteins imported into yeast mitochondria.
1989,
Pubmed Cherian,
Metallothionein and liver cell regeneration.
2006,
Pubmed Christensen,
Apical epithelial cap morphology and fibronectin gene expression in regenerating axolotl limbs.
2000,
Pubmed Day,
Evaluation of global RNA amplification and its use for high-throughput transcript analysis of laser-microdissected endosperm.
2007,
Pubmed DENT,
Limb regeneration in larvae and metamorphosing individuals of the South African clawed toad.
1962,
Pubmed Duprez,
Overexpression of BMP-2 and BMP-4 alters the size and shape of developing skeletal elements in the chick limb.
1996,
Pubmed Fink,
Chaperone-mediated protein folding.
1999,
Pubmed Gañan,
Morphological diversity of the avian foot is related with the pattern of msx gene expression in the developing autopod.
1998,
Pubmed Grow,
Global analysis of gene expression in Xenopus hindlimbs during stage-dependent complete and incomplete regeneration.
2006,
Pubmed
,
Xenbase Harland,
In situ hybridization: an improved whole-mount method for Xenopus embryos.
1991,
Pubmed
,
Xenbase Hiltunen,
Regulation of extracellular matrix genes during fracture healing in mice.
1993,
Pubmed Hsu,
The Xenopus dorsalizing factor Gremlin identifies a novel family of secreted proteins that antagonize BMP activities.
1998,
Pubmed
,
Xenbase Kawakami,
Wnt/beta-catenin signaling regulates vertebrate limb regeneration.
2006,
Pubmed
,
Xenbase Khokha,
Gremlin is the BMP antagonist required for maintenance of Shh and Fgf signals during limb patterning.
2003,
Pubmed
,
Xenbase King,
Identification of genes expressed during Xenopus laevis limb regeneration by using subtractive hybridization.
2003,
Pubmed
,
Xenbase Kroll,
Transgenic Xenopus embryos from sperm nuclear transplantations reveal FGF signaling requirements during gastrulation.
1996,
Pubmed
,
Xenbase Kumar,
Plasticity of retrovirus-labelled myotubes in the newt limb regeneration blastema.
2000,
Pubmed Lansdown,
Metallothioneins: potential therapeutic aids for wound healing in the skin.
2002,
Pubmed Lévesque,
Expression of heat-shock protein 70 during limb development and regeneration in the axolotl.
2005,
Pubmed Macias,
Role of BMP-2 and OP-1 (BMP-7) in programmed cell death and skeletogenesis during chick limb development.
1997,
Pubmed Makino,
Heat-shock protein 60 is required for blastema formation and maintenance during regeneration.
2005,
Pubmed Merino,
Morphogenesis of digits in the avian limb is controlled by FGFs, TGFbetas, and noggin through BMP signaling.
1998,
Pubmed Merino,
Bone morphogenetic proteins regulate interdigital cell death in the avian embryo.
1999,
Pubmed Merino,
The BMP antagonist Gremlin regulates outgrowth, chondrogenesis and programmed cell death in the developing limb.
1999,
Pubmed Morrison,
Salamander limb regeneration involves the activation of a multipotent skeletal muscle satellite cell population.
2006,
Pubmed Muneoka,
Intrinsic control of regenerative loss in Xenopus laevis limbs.
1986,
Pubmed
,
Xenbase Muneoka,
Molecular aspects of regeneration in developing vertebrate limbs.
1992,
Pubmed Nechiporuk,
A proliferation gradient between proximal and msxb-expressing distal blastema directs zebrafish fin regeneration.
2002,
Pubmed Neufeld,
Stabilizing role of the basement membrane and dermal fibers during newt limb regeneration.
1996,
Pubmed Nissim,
Regulation of Gremlin expression in the posterior limb bud.
2006,
Pubmed Nye,
Strategies to reduce variation in Xenopus regeneration studies.
2005,
Pubmed
,
Xenbase Ovchinnikov,
BMP receptor type IA in limb bud mesenchyme regulates distal outgrowth and patterning.
2006,
Pubmed OVERTON,
PATTERNS OF LIMB REGENERATION IN XENOPUS LAEVIS.
1963,
Pubmed
,
Xenbase Patruno,
Growth factors, heat-shock proteins and regeneration in echinoderms.
2001,
Pubmed Pfaffl,
A new mathematical model for relative quantification in real-time RT-PCR.
2001,
Pubmed Pfaffl,
Relative expression software tool (REST) for group-wise comparison and statistical analysis of relative expression results in real-time PCR.
2002,
Pubmed Pizette,
BMP controls proximodistal outgrowth, via induction of the apical ectodermal ridge, and dorsoventral patterning in the vertebrate limb.
2001,
Pubmed Pizette,
BMPs negatively regulate structure and function of the limb apical ectodermal ridge.
1999,
Pubmed Pownall,
eFGF, Xcad3 and Hox genes form a molecular pathway that establishes the anteroposterior axis in Xenopus.
1996,
Pubmed
,
Xenbase Ramakers,
Assumption-free analysis of quantitative real-time polymerase chain reaction (PCR) data.
2003,
Pubmed Robert,
Bone morphogenetic protein signaling in limb outgrowth and patterning.
2007,
Pubmed Sánchez Alvarado,
Bridging the regeneration gap: genetic insights from diverse animal models.
2006,
Pubmed Satoh,
Joint development in Xenopus laevis and induction of segmentations in regenerating froglet limb (spike).
2005,
Pubmed
,
Xenbase Selever,
Bmp4 in limb bud mesoderm regulates digit pattern by controlling AER development.
2004,
Pubmed Smith,
Expression cloning of noggin, a new dorsalizing factor localized to the Spemann organizer in Xenopus embryos.
1992,
Pubmed
,
Xenbase Stoick-Cooper,
Distinct Wnt signaling pathways have opposing roles in appendage regeneration.
2007,
Pubmed Tazaki,
Macroarray-based analysis of tail regeneration in Xenopus laevis larvae.
2005,
Pubmed
,
Xenbase Tsai,
RESOURCERER: a database for annotating and linking microarray resources within and across species.
2001,
Pubmed TSCHUMI,
The growth of the hindlimb bud of Xenopus laevis and its dependence upon the epidermis.
1957,
Pubmed
,
Xenbase Tucker,
Thrombospondin-4 is expressed by early osteogenic tissues in the chick embryo.
1995,
Pubmed
,
Xenbase Wang,
Function of BMPs in the apical ectoderm of the developing mouse limb.
2004,
Pubmed Wettenhall,
affylmGUI: a graphical user interface for linear modeling of single channel microarray data.
2006,
Pubmed Wolfe,
Extent of ossification at the amputation plane is correlated with the decline of blastema formation and regeneration in Xenopus laevis hindlimbs.
2000,
Pubmed
,
Xenbase Yokoyama,
FGF-10 stimulates limb regeneration ability in Xenopus laevis.
2001,
Pubmed
,
Xenbase Yokoyama,
Wnt/beta-catenin signaling has an essential role in the initiation of limb regeneration.
2007,
Pubmed
,
Xenbase Zhang,
A role for the BMP antagonist chordin in endochondral ossification.
2002,
Pubmed