Click here to close
Hello! We notice that you are using Internet Explorer, which is not supported by Xenbase and may cause the site to display incorrectly.
We suggest using a current version of Chrome,
FireFox, or Safari.
???displayArticle.abstract???
The early development of many animals relies on the posttranscriptional regulations of maternally stored mRNAs. In particular, the translation of maternal mRNAs is tightly controlled during oocyte maturation and early mitotic cycles in Xenopus. The Embryonic Deadenylation ElemeNt (EDEN) and its associated protein EDEN-BP are known to trigger deadenylation and translational silencing to several mRNAs bearing an EDEN. This Xenopus RNA-binding protein is an ortholog of the human protein CUG-BP1/CELF1. Five mRNAs, encoding cell cycle regulators and a protein involved in the notch pathway, have been identified as being deadenylated by EDEN/EDEN-BP. To identify new EDEN-BP targets, we immunoprecipitated EDEN-BP/mRNA complexes from Xenopus tropicalis egg extracts. We identified 153 mRNAs as new binding targets for EDEN-BP using microarrays. Sequence analyses of the 3' untranslated regions of the newly identified EDEN-BP targets reveal an enrichment in putative EDEN sequences. EDEN-BP binding to a subset of the targets was confirmed both in vitro and in vivo. Among the newly identified targets, Cdk1, a key player of oocyte maturation and cell cycle progression, is specifically targeted by its 3' UTR for an EDEN-BP-dependent deadenylation after fertilization.
Figure 1. EDEN-BP antibodies and IP specificities. (A) αE1- and αE2-purified polyclonal antibodies were used to detect endogenous EDEN-BP in crude UFE extracts. Protein size (kiloDalton) are indicated on the left side of the panel. The arrowhead indicates EDEN-BP. (B) Western blot analysis of EDEN-BP/RNA complexes immunopurified from UFE extract with control IgG, αE1 or αE2 antibodies as indicated. Input indicates initial sample (1/7.5). Detection is realized with a guinea pig antibody raised against recombinant EDEN-BP. (C) Detection by RT-PCR of the mRNA recovered from the IP eluates presented in B. The tested mRNAs are indicated on the right of the panel. Input is the original UFE extract and RT− corresponds to control reaction with input RNA and no reverse transcriptase.
Figure 2. Overrepresentation of the EDEN15 motif in the 3′UTR of mRNAs complexed to EDEN-BP. (A) MEME analysis of 62 sequences binding EDEN-BP in vitro identified 39 times a 15 nt motif (EDEN15) in 37 sequences (out of 62). These 39 motifs were aligned and used to generate the EDEN15 motif represented here as a sequence logo. (B) Occurences of mRNAs bearing the EDEN15 motif at a given score in the 3′ UTR from identified target mRNAs and control datasets. UTR_array corresponds to all the 3′ UTR available for mRNAs represented on the microarray. UTR_target corresponds to all the 3′ UTR available for the identified EDEN-BP target mRNAs. UTR_target_Rev corresponds to the reverse complement of the UTR_target dataset. UTR_Target_Shuffle corresponds to the UTR_Target dataset after shuffling of the sequences.
Figure 3. EMSA for eight new EDEN-BP target mRNAs. (A) Based on the study by Graindorge et al. (34), inferred adenylation changes for the RNA tested in bandshift. (−) Indicates a decrease and (+) indicates an increase in the poly(A)+ signal of at least 10% after fertilization for the indicated RNA. 0 Indicates an absence of adenylation change. (B) Two representative EMSA with recombinant EDEN-BP and the indicated RNAs are shown; 3′ Eg5C6 is a negative control and ZMPste 24 is a new EDEN-BP target RNA. C1 and C2 indicates the two different complexes formed by multimerization of EDEN-BP, F indicates the free probe, the rEDEN-BP concentrations are indicated on top of each lane. (C) Apparent Kd (nanomolar) and standard deviation was calculated from three different EMSA experiments for each of the indicated RNAs.
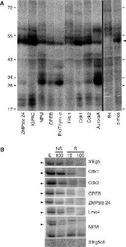
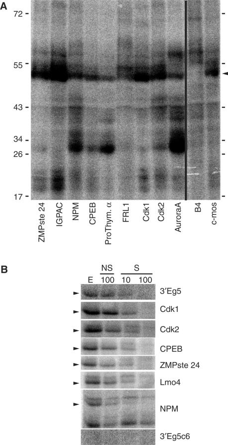
Figure 4. Binding of endogenous EDEN-BP protein to newly identified target RNAs. The indicated RNAs were tested for their ability to bind endogenous EDEN-BP protein by UV crosslinking. (A) The radiolabeled proteins were separated by SDS–PAGE and revealed using a Phosphorimager. (B) UV-crosslinking experiment in presence of specific (S) or non-specific (NS) unlabeled competitor. E corresponds to extract only, NS 100 corresponds to a binding realized in presence of 100-fold excess of non-specific competitor (3′ Eg5C6), S10 and S100 correspond to binding realized in the presence, respectively, of 10- and 100-fold excess of EDEN-BP-specific competitor (3′ Eg5). The arrowhead indicates the EDEN-BP position.
Figure 5. Cdk1 3′ UTR target a reporter mRNA for EDEN-BP-dependent deadenylation in Xenopus embryos. (A) The indicated capped poly(A)+ and radiolabeled mRNAs (ORF-Cdk1, ORF-AurA) were injected into two-cell embryos and samples were harvested at the indicated time after injection (hpi). Total RNA were extracted and separated by denaturing polyacrylamide gel electrophoresis. Radiolabeled RNAs were revealed by Phosphorimaging. For ORF-Cdk1, one can observe a small smiling of the gel. (B) ORF-Cdk1 mRNA was coinjected with either αE2 (antiEDEN-BP) antibody or control IgG as indicated. Samples were harvested at the indicated time after injection. Radiolabeled RNAs were analyzed as described for A). RNA size markers are positioned on the left side of the panel. The asterisk (*) denote the position of the poly(A)− mRNAs.
Audic,
Embryo deadenylation element-dependent deadenylation is enhanced by a cis element containing AUU repeats.
1998, Pubmed,
Xenbase
Audic,
Embryo deadenylation element-dependent deadenylation is enhanced by a cis element containing AUU repeats.
1998,
Pubmed
,
Xenbase Audic,
Postfertilization deadenylation of mRNAs in Xenopus laevis embryos is sufficient to cause their degradation at the blastula stage.
1997,
Pubmed
,
Xenbase Barreau,
Mammalian CELF/Bruno-like RNA-binding proteins: molecular characteristics and biological functions.
2006,
Pubmed Bouvet,
The deadenylation conferred by the 3' untranslated region of a developmentally controlled mRNA in Xenopus embryos is switched to polyadenylation by deletion of a short sequence element.
1994,
Pubmed
,
Xenbase Brittle,
Centrosome maturation: Aurora lights the way to the poles.
2005,
Pubmed Chen,
LMO4 mRNA stability is regulated by extracellular ATP in F11 cells.
2007,
Pubmed Cosson,
Oligomerization of EDEN-BP is required for specific mRNA deadenylation and binding.
2006,
Pubmed
,
Xenbase Crooks,
WebLogo: a sequence logo generator.
2004,
Pubmed Detivaud,
Regulation of EDEN-dependent deadenylation of Aurora A/Eg2-derived mRNA via phosphorylation and dephosphorylation in Xenopus laevis egg extracts.
2003,
Pubmed
,
Xenbase Dorey,
A novel Cripto-related protein reveals an essential role for EGF-CFCs in Nodal signalling in Xenopus embryos.
2006,
Pubmed
,
Xenbase Elledge,
A new human p34 protein kinase, CDK2, identified by complementation of a cdc28 mutation in Saccharomyces cerevisiae, is a homolog of Xenopus Eg1.
1991,
Pubmed
,
Xenbase Fierro,
Exploring nervous system transcriptomes during embryogenesis and metamorphosis in Xenopus tropicalis using EST analysis.
2007,
Pubmed
,
Xenbase Gautier-Courteille,
EDEN-BP-dependent post-transcriptional regulation of gene expression in Xenopus somitic segmentation.
2004,
Pubmed
,
Xenbase Graindorge,
Identification of post-transcriptionally regulated Xenopus tropicalis maternal mRNAs by microarray.
2006,
Pubmed
,
Xenbase Groisman,
CPEB, maskin, and cyclin B1 mRNA at the mitotic apparatus: implications for local translational control of cell division.
2000,
Pubmed
,
Xenbase Howe,
A developmental timer regulates degradation of cyclin E1 at the midblastula transition during Xenopus embryogenesis.
1996,
Pubmed
,
Xenbase Klotz,
Parthenogenesis in Xenopus eggs requires centrosomal integrity.
1990,
Pubmed
,
Xenbase Kobayashi,
On the synthesis and destruction of A- and B-type cyclins during oogenesis and meiotic maturation in Xenopus laevis.
1991,
Pubmed
,
Xenbase Kress,
Inactivation of CUG-BP1/CELF1 causes growth, viability, and spermatogenesis defects in mice.
2007,
Pubmed Legagneux,
Identification of RNA-binding proteins specific to Xenopus Eg maternal mRNAs: association with the portion of Eg2 mRNA that promotes deadenylation in embryos.
1992,
Pubmed
,
Xenbase Legagneux,
Substrate-specific regulation of RNA deadenylation in Xenopus embryo and activated egg extracts.
1995,
Pubmed
,
Xenbase Marquis,
CUG-BP1/CELF1 requires UGU-rich sequences for high-affinity binding.
2006,
Pubmed
,
Xenbase Meijer,
Translational control of maskin mRNA by its 3' untranslated region.
2007,
Pubmed
,
Xenbase Mendez,
Differential mRNA translation and meiotic progression require Cdc2-mediated CPEB destruction.
2002,
Pubmed
,
Xenbase Moore,
Human Pumilio-2 is expressed in embryonic stem cells and germ cells and interacts with DAZ (Deleted in AZoospermia) and DAZ-like proteins.
2003,
Pubmed Murray,
The role of cyclin synthesis and degradation in the control of maturation promoting factor activity.
1989,
Pubmed
,
Xenbase Paillard,
c-Jun ARE targets mRNA deadenylation by an EDEN-BP (embryo deadenylation element-binding protein)-dependent pathway.
2002,
Pubmed
,
Xenbase Paillard,
EDEN and EDEN-BP, a cis element and an associated factor that mediate sequence-specific mRNA deadenylation in Xenopus embryos.
1998,
Pubmed
,
Xenbase Paillard,
A functional deadenylation assay identifies human CUG-BP as a deadenylation factor.
2003,
Pubmed
,
Xenbase Paris,
Poly(A) metabolism and polysomal recruitment of maternal mRNAs during early Xenopus development.
1990,
Pubmed
,
Xenbase Philips,
Disruption of splicing regulated by a CUG-binding protein in myotonic dystrophy.
1998,
Pubmed Richard-Parpaillon,
G1/S phase cyclin-dependent kinase overexpression perturbs early development and delays tissue-specific differentiation in Xenopus.
2004,
Pubmed
,
Xenbase Schmidt,
Cytostatic factor: an activity that puts the cell cycle on hold.
2006,
Pubmed
,
Xenbase Schneider,
Sequence logos: a new way to display consensus sequences.
1990,
Pubmed Timchenko,
Molecular basis for impaired muscle differentiation in myotonic dystrophy.
2001,
Pubmed Tusher,
Significance analysis of microarrays applied to the ionizing radiation response.
2001,
Pubmed Ueno,
Requirement for both EDEN and AUUUA motifs in translational arrest of Mos mRNA upon fertilization of Xenopus eggs.
2002,
Pubmed
,
Xenbase Vasudevan,
Metazoan oocyte and early embryo development program: a progression through translation regulatory cascades.
2006,
Pubmed
,
Xenbase