Click here to close
Hello! We notice that you are using Internet Explorer, which is not supported by Xenbase and may cause the site to display incorrectly.
We suggest using a current version of Chrome,
FireFox, or Safari.
Carcinogenesis
2007 Aug 01;288:1646-52. doi: 10.1093/carcin/bgm083.
Show Gene links
Show Anatomy links
MAP17 overexpression is a common characteristic of carcinomas.
Guijarro MV, Leal JF, Fominaya J, Blanco-Aparicio C, Alonso S, Lleonart M, Castellvi J, Ruiz L, Ramon Y Cajal S, Carnero A.
???displayArticle.abstract???
We undertook a large-scale genetic screen to identify genes able to alter the cellular response to physiological signals and provide selective advantage once tumorigenesis has begun. We identified MAP17, a small 17 kDa non-glycosylated membrane protein previously identified, being overexpressed in carcinomas. We found that MAP17 is overexpressed in a great variety of human carcinomas. Immunohistochemical analysis of MAP17 during cancer progression shows, at least in prostate and ovarian carcinomas, that overexpression of the protein strongly correlates with tumoral progression (P < 0.0001). Many tumor cells also express MAP17 and its expression does not correlate with expression of SCL, a neighbor gene reported to be co-expressed in some hematopoietic cell lines. SCL neither is expressed in most MAP17-positive tumors, indicating the independent transcription of MAP17, at least in carcinomas. We cloned 5' genomic region to MAP17 and described the minimal promoter necessary to produce independent activation of MAP17. Moreover, we have found that MAP17 promoter is activated by oncogenes. Taken together, our data show an independent activation of MAP17 promoter that can be driven by oncogenes and that might explain the common overexpression of MAP17 in human carcinomas.
Fig. 1.Immunostaining of tumor samples shows a significant percentage of tumors with high expression of MAP17. Immunohistologic staining of MAP17 in representative samples of lung adenocarcinoma, colon carcinoma and ovarian carcinoma. A section (3 μm) of paraffin-embedded tumor TMA was stained using a monoclonal antibody raised against MAP17. (A) Picture shows a representative MAP17-positive tumor. (B) Graph shows the cases of each tumor analyzed discriminating among positives and negatives for MAP17 staining. See text for details.
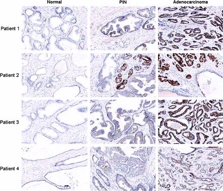
Fig. 2.MAP17 levels correlate with the degree of the tumor in prostatic lesions. Immunohistologic staining of MAP17 in representative samples of benign prostate, prostatic intraepithelial neoplasia (PIN) and prostatic carcinoma. A section (3 μm) of paraffin-embedded prostatic TMA was stained using a monoclonal antibody raised against MAP17. Note the high expression of MAP17 protein in the cytoplasm of carcinomas when compared with benign prostatic cases. Magnification 20×.
Fig. 3.Quantitative determination of MAP17 mRNA in tumor samples. We quantified MAP17 mRNA levels in three selected tumor types, including colon, lung and prostate, by quantitative PCR. mRNA from tumor and normal tissue was extracted from 20 patients of each tumor type. MAP17 mRNA levels were quantified in each sample by quantitative PCR as detailed in Materials and Methods. (A) Analysis of quantitative PCR of each individual sample compared with its non-tumoral match. (B) Averaged amount of MAP17 mRNA present in normal non-tumoral samples of the 20 patients and compared with the averaged amount present in tumor samples.
Fig. 4.MAP17 mRNA is increased in multiple tumor samples. (A and B) Cancer Profiling Array membranes (BD Biosciences) with paired non-tumoral/tumoral samples from the same patient were hybridized with P32-labeled probes of the MAP17 and SCL genes to determine the respective amount of MAP17 mRNA. (A) shows representative hybridizations. The figure (B) shows the relative amount of samples overexpressing MAP17 for each type of tumor in relation to their paired normal tissue sample.
Fig. 5.MAP17 and SCL mRNA expression in multiple tumor cell lines. Expression of MAP17 and SCL in a panel of tumor cell lines analyzed by RT–PCR. Upper panel shows presence of MAP17 mRNA in all cell lines analyzed by RT–PCR. The bottom panel shows results of RT–PCR with SCL-specific primers (see Materials and Methods). Similar results were obtained in at least other three independent experiments.
Fig. 6.MAP17 promoter is activated by oncogenes. (A) Identification of the MAP17 minimum promoter. 5′ MAP17 human genomic DNA (2.3 kb) was cloned and sequenced. Then different fragments (as indicated in the left part of the figure) were selected and cloned driving luciferase reporter gene in PGL3 vector. Each of these reporter plasmid was introduced into MDA-MB-468 (MAP17-positive cells) and luciferase measured (right part of the panel). (B) MAP17 promoter is activated by oncogenes. Hek293T cells were co-transfected with a reporter plasmid with the luciferase gene under MAP17 promoters (either F3 or G fragments, see above) and a plasmid carrying the indicated oncogene under LTR promoter. Control line one (pGL3-MAP17p) carries the reporter construct plus an empty plasmid. Dual-luciferase activity was measured as indicated in Material and Methods.