Click here to close
Hello! We notice that you are using Internet Explorer, which is not supported by Xenbase and may cause the site to display incorrectly.
We suggest using a current version of Chrome,
FireFox, or Safari.
Nucleic Acids Res
2007 Jan 01;3519:e132. doi: 10.1093/nar/gkm830.
Show Gene links
Show Anatomy links
A novel method for poly(A) fractionation reveals a large population of mRNAs with a short poly(A) tail in mammalian cells.
Meijer HA, Bushell M, Hill K, Gant TW, Willis AE, Jones P, de Moor CH.
???displayArticle.abstract???
The length of the poly(A) tail of an mRNA plays an important role in translational efficiency, mRNA stability and mRNA degradation. Regulated polyadenylation and deadenylation of specific mRNAs is involved in oogenesis, embryonic development, spermatogenesis, cell cycle progression and synaptic plasticity. Here we report a new technique to analyse the length of poly(A) tails and to separate a mixed population of mRNAs into fractions dependent on the length of their poly(A) tails. The method can be performed on crude lysate or total RNA, is fast, highly reproducible and minor changes in poly(A) tail length distribution are easily detected. We validated the method by analysing mRNAs known to undergo cytoplasmic polyadenylation during Xenopus laevis oocyte maturation. We then separated RNA from NIH3T3 cells into two fractions with short and long poly(A) tails and compared them by microarray analysis. In combination with the validation experiments, the results indicate that approximately 25% of the expressed genes have a poly(A) tail of less than 30 residues in a significant percentage of their transcripts.
Figure 1. Poly(A) fractionation method. Schematic representation of the poly(A) fractionation protocol. Cells or total RNA are resuspended in a GTC buffer, mixed with a radiolabelled polyadenylated probe and biotinylated oligo(dT) and diluted. The oligo(dT) is then hybridized with the RNA, resulting in stacking of the oligonucleotides on longer poly(A) tails and bound to paramagnetic beads. The beads are washed with 0.5 × SSC and the RNA is eluted using decreasing salt concentrations, eluting the RNAs with short poly(A) tails first.
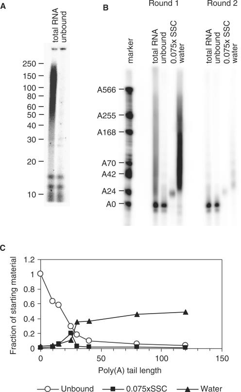
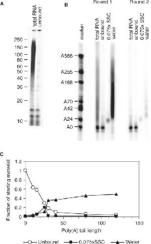
Figure 2. Characterization of the binding and elution properties of biotinylated oligo(dT) chromatography. (A) Total RNA from NIH3T3 cells was subjected to oligo(dT) affinity chromatography. Starting material and the unbound fraction were examined for poly(A) tail lengths by 3′ end-labelling followed by RNase A and T1 digestion. The markers are the indicated sizes in number of nucleotides. (B) Total RNA from NIH3T3 cells was mixed with radiolabelled polyadenylated probe with A0–500 and subjected to chromatography as above and eluted with 0.075 × SSC and water (Round 1). The unbound fraction was resubjected to the same procedure (Round 2). For total and unbound, equivalent amounts were loaded, while for the elutions, five times more was loaded. The marker is labelled with the number of nucleotides in excess over the unadenylated probe, which is 79 nt long. (C) Quantification of (B) for different lengths of poly(A) tails. The figure was quantified for each size using a phosphorimager and the background was subtracted. The numbers for the 0.075 × SSC and water elutions were divided by 5 to correct for the loading difference.
Figure 3. Analysis of poly(A) tail length during Xenopus oogenesis. Stage 6 and mature X. laevis oocytes were lysed and mixed with radiolabelled polyadenylated probe with A0–150. Both samples were subjected to oligo(dT) affinity chromatography and eluted using decreasing SSC concentrations. (A) Ten percent of the resulting fractions was analysed by urea–PAGE and the polyadenylated probe detected using a phosphor imager. Note that the water lane has only a weak signal in this instance because there is little probe with a poly(A) tail of more than 150 adenylate residues. (B) RT-PCR analysis of endogenous mRNAs in the fractions shown in (A). Samples in the no RT lane were treated exactly the same as the samples in the total RNA lane except for omitting the AMV-RT. (C) Northern analysis on 50% of the fractions shown in (A). Lanes with total RNA contain 15% of starting material. St 6, stage 6 oocytes; Mat, mature oocytes.
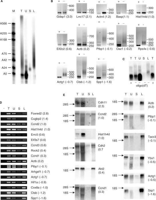
Figure 4. Validation of poly(A) fractionation microarray. T, total RNA; U, unbound; S, short (oligoadenylated RNA eluted with 0.075× SSC); L, long (polyadenylated RNA eluted with H2O). Gene names are according to Genbank, numbers in brackets indicate the corrected LogRatio obtained for the mRNA in the microarray screen. A high LogRatio should correlate with a short poly(A) tail. (A) Total RNA from NIH3T3 cells was mixed with radiolabelled polyadenylated probe and biotinylated oligo(dT) and then fractionated using the poly(A) fractionation method. Ten percent of the resulting fractions was analysed by urea–PAGE as in Figure 3A. The lane with total RNA contains 2% of starting material. The remainder of the fractions with short and long poly(A) tails was used for microarray analysis (see Supplementary Table 2). (B) Total RNA from NIH3T3 was subjected to RNaseH treatment in the presence of oligo(dT) (+ lanes) or used untreated (− lanes) and subjected to RL-PAT using specific sense primers (Supplementary Table 1) for genes identified in the microarray analysis. The size difference in PCR products between RNaseH treated and untreated corresponds to the length of the poly(A) tail. The numbers after the gene name indicate the corrected LogRatio obtained in the microarray experiment. (C) Total RNA from NIH3T3 cells was treated with RNaseH in the presence of oligo(dT) and an antisense oligo specific for Actb (+) or the presence of the specific oligo only (−). The sample treated with the specific oligo only was subsequently fractionated using the poly(A) fractionation method (U, S, L). Actb RNA was detected by Northern analysis. (D) RNA was fractionated as described in (A). RT-PCR was performed on the resulting fractions. Samples in the no RT lane (−) were treated the same as samples in the total RNA lane (T) except for the omission of Superscript III. (E) RNA was fractionated as described in (A). Twenty-five percent of each fraction was then analysed by northern blotting. Total: 5% of starting material. The numbers in brackets behind the gene names refer to the average corrected LogRatio (see Supplementary Table 2).
Beilharz,
Widespread use of poly(A) tail length control to accentuate expression of the yeast transcriptome.
2007, Pubmed
Beilharz,
Widespread use of poly(A) tail length control to accentuate expression of the yeast transcriptome.
2007,
Pubmed Bönisch,
Degradation of hsp70 and other mRNAs in Drosophila via the 5' 3' pathway and its regulation by heat shock.
2007,
Pubmed Brogna,
Nonsense mutations in the alcohol dehydrogenase gene of Drosophila melanogaster correlate with an abnormal 3' end processing of the corresponding pre-mRNA.
1999,
Pubmed Bushell,
Polypyrimidine tract binding protein regulates IRES-mediated gene expression during apoptosis.
2006,
Pubmed Carrick,
The tandem CCCH zinc finger protein tristetraprolin and its relevance to cytokine mRNA turnover and arthritis.
2004,
Pubmed Charlesworth,
Cytoplasmic polyadenylation element (CPE)- and CPE-binding protein (CPEB)-independent mechanisms regulate early class maternal mRNA translational activation in Xenopus oocytes.
2004,
Pubmed
,
Xenbase Choi,
Purifying mRNAs with a high-affinity eIF4E mutant identifies the short 3' poly(A) end phenotype.
2003,
Pubmed Chomczynski,
Single-step method of RNA isolation by acid guanidinium thiocyanate-phenol-chloroform extraction.
1987,
Pubmed Couttet,
Messenger RNA deadenylylation precedes decapping in mammalian cells.
1997,
Pubmed de Moor,
Mechanisms of translational control by the 3' UTR in development and differentiation.
2005,
Pubmed Dominski,
Formation of the 3' end of histone mRNA: getting closer to the end.
2007,
Pubmed Dormoy-Raclet,
The RNA-binding protein HuR promotes cell migration and cell invasion by stabilizing the beta-actin mRNA in a U-rich-element-dependent manner.
2007,
Pubmed Du,
Activity-dependent polyadenylation in neurons.
2005,
Pubmed
,
Xenbase Giraldez,
Zebrafish MiR-430 promotes deadenylation and clearance of maternal mRNAs.
2006,
Pubmed Gorgoni,
The roles of cytoplasmic poly(A)-binding proteins in regulating gene expression: a developmental perspective.
2004,
Pubmed Graindorge,
Identification of post-transcriptionally regulated Xenopus tropicalis maternal mRNAs by microarray.
2006,
Pubmed
,
Xenbase Groisman,
Translational control of the embryonic cell cycle.
2002,
Pubmed
,
Xenbase Iorio,
MicroRNA gene expression deregulation in human breast cancer.
2005,
Pubmed Jing,
Involvement of microRNA in AU-rich element-mediated mRNA instability.
2005,
Pubmed Kashiwabara,
Regulation of spermatogenesis by testis-specific, cytoplasmic poly(A) polymerase TPAP.
2002,
Pubmed Kühn,
Structure and function of poly(A) binding proteins.
2004,
Pubmed Lane,
The thermodynamic advantage of DNA oligonucleotide 'stacking hybridization' reactions: energetics of a DNA nick.
1997,
Pubmed Luitjens,
CPEB proteins control two key steps in spermatogenesis in C. elegans.
2000,
Pubmed
,
Xenbase Meijer,
Translational control of maskin mRNA by its 3' untranslated region.
2007,
Pubmed
,
Xenbase Mendez,
Translational control by CPEB: a means to the end.
2001,
Pubmed
,
Xenbase Meyer,
Messenger RNA turnover in eukaryotes: pathways and enzymes.
2004,
Pubmed Minvielle-Sebastia,
Mutations in the yeast RNA14 and RNA15 genes result in an abnormal mRNA decay rate; sequence analysis reveals an RNA-binding domain in the RNA15 protein.
1991,
Pubmed Paris,
Maturation-specific polyadenylation and translational control: diversity of cytoplasmic polyadenylation elements, influence of poly(A) tail size, and formation of stable polyadenylation complexes.
1990,
Pubmed
,
Xenbase Paris,
Poly(A) metabolism and polysomal recruitment of maternal mRNAs during early Xenopus development.
1990,
Pubmed
,
Xenbase Peng,
mRNA with a <20-nt poly(A) tail imparted by the poly(A)-limiting element is translated as efficiently in vivo as long poly(A) mRNA.
2005,
Pubmed Piccioni,
Translational regulation during oogenesis and early development: the cap-poly(A) tail relationship.
2005,
Pubmed Piqué,
Cytoplasmic mRNA polyadenylation and translation assays.
2006,
Pubmed
,
Xenbase Rassa,
Spacing constraints on reinitiation of paramyxovirus transcription: the gene end U tract acts as a spacer to separate gene end from gene start sites.
2000,
Pubmed Reis,
Contribution of Trf4/5 and the nuclear exosome to genome stability through regulation of histone mRNA levels in Saccharomyces cerevisiae.
2007,
Pubmed Richter,
Think globally, translate locally: what mitotic spindles and neuronal synapses have in common.
2001,
Pubmed
,
Xenbase Sallés,
Assaying the polyadenylation state of mRNAs.
1999,
Pubmed Sasayama,
Over-expression of Aurora-A targets cytoplasmic polyadenylation element binding protein and promotes mRNA polyadenylation of Cdk1 and cyclin B1.
2005,
Pubmed
,
Xenbase Scorilas,
Polyadenylate polymerase (PAP) and 3' end pre-mRNA processing: function, assays, and association with disease.
2002,
Pubmed Sheets,
The 3'-untranslated regions of c-mos and cyclin mRNAs stimulate translation by regulating cytoplasmic polyadenylation.
1994,
Pubmed
,
Xenbase Shin,
Rapid, activity-induced increase in tissue plasminogen activator is mediated by metabotropic glutamate receptor-dependent mRNA translation.
2004,
Pubmed Shyu,
Two distinct destabilizing elements in the c-fos message trigger deadenylation as a first step in rapid mRNA decay.
1991,
Pubmed Si,
A neuronal isoform of CPEB regulates local protein synthesis and stabilizes synapse-specific long-term facilitation in aplysia.
2003,
Pubmed
,
Xenbase Stebbins-Boaz,
CPEB controls the cytoplasmic polyadenylation of cyclin, Cdk2 and c-mos mRNAs and is necessary for oocyte maturation in Xenopus.
1996,
Pubmed
,
Xenbase Thomadaki,
Polyadenylate polymerase modulations in human epithelioid cervix and breast cancer cell lines, treated with etoposide or cordycepin, follow cell cycle rather than apoptosis induction.
2005,
Pubmed Verrotti,
Evolutionary conservation of sequence elements controlling cytoplasmic polyadenylylation.
1996,
Pubmed
,
Xenbase Wilusz,
The cap-to-tail guide to mRNA turnover.
2001,
Pubmed Wollerton,
Differential alternative splicing activity of isoforms of polypyrimidine tract binding protein (PTB).
2001,
Pubmed Wu,
MicroRNAs direct rapid deadenylation of mRNA.
2006,
Pubmed Zangar,
Determination of the poly(A) tail lengths of a single mRNA species in total hepatic RNA.
1995,
Pubmed Zhang,
microRNAs as oncogenes and tumor suppressors.
2007,
Pubmed