Click here to close
Hello! We notice that you are using Internet Explorer, which is not supported by Xenbase and may cause the site to display incorrectly.
We suggest using a current version of Chrome,
FireFox, or Safari.
PLoS One
2007 Sep 05;29:e833. doi: 10.1371/journal.pone.0000833.
Show Gene links
Show Anatomy links
Differential requirements for MCM proteins in DNA replication in Drosophila S2 cells.
Crevel G, Hashimoto R, Vass S, Sherkow J, Yamaguchi M, Heck MM, Cotterill S.
???displayArticle.abstract???
BACKGROUND: The MCM2-7 proteins are crucial components of the pre replication complex (preRC) in eukaryotes. Since they are significantly more abundant than other preRC components, we were interested in determining whether the entire cellular content was necessary for DNA replication in vivo.
METHODOLOGY/PRINCIPLE FINDINGS: We performed a systematic depletion of the MCM proteins in Drosophila S2 cells using dsRNA-interference. Reducing MCM2-6 levels by >95-99% had no significant effect on cell cycle distribution or viability. Depletion of MCM7 however caused an S-phase arrest. MCM2-7 depletion produced no change in the number of replication forks as measured by PCNA loading. We also depleted MCM8. This caused a 30% reduction in fork number, but no significant effect on cell cycle distribution or viability. No additive effects were observed by co-depleting MCM8 and MCM5.
CONCLUSIONS/SIGNIFICANCE: These studies suggest that, in agreement with what has previously been observed for Xenopus in vitro, not all of the cellular content of MCM2-6 proteins is needed for normal cell cycling. They also reveal an unexpected unique role for MCM7. Finally they suggest that MCM8 has a role in DNA replication in S2 cells.
???displayArticle.pubmedLink???
17786205 ???displayArticle.pmcLink???PMC1950684 ???displayArticle.link???PLoS One ???displayArticle.grants???[+]
Figure 1. Dpa1 mutants show abnormal chromosome condensation and unorganised mitotic spindles.Neuroblasts of heterozygous or homozygous third instar larvae (prepared as in 4) were stained for: centrosomes (red) using CP190 antibodies (a kind gift from Will Whitfield) and Goat anti-rabbit TxRed (Jackson labs); spindles (green) using anti-tubulin (Clone DM1A-Sigma) and goat anti-mouse Alexa 488 (Jackson Labs); and DNA (blue) using DAPI (Sigma). Heterozygous neuroblasts showed normal spindles with correct localization of CP190 at the poles in metaphase (A/B) and anaphase (B), and normally condensed chromosomes. Homozygous neuroblasts (C/D) showed fragmented, hyper-condensed and aneuploid chromosomes, and disorganised mitotic spindles usually lacking CP190.
Figure 2. a. Schematic detailing the regions of each MCM targeted for dsRNA.Base positions are quoted relative to the start AUG. Shaded arrows designate the 2nd dsRNA made from MCM6/7. b. Agarose gel of RT-PCR products showing the effects of RNAi depletion of individual MCMs on MCM mRNA expression levels. Horizontal numbers designate the MCM targeted by RNAi. Vertical numbers show the RT PCR target. The data presented is one complete representative data set from multiple repetitions. c. Western blot to show the effect of RNAi depletion of individual MCMs on MCM protein expression levels in total cell extracts. Horizontal numbers designate the MCM targeted by RNAi. Vertical numbers show the antibody used for western blotting. Tubulin expression is included as a loading control. The data presented is one complete representative data set from multiple repetitions.
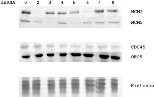
Figure 3. Immunoblot to show the effect of MCM depletions on the levels of MCM2, MCM5 ORC5 and CDC45 bound to chromatin.Coomassie stained histones are included as a loading control. The amount of each protein was compared to the histones using Alpha Innotech imager software. Horizontal numbers show the MCM protein targeted by RNAi. Several repetitions of this experiment were performed and this represents 1 complete data set.
Figure 4. Day 5 growth profiles of MCM targeted cells compared to a control cell line.The data presented shows combined data from seven independent experiments. The data is expressed as a percentage of the control. Lane 1 is the control and lanes 2-8 are MCM 2-8 resepectively.
Figure 5. FACS analysis profiles of cells targeted with dsRNA against MCM2-7 proteins as compared to control targeted cells.The data presented is one complete representative data set from multiple repetitions.
Figure 6. a. Agarose gel of RTPCR products to show the effects of RNAi depletion of MCM5 and MCM8 and MCM 5 plus 8 on the MCM5 and 8 levels.b. FACS profiles of cells targeted with dsRNA against MCM8, and MCM5 plus MCM8. The data presented is one complete representative data set from multiple repetitions.
Figure 7. Immunoblot to show the effect of MCM depletions on the levels of PCNA bound to chromatin.Coomassie stained histones are included as a loading control. The amount of PCNA was compared to the histones using Alpha Innotech imager software. Horizontal numbers show the MCM protein targeted by RNAi.
Christensen,
Drosophila MCM10 interacts with members of the prereplication complex and is required for proper chromosome condensation.
2003, Pubmed
Christensen,
Drosophila MCM10 interacts with members of the prereplication complex and is required for proper chromosome condensation.
2003,
Pubmed Cortez,
Minichromosome maintenance proteins are direct targets of the ATM and ATR checkpoint kinases.
2004,
Pubmed Crevel,
Nearest neighbour analysis of MCM protein complexes in Drosophila melanogaster.
2001,
Pubmed Crevel,
The Drosophila Cdc6/18 protein has functions in both early and late S phase in S2 cells.
2005,
Pubmed Davey,
Reconstitution of the Mcm2-7p heterohexamer, subunit arrangement, and ATP site architecture.
2003,
Pubmed Edwards,
MCM2-7 complexes bind chromatin in a distributed pattern surrounding the origin recognition complex in Xenopus egg extracts.
2002,
Pubmed
,
Xenbase Ekholm-Reed,
Deregulation of cyclin E in human cells interferes with prereplication complex assembly.
2004,
Pubmed Feger,
dpa, a member of the MCM family, is required for mitotic DNA replication but not endoreplication in Drosophila.
1995,
Pubmed Forsburg,
Eukaryotic MCM proteins: beyond replication initiation.
2004,
Pubmed Gozuacik,
Identification and functional characterization of a new member of the human Mcm protein family: hMcm8.
2003,
Pubmed Kearsey,
Enigmatic variations: divergent modes of regulating eukaryotic DNA replication.
2003,
Pubmed Kelman,
Structural lessons in DNA replication from the third domain of life.
2003,
Pubmed Labib,
Is the MCM2-7 complex the eukaryotic DNA replication fork helicase?
2001,
Pubmed Labib,
MCM2-7 proteins are essential components of prereplicative complexes that accumulate cooperatively in the nucleus during G1-phase and are required to establish, but not maintain, the S-phase checkpoint.
2001,
Pubmed Labib,
Uninterrupted MCM2-7 function required for DNA replication fork progression.
2000,
Pubmed Laskey,
A rotary pumping model for helicase function of MCM proteins at a distance from replication forks.
2003,
Pubmed Lee,
Isolation and characterization of various complexes of the minichromosome maintenance proteins of Schizosaccharomyces pombe.
2000,
Pubmed Lee,
Processive DNA helicase activity of the minichromosome maintenance proteins 4, 6, and 7 complex requires forked DNA structures.
2001,
Pubmed Loupart,
Aberrant replication timing induces defective chromosome condensation in Drosophila ORC2 mutants.
,
Pubmed
,
Xenbase Mahbubani,
Cell cycle regulation of the replication licensing system: involvement of a Cdk-dependent inhibitor.
1997,
Pubmed
,
Xenbase Maiorano,
Stepwise regulated chromatin assembly of MCM2-7 proteins.
2000,
Pubmed
,
Xenbase Maiorano,
MCM8 is an MCM2-7-related protein that functions as a DNA helicase during replication elongation and not initiation.
2005,
Pubmed
,
Xenbase Matsubayashi,
REC, a new member of the MCM-related protein family, is required for meiotic recombination in Drosophila.
2003,
Pubmed Moyer,
Isolation of the Cdc45/Mcm2-7/GINS (CMG) complex, a candidate for the eukaryotic DNA replication fork helicase.
2006,
Pubmed Oehlmann,
The role of Cdc6 in ensuring complete genome licensing and S phase checkpoint activation.
2004,
Pubmed
,
Xenbase Pacek,
A requirement for MCM7 and Cdc45 in chromosome unwinding during eukaryotic DNA replication.
2004,
Pubmed
,
Xenbase Pflumm,
Orc mutants arrest in metaphase with abnormally condensed chromosomes.
2001,
Pubmed Prokhorova,
Sequential MCM/P1 subcomplex assembly is required to form a heterohexamer with replication licensing activity.
2000,
Pubmed
,
Xenbase Schwacha,
Interactions between two catalytically distinct MCM subgroups are essential for coordinated ATP hydrolysis and DNA replication.
2001,
Pubmed Schwed,
Drosophila minichromosome maintenance 6 is required for chorion gene amplification and genomic replication.
2002,
Pubmed Takahashi,
Pumps, paradoxes and ploughshares: mechanism of the MCM2-7 DNA helicase.
2005,
Pubmed Tsao,
Interaction between human MCM7 and Rad17 proteins is required for replication checkpoint signaling.
2004,
Pubmed Volkening,
Involvement of human MCM8 in prereplication complex assembly by recruiting hcdc6 to chromatin.
2005,
Pubmed Woodward,
Excess Mcm2-7 license dormant origins of replication that can be used under conditions of replicative stress.
2006,
Pubmed
,
Xenbase You,
Biochemical analysis of the intrinsic Mcm4-Mcm6-mcm7 DNA helicase activity.
1999,
Pubmed