Click here to close
Hello! We notice that you are using Internet Explorer, which is not supported by Xenbase and may cause the site to display incorrectly.
We suggest using a current version of Chrome,
FireFox, or Safari.
???displayArticle.abstract???
During amphibian metamorphosis, most or all of the larval intestinal epithelial cells undergo apoptosis. In contrast, stem cells of yet-unknown origin actively proliferate and, under the influence of the connective tissue, differentiate into the adult epithelium analogous to the mammalian counterpart. Thus, amphibian intestinal remodeling is useful for studying the stem cell niche, the clarification of which is urgently needed for regenerative therapies. This review highlights the molecular aspects of the niche using the Xenopus laevis intestine as a model. Because amphibian metamorphosis is completely controlled by thyroid hormone (TH), the analysis of TH response genes serves as a powerful means for clarifying its molecular mechanisms. Although functional analysis of the genes is still on the way, recent progresses in organ culture and transgenic studies have gradually uncovered important roles of cell-cell and cell-extracellular matrix interactions through stromelysin-3 and sonic hedgehog/bone morphogenetic protein-4 signaling pathway in the epithelial stem cell development.
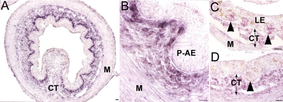
Figure 4. Expression of bone morphogenic protein-4 (BMP-4; A,B), BMPR-IA (C), and Tolloid/BMP-1 (D) mRNA analyzed by in situ hybridization (ISH) with a digoxigenin (DIG) -labeled antisense RNA probe. A,B: BMP-4 mRNA reaches the maximum level around stage 62 in the connective tissue (CT). There is a gradient in its amount toward the adult epithelial primordia (P-AE; B). C,D: The level of BMPR-IA (C) and Tolloid/BMP-1 mRNA (D) is the highest around stage 61. BMPR-IA mRNA is weakly expressed in both the connective tissue and the adult epithelial primordia (arrowheads), but not in the larval epithelium (LE; C). In contrast, Tolloid/BMP-1 mRNA is expressed only in the connective tissue without a gradient (D). M, muscles. Scale bars = 20 mu m.
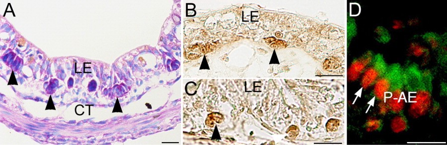
Figure 2. Primordia of the adult intestinal epithelium can be detected by immunohistochemistry as small islets between the degenerating larval epithelium (LE) and the connective tissue (CT) in the Xenopus laevis intestine at stages 60-61. A-C: They are stained strongly with methyl green-pyronin Y (A, arrowheads) and express both sonic hedgehog (Shh, B) and phosphorylated form of PTEN (P-PTEN; C). D: Double immunofluorescence labeling with Musashi-1 (Msi-1; D, green) and proliferating cell nuclear antigen (PCNA, red) antibodies indicates that the primordia of the adult epithelium (P-AE) positive for Msi-1 actively proliferate (arrows). Scale bars = 20 mu m.
bmp4 (bone morphogenic protein 4) expression (dark purple) in the connective tissue of the small intestine, seen here in cross-section, of a late stage Xenopus laevis tadpole, assayed via in situ hybridization.
Figure 1. Larvalâtoâadult intestinal remodeling during Xenopus laevis metamorphosis. The long tadpoleintestine has a single fold, typhlosole (Ty), and consists of the larval epithelium possessing longer brush border (bb) and thin layers of connective tissue and muscles. During metamorphosis the tadpoleintestine shortens and is remodeled into a more complex one. When larval epithelial cells begin to undergo apoptosis (the cells with dense nuclei, middle panel), primordia of the adult epithelium (PâAE; middle panel) consisting of undifferentiated and mitotic cells (m) appear as islets around stage 60. They actively proliferate and invaginate into the connective tissue. The adult epithelium after metamorphosis (stage 66) acquires the cellârenewal system along the troughâcrest axis of newly formed intestinal folds (IF), analogous to the mammalian cryptâvillus axis.
Figure 3. Remodeling at the epithelialâconnective tissue interface during adult epithelial development in the Xenopus laevis intestine. A,B: Normal intestine at stage 61. A: Adult epithelial primordia (PâAE) replace the larval epithelium (LE), where apoptotic bodies are detected (arrows). B: Just beneath the adult epithelial primordia, the basal lamina (BL) is thickened through vigorous folding. Subepithelial fibroblast (F) possesses wellâdeveloped rough endoplasmic reticulum (rER) and makes contact with the adult epithelial cell (arrowhead). C,D: Anteriorintestine cultured in the presence of thyroid hormone (TH). The basal lamina begins folding on day 3 (C) and becomes amorphous on day 5 (D), when cell contacts occur (arrowhead). E: Intestine of stage 54âtransgenic tadpole overexpressing ST3 after heat shock. Cell contacts often occur through the modified basal lamina (arrowhead). Scale bars = 1 μm.
Figure 5. Schematic drawing showing the expression cascade of thyroid hormone (TH) response genes and their potential roles during Xenopus laevis intestinal remodeling. TH directly up‐regulates the expression of sonic hedgehog (Shh) in primordia of the adult epithelium (P‐AE) and that of stromelysin‐3 (ST3) in fibroblasts (F). Shh induces fibroblasts to express bone morphogenetic protein‐4 (BMP‐4), which in turn promotes differentiation of the adult epithelium. BMP‐4 activity may be regulated by Tolloid/BMP‐1 through degrading Chordin. ST3 modifies cell–extracellular matrix interactions, which are involved in the larval epithelial apoptosis, the invagination of the adult epithelial primordia into the connective tissue, and direct cell contacts between fibroblasts and the adult epithelial primordia. Arrows and T‐shaped bars indicate activation and repression, respectively.