XB-ART-36068
Gene
2007 Aug 15;3981-2:94-102. doi: 10.1016/j.gene.2007.01.040.
Show Gene links
Show Anatomy links
Gene expression and tissue distribution of cytoglobin and myoglobin in the Amphibia and Reptilia: possible compensation of myoglobin with cytoglobin in skeletal muscle cells of anurans that lack the myoglobin gene.
???displayArticle.abstract???
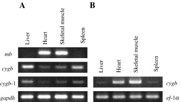
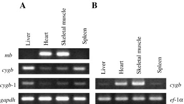
Cytoglobin (Cygb), a recently discovered vertebrate cytoplasmic heme-binding globin, is considered to be in a clade with vertebrate myoglobin (Mb), which is exclusively distributed in the cytoplasm of cardiac and skeletal muscles as an oxygen storage protein. GenBank databases (NCBI and JGI) and gene synteny analyses showed the absence of the Mb gene (mb) in two anuran amphibians, Xenopus laevis and X. tropicalis. Here we conducted comparative studies on the gene expression and tissue distribution of Cygb and Mb in anuran and reptilian tissues. Cygb and Mb genes were cloned from a reptile, iguana (Iguana iguana). Two types of cygb (cygb-1 and -2) were cloned, with lengths of 1066 and 1034 bp, and 196 and 193 amino acid residues, respectively. Their nucleotide and amino acid sequence identities were 90 and 87%, respectively. The Mb gene covered 1416 bp with an open reading frame of 465 bp, giving rise to a 154 amino acid protein. The distal ligand-binding histidine at E7, the proximal heme-binding histidine at F8, and the phenylalanine residue at CD1 were conserved in Mb and Cygb. The nucleotide and amino acid sequence identity of I. iguana cygb-1 and cygb-2 against X. laevis cygb were approximately 67% and 65%, respectively. RT-PCR demonstrated that X. laevis cygb was uniquely expressed in the heart and skeletal muscles, and faintly in the liver and spleen, which was quite contrasted with Iguana and the other vertebrates, where mb is exclusively expressed in the heart and skeletal muscles. Immunohistochemical analyses showed the distribution of Cygb in the cytoplasm of skeletal muscle cells. Interestingly, Cygb in the heart was localized in the nuclei. Considering the absence of mb in the Anura, we hypothesize that Cygb in muscle cells of anurans compensates for the lack of Mb for the storage and intracellular transportation of oxygen.
???displayArticle.pubmedLink??? 17560742
???displayArticle.link??? Gene
Species referenced: Xenopus laevis
Genes referenced: aanat commd5 crebbp cygb esyt1 evpl foxred2 gabarapl2 hmox1 ift27 jmjd6 mcm5 myh9 prpsap1 rasd2 rbfox2 rhbdf2 rpl8 sphk1 tlcd4 tom1 zic1 znf250
???displayArticle.antibodies??? Cygb Ab1
???attribute.lit??? ???displayArticles.show???
