Click here to close Hello! We notice that you are using Internet Explorer, which is not supported by Xenbase and may cause the site to display incorrectly. We suggest using a current version of Chrome, FireFox, or Safari.
XB-ART-35450
PLoS One 2007 Feb 28;22:e247. doi: 10.1371/journal.pone.0000247.
Show Gene links Show Anatomy links

Role for non-proteolytic control of M-phase-promoting factor activity at M-phase exit.

D'Angiolella V, Palazzo L, Santarpia C, Costanzo V, Grieco D.


???displayArticle.abstract???
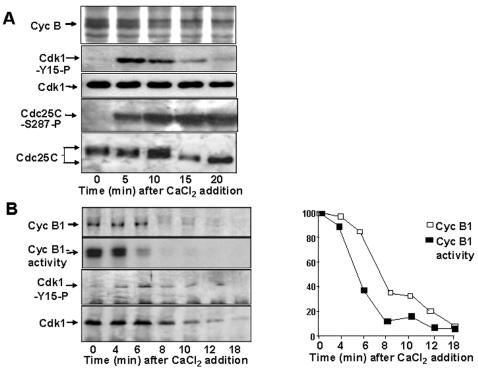
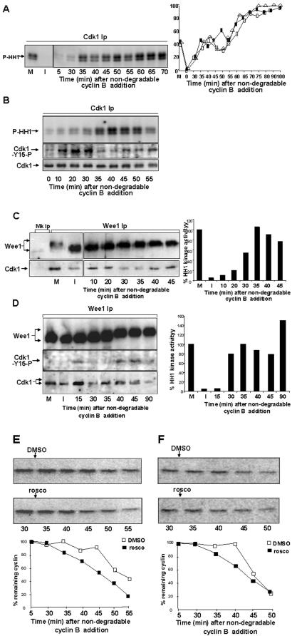
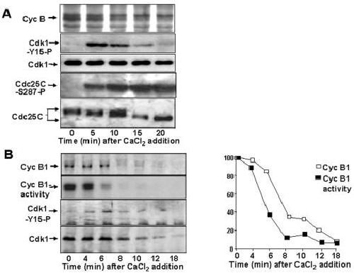
M-phase Promoting Factor (MPF; the cyclin B-cdk 1 complex) is activated at M-phase onset by removal of inhibitory phosphorylation of cdk1 at thr-14 and tyr-15. At M-phase exit, MPF is destroyed by ubiquitin-dependent cyclin proteolysis. Thus, control of MPF activity via inhibitory phosphorylation is believed to be particularly crucial in regulating transition into, rather than out of, M-phase. Using the in vitro cell cycle system derived form Xenopus eggs, here we show, however, that inhibitory phosphorylation of cdk1 contributes to control MPF activity during M-phase exit. By sampling extracts at very short intervals during both meiotic and mitotic exit, we found that cyclin B1-associated cdk1 underwent transient inhibitory phosphorylation at tyr-15 and that cyclin B1-cdk1 activity fell more rapidly than the cyclin B1 content. Inhibitory phosphorylation of MPF correlated with phosphorylation changes of cdc25C, the MPF phosphatase, and physical interaction of cdk1 with wee1, the MPF kinase, during M-phase exit. MPF down-regulation required Ca(++)/calmodulin-dependent kinase II (CaMKII) and cAMP-dependent protein kinase (PKA) activities at meiosis and mitosis exit, respectively. Treatment of M-phase extracts with a mutant cyclin B1-cdk1AF complex, refractory to inhibition by phosphorylation, impaired binding of the Anaphase Promoting Complex/Cyclosome (APC/C) to its co-activator Cdc20 and altered M-phase exit. Thus, timely M-phase exit requires a tight coupling of proteolysis-dependent and proteolysis-independent mechanisms of MPF inactivation.

???displayArticle.pubmedLink??? 17327911
???displayArticle.pmcLink??? PMC1803016
???displayArticle.link??? PLoS One


Species referenced: Xenopus laevis
Genes referenced: camk2g camp ccnb1 ccnb1.2 cdc20 cdc25c cdc27 cdk1 isyna1 wee1


???attribute.lit??? ???displayArticles.show???
References [+] :
Arnaoutov, The Ran GTPase regulates kinetochore function. 2003, Pubmed, Xenbase