Click here to close
Hello! We notice that you are using Internet Explorer, which is not supported by Xenbase and may cause the site to display incorrectly.
We suggest using a current version of Chrome,
FireFox, or Safari.
???displayArticle.abstract???
The tail of the Xenopus tadpole contains major axial structures, including a spinal cord, notochord and myotomes, and regenerates within 2 weeks following amputation. The tail regeneration in Xenopus can provide insights into the molecular basis of the regeneration mechanism. The regenerated tail has some differences from the normal tail, including an immature spinal cord and incomplete segmentation of the muscle masses. Lineage analyses have suggested that the tail tissues are reconstructed with lineage-restricted stem cells derived from their own tissues in clear contrast to urodele regeneration, in which multipotent blastema cells derived from differentiated cells play a major role. Comprehensive gene expression analyses resulted in the identification of a panel of genes involved in sequential steps of the regeneration. Manipulation of genes' activities suggested that the tail regeneration is regulated through several major signaling pathways.
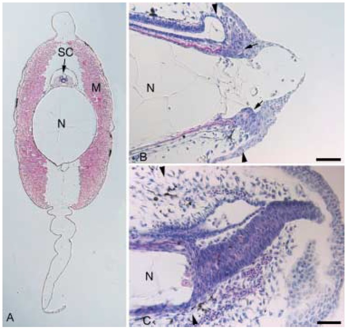
Fig. 1. Morphology of normal and regenerating tail of Xenopus tadpole. (A) Transverse section of a stage 50 tadpole tail was stained with hematoxylin and eosin. (B, C) Sagittal sections of the regenerating tail at days 2 and 3 after amputation. The pair of arrowheads indicates the amputation plane. Arrows in (B) indicate cell masses of the notochord precursor. The dorsal side is up and the anterior side is to the left in (B) and (C). N, notochord; SC, spinal cord; M, muscle mass. Scale bar, 50 μm.
Fig. 2. Lineage analyses during the tail regeneration. Arrows in (A) indicate green fluorescent protein (GFP)-labeled notochord cells before amputation. (B) The same tadpole shown in (A) at day 4 after amputation. All of the GFP-labeled cells were found in the regenerating notochord. Arrows in (C) indicate three muscle fibers labeled with GFP. (D) The same tadpole as shown in (C) at day 5 after amputation. Two labeled cells were not changed while the other cell degenerated and was not found. (E, F) Spinal cord cells were electroporated after amputation and observed at day 2 (C) and day 7 (D). All the labeled cells were found in the regenerating spinal cord. The pair of arrowheads indicates the amputation plane. The dorsal side is up and the anterior side is to the left. Scale bar, 250 μm. The solution containing the expression plasmid pCAX-AFP (1 μg/μL) that coded for a mutant form of GFP (Inouye et al. 1997) was injected into the muscle, notochord or spinal cord region of a stage 48 tadpole anesthetized in MS222. The injected tadpole was covered with 0.1 × MMR saturated papers and electroporated with an electroporator (ECM 830, BTX) by applying 10 pulses (30 V, 5 ms) according to the method of Momose et al. (1999). After confirmation of the GFP expression using a fluorescence microscope the tail was amputated at the plane indicated by a white line
Fig. 3. PAX7 expression during tail regeneration. A frozen crosssectionof the tail muscle region was stained with anti-laminin antibody (A), Hoechst 33342 (B) and anti-PAX7 antibody (C). (D) Merged image of (A) and (C). The subpopulations of muscle nuclei were labeled with ani-PAX7. (E) Higher magnification view of a section immunostained for laminin (green) and PAX7 (magenta). A PAX7-labeled cell is situated underneath the myofiber basement membrane visualized with antilaminin antibody, suggesting that it is the muscle satellite cell. (F, G) Horizontal sections of amputated tail at days 1 (F) and 3 (G) were stained with anti-PAX7 antibody.
The PAX7-positive cells increase in number during the regeneration.The dorsal side is up in (A, B, C, D, E) and the anterior side is to
the left in (F, G). A white line in (F, G) indicates the amputation plane. Scale bar, 50 μm in (D, F,
G) and 25 μm in (E). A stage 48 tadpole was fixed in 4% paraformaldehyde, infiltrated in 18% sucrose, embedded in Tissue-Tek OCT compound (Sakura) and frozen in n-hexane cooled with liquid nitrogen. A cryosection was re-fixed in 4% paraformaldehyde and treated with a mixture of antibodies, containing a monoclonal anti-PAX7 antibody (DSHB, Iowa; Kawakami et al. 1997) and a rabbit anti-laminin antibody (Sigma). The signals were detected with Cy3- and Alexa488-conjugated secondary antibodies (molecular probes).