Click here to close
Hello! We notice that you are using Internet Explorer, which is not supported by Xenbase and may cause the site to display incorrectly.
We suggest using a current version of Chrome,
FireFox, or Safari.
???displayArticle.abstract??? Germ plasm plays a prominent role in germline formation in a large number of animal taxons. We previously identified a novel maternal RNA named Germes associated with Xenopus germ plasm. In the present work, we addressed possible involvement of Germes protein in germ plasm function. Expression in oocytes followed by confocal microscopy revealed that the EGFP fused to Germes, in contrast to the free EGFP, co-localized with the germ plasm. Overexpression of intact Germes and Germes lacking both leucine zipper motifs (GermesDeltaLZs) resulted in a statistically significant reduction of the number of primordial germ cells (PGCs). Furthermore, the GermesDeltaLZs mutant inhibited PGC migration and produced abnormalities in germ plasm intra-cellular distribution at tailbud stages. To begin unraveling biochemical interactions of Germes during embryogenesis, we searched for Germes partners using yeast two-hybrid (YTH) system. Two closely related sequences were identified, encoding Xenopus dynein light chains dlc8a and dlc8b. Tagged versions of Germes and dlc8s co-localize in VERO cells upon transient expression and can be co-immunoprecipitated after injection of the corresponding RNAs in Xenopus embryos, indicating that their interactions occur in vivo. We conclude that Germes is involved in organization and functioning of germ plasm in Xenopus, probably through interaction with motor complexes.
Fig. 1 EGFP-Germes localizes to the germ plasm islands in Xenopus
oocytes. Full-grown oocytes were injected with RNA encoding
either EGFP alone (A0) or EGFP-Germes (B0). Germ plasm was
visualized by staining mitochondria with tetramethylrhodamine
ethyl ester (TMRE) (A and B). Merged images (A00 and B00) revealed
EGFP-Germes co-localization to germ plasm islands at vegetal
cortex of oocytes, while distribution of EGFP alone, although
overlapping partially with the mitochondria, is much broader than
that of TMRE-stained islands. EGFP expression is not entirely
uniform because it is excluded from regions rich in dense yolk
platelets. Scale bar510 mm.
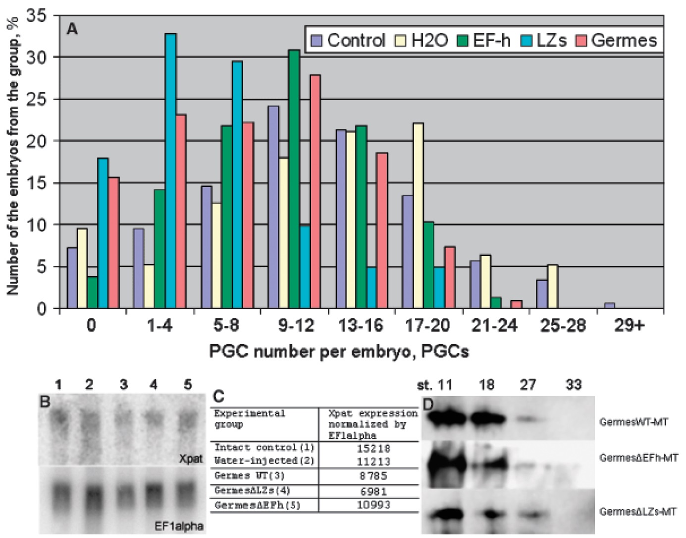
Fig. 2 Overexpression of wild-type (WT) and mutant Germes affects
primordial germ cell (PGC) number and quantity of germ
plasm. Embryos from all experimental groups were grown until
stages 31â33, and following fixation were processed for PGC visualization
by in situ hybridization with Xpat probe. PGC numbers
were counted for each group, and the embryos were divided into
groups according to PGC content (A). The peak of the GermesDLZs-
expressing embryos distribution is clearly shifted to
groups with lower PGC numbers. Alternatively, embryos were
lysed to isolate RNA, and Xpat expression was estimated by Nothern
blot hybridization (B). The central panel (C) presents levels of
Xpat expression normalized to those of the ubiquitous message
EF1a. The identity of lanes 1â5 is shown in (C). Levels of WT and
mutant Germes proteins expression were compared with each other
as C-terminal fusions to myc-tag (D). The proteins are expressed at
similar levels during gastrula (11), neurula (18), and tailbud (27)
stages and are not detected later on (stage 33). st., stage.
Fig. 3 The effects on primordial germ cell (PGC) development of
expression of mutant Germes lacking leucine zippers. Germ plasm
and PGCs (arrows) in intact (A) and GermesDLZs-expressing embryos
(B) have been visualized by whole-mount in situ hybridization
with an Xpat probe. Cross-sections through control (C) and mutant
(D) embryos demonstrate a PGC on the mesodermâendoderm border
of the control embryo and a PGC residing deep in the endoderm
of the mutant embryo. In the PGCs of GermesDLZs-injected
embryos, the germ plasm appeared in a pool of yolk-free cytoplasm
juxtaposed to the nucleus (F), which is more characteristic for earlier
stages, while in PGCs of intact embryos, germ plasm is dispersed
between yolk platelets around the nucleus (E). We also
always noted the difference in germ plasm color in control and
mutant embryos. This may arise from the different amount of Xpat
mRNA in the PGCs, which is shown by quantitative Northern blot
analysis (Fig. 2). am, axial mesoderm; end, endoderm; lm, lateral
mesoderm; n, nucleus; not, notochord; nt, neural tube; pgc, primordial
germ cell.
Fig. 4 Overexpression of wild-type (WT) and mutant Germes affects
germ plasm morphology. Embryos from all experimental
groups (A, intact; B, water-injected; C, GermesDEFh mRNA-injected;
D, GermesDLZs mRNA-injected; E, WT Germes mRNAinjected)
were immunostained for Xpat protein (A0âE0). Nuclei
were revealed by DAPI-staining; this, to a lower extent, also stains
yolk platelets (AâE). Merged images (A00âE00) demonstrate exclusively
nuclear Xpat localization in control (A00B00) and GermesDEFh-
expressing (C00) embryos. In embryos injected with
GermesDLZs (D00) or WT Germes (E00) mRNAs, Xpat is also present
in yolk-free cytoplasm around the primordial germ cell (PGC)
nucleus. Arrows point to nuclei. Scale bar516 mm.
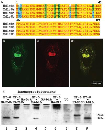
Fig. 5 Interaction of Germes with dynein light chains. Sequencing
of positive clones found to interact with Germes in yeast two-hybrid
(YTH) system revealed them to be homologs of dynein light
chains dlc8a and dlc8b. (A) Alignment of murine dlc8a and dlc8b
sequences with those of Germes YTH partners in Xenopus. (BâB00)
In cultured VERO cells, transiently expressed GFP-Germes (B) and
HA-dlc8 (B0) are co-localized, as revealed by the merged image
(B00). (C) Germes can be co-immunoprecipitated with dlc8s, but not
with histone H3.3. Embryos were injected with mRNAs encoding
myc-tagged Germes (MT-G) and HA-dlc8s or HA-H3.3, and lysed
at stage 9; immunoprecipitation was performed with anti-myc antibody,
Western blot detection with anti-HA antibody. HA-dlc8s
(12 kDa) and HA-H3.3 (17 kDa) are expressed in the lysates (1, 8,
9). Both dlc8 proteins are co-precipitated with Germes (2, 4), while
they are not detected in the precipitations from lysates expressing
dlc8s only (3, 5). 1, 7â9, embryo lysates; 2â6, immunoprecipitations;
1, 2, HA-dlc8b1MT-Germes; 4, 9, HA-dlc8a1MT-Germes;
3, HA-dlc8b; 5, HA-dlc8a; 6, 8, H3.31MT-Germes; 7, uninjected
control. Upper bands in precipitations represent immunoglobulins.