Click here to close
Hello! We notice that you are using Internet Explorer, which is not supported by Xenbase and may cause the site to display incorrectly.
We suggest using a current version of Chrome,
FireFox, or Safari.
???displayArticle.abstract??? Erp1 (also called Emi2), an inhibitor of the APC/C ubiquitin ligase, is a key component of cytostatic factor (CSF) responsible for Meta-II arrest in vertebrate eggs. Reportedly, however, Erp1 is expressed even during meiosis I in Xenopus oocytes. If so, it is a puzzle why normally maturing oocytes cannot arrest at Meta-I. Here, we show that actually Erp1 synthesis begins only around the end of meiosis I in Xenopus oocytes, and that specific inhibition of Erp1 synthesis by morpholino oligos prevents entry into meiosis II. Furthermore, we demonstrate that premature, ectopic expression of Erp1 at physiological Meta-II levels can arrest maturing oocytes at Meta-I. Thus, our results show the essential role for Erp1 in the meiosis I/meiosis II transition in Xenopus oocytes and can explain why normally maturing oocytes cannot arrest at Meta-I.
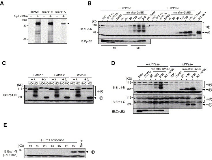
Fig. 1. Expression pattern of Erp1 during oocyte maturation. (A) In vitro translation of Erp1 mRNA. Reticulocyte lysates incubated with (+) or without (â) Myc3-Erp1 mRNA were immunoblotted (IB) with the indicated antibodies. The arrowhead shows Myc3-Erp1 protein. (B) Expression of endogenous Erp1 protein during oocyte maturation. Immature oocytes (IMO) were treated with progesterone (PG) and, at the indicated times, oocytes were collected. Oocyte extracts were treated (+) or not (â) with λ phosphatase (λ PPase) and subjected to immunoblotting with the indicated antibodies. GVBD occurred about 3 h after PG treatment. The periods of MI and MII are indicated. Heterogeneously hyperphosphorylated Erp1 proteins are shown by + â, and dephosphorylated Erp1 protein is shown by â â. Asterisked bands denote background proteins. Act, calcium ionophore-activated egg; IVT, in vitro translated Erp1 (with no tag). (C) Extracts from immature (IMO) or mature (MO) oocytes of three different batches were treated or not with λ phosphatase and immunoblotted with anti-Erp1-N antibody. See B for + â, â â and asterisks. (D) Detection of Erp1 with anti-Erp1-C antibody. Oocytes were processed and analyzed as in B, except that they were also analyzed with anti-Erp1-C antibody. (E) Inhibition of Erp1 synthesis by antisense oligonucleotides. Immature oocytes were injected with 55 ng/oocyte each of the seven Erp1 conventional (or nonmodified) antisense oligonucleotides, cultured overnight, treated with progesterone and, 4 h after GVBD, subjected to immunoblotting with anti-Erp1-N antibody (after λ phosphatase treatment of oocyte extracts). For the respective antisense oligonucleotides (#1â¼#7), see Materials and methods. Note that most of the antisense oligonucleotides specifically blocked the synthesis of endogenous Erp1. â â, (dephosphorylated) Erp1; asterisk, background protein.
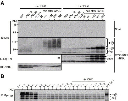
Fig. 2. Expression pattern of ectopic Erp1. (A) Immature oocytes were left uninjected (None) or injected with 100 pg of Myc3-Erp1C583A mRNA with a full-length 3â²UTR (+ Myc3-Erp1 mRNA), cultured overnight, treated with progesterone and collected at the indicated times. Oocyte extracts were treated or not with λ phosphatase and immunoblotted with the indicated antibodies. The asterisk and deg denote background protein and Myc3-Erp1C583A degradation products, respectively. + â , hyperphosphorylated Myc3-Erp1; â â, dephosphorylated Myc3-Erp1. exo, Myc3-Erp1C583A; endo, endogenous Erp1. (B) Immature oocytes were injected with Myc3-Erp1C583A mRNA as in panel A, subsequently collected at the indicated times (after the mRNA injection) and subjected to immunoblotting with anti-Myc antibody. Oocytes treated with the protein synthesis inhibitor cycloheximide (CHX; 200 μg/ml) after 5 h of mRNA injection as well as in vitro translated (IVT; unphosphorylated) Myc3-Erp1C583A protein were analyzed similarly. Note that Erp1C583A protein was transiently synthesized within 1 h of mRNA injection, largely degraded within the next 1 h and then persisted stably (see CHX treatment) until at least 12 h of mRNA injection. This result indicates that the ectopic Erp1C583A protein (and its degradation products) detected in immature oocytes and maturing oocytes before GVBD (see panel A) was derived from the one that had been transiently and leakily synthesized immediately after injection of the mRNA. â â, (nonphosphorylated) Myc3-Erp1C583A; deg, Myc3-Erp1C583A degradation products.
Fig. 3. Requirement of Erp1 for the MI/MII transition. (A) External morphology of Erp1 MO-treated oocytes. Immature oocytes were injected with buffer, control Erp1 sense MO (Cont. MO) or Erp1 antisense MO (Erp1 MO), cultured overnight, treated with progesterone and photographed 3 h after GVBD. See Materials and methods for details of MOs and their concentrations used. (B) Effects of Erp1 MO on cyclin B2 reaccumulation and Cdc2 reactivation after MI. Immature oocytes injected with MOs and processed as in panel A were collected at the indicated times and then subjected to immunoblotting with anti-Erp1-N antibody (after treatment of oocyte extracts with λ phosphatase) or anti-cyclin B2 or anti-Cdc27 antibodies; they were also subjected to H1 kinase assays of Cdc2 activity (H1). The arrowhead shows (dephosphorylated) Erp1, while the asterisk shows background proteins. + â and â â denote hyperphosphorylated and nonphosphorylated Cdc27 proteins, respectively. (C) Immunostaining and DNA staining of Erp1 MO-treated oocytes. Oocytes treated as in panel B were immunostained with either anti-α-tubulin antibody (red) or anti-Chk2 antibody (blue) and also stained for DNA with Hoechst 33342 (green), at the indicated times. The white arrowhead shows a first polar body. Scale bar, 10 μm. (D) DNA synthesis in Erp1 MO-treated oocytes. Immature oocytes injected with control MO or Erp1 MO were cultured overnight, injected with [α-32P]dCTP and treated with progesterone. At the indicated times, DNA was extracted from the oocytes and analyzed by agarose gel electrophoresis and autoradiography. (E) Rescue of cyclin B2 reaccumulation and Cdc2 reactivation by ectopic expression of Erp1. Immature oocytes were left uninjected (None) or injected with Erp1 MO together with 100 pg of MO-resistant Myc3-Erp1WT (WT) or Myc3-Erp1C583A (C583A) mRNAs and then processed as in panel B. For MO-resistant Erp1 mRNAs, see Materials and methods. The bottom panels show the external morphology of the respective oocytes 4 h after GVBD. exo, Myc3-Erp1WT or Myc3-Erp1C583A; endo, endogenous Erp1.
Fig. 4. Meta-I arrest by premature, ectopic expression of Erp1. (A) Inhibition of cyclin B2 degradation and Cdc2 inactivation after GVBD by premature, ectopic expression of Erp1. Immature oocytes were left uninjected (None) or injected with 1.2 ng of either Myc3-Erp1WT (WT) or Myc3-Erp1C583A (C583A) mRNAs, cultured overnight, treated with progesterone and processed as in Fig. 3E. Under these experimental conditions, both Erp1WT and Erp1C583A proteins were produced at endogenous Meta-II levels in oocytes undergoing GVBD (or MI) due to the leaky translation of the injected mRNA (see Fig. 2). (B) Spindle morphology in oocytes expressing ectopic Erp1. Oocytes expressing either Myc3-Erp1WT or Myc3-Erp1C583A as in panel A were subjected to immunostaining and DNA staining as in Fig. 3C. Note that Meta-I chromosomal configurations are maintained even long after GVBD only in oocytes expressing Erp1WT. The arrowhead shows a first polar body. Scale bar, 10 μm.