Click here to close
Hello! We notice that you are using Internet Explorer, which is not supported by Xenbase and may cause the site to display incorrectly.
We suggest using a current version of Chrome,
FireFox, or Safari.
Mech Dev
2006 Nov 01;12311:851-9. doi: 10.1016/j.mod.2006.08.001.
Show Gene links
Show Anatomy links
XMam1, Xenopus Mastermind1, induces neural gene expression in a Notch-independent manner.
Katada T, Ito M, Kojima Y, Miyatani S, Kinoshita T.
???displayArticle.abstract??? Mastermind, which is a Notch signal component, is a nuclear protein and is thought to contribute to the transactivation of target genes. Previously we showed that XMam1, Xenopus Mastermind1, was essential in the transactivation of a Notch target gene, XESR-1, and was involved in primary neurogenesis. To examine the function of XMam1 during Xenopus early development in detail, XMam1-overexpressed embryos were analyzed. Overexpression of XMam1 ectopically caused the formation of a cell mass with pigmentation on the surface of embryos and expressed nrp-1. The nrp-1-positive cell mass was produced by XMam1 without expression of the Notch target gene, XESR-1, and not by the activation form of Notch, NICD. The ectopic expression of nrp-1 was not inhibited by co-injection of XMam1 with a molecule known to inhibit Notch signaling. The nrp-1 expression was also recognized in the animal cap injected with XMam1DeltaN, which lacks the basic domain necessary for interacting with NICD and Su(H). These results show that XMam1 has the ability to induce the cell fate into the neurogenic lineage in a Notch-independent manner.
???displayArticle.pubmedLink???
16979880 ???displayArticle.link???Mech Dev
Fig. 4. XMam1 induces neural marker genes in animal caps and generates nrp-1-positive cells in vivo. (A) Gene expression induced by XMam1. XMam1 was injected into both blastomeres of 2-cell stage embryos and animal caps were dissected at st. 8. The expression of various gene markers was analyzed by RT-PCR at st. 25. Chordin and Histone H4 were used as positive and loading controls, respectively. XMam1 activated the transcription of SoxD, nrp-1, Xslug and NCAM, but did not transactivate XESR-1, XmyoD or Xsox17alpha. Chordin also induced SoxD, nrp-1 and NCAM expression. Gene expression of epidermal marker, XK81A1 was suppressed by Chordin, but not by XMam1. WE; whole embryo. (B, D, and F) Ectopic gene expression of nrp-1 induced by β-galactosidase (B), XMam1 (C) or NICD (D). Microinjection into one ventroanimal blastomere was performed at the 8-cell stage and nrp-1 expression was analyzed at st. 30. Ectopic expression of nrp-1 was induced by XMam1 (D, red arrowheads). NICD-injected embryos ectopically showed a weak expression of nrp-1 (F, yellow arrowheads). (C, E, and G) Ectopic gene expression of XESR-1 induced by β-galactosidase (C), XMam1 (E) or NICD (G). To examine whether XMam1-induced neural gene expression occurs via the transactivation of XESR-1, 2 ng of β-galactosidase (C), XMam1 (E) or NICD (G) was injected into one ventroanimal blastomere of 8-cell stage embryos and XESR-1 expression was analyzed at st. 25 by whole-mount in situ hybridization. Injected region was colored blue by β-galactosidase staining. NICD caused the ectopic expression of XESR-1, whereas other samples did not.
Fig. 5. XMam1 induces the ectopic expression of nrp-1 under inhibitory conditions of Notch signaling. To examine whether XMam1 can induce nrp-1 expression under the inhibitory conditions of Notch signaling, XMam1 was injected with or without the dominant-negative form of Notch signaling molecules into one ventroanimal blastomere of 8-cell stage embryos, and nrp-1 expression was analyzed at st. 25 by whole-mount in situ hybridization. Injected region was colored blue by β-galactosidase staining. (A) Control embryo. (BâL) Embryo injected with XMam1 (B), X-Delta-1Stu (C), X-Delta-1Stu and XMam1 (D), X-Serrate-1Eco (E), X-Serrate-1Eco and XMam1 (F), NδICD (G), NδICD and XMam1 (H), X-Su(H)1DBM (I), X-Su(H)1DBM and XMam1 (J), XMam1δC (K), XMam1δC and XMam1 (L). Ectopic nrp-1 expression was detected in the embryo injected with XMam1, regardless of the inhibition of Notch signaling.
Fig. 7. XMam1δN is not involved in Notch signaling. To confirm that XMam1δN is not involved in Notch signaling, we examined whether XMam1δN could rescue the down-regulation of XESR-1 transcription caused by XMam1δC. Samples were injected into one blastomere of 2-cell stage embryos and XESR-1 expression was analyzed at st. 14 by RT-PCR (A) or by whole-mount in situ hybridization (BâE). XESR-1 expression was suppressed by injecting with XMam1δC (AâC). The suppression of XESR-1 expression by XMam1δC could be rescued by co-injecting with XMam1 (A and D), but not with XMam1δN (A and E). Black rectangles in BâE represent the injected side. The injected region was colored blue by β-galactosidase staining.
Fig. 2. Overexpression of XMam1 generates hyperpigmented cell mass. To examine the role of XMam1 in early development, 2 ng of GFP (AâD), XMam1 (EâH) and NICD (IâL) were injected into one dorso- or ventroanimal blastomere at the 8-cell stage and the phenotype was observed. (A, E, and I) Control side. (B, F, and J) Injected dorsal side. (C, G, and K) Dorsal view of the embryo injected into dorsal side. Black rectangles represent injected side. (D, H, and L) Lateral view of the embryo injected into ventral side. XMam1 generated a cell mass with pigmentation in embryos injected on both dorsal and ventral sides (red arrowheads). Embryos injected with NICD into dorsal side showed brain enlargement (yellow arrowheads)
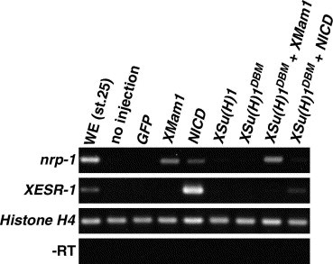
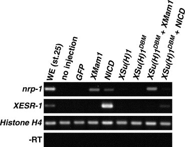
Fig. 6. XMam1-induced nrp-1 expression occurs without Notch signaling. To test the inductive effect of XMam1 in vitro, 1 ng of samples were injected into animal poles of both blastomeres at the 2-cell stage. The animal caps isolated at st. 8 were cultured to st. 25 and gene expression was analyzed by RT-PCR using nrp-1 and XESR-1 primers. Both XMam1 and NICD induced nrp-1 in animal caps, although NICD induced weak expression of nrp-1. The nrp-1 induction by XMam1 was not inhibited by co-injection with X-Su(H)1DBM, whereas nrp-1 induction by NICD was completely suppressed by co-injection with X-Su(H)1DBM. Gene expres- sion of XESR-1 was induced by NICD but not by XMam1. GFP was used as a tracer for microinjection. Ectopic gene expression was not induced by injecting with GFP, XSu(H)1 nor X-Su(H)1DBM. Histone H4 was used as an internal control. WE, whole embryo.
Fig. 8. XMam1 induces nrp-1 expression in a Notch-independent manner. To test whether XMam1 is able to induce nrp-1 expression without interaction with Notch signaling molecules, XMam1DN was injected into both blastomeres of 2-cell stage embryos. Animal caps were dissected from the injected embryo and gene expression was analyzed at st. 25 by RT- PCR. XMam1DN induced nrp-1 expression as well as XMam1 without the ectopic gene expression of chordin. Chordin also induced nrp-1 expression without the gene expression of XMam1. GFP was used as the tracer for microinjection. Histone H4 was used as an internal control. WE, whole embryo; ND, no data.