Click here to close
Hello! We notice that you are using Internet Explorer, which is not supported by Xenbase and may cause the site to display incorrectly.
We suggest using a current version of Chrome,
FireFox, or Safari.
???displayArticle.abstract???
Neuregulin1 (NRG1) is a growth factor that signals through the interaction of the epidermal growth factor (EGF)-like domain with ErbB receptors. An immunoglobulin (Ig)-like domain is contained together with EGF-like domain in the ectodomain of some isoforms generated by alternative splicing, but its role in NRG1 signaling remained unclear. In the present study, we identified a novel isoform of NRG1 containing an Ig-like domain conserved among species from adult Xenopus laevis, which is predominantly expressed in the testis and brain. We generated recombinant proteins for the whole ectodomain and EGF-like domain alone of the isoform to compare their effects on cell proliferation, and phosphorylation of and their association with ErbB receptor, demonstrating that the ectodomain had approximately 10(3)-fold higher abilities than the EGF-like domain. Therefore, the Ig-like domain is probably essential for efficient interaction of an EGF-like domain with ErbB receptors.
Fig. 1. Cloning and amino acid sequence alignments of a novel isoform of Xenopus NRG1. (A, B) Amino acid sequence comparison of a novel isoform of Xenopus NRG1, XeIgNRG1β2, whose cDNA was cloned from the testis of the adult animals by RT-PCR, with other two isoforms, XeIgNRG1α1 [28] and XeCRDNRG1β2 [29], respectively. The amino acid numbers are shown at the left side. The positions where the amino acid residues are identical between the two sequences are noted by asterisks under the amino acid sequence. The Ig-like domain in XeIgNRG1β2 and XeIgNRG1α1, EGF-like domain (EGFβ2 domain in XeIgNRG1β2 and XeCRDNRG1β2; EGFα1 domain in XeIgNRG1α1), and CRD in XeCRDNRG1β2 are indicated by black, shaded, and solid line boxes. A putative transmembrane domain is underlined underneath the amino acid sequences. (C) Schematic structures of three isoforms of Xenopus NRG1: XeIgNRG1β2 with an Ig-like and an EGFβ2 domain at the amino-terminal extracellular region (“ectodomain”) (middle); XeIgNRG1α1 with an Ig-like and an EGFα1 domain (left); XeCRDNRG1β2 with a CRD and an EGFβ2 domain (right). (D, E) Amino acid sequence comparison of the Ig-like and EGFβ2 domain of XeIgNRG1β2 with those of chicken [36], mouse [37], rat [38], and human [39] NRG1, respectively. The amino acid numbers are shown at the right side. The positions where the amino acid residues of the Xenopus sequence completely accord with those of other species’ sequences, and those identical to at least three residues among five species’ sequences and cognate amino acids are indicated by colons, and dots, respectively, under the sequences.
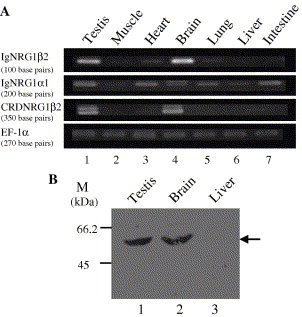
Fig. 2. (A) Tissue distribution in mRNA expression of NRG1 isoforms in adult X. laevis. Total RNA was extracted from the testis (lane 1), muscle (lane 2), heart (lane 3), brain (lane 4), lung (lane 5), liver (lane 6), and intestine (lane 7) of adult X. laevis and subjected to RT-PCR with primers specific for each isoform, IgNRG1β2 (top panel), IgNRG1α1 (2nd panel), and CRDNRG1β2 (3rd panel). The amplified products were analyzed by 1% agarose gel electrophoresis and visualized under ultraviolet irradiation by ethidium bromide staining. EF-1α is used as an internal control (25 cycles, 270 base pairs, bottom panel). (B) Endogenous expression of IgNRG1β2 in the tissues of adult X. laevis. Ig-like domain-containing proteins were enriched from the extract of the testis (lane 1), brain (lane 2), and liver (lane 3) using heparinâSepharose and then subjected to SDSâ10% PAGE followed by Western blotting with an anti-EGFβ2 antiserum.
Fig. 3. IgNRG1β2-stimulated proliferation through phosphorylation of ErbB receptor in intact cells. (A) Expression of recombinant proteins for the ectodomain (rECD, 0.54 mg) and EGFβ2 domain (rEGF, 5 mg) of Xenopus IgNRG1β2. Both proteins expressed as the poly(histidine)-tagged fusion proteins in bacteria and purified by using nickel column chromatography were applied to SDS–15% PAGE and stained with CBB, which are shown by arrows. Lane M, a molecular weight marker. (B) Stimulation of cell proliferation by rECD and rEGF of Xenopus IgNRG1β2. Neuro2a cells plated at 2 × 103 cells/well in a 96-well plate were cultured in the absence (0) or presence of either rECD or rEGF at the indicated various concentrations for 48 h at 37 °C in a 5% CO2 humidified incubator. Cell proliferation was assayed by measuring the values of absorbance at 490 nm with WST-8 reagent. The results are presented as relative values normalized to the mean value of control cells (percentage of control) in each experiment (means and SE obtained from three independent experiments; ∗p < 0.05 versus control). (C) Expression of mRNA for mouse ErbB receptors (mErbB) in Neuro2a cells. Total RNA was extracted from the cells and used for RT-PCR analyses with primers specific for ErbB1 (lanes 1 and 2), ErbB2 (lanes 3 and 4), ErbB2/2 (lanes 5 and 6), ErbB3 (lanes 7, and 8), and ErbB4 (lanes 9 and 10). RT + and − indicate the RT-PCR using the reaction mixture with (lanes 1, 3, 5, 7, and 9) and without (negative control; lanes 2, 4, 6, 8, and 10) reverse transcriptase, respectively. Lane M, a 100-base pair DNA ladder molecular marker. An amplified band was seen in the RT-PCR for ErbB2/2 as indicated by an asterisk in lane 5, but its size (about 500 base pairs) was clearly different from what we expected (380 base pairs). (D) Tyrosine phosphorylation of ErbB4 receptor induced by rECD and rEGF in Neuro2a cells. Cells were deprived of serum for about 16 h, and then left untreated (0, lane 1), or were treated with either rECD (lanes 2–5) or rEGF (lanes 6 and 7) at the indicated various concentrations for 30 min. The cell extracts prepared from each culture were subjected to immunoprecipitation with an anti-ErbB4 antibody followed by Western blotting (WB) with an anti-phosphotyrosine antibody (pTyr, upper panel) or the same anti-ErbB4 antibody (ErbB4, lower panel).
Fig. 4. Physical interaction of IgNRG1β2 with ErbB receptor. Association of rECD and rEGF with ErbB4 receptor expressed on Neuro2a cells was detected (inset) and quantitatively determined. For detection, cells were incubated and cross-linked in the absence (−, lane 1) or presence of either rECD (3 nM, lane 2) or rEGF (3000 nM, lane 3). Extracts from the cells were subjected to immunoprecipitation with an anti-poly(histidine) antibody followed by Western blotting with an anti-ErbB4 antibody. ErbB4 protein is indicated by an arrowhead. For quantitative determination, cells were incubated and cross-linked in the absence (0, control) or presence of either rECD or rEGF at the indicated various concentrations, and then subjected to immunocytochemistry with an anti-poly(histidine) antibody. Binding of rECD or rEGF was determined by measuring the values of absorbance at 490 nm. The results are presented as relative values normalized to the mean value of control cells (fold of control) in each experiment (means and SE obtained from three independent experiments; ∗p < 0.05 versus control).