|
Fig. 1. Cultivation of testes
obtained from juveniles that
had just finished metamorphosis.
(A, a) Section of testis of juvenile.
(B, b, C, c) Sections of testes
cultured for 4 weeks in the medium
supplemented without (B and b)
and with (C and c) 5 mU/mL of
follicle stimulating hormone (FSH).
(D, d) Section of testis from a
juvenile 4 weeks of age after
metamorphosis. Sections were stained with hematoxylin and eosin. Each higher magnification view of the testis (a, b, c or d) is an
enlargement of each boxed area of the low magnification views (A, B, C or D). Note that by culturing a testis in the medium containing
FSH, the spermatogonial cells differentiated into the primary spermatocytes. Scale bars represent 20 μm (a-d) and 100 μm (A-D),
respectively. (E) Comparison of the number of spermatocysts consisting of primary spermatogonium (PG), early secondary
spermatogonia (ESG), late-secondary spermatogonia (LSG), and primary spermatocytes (PC) between the testis cultured in the
medium supplemented with 5 mU/mL of FSH () and the testis from juveniles which were reared after the metamorphosis for the same
periods as cultivation (). To avoid an incorrect estimation caused by biased distribution of the spermatogenic cells in each section
and by repeat counting of the same spermatocyst, we counted them in every eighth section. The vertical bar on each symbol
represents the standard deviation of the mean in the examined testes, of which the number is shown with the symbols in the
uppermost column. |
|
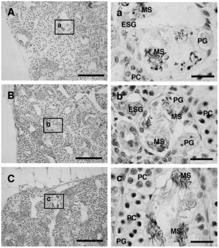
Fig. 2. Progression of spermatogenesis in testes by
transplanting them under the abdominal skin of host juveniles.
(A, a, B, b) Sections of host (A and a) and transplanted (B and
b) testes obtained from a male frog. (C, c) Section of a
transplanted testis obtained from a female frog. Eight weeks
after the transplant, the testes were extirpated and their
sections were stained with hematoxylin and eosin. Each higher
magnification view of testis (a, b or c) is an enlargement of each
boxed area of the low magnification views (A, B or C). Scale
bars represent 30 μm (a-c) and 150 μm (A-C), respectively.
ESG, early secondary spermatogonia; MS, mature sperm; PC,
primary spermatocytes; PG, primary spermatogonium. |
|
Fig. 3. The number of spermatocysts
in transplanted (T)
and host (H) testes obtained from
two males (Transplantation into
Male, A and B) and in transplanted
testes obtained from two
females (T; Transplantation into
Female, A and B). Immediately
after the completion of metamorphosis,
a pair of testes was
obtained from the male, and one
of them was fixed for examining
the initial state of testis (IC) and
the other was transplanted under the skin of another juvenile. Eight weeks after the surgery, testes were removed and fixed. To
compare the state of those testes with that of normal testes, three testes were obtained from the frogs at 8 weeks of age after
metamorphosis (No Surgery, A, B and C) and fixed. The number of the spermatocysts consisting of the spermatogenic cells at various
developmental stages was estimated by counting them in each eighth section to avoid an incorrect estimation caused by biased
distribution of the spermatogenic cells in each section and by repeat counting of the same spermatocyst. Letters at the bottom of the
figure denote the stage of the spermatogenic cells examined: PG, primary spermatogonia; ESG, early secondary spermatogonia; LSG,
late-secondary spermatogonia; PC, primary spermatocytes; Td, round spermatids; ELO, elongating spermatids; MT, mature sperm. |
|
Fig. 4. Progression of spermatogenesis in aggregates that
were prepared by massing dissociated testicular cells obtained
from juvenile testes. (A, a) Section of juvenile testis. (B)
Dissociated testicular cells. (C, D, d) An aggregate prepared by
massing the dissociated testicular cells in B (C) and its section
(D and d). (E, e, F, f, G, g) Sections of aggregates. These had
been transplanted under the abdominal skin of host juveniles
and were extirpated and fixed 4 (E and e), 8 (F and f), and 20
(G and g) weeks after transplantation, respectively. Sections
were stained with hematoxylin and eosin. Each higher
magnification view of testis (a) or aggregates (d-g) is an
enlargement of each boxed area of the low magnification views
(A, D, E, F, G). Scale bars represent 20 μm (a, d, e, f, g), 100 μm
(A, B, D, E, F, G) and 500 μm (C), respectively. PG, primary
spermatogonium; ESG, early secondary spermatogonia; LSG,
late-secondary spermatogonia; PC, primary spermatocytes;
MS, mature sperm. |
|
Fig. 5. Tracing the destiny of a single primary spermatogonium
obtained from transgenic juvenile testis. A genetically marked
cell was mixed with non-marked testicular cells before making
the aggregate that was transplanted subcutaneously. (A) Section
of testis from transgenic juvenile. The section was stained with
hematoxylin and eosin. (B) Dissociated testicular cells of
transgenic juvenile. Arrow shows the largest cell in the cell
population, which was picked up as primary spermatogonium.
(C, D) Differential interference contrast microscopic image (C)
and section (D) of a primary spermatogonium picked up from
the dissociated testicular cell population in (B). The section was
stained with hematoxylin and eosin. Note that the fixed
specimen slightly shrank with the effect of fixative (D). (E, e, F,
f, G, g) Fluorescent (E) and bright field (e) images, and a
section (F, f, G, g) of aggregate that was extirpated from the
host frog 8 weeks after transplantation. The section was stained
with hematoxylin and eosin (G and g), followed by destaining
the hematoxylin and eosin and successively staining with anti-
GFP mouse monoclonal antibody and alkaline phosphataseconjugated
antimouse IgG antibody (F and f). Each higher
magnification view of aggregate (f or g) is an enlargement of
each boxed area of the low magnification views (F and G).
Scale bars represent 20 μm (A, C, D), 30 μm (f and g), 50 μm
(B), 300 μm (F and G), and 500 μm (E and e), respectively. PG,
primary spermatogonium; LSG, late-secondary spermatogonia;
PC, primary spermatocytes. |
|
Fig. 6. Tracing the destiny of a single primary spermatogonium
(PG) isolated from transgenic juvenile testis that had been
cultured for 2 weeks in the medium supplemented with follicle
stimulating hormone (FSH). A genetically marked PG was mixed
with non-marked testicular cells before making the aggregate.
Twelve weeks after subcutaneous transplantation of the
aggregates, a fully grown aggregate (A and a) and a poorly
grown aggregate (B and b) were fixed and sectioned. The
sections were stained successively with anti-GFP mouse
monoclonal antibody and alkaline phosphatase-conjugated
antimouse IgG antibody (a and b), followed by staining with
hematoxylin and eosin (A and B). Arrows show immunohistochemically
positive cells. Scale bars represent 20 μm.
ESG, early secondary spermatogonia; LSG, late-secondary
spermatogonia; PC, primary spermatocytes. |