Click here to close
Hello! We notice that you are using Internet Explorer, which is not supported by Xenbase and may cause the site to display incorrectly.
We suggest using a current version of Chrome,
FireFox, or Safari.
???displayArticle.abstract???
Development of the visceral mesoderm is a critical process in the organogenesis of the gut. Elucidation of function and regulation of genes involved in the development of visceral mesoderm is therefore essential for an understanding of gut organogenesis. One of the genes specifically expressed in the lateral plate mesoderm, and later in its derivative, the visceral mesoderm, is the Fox gene FoxF1. Its function is critical for Xenopus gut development, and embryos injected with FoxF1 morpholino display abnormal gut development. In the absence of FoxF1 function, the lateral plate mesoderm, and later the visceral mesoderm, does not proliferate and differentiate properly. Region- and stage-specific markers of visceral mesoderm differentiation, such as Xbap and alpha-smooth muscle actin, are not activated. The gut does not elongate and coil. These experiments provide support for the function of FoxF1 in the development of visceral mesoderm and the organogenesis of the gut. At the molecular level, FoxF1 is a downstream target of BMP4 signaling. BMP4 can activate FoxF1 transcription in animal caps and overexpression of FoxF1 can rescue twinning phenotypes, which results from the elimination of BMP4 signaling. The cis-regulatory elements of FoxF1 are located within a 2 kb DNA fragment upstream of the coding region. These sequences can drive correct temporal-spatial expression of a GFP reporter gene in transgenic Xenopus tadpoles. These sequences represent a unique tool, which can be used to specifically alter gene expression in the lateral plate mesoderm.
Fig. 1. Expression of FoxF1 during Xenopus development. (A,B) Embryos are shown with anterior to the left and dorsal to the top. (A) Whole-mount in-situ hybridization of a FoxF1 probe to a stage-25 embryo. FoxF1 expression is present in the neural crest-derived structures of the head and in the lateral plate mesoderm. At stage 30 the expression of FoxF1 intensifies and is also present in the ventralmesoderm (B). Letters with lines in (B) indicate the position of sections in (C,D). (C) Section through the head, branchial arches, and heart regions shows the lack of FoxF1 expression in the heart. (D) Section through the mid-trunk region of the embryo shows expression in the lateral plate mesoderm. (E) Ventral view of whole-mount in-situ hybridization of a stage-45 embryo shows FoxF1 expression in the gut. (F) Transverse section through the embryo shown in (E) demonstrates that FoxF1 transcripts are present in the splanchnic mesoderm (arrow).
Fig. 4. Abnormal expression of Xbap in FoxF1 knockdown embryos. (A,B) Whole-mount in-situ hybridization showing Xbap [nkx3-2] expression on both sides of a CoMo-injected stage 35/36 embryo. A line with a letter in (A) indicates the position of the section in (I). (C,D) Whole-mount in-situ hybridization of Xbap RNA to a FoxF1Mo-injected stage 35/36 embryo. Xbap expression is present on the uninjected side (C) but is absent on the injected side (D). A line with a letter in (C) indicates the position of the section in (J). (E,F) Whole-mount in-situ hybridization showing FoxF1 expression on both sides of a CoMo-injected stage 35/36 embryo. A line with a letter in (E) indicates the position of the section in (K). (G,H) Whole-mount in-situ hybridization of FoxF1 RNA to a FoxF1Mo-injected stage 35/36 embryo. FoxF1 expression is present on both sides of the embryo. A line with a letter in (G) indicates the position of the section in (L). (I) A section through the embryo in (A) shows that Xbap is expressed in the CoMo-injected (shown as right) side as well as on the uninjected (left). (J) A section through the embryo in (C) shows that Xbap is expressed on the uninjected (left) side of a FoxF1Mo-injected embryo but not on the injected (right) side of a tadpole. (K) A section through an embryo hybridized with FoxF1 RNA shows that the lateral plate mesoderm is present on the CoMo-injected (right) side as well as on the uninjected side (left). (L) A section through an embryo hybridized with FoxF1 RNA shows that the lateral plate mesoderm is present on the FoxF1Mo-injected (right) side as well as on the uninjected side (left). Arrows point to the anteriorlateral plate mesoderm.
Fig. 2. Inhibition of FoxF1 function results in impaired gut morphogenesis. (A) Western blot analysis of FoxF1 protein tagged with a Myc epitope at the C-terminus using anti-Myc antibody. Translation of UTR FoxF1-Myc was blocked in the presence of FoxF1 morpholino (FoxF1Mo), but not by standard control morpholino (CoMo). Translation of FoxF1-Myc RNA lacking the 5â² UTR sequences was not inhibited by either CoMo or FoxF1Mo. (B) The ventral view of 5-day-old (stage 45/46) uninjected embryo and embryo injected with FoxF1Mo (2.2 pmol) into two ventral blastomeres at the 8-cell stage (C). Embryos injected with FoxF1Mo display gut elongation and looping defects. (D) The ventral view of 7-day-old (stage 46/47) uninjected and FoxF1Mo-injected embryos (E), showing that knockdown embryos still do not display normal gut morphogenesis. (F) The ventral view of stage 46/47 embryos injected with CoMo (2.2 pmol) showing normal gut morphogenesis. FoxF1Mo (2.2 pmol) injected embryos with mutant gut (G), can be rescued by co-injection of FoxF1 RNA (1.25 ng) (H).
Fig. 3. FoxF1 is required for smooth muscle differentiation in the gut. Immunostaining with antibodies against α-smooth muscle actin on transverse sections through the hindgut of CoMo (A) and FoxF1 knockdown (C) embryos at stage 43/44. α-smooth muscle actin is expressed in the smooth muscle layer surrounding the gutendoderm (A) but absent in the knockdown embryo (C). (B,D) Nuclear staining by Hoechst dye on the same sections shows a layer of smooth muscle cells with elongated nuclei (arrows) surrounding the gut of CoMo-injected embryos (B), but highly disorganized gutmesoderm in knockdown embryos (D). (E) Close-up view of the area boxed in (C), visualizing the endodermal yolk platelets (arrows) in the visceral cavity.
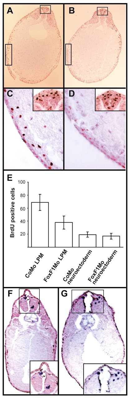
Fig. 5. A lower rate of lateral plate mesoderm proliferation in FoxF1 knockdown embryos. (A-D) Cell proliferation as visualized by BrdU incorporation (brown nuclear staining). Transverse sections through the midtrunk of stage-20 embryos injected with CoMo (A) or FoxF1Mo (B) show drastically reduced cell proliferation in the lateral plate mesoderm of FoxF1 knockdown embryos. The boxed areas are magnified in (C,D). (C) Higher magnification of the boxed areas in (A), showing BrdU-positive cells in the lateral plate mesoderm and in the neuroectoderm (inset) of a CoMo-injected embryo. (D) Higher magnification of the boxed areas in (B), showing a lack of BrdU-positive cells in the lateral plate mesoderm but a normal number of BrdU-positive cells in the neuroectoderm (inset) of a FoxF1Mo-injected embryo. (E) A column chart showing the numbers of BrdU-positive nuclei in the lateral plate mesoderm and neuroectoderm of CoMo- and FoxF1Mo-injected embryos at midtrunk level (averages±s.e.m.). Nuclei were counted on 10 sections derived from 5 control embryos and 20 sections from 11 FoxF1 knockdown embryos in two independent experiments. The difference in proliferation rate between control and knockdown lateral plate mesoderm is statistically significant (P=5.9 à 10-6 in a two-tailed t-test). LPM: lateral plate mesoderm. (F,G) TUNEL assay on stage-28 embryos injected with CoMo (F) and FoxF1Mo (G). Apoptotic cells (blue staining, inset) are mostly located in the neuroectoderm. No significant differences were observed between embryos injected with CoMo and FoxF1Mo.
Fig. 6. FoxF1 is a target and a mediator of BMP4 signaling. (A) RT-PCR analysis of RNA isolated from animal caps injected with BMP4 RNA. Animal caps from embryos injected with BMP4 RNA (1.5 ng) into the animal blastomeres or uninjected embryos were dissected at stage 8 and collected when siblings reached stage 12.5. Xbra was used as a positive control for BMP4 induction and EF1α as a loading control. Lane 1 - RT-PCR on RNA from a whole embryo. Lane 2 - uninjected cap. Lane 3 - BMP4 injected cap. Lane 4 - no RT (no enzyme, RNA from the whole embryo). (B) RT-PCR analysis of RNA isolated from animal caps injected with BMP4 or Xbra RNA, or treated with FGF protein. Animal caps from embryos injected with BMP4 (1.5 ng) or Xbra (2.5 ng) RNA into the animal blastomeres or uninjected embryos were dissected at stage 8. Caps were collected when siblings reached stage 12.5 and assayed by RT-PCR. For FGF experiments, a set of uninjected caps was dissected at stage 8 and treated with 200 ng/ml bFGF for 1 hour. (C-F) Effects of FoxF1 RNA injection on the morphology of Xenopus embryos. Two dorsal blastomeres at the 4-cell stage were injected with FoxF1 RNA (0.4-1 ng), and phenotypes were analyzed at stage 28-30. The injected embryos (D) show different degrees of ventralization, while their siblings (C) display normal morphology. (E,F) The right (E) and left (F) side of a stage-30 embryo injected in the left side with FoxF1 RNA immunostained with 12/101 antibodies that recognize somatic mesoderm. The left side of the embryo shows a significant reduction of this marker. (G,H) FoxF1 RNA can rescue axis duplication caused by the injection of dominant-negative BMP receptor (DNBR). (G) Embryos injected with DNBR RNA (1.5 ng) showing axis duplications. (H) Embryos injected with DNBR and FoxF1 RNA (1.5 ng, 1.25 ng) demonstrate that FoxF1 RNA can rescue the DNBR phenotype.