Click here to close
Hello! We notice that you are using Internet Explorer, which is not supported by Xenbase and may cause the site to display incorrectly.
We suggest using a current version of Chrome,
FireFox, or Safari.
???displayArticle.abstract???
The role of thyroid hormone in Xenopus metamorphosis is particularly well understood as it plays an essential role in that process. However, recent evidence suggests that thyroid hormone may play an earlier role in amphibian embryogenesis. We demonstrate that Xenopus thyroid hormone receptor beta (XTR beta) is expressed shortly after neural fold closure, and that its expression is localized to the developing retina. Retinoid X receptor gamma (RXR gamma), a potential dimerization partner for XTR beta, was also found to be expressed in the retina at early stages, and at later stages RXR gamma was also expressed in the liver diverticulum. Addition of either thyroid hormone or 9-cis retinoic acid, the ligands for XTR beta and RXR gamma, respectively, did not alter the expression of their receptors. However, the addition of thyroid hormone and 9-cis retinoic acid did alter rhodopsin mRNA expression. Addition of thyroid hormone generates a small expansion of the rhodopsin expression domain. When 9-cis retinoic acid or a combination of thyroid hormone and 9-cis retinoic acid was administered, there was a decrease in the expression domain of rhodopsin in the developing retina. These results provide evidence for an early role for XTR beta and RXR gamma in the developing Xenopus retina.
Fig. 1 Expression of XTRb in early, albino
Xenopus embryos viewed by wholemount
in situ hybridization. The embryos
have not been cleared to avoid confusion
with the expression in the eye on the other
side of the embryo. Embryos at stage 26
(A), 28 (B), 32 (C), and 38 (D) all show
expression of XTRb that is restricted to
the developing eye (e). Expression in the
eye was small in diameter initially but
quickly expands to approximate the diameter
of the whole eye. No expression
was observed prior to stage 26.
Fig. 2 Expression of RXRg in early, albino
Xenopus embryos viewed by wholemount
in situ hybridization. The embryos
have not been cleared to avoid confusion
with the expression in the eye on the other
side of the embryo. Embryos at stage 28
(A), 32 (B), 36 (C), and 38 (D) all show
expression of RXRg in the developing eye.
After stage 36 (C, D), expression is also
detectable in the developing liver (li).
Fig. 3 Expression of XTRb and RXRg in
the developing retina. Cross-sections
through the head of a stage 35 Xenopus
embryo showing expression of XTRb
(A, C) and RXRg (B, D) in the developing
retina of the eye. The black arrows
mark the limits of detectable expression in
the retina. There is no other detectable
expression of XTRb (A) or RXRg (B) in
the head. In an expanded view of the eye,
XTRb (C) and RXRg (D) can be seen in
all layers of the retina from the retinal
pigmented epithelium to the developing
vitreous chamber with higher expression
of XTRb adjacent to the retinal pigmented
epithelium. The RXRg expression does
not appear to have the same lateral spread
as XTRb but this may be a function of
the lower staining intensity seen in RXRg
in situ hybridizations.
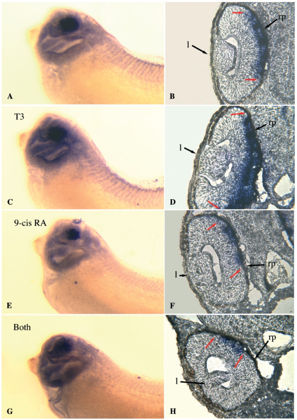
Fig. 4 Addition of T3, 9-cis RA, or T3 and
9-cis RA had no detectable effect on the
XTRb expression pattern in the retina. In
control embryos at stage 35, XTRb is expressed
throughout the retina when
viewed in whole mount (A) and in crosssection
through the eye (B). Embryos
treated with T3 (C, D), 9-cis RA (E, F), or
both T3 and 9-cis RA (G, H) were not
obviously different from control embryos
when viewed in cleared whole-mount
preparations (A, C, E, F) or in cross-section
through the retina (B, D, F, H). Red
arrows mark the limits of the lateral expression
of XTRb in the retina. lens (l),
retinal pigmented epithelium (rp).
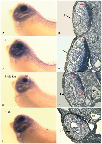
Fig. 5 Addition of T3, 9-cis RA, or T3 and
9-cis RA had no detectable effect on the
RXRg expression pattern in the retina. In
control embryos, at stage 35, RXRg is expressed
throughout the retina when
viewed in whole mount (A) and in crosssection
through the eye (B). The retina in
embryos treated with T3 (C, D), 9-cis RA
(E, F), or both T3 and 9-cis RA (G, H)
were not obviously different from control
embryos when viewed in cleared wholemount
preparations (A, C, E, F) or in
cross-section through the retina (B, D, F,
H). However, embryos treated with 9-cis
RA (E) and T3 and 9-cis RA (G) had
markedly reduced expression of RXRg in
the developing liver (li). lens (l), retinal
pigmented epithelium (rp).
Fig. 6 Addition of 9-cis RA and 9-cis RA
with T3, but not T3 alone, reduced the
rhodopsin expression domain. In control
embryos, at stage 35, rhodopsin is expressed
in the outer retina adjacent to the
retinal pigmented epithelium (rp) (A, B).
Embryos treated with T3 appeared to
show a modest increase in the rhodopsin
expression domain that was not obvious
in whole mounts (C) but was noticeable in
cross-sections through the eye (D). However,
when embryos were treated with
9-cis RA, there was a marked contraction
in the expression domain of rhodopsin
that was both visible in whole mount (E)
and in sections through the eye (F). Addition
of both T3 and 9-cis RA also had a
marked reduction in the extent of the
rhodopsin-expressing domain (G, H). The
red arrows mark the extent of the
rhodopsin-expressing domain. lens, (l).