Click here to close
Hello! We notice that you are using Internet Explorer, which is not supported by Xenbase and may cause the site to display incorrectly.
We suggest using a current version of Chrome,
FireFox, or Safari.
Development
2006 Jul 01;13313:2477-86. doi: 10.1242/dev.02409.
Show Gene links
Show Anatomy links
BDNF increases synapse density in dendrites of developing tectal neurons in vivo.
Sanchez AL, Matthews BJ, Meynard MM, Hu B, Javed S, Cohen Cory S.
???displayArticle.abstract???
Neuronal connections are established through a series of developmental events that involve close communication between pre- and postsynaptic neurons. In the visual system, BDNF modulates the development of neuronal connectivity by influencing presynaptic retinal ganglion cell (RGC) axons. Increasing BDNF levels in the optic tectum of Xenopus tadpoles significantly increases both axon arborization and synapse density per axon terminal within a few hours of treatment. Here, we have further explored the mechanisms by which BDNF shapes synaptic connectivity by imaging tectal neurons, the postsynaptic partners of RGCs. Individual neurons were co-labeled with DsRed2 and a GFP-tagged postsynaptic density protein (PSD95-GFP) to visualize dendritic morphology and postsynaptic specializations simultaneously in vivo. Immunoelectron microscopy confirmed that PSD95-GFP predominantly localized to ultrastructurally identified synapses. Time-lapse confocal microscopy of individual, double-labeled neurons revealed a coincident, activity-dependent mechanism of synaptogenesis and axon and dendritic arbor growth, which is differentially modulated by BDNF. Microinjection of BDNF into the optic tectum significantly increased synapse number in tectal neuron dendritic arbors within 24 hours, without significantly influencing arbor morphology. BDNF function-blocking antibodies had opposite effects. The BDNF-elicited increase in synapse number complements the previously observed increase in presynaptic sites on RGC axons. These results, together with the timescale of the response by tectal neurons, suggest that the effects of BDNF on dendritic synaptic connectivity are secondary to its effects on presynaptic RGCs. Thus, BDNF influences synaptic connectivity in multiple ways: it enhances axon arbor complexity expanding the synaptic territory of the axon, while simultaneously coordinating synapse formation and stabilization with individual postsynaptic cells.
Fig. 1.
PSD95-GFP localizes to synaptic contact sites in vivo. (A-C) Confocal image of a tectal neuron double-labeled with
(A) PSD95-GFP and
(B) DsRed2 shows the punctate distribution of PSDS95-GFP along the dendritic arbor and in terminal branches (C, overlay).
(D-G) Co-localization between PSD95-GFP and endogenous SNAP-25 expression in stage 45 tadpoles.
(D) A PSD95-GFP labeled tectal neuron (arrow indicates cell body; arrowhead indicates dendritic arbor) and the distribution of endogenous SNAP-25 in the tectal neuropil (n) are shown by the low-magnification confocal image of a tadpolebrain section.
(E) A single plane, high-magnification image illustrates the discrete distribution and co-localization of PSD95-GFP puncta with SNAP-25 immunostaining.
(F,G) The spatial coincidence and close apposition between the PSD95-GFP and SNAP-25 is clearly illustrated in the (F) x-z and (G) y-z orthogonal planes (arrowheads) of the coincident puncta shown in E (arrowhead). The GFP and SNAP-25 puncta are adjacent rather than completely coincident, owing to the localization of SNAP-25 and PSD95-GFP in pre- and post-synaptic membranes, respectively. (H-J) Co-localization between endogenous SNAP-25 and PSD-95 proteins.
(H) A transverse cryostat section shows SNAP-25 (red) and PSD-95 (green) immunostaining in the tectal neuropil of a stage 45 tadpole. Cell bodies are revealed by the DAPI staining (blue).
(I,J) Co-localization and punctate distribution of endogenous SNAP-25 and PSD-95 is illustrated by: (I) the overlaid image of a single, high-magnification confocal plane and its two individual components; and (J) an overlaid, x-z orthogonal plane. Most endogenous SNAP-25 and PSD-95 puncta are apposed (examples shown by the arrowheads); 87.9�3.07% of SNAP-25 puncta were apposed by PSD-95 puncta (2139 puncta from 10 individual sections analyzed). Scale bars: 10 μm for A-D; 20 μm for H; 5 μm E-G,I,J.
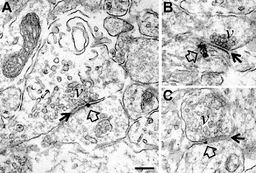
Fig. 2.
PSD95-GFP specifically localizes to ultrastructurally identified synapses on tectal neuron dendrites. (A-C) The localization of PSD95-GFP was determined by examining the distribution of GFP immunoreactivity by electron microscopy. The electron photomicrographs show specific localization of GFP immunoreactivity as revealed by the silver-enhanced gold particles (open arrows) at postsynaptic terminals. Morphologically mature synapses (black arrows), containing presynaptic terminals with numerous synaptic vesicles (v) and clearly defined pre- and postsynaptic specializations are observed. The silver enhanced gold particles were directly localized to the postsynaptic membrane at the postsynaptic density (A-C), or were within 200 nm of the postsynaptic density (B). Scale bar: 200 nm.
Fig. 3.
Manipulations in BDNF tectal levels influence PSD95-GFP labeled postsynaptic specializations on tectal neuron dendritic arbors. Image reconstructions of representative tectal neurons illustrate dendritic arbor complexity and synapse number 0, 24 and 48 hours after BDNF or anti-BDNF treatment. Individual neurons double labeled with PSD95-GFP and DsRed2 were visualized by confocal microscopy in live developing tadpoles after acute tectal injection of (A,B) control vehicle solution, (C) BDNF or (D) anti-BDNF. (A-D) Tectal neuron dendritic arbors become morphologically more complex over time. (C) In the BDNF-treated tadpoles, both the number and density of PSD95-GFP puncta per dendrite increased at 24 and 48 hours. (D) Anti-BDNF limited dendritic arbor growth and decreased PSD95-GFP puncta (see also Figs 4, 5). The arrow indicates the axonal process of the neuron. Scale bars: 20 μm.
Fig. 4.
BDNF influences postsynaptic specializations on tectal neurons without altering dendritic arbor morphology. The effects of BDNF and anti-BDNF treatment on (A) dendrite branch number, (B) total dendritic arbor length, and (C) number and (D) density of PSD95-GFP-labeled postsynaptic specialization are expressed as percent change from their initial value at the time of treatment. (A) Total dendrite branch number was similar for tectal neurons in control, BDNF and anti-BDNF treated tadpoles at all observation time points. (B) A similar relative increase in total dendritic arbor length, a measure of dendrite branch number and the spatial extent of all branches, was observed in control and BDNF-treated tadpoles at all observation time points. By contrast, total dendritic arbor length remained close to its initial value at all observation time points after anti-BDNF treatment. (C,D) BDNF significantly increased (C) the number and (D) density of PSD95-GFP puncta per dendritic arbor 24 hours after treatment, an effect that was strengthened and maintained for 48 hours. (C,D) Anti-BDNF significantly decreased PSD95-GFP puncta number by 24 hours but did not influence puncta number per unit arbor length. Bars indicate s.e.m. n=18 neurons in control, n=16 neurons in BDNF and n=12 neurons in anti-BDNF. *Pâ¤0.05, **Pâ¤0.005 compared with control.
Fig. 5.
Anti-BDNF decreases synapse density per dendrite branch. (A) Reconstructions of a sample tectal neuron imaged at 0, 4 and 24 hours further illustrate the onset of anti-BDNF effects on postsynaptic specialization density and dendritic arbor morphology. Scale bar: 20 μm. (B,C) High-magnification images of individual dendritic branches in (B) control and (C) anti-BDNF treated tadpoles compare changes in PSD95-GFP puncta per branch, over the 48 hour imaging period. Scale bar: 5 μm. (D) A measure of the effects of anti-BDNF on postsynaptic specialization density per branch was obtained by counting the number of PSD95-GFP puncta at each observation interval in branches with lifetimes of more than 48 hours (that were present at all observation time points, from 0 to 48 hours). Data were normalized for the change in branch length and are presented as the percent of its initial value at the time of treatment compared with control. Bars indicate s.e.m. n=25 branches in control and n=25 in anti-BDNF. *Pâ¤0.05, **P⤠0.005 compared with control.
Fig. 6.
BDNF increases synapse density in tectal neuron dendritic arbors by promoting synapse formation. (A) The number of PSD95-GFP-labeled postsynaptic specializations that remained stable from one observation interval to the next (0-4; 4-24; 24-48 hours) in tectal neuron dendritic arbors was similar for control, BDNF- and anti-BDNF-treated tadpoles. (B) BDNF increased the proportion of new PSD95-GFP-labeled postsynaptic specializations that are formed, an effect that primarily takes place between 4 and 24 hours after treatment. Conversely, neutralization of endogenous BDNF with anti-BDNF decreased the number of new PSD95-GFP puncta formed, most significantly between 24 and 48 hours after treatment. Bars indicate s.e.m. n=18 neurons in control, n=16 neurons in BDNF and n=12 neurons in anti-BDNF. *Pâ¤0.05, **Pâ¤0.005 compared with control.
Fig. 7.
Dendrite branch and postsynaptic specialization dynamics in individual tectal neuron dendritic arbors. Time-lapse confocal imaging of neurons expressing DsRed2 and PSD95-GFP illustrates postsynaptic site and dendritic branch dynamics. (A) Image reconstructions of a tectal neuron illustrates the localization and distribution of PSD95-GFP puncta (yellow) within specific regions of the arborizing, DsRed-labeled dendritic arbors (red). (B,C) Magnified regions of two dendritic arbors show that transient (arrowhead) and stable (arrows) branches appear at arbor sites where PSD95-GFP puncta localize. A significant number of branch points (72.3�2.3%) contained PSD95-GFP puncta (not shown graphically). (D,E) Detailed analysis of number and distribution of PSD95-GFP-labeled puncta per arbor illustrates the relationship between synapse and dendritic branch dynamics. The number of branches and PSD95-GFP puncta that remained from one 2-hour observation interval to the next (stable puncta), and the number of new branches and PSD95-GFP puncta added between observation intervals was calculated and normalized for each time interval to obtain a dynamic measure of branch and synapse addition and stabilization over time. (D) An average of 70.1�3.9% branches were stable and 34.5�5.7% branches were added at each 2-hour observation interval. (E) Most PSD95-GFP puncta per dendritic arbor were stable; an average of 76.4�3.3% puncta remained at the same location from one observation interval to the next and 30.8�6.0% new puncta appeared at each 2-hour observation interval. Symbols indicate means�s.e.m.; n=5 neurons in five tadpoles.
Fig. 8.
NMDA receptor blockade equally affects pre- and postsynaptic specializations on RGCaxon and tectal neuron dendritic arbors. The effects of altering NMDAR transmission in the optic tectum on PSD95-GFP labeled postsynaptic specializations in tectal neuron dendritic arbors is compared with the effects of the same treatment on GFP-synaptobrevin-labeled presynaptic specializations on RGCaxon arbors (see Hu et al., 2005). PSD95-GFP puncta and dendrite branch number in tadpoles that received a single tectal injection of APV is shown as the percent change from their initial value at the time of treatment. (A) APV significantly decreased the number of PSD95-GFP puncta compared with control 2 hours after treatment, an effect that was maintained for 24 hours. (B) A more dramatic decrease in GFP-synaptobrevin cluster number was observed 2 hours after APV treatment, with a peak cumulative effect occurring after 4 hours [adapted from Hu et al. (Hu et al., 2005)]. (C) Dendritic arbor complexity, expressed as the increase in total branch number per dendritic terminal, is affected by the APV treatment by 24 hours only. (D) Similar to dendrite branch number, the APV treatment had a significant effect on RGCaxon branch number by 24 hours only [adapted, with permission, from Hu et al. (Hu et al., 2005)]. Bars indicate mean�s.e.m. For tectal neurons, n=5 in control and n=9 in APV-treated tadpoles. For RGC axons, n=14 in control and n=10 in APV-treated tadpoles. *Pâ¤0.05; **Pâ¤0.005 compared with control.
Fig. 9.
The effects of BDNF during the development of retinotectal synaptic connectivity and their potential significance. (A) BDNF increases both arbor complexity and the density of presynaptic specializations in RGC axons. (B) BDNF increases the density of postsynaptic specializations on tectal neurons without influencing dendritic branch complexity. (C) BDNF, by increasing RGC axon arbor size and complexity, allows individual presynaptic RGC axon arbors to establish synaptic contacts with increased numbers of postsynaptic neurons. By modulating synapses directly, BDNF increases the density of synaptic innervation per tectal neuron. In a competitive scenario, the limiting amounts of BDNF would provide those presynaptic arbors directly exposed to BDNF a synaptic advantage and a greater opportunity to establish contacts with multiple postsynaptic partners.