Click here to close
Hello! We notice that you are using Internet Explorer, which is not supported by Xenbase and may cause the site to display incorrectly.
We suggest using a current version of Chrome,
FireFox, or Safari.
???displayArticle.abstract???
The Xenopus homologue of hARH (human autosomal recessive hypercholesterolemia) was identified in a screen for vegetally localized RNAs. xARH contains a N-terminal phosphotyrosine binding (PTB) domain that is 91% identical to that of the human gene, a domain previously shown to bind the LDL receptor family members. Maternal xARH, unlike hARH, is present as two transcripts that differ in their 3' UTRs. The large transcript, xARH-alpha, primarily localizes to the oocyte vegetal cortex. The small transcript, xARH-beta, is not localized. During embryogenesis, xARH RNA is found redistributed in a perinuclear pattern. Similar to hARH, xARH is found in the adult liver, but at low levels compared to oocytes. Downstream of the PTB domain is a conserved clathrin box and a C terminal region 50% identical to that of hARH. Previous in vitro studies from this lab have shown xARH can bind the LDLR as well as the vitellogenin (VTG) receptor. We find that injection of the C terminal region missing the PTB domain significantly reduces the internalization of VTG in early stage oocytes, an event that requires the VTG receptor. The data strongly suggest that xARH encodes an adaptor protein that functions in the essential receptor-mediated endocytosis of nutrients during oogenesis. Because xARH protein is found uniformly distributed along the animal/vegetal axis in oocytes, we propose that the localization of xARH-alpha to the vegetal cortex while xARH-beta remains unlocalized, facilitates the uniform distribution of the protein in this extraordinarily large cell.
???displayArticle.pubmedLink???
15327785 ???displayArticle.link???Mech Dev ???displayArticle.grants???[+]
Fig. 2. Localization patterns of xARH isoforms during oogenesis. Oocytes are oriented with animal pole on top. Sense probe served as the negative control. (A)
xARH localizes to the vegetal cortex (arrow). DIG labeled xARH probe covering the coding region was hybridized to bisected stage V oocytes. (B) xARH
localizes to the vegetal cortex of oocytes through the late pathway. Whole mount in situ analysis of stage II albino oocytes. In early (small) stage oocytes,
xARH distributes homogeneously while in late (large) stage oocytes, xARH localizes to the vegetal pole. Staining was also found within the animal hemisphere.
(C) Stage VI oocytes and 16-cell embryos were bisected into animal and vegetal halves and total RNA isolated. Isoforms of xARH localize to different domains
in oocytes and embryos. Northern blot analysis of RNA from total oocytes or embryos (T), animal (A) or vegetal (V) halves using the full-length xARH probe.
ODC served as a loading control.
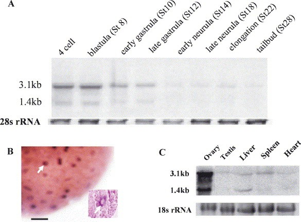
Fig. 4. Expression of xARHa and b RNAs during embryogenesis. (A) Total RNA was isolated from different embryonic stages. 28s rRNA served as the loading
control. (B) Blastula stage embryos were hybridized with DIG-labeled xARH. Only the vegetal hemisphere is shown. The inset shows a section of the embryo
magnified to reveal the perinuclear localization pattern (arrow). Hybridization in each case was with probe covering the coding region of xARH. (C) Northern
blot showing expression of xARHa and b RNAs in adult tissues. Approximately 10 mg total RNA was loaded onto each lane. Full length xARHa was used as
the probe. xARH is expressed at high levels in ovary and at relatively low levels in liver and spleen. Some signal can also be detected in heart and testis. 18 s
rRNA served as the loading control.
Fig. 5. xARH dominant negative mutant inhibits vitellogenin endocytosis in oocytes. GST-C or GST protein was injected into stage III oocytes and the oocytes incubated in medium containing biotinylated VTG. (A) The internalized biotinylated VTG was detected using streptavidinRP conjugate. The nitrocellulose membrane was stained with Ponceau S to visualize total protein and the lipovitellin band was used as a loading control as it was found to reflect the total protein value. (B) The quantities of the internalized biotinTG were measured with ChemiImager 5500 software (Alpha Innotech Corporation). The quantity of the biotinTG internalized in the uninjected control was taken as 100%. Injection of GST had no effect while GST-C injection reduced uptake in a dose dependent manner. Three independent experiments were performed. The error bars show the standard deviations.