Click here to close
Hello! We notice that you are using Internet Explorer, which is not supported by Xenbase and may cause the site to display incorrectly.
We suggest using a current version of Chrome,
FireFox, or Safari.
Globin gene expression in Xenopus laevis: anemia induces precocious globin transition and appearance of adult erythroblasts during metamorphosis.
Widmer HJ, Hosbach HA, Weber R.
???displayArticle.abstract???
The expression of Xenopus laevis larval and adult globin genes after phenylhydrazine-induced anemia has been investigated at the cellular and molecular levels by means of cloned cDNA probes specific for the four main larval and the four main adult globin mRNA species. In the circulating blood of anemic metamorphic larvae there are at least two distinct populations of erythroblasts containing either larval or adult globin mRNA sequences. The cells expressing adult sequences replace those expressing larval ones at the end of metamorphosis. Under the influence of anemia the qualitative pattern of transcribed RNA species is not changed, but the larval to adult transition takes place earlier during development. This would imply that this transition is not strongly correlated with the morphological changes of metamorphosis. The abundance of the different larval globin mRNA species is similar and, as compared to control animals, not affected by the phenylhydrazine treatment. In anemic adults no reactivation of larval gene expression has been observed. The different adult globin mRNA species are present in comparable abundance, but the phenylhydrazine treatment appears to enhance expression of the alpha A II and beta A II genes, as compared to nonanemic individuals.
FIG. 2. Relative abundance of cloned cDNA sequences in 9 S globin
mRNA from anemic animals. “P-Labeled cDNA inserts of the four
larval and of three adult globin cDNAs (@fi probe not included, see
text) were incubated with 0.5-l fig/ml of larval (-) or adult ( * - *)
9 S globin mRNA as described under Materials and Methods. Hybrids
were measured as acid precipitable cpm after Sl digestion (Ryffel,
1976). Vertical bars indicate the R&z-value. (0) CYI;(0 ) an; (A) or;
(4 AI.
FIG. 3. Abundance of adult sequences in globin mRNA from anemic
tadpoles at stage 54. (1) 25 pg of filter-bound (Materials and Methods)
total cytoplasmic RNA from anemic tadpoles at stage 54 was hybridized
with a mixture of the ‘*P nick-translated inserts of the (Y: and @f
probes. For comparison and quantitation: 30 (2). 10 (3), 3 (4), and 1
ng (5) adult poly(A)-containing RNA were also hybridized.
FIG. 5. Quantitation of in situ hybridization. Hybridization experiments
described in Fig. 4 were quantitated by determining the number
of silver grains per erythroblast. The cells were then grouped into
classes according the number of silver grains. Classes are defined by
adding multiples of 2 SD to the mean background (k). Background
was determined in areas between cells and calculated for an average
cell area. Cells are termed labeled (filled bars) when they contain mean of X + 2 SD (95% confidence) silver grains. We have somewhat arbitrarily
designated the cells in the classes from X? + 2 SD and G + 12 SD
as weakly labeled.
FIG. 6. Effect of anemia on larval and adult globin gene expression.
5 pg of filter-bound total cytoplasmic RNA from anemic (1) and control
animals (2) at stage 59 was hybridized with a mixture of “P nicktranslated
inserts of (A) at + fit and (B) cyk + flk clones.
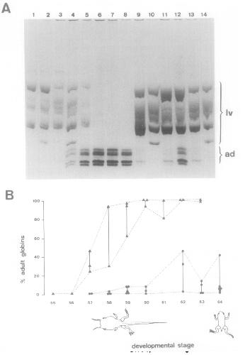
FIG. 7. Effect of anemia on the appearance of adult globins. Hemolysates of single animals were collected and electrophoresed on acidurea-
Triton X-100 gels and stained with Coomassie blue as described under Materials and Methods. (A) Stained gel (lanes 1-8) anemic, (lanes
9-14) control animals. Stages of the animals: 52, pool of 50 individuals (lane 1); 54, pool of 50 individuals (2); 56 (3); 57 (4); 59 (5, 6, 9, 10);
62 (7, 8, 11, 12); 63 (13, 14). Iv, larval; ad, adult globins (Hosbach et ol, 1982). (B) Scanning and semiquantitative graph: slab gels were cut
into slices, scanned at 540 nm, and the peak areas were determined. Percentage of stain contained in adult bands was then plotted against
the developmental stages of the individuals. (A) Anemic animals (19 individuals); (0) control animals (26 individuals). All animals were from
the same parents and hemolysates were prepared on the same day.
FIG. 8. Presence of globin mRNA in a mitotic erythroblast. Cells
of anemic larvae at stage 59 were hybridized in situ as described under
Materials and Methods with a mixture of 32P nick-translated insert
of (Y: and (3: clones. Exposure time was 18 days.