|
Fig. 1. Biochemical characterization of the major karyoskeletal protein of the nuclear
contents of X. laevis oocytes (see also Figs 16, 17). Polypeptides after separated by
SDS/PAGE (10% acrylamide) were visualized by Coomassie Blue staining (lanes a, b)
and autoradiography (lanes c-e). Lane a, reference proteins: myosin heavy chain (M,
200000), phosphorylase a (M, 94000), bovine serum albumin (BSA; M, 68000), actin
(M, 42000) and chymotrypsinogen (M, 25 000). Lanes b, c, in manually isolated and
sedimented nuclear contents theM, 145 000 polypeptide is present in significant amounts
(b, arrowhead) and can be identified by the immunoblotting test (c) using specific
antibodies (for details see Krohne et al. 1982). Lanes d, e, polypeptides of karyoskeletal
residues (insoluble in HS-T-buffer; Ps fraction, see scheme 1) of nuclear contents
prepared from oocytes incubated with e5S]methionine (d; 300f-tCi/ml, 24h) or [32P]orthophosphate
(e; 500 f-tCi/ml, 24 h). TheM, 145 000 polypeptide is the most intensely
labelled protein (arrowheads in d and e) of this fraction.
Fig. 2. Immunofluorescence microscopy of culturedX.laevis kidney epithelial cells (line
A6) with affinity-purified antibodies against theM, 145 000 polypeptide. This antibody
shows punctate reaction in the periphery of nucleoli and in distinct granules free in the
nucleoplasm. A. Phase contrast; B, epifluorescence. Bar, 20f-tm.
Fig. 3. A. Two-dimensional gel electrophoresis (first dimension non-equilibrium pH
gradient electrophoresis, NEPHGE; second dimension: SDS/PAGE (10%); silver
staining) of residual polypeptides (insoluble in HS-T buffer) from X. laevis oocyte
nuclear contents.TheM, 145 000 polypeptide (arrow) is the major protein of the fraction.
Co-electrophoresed reference proteins are BSA (B), phosphoglycerokinase (P) and actin
(A). B. An enlarged part of A, showing that theM, 145 000 polypeptide can be resolved into
two isoelectric variants (arrows); B, BSA. |
|
Fig. 4. Immunofluorescence microscopy of a frozen section through aX. laevis ovary after
incubation with affinity-purified antibodies against the J\11, 145 000 polypeptide. Part of an
oocyte nucleus is shown. These antibodies show intense reaction with dot-like areas in the
cortices of the amplified nucleoli (arrows) and MFBs free in the nucleoplasm (some are
denoted by arrowheads). The position of the nuclear envelope is marked by a broken line.
Bar, SO ~-tm.
Fig. 5. Electron micrograph of an ultrathin section through an extracted nucleolus of X.
laevis oocytes obtained after treatment with HS-T buffer (Ps fraction; for details see
Franke et a/ . 1981a). Nucleolar filaments that tend to form dense aggregates in the
nucleolar cortex (arrows) are characte ristic of this structure (see Figs 16, lane e and 17,
lane a, for biochemical data). Bar, 1~-tm.
Fig. 6. Electron microscopic immunolocalization of theM, 145 000 polypeptide in the
nucleolar skeletal structure obtained as described in Fig. 5. Cortical filaments are
decorated with 5 nm gold-coupled secondary antibodies (arrows) reacting with primary
murine antibodies against theM, 145 000 polypeptide. Bar, 0·2~-tm. |
|
Fig. 7. Identification ofthe nucleolar antigen recognized by the monoclonal antibody No-
114 (electrophoretical conditions were similar to those in Fig. 1; for details see Schmidt·
Zachmann et al. 1984). Lane a, reference proteins include, in addition to those shown in
Fig. 1, lane a, /3-galactosidase (M, 120000). Lane b, polypeptide pattern of isolated
purified amplified nucleoli from X. laevis oocytes (Coomassie Blue-staining). Lane c,
corresponding autoradiograph after immunoblotting reaction with antibody N o-114. This
antibody reacts with a protein of M, 180 000 present in the nucleolar fraction (arrows in
band c). M, are shown (X10-3).
Fig. 8. Immunofluorescence microscopy of a frozen section throughX.laevis ovary after
incubation with the monoclonal antibody No-114. The large nucleoli of oocytes and the
smaller nucleoli of the surrounding follicle cells (/) show intense reaction. Bar, 50 11m.
Fig. 9. Localization of theM, 180 000 protein by immunofluorescence microscopy of
frozen sections through liver tissue ofX.laevis (A,B) and on permeabilized cultured kidney
epithelial cells (line A6) grown on coverslips ( c-F). A,C,E,G. Phase-contrast optics; B,D,F,
H, epifluorescence optics. Nucleoli of hepatocytes (arrows in B) and A6 cells (n) show
strong fluorescence. In nuclei of erythrocytes, which are inactive in the synthesis of
ribosomal RNA, only one to two small, dot-like areas are stained (arrowheads in B),
representing the residual nucleolar structures characteristic of these cells ( cf. SchmidtZachmann
et al. 1984). E,F. In actinomycin D-treated kidney epithelial cells (A6) the
nucleolar components have segregated (denoted by arrow and pointer; E, 4h AmD),
showing that the M, 180 000 protein recognized by monoclonal N o-114 is now located in
the phase-contrast light hemisphere (F, arrow) which corresponds to the dense fibrillar
component. G,H. A6 cells treated for 4h with actinomycin D and incubated then with
monoclonal antibody RS1-105. In contrast to the No-114 antibody, the antibody RS1-105
(which recognizes ribosomal protein S,) binds to the phase-dark hemisphere, which corresponds
to the granular component of the nucleolus (pointers in G and H). In addition,
the ribosomes of the cytoplasm are stained. Bars: B, 50 11m; n,F,H, 10 11m. |
|
Fig. 10. Electron microscopic immunolocalization of theM, 180 000 polypeptide in X.
laevis hepatocyte nuclei using monoclonal antibody o-114 and 5 nm gold-particlecoupled
secondary antibodies. The dense fibrillar component (dfc) of the nucleolus is
labelled. Fibrillar centres (not shown), the granular component (gc) and the surrounding
chromatin (ch) are not significantly labelled . Bar, O·Z ,um. |
|
Fig. II . Characterization of karyoskeletal proteins of the nuclear envelope from X. laevis
oocytes (SDS/PAGE, 10 % acrylamide). Lanes a, b, Coomassie Blue staining; lanes c-f,
silver staining. Lane a, reference proteins : myosin heavy chain (M, 200 000),
phosphorylase a (M, 94 000), BSA (M, 68 000), actin (M, 42 000) and chymotrypsinogen
(M, 25 000). Lane b , residual polypeptides of 200 manually isolated nuclear envelopes after
treatment with HS-T buffer. TheM, 68 000 polypeptide (arrowhead) is the major protein
of this fraction . In addition, a minor polypeptide band of M, 100 000 and four faint
polypeptide bands in theM, range of 180 000-250 000 are detectable. Lanes c-f, characterization
of minor karyoskeletal polypeptides associated with the nuclear envelope as
detected by silver staining. Lane c, reference proteins : {3-galactosidase (M, 120 000), BSA
(M, 68 000) and actin (M, 42 000) . Lane d, polypeptide pattern of whole unextracted
nuclear envelopes (20 manually isolated envelopes). Lanese, f, residual polypeptides of
extracted nuclear envelopes (e, 30 envelopes; f, 150 envelopes; extraction as described in
b) . In addition to the predominantM, 68 000 protein (arrowheads) four polypeptide bands
in theM, range of 180 000-250 000 and one polypeptide of approximate J1!! , 100 000 are
detectable in silver- stained gels (f; cf. Krohne eta! . 198 1) .
Fig. 12. Immunological characterization of the nuclear lamina polypeptides of oocytes
and erythrocytes of X. laevis (SDS/PAGE according to Thomas & Kornberg, 1975 ; 12%
acrylamide gels). Lane a, karyoskeletal residue of mass- iso lated oocyte nuclei (arrowhead ;
M , 68 000 polypeptide). Lane b, karyoskeletal residue of erythrocytes. Arrowheads denote
lamina polypeptides L1 (M, 72 000) and Lu (M, 68 000) . Lanes a' , b' , corresponding
autoradiograph after an immunoblot experiment using monoclonal antibody Lo46F7 ,
which recognizes only theM, 68 000 polypeptide of oocytes (a', arrowhead) , not the related
lamina polypeptides of erythrocytes (b ' ). Lanes a, b, autoradiograph of an immunoblot
experiment using monoclonal antibody PKB8, which reacts exclusively with the two
nuclear lamina polypeptides of erythrocytes (b , arrowheads), not with the M, 68 000
polypeptide of oocytes (a; cf. Krohne et a!. 1984) . |
|
Fig. 13. Immunofluorescence microscopy of frozen sections through ovaries of X. laevis
(A-F) and P. waltlii ( G-H) after incubation with antibodies against nuclear lamina
proteins. A,C,E,G. Phase-contrast optics; B,D,F,H, epiftuorescence optics. Monoclonal
antibody Lo46F7 (A,B) reacts exclusively with the nuclear envelope of oocytes whereas
somatic cell nuclei are exclusively stained by the monoclonal antibody PKB8 (c,o).
Antibodies to lamina proteins from rabbit antiserum (Stick & Hausen, 1980 ; Stick &
Krohne, 1982) react with the nuclear envelope of both cell types (E,F). In somatic cells
nuclear lamina antibodies react exclusively with the nuclear periphery (G,H; follicle cells
stained with the rabbit antibodies as used in E and F). n, oocyte nucleus. Bars, 50 /),m. |
|
Fig . 14. Electron microscopic immunolocalization of the M, 68 000 polypeptide in
isolated nuclear envelopes of Xenopus oocytes. Specifically bound antibodies were
visualized by 5 nm gold-coupled secondary antibodies. Monoclonal antibody Lo46F7
shows exclusive reaction with the nuclear lamina (A) whereas polyclonal mouse antibodies
(B; Stick & Krohne, 1982) react with both structures, the nuclear lamina and the pore
complexes. Nuclear pore complexes are denoted by arrows (A,B). c, cytoplasmic side ; n,
nucleoplasmic side. Bars, 0·2 /),m. |
|
Fig. IS . Biochemical characteri zation of nuclear lamina polypeptides from chicken erythrocytes
. A . Nuclear lamina polypeptides (lamins A,B,C) after separation by twodimensional
gel electrophoresis (for abbreviations see Fig. 3) and staining with Coomassie
Blue. B-D. T wo-dimensional analysis of 125 1-labelled peptides obtained after tryptic digestion
of laminA (B) , B (c) and C (D). E indicates electrophoresis in first dimension and c,
chromatography in second dimension . Peptide maps of lam ins A and C show great similarity
and are clearly different from that of !a min B. |
|
Fig. 16. 8D8 /PAGE ( 10% acrylamide) according to Laemmli ( 1970) of nuclear content
sub fractions from X. laevis oocytes. The nuclear contents were manually isolated in IM
without MgClz (for details see scheme 1 in Materials and Methods). Lanes a-c, Coomassie
Blue staining; lanes d-i, silver staining. Lane a, reference protein, actin (Mr 42000; a).
Lane b, polypeptide pattern of the sediment derived from 50 nuclear contents (P1). Lane
c, polypeptide pattern of the supernatant derived from 50 nuclear contents (8!). Lanes d,
e, results of the extraction of pelletable material of nuclear contents (fraction P1) with
H8-T buffer; d, polypeptides of 10 pelleted nuclear contents solubilized by H8-T buffer
(84); e, protein that remains pelletable after extraction with H8-T buffer (Ps , residues
from 70 nuclear contents). This fraction contains only one major protein, the Mr 145 000
polypeptide (arrowhead; for morphological comparison see Fig. 5). Lanes f, g, reference
proteins denoted by dots: {3-galactosidase (Mr 120 000), phosphorylase a (Mr 94 000) and
B8A (Mr 68 000). Lanes h, i, fractionation of proteins of nuclear contents (81 fraction)
exposed to H8-T buffer; i, pelleted proteins of 81 fraction from 70 nuclear contents (P3;
fractions P3 and Pz were practically identical in composition; no protein was found in the
supernatant 83); h, protein of the 81 fraction that remains soluble after incubation with
H8-T buffer (82 fraction; protein corresponding to one nuclear content).
Fig. 17. Polypeptide composition of karyoskeletal residues (insoluble in H8-T buffer;
fraction Ps) of nuclear contents ofX.laevis oocyte isolated in IM without (a, b) and with
(d, e) 10mM-MgClz. 8D8/PAGE (10% acrylamide) seen after silver staining. Comparison
between full-grown (a, d) and stage IV (b, e) oocytes. Lanes a, b, the residual
fraction of nuclear contents isolated in IM without MgClz contains only one major protein,
theM, 145 000 polypeptide (arrowheads). Lanes d, e, the karyoskeletal residue prepared
from oocyte nuclear contents isolated in IM with 10 mM-MgClz contains several polypeptides
in addition to theM, 145 000 protein (arrowheads; Mg-Ps fraction). This preparation
contains large amounts of actin (a; for morphological comparison see Fig. 19B-D ). Lanes
a, b, d, e, each lane contains protein corresponding to the residues from 70 extracted
nuclear contents. Lane c, reference proteins (dots): {3-galactosidase (Mr 120 000) and B8A
(M, 68 000). Lane f, reference proteins (dots): {3-galactosidase, phosphorylase a (M,
94000), B8A and actin (Mr 42000).
Fig. 18. Effect of 10 mM-MgClz on protein composition of fraction 81 of nuclear contents
from X. laevis oocytes (8D8/PAGE, Coomassie Blue staining). Lane a, protein corresponding
to the supernatant from 50 nuclear contents (81). Lane b, little protein is pelleted
in the 81 fraction (50 nuclear contents) when the incubation (15 min) was performed in IM
without MgClz (control experiments). Lane c, when MgClz (final concentration 10 mM)
was added to the 81 fraction (50 nuclear contents) and incubated for 15 min large amounts
of actin appear in a pelletable form. Lane d, actin (a) from rabbit skeletal muscle (M,
42000). |
|
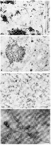
Fig. 19. A. Electron micrograph showing nuclear content material fromX.laevis oocytes
isolated in IM containing 10 mM-MgClz. In addition to nucleoli (n) and MFBs a large
number of microfilament bundles are visible (arrows). Insert on the right margin: higher
magnification showing a microfilament bundle. B,C. Electron micrographs of ultrathin
sections through the Mg-Ps fraction (see Fig. 17, lane d, for biochemical comparison).
Oocyte nuclear contents were isolated in IM containing 10 mM-MgClz, washed in buffer
containing 5 mM-EDT A, and then extracted with HS-T buffer. Compact residual nucleoli
(n in B) are seen besides an extended fibrogranular meshwork. o. Negative staining of
Mg-Ps fraction, demonstrating the fibrogranular nature of the.residual material, including
long 5-6nm filaments. Bars: A-c, O·Sp;m; insert in A and o, 0·2p;m. |