Click here to close
Hello! We notice that you are using Internet Explorer, which is not supported by Xenbase and may cause the site to display incorrectly.
We suggest using a current version of Chrome,
FireFox, or Safari.
???displayArticle.abstract??? CBTF122 is a subunit of the Xenopus CCAAT box transcription factor complex and a member of a family of double-stranded RNA-binding proteins that function in both transcriptional and post-transcriptional control. Here we identify a region of CBTF122 containing the double-stranded RNA-binding domains that is capable of binding either RNA or DNA. We show that these domains bind A-form DNA in preference to B-form DNA and that the -59 to -31 region of the GATA-2 promoter (an in vivo target of CCAAT box transcription factor) adopts a partial A-form structure. Mutations in the RNA-binding domains that inhibit RNA binding also affect DNA binding in vitro. In addition, these mutations alter the ability of CBTF122 fusions with engrailed transcription repressor and VP16 transcription activator domains to regulate transcription of the GATA-2 gene in vivo. These data support the hypothesis that the double-stranded RNA-binding domains of this family of proteins are important for their DNA binding both in vitro and in vivo.
Fig. 1. Domain structure of CBTF122 and Western blotting of CBTF122EN or CBTF122mRBDEN injected embryos. a, schematic diagram of the domain organization of the X. laevis transcription factor CBTF122 and the two truncated proteins used in the EMSA studies. The amino acid numbers of the domains are given relative to the start of translation. The location of the two single phenylalanine to alanine point mutations used (F435A and F559A) are shown in each of the RBDs. b, embryos were injected with 37 pg of either CBTF122EN (panel i) or CBTF122VP16 (panel ii) mRNA and compared with uninjected embryos (panel iii). c, sets of 20 embryos were injected with 37 pg of the RNA shown and allowed to develop to stage 11. Embryo lysate was prepared, and yolk proteins were removed by freon extraction prior to analysis of the exogenous protein by Western blotting using an antibody recognizing CBTF122.
Fig. 2. Summary of EMSA data for the recombinant proteins CBTF122(41)GST and CBTF122(28.5)GST. The recombinant proteins CBTF122(28.5)GST and CBTF122(41)GST forms of the CBTF122 RNA-binding domains were expressed in E. coli as fusions with glutathione S-transferase. The purified proteins were used in EMSA assays with 0.3 nm of either the dsRNA, dsDNA, or ssRNA version of the CBTF122-binding sequence as a probe. a, EMSA data using the 36-bp synthetic dsRNA probe for CBTF122(41)GST and CBTF122(28.5)GST. b, EMSA data for CBTF122(28.5)GST using the dsRNA, ssRNA, or dsDNA 36-bp probes. All of the data were analyzed using a Molecular Dynamics phosphorimaging device. The proportion of bound probe at each protein concentration was calculated using: % bound = bound/(free + bound) Ã 100 and plotted against protein concentration. c, the sequences of the probes used in the assays; the CCAAT sequence is boxed.
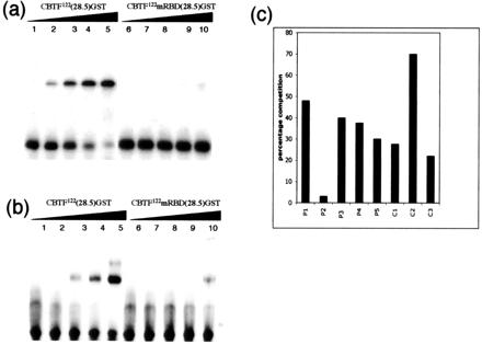
Fig. 3. EMSA of CBTF122mRBD(28.5)GST binding to RNA or DNA and competition for the CBTF122(28.5)GST-DNA complex by mutant probes. The wild-type (CBTF122(28.5)GST) and mutant (CBTF122mRBD(28.5)GST) forms of the CBTF122 RNA-binding domains were expressed as fusions with glutathione S-transferase. The purified proteins were used in EMSA assays with either the RNA or DNA version of the CBTF122-binding sequence as a probe. a, 0.3 nm RNA was mixed with 0, 0.15, 0.3, 0.45, and 0.6 nm CBTF122(28.5)GST (lanes 1â5) or CBTF122mRBD(28.5)GST (lanes 6â10). b, 0.3 nm dsDNA oligonucleotide was incubated with 0, 3, 6, 9, and 18 nm CBTF122(28.5)GST (lanes 1â5) or CBTF122mRBD(28.5)GST (lanes 6â10). c, 100 nm CBTF122(28.5)GST was bound to 0.3 nm probe and analyzed using EMSA. Cold competitor oligonucleotides (Table III) were titrated in a range of 1-, 5-, and 10-fold excess over the probe. The percentage of inhibition of CBTF122 binding to the native probe was calculated at a 10-fold molar excess over probe.
Fig. 4. Circular dichroism of P1, P2, C1, and C2 oligonucleotides. a, CD spectra from 205 nm to 360 nm for: 1) oligonucleotide C1 (B-form), 2) oligonucleotide P2, 3) oligonucleotide C2 (A-form), and 4) oligonucleotide P1. All of the samples were in 100 mm KF, 5 mm NaH2PO4 buffer, pH 7.6, at 22 °C. b, calibration curve derived from CD signal intensity at 278 nm and assuming C1 to be 100% B-form and C2 to be 0% B-form. The equation defining the line was used to predict percentage of B-form for P1 and P2. c, comparison of the observed P1 CD spectrum with a calculated spectrum based on a duplex predicted to contain 65% A-form and 35% B-form.
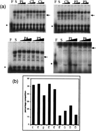
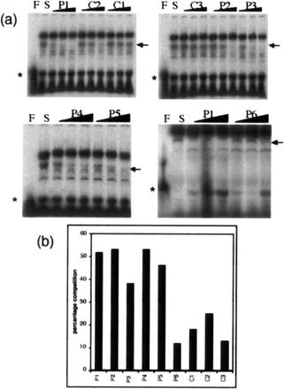
Fig. 5. Competition EMSA of the multisubunit CBTF-DNA complex by mutant probes. a, in all cases end-labeled wild-type CCAAT probe (4 fmol, *) was used in a standard binding reaction to assay CBTF from crude embryo extracts. Competitor oligonucleotides (Table III) were in the binding reactions at a 5-, 10-, or 50-fold molar excess prior to the addition of embryo extracts and the subsequent separation of DNA-protein complexes using standard EMSA conditions. The samples were run alongside free probe (lane F) and in the absence of competitor (lane S). The specific CBTF complex is marked with an arrow. Other complexes observed are nonspecific and are a consequence of using crude embryo extracts, the only current source of the intact CBTF complex. The gel shown in the lower right panel has been run less far than the other three. b, the percentage of inhibition of CBTF binding to the native probe was calculated when the EMSA reactions contained competitor at a 10-fold molar excess over probe. The data are the means from three experiments.
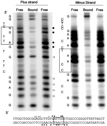
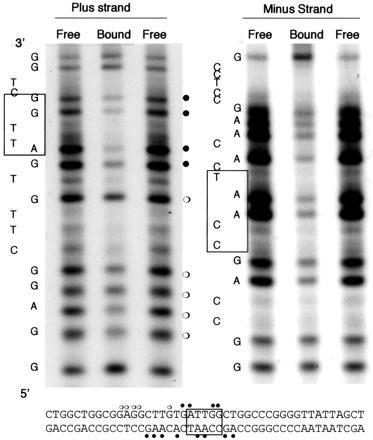
Fig. 6. Dimethyl sulfate interference footprinting of the CBTF-DNA complex. A DNA probe corresponding to bases -66 to -22 from the GATA-2 promoter with either radiolabeled + or - strand underwent exposure to dimethyl sulfate prior to preparative EMSA using crude embryo extract. Free and bound species were recovered from the EMSA gel and cleaved; the resulting DNA fragments were resolved on a 16% denaturing polyacrylamide gel. Methylated bases that interfere strongly with binding are marked by â¢, and those that interfere partially by â. The region corresponding to the CCAAT sequence is boxed.