Click here to close
Hello! We notice that you are using Internet Explorer, which is not supported by Xenbase and may cause the site to display incorrectly.
We suggest using a current version of Chrome,
FireFox, or Safari.
???displayArticle.abstract???
An abundant acidic germinal vesicle protein of 100,000 Da has been previously described in Xenopus laevis and termed N1. It is supposed to bind stored histones in the oocyte. Species-specific monoclonal antibodies (mABs) have been raised against the oocyte nuclear protein of X. borealis B3, that is equivalent to protein N1 of X. laevis. These mABs have been used to monitor paternal gene expression of B3 in hybrids between X. laevis and X. borealis. Protein B3 is accumulated in oocyte nuclei, shed into the cytoplasm of the egg upon germinal vesicle breakdown, and reaccumulated by the nuclei of the embryo. During development it appears to be gradually diluted in all cells of the embryo, its levels falling below the limits of detection after stage 50. In interspecies hybrids, the paternal antigen is not found in somatic cells, as judged by immunohistological criteria. Therefore it has been concluded that protein B3 is not expressed from the genes of the embryo and that the maternal store of B3 is sufficient to endow the nuclei of the embryo with this protein up to the feeding tadpole stage. This deduction is corroborated by radiolabeling experiments. The paternal antigen B3 is, however, specifically expressed in the germ line. In hybrids and in X. borealis it is first detected in the nuclei of oogonia and spermatogonia, but, in both sexes, it is undetectable during early meiotic prophase. In female germ cells, accumulation of B3 is resumed at the beginning of diplotene, concomitant with the onset of oocyte growth. The significance of the observed cell specificity of B3 during germ cell differentiation is discussed in relation to its postulated function as a histone storage factor.
FIG. 1. Localization of antigen b6-3B7 in sections of adult ovary.
(a) X bore& germinal vesicle of stage VI oocyte is brightly stained
(GV), nuclei of follicle epithelium are unstained (arrowhead). (b)
DAPI counterstaining of (a). (c) X laaris germinal vesicle is unstained
(GV), only a weak unspecific cross reaction is seen in the follicle
epithelium (arrowhead). (d) DAPI counterstaining of (c). Due to
their low DNA concentration, the nuclei of oocytes are not stained
by DAPI. The tissue was prefixed with 2% TCA.
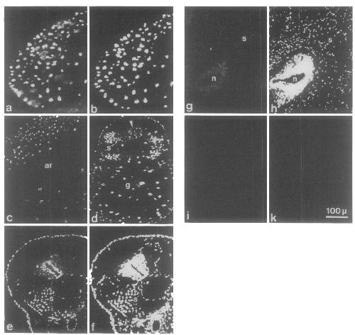
FIG. 2. Gradual decrease of antigen b6-8B7 during early development of X borenlia (a) Stage 10: All nuclei are brightly stained with
monocloaal antibody b&m, during mitosis the antigen is localized in the cytoplasm. (b) DAPI counterstaining of the same section. (c)
Stage 18: mAB b6-8B7 stains all nuclei with the same intensity, (ar) archenteron. (d) Stage 90: Slight differences in the intensity of the
nuclear staining. Nuclei of aomitea (a) and endodermal gut (g) are brightly, nuclei of cella around the neuroeoel (e ) Weakly stained
with mAB b64iB7. (e) Stage 46: Tieilae-apecitlc decrease of antigen b6-3B7. Nuclei of cells around the neurocoel are stained leaa than nuclei
of epidermis and somites. (f) DAPI counterstaining of the same section. (g) Stage 50151: Only a weak nuclear staining is still seen in
somites (a) and around the neurocoel (n) with mAB b6-3B7. (h) DAPI counter-staining of (g). (i and k) mAB b6-3B7 doea not stain in X
Levis (i) nor in the hybrid (k) stage 30. All embryos were fixed with 2% TCA.
FIG. 3. Two-dimensional gel analysis of newly synthesized protein from oocytes and embryos of X bore&a Protein was labeled with
WJmethionine, extracted, and analyzed as described before (Dreyer and Hausen, 1933). (a) Ooeytee of stage VI labeled overnight. (b)
Blastulae labeled from stages 7-9. (c) Gastrulae labeled from stages 11-13. (d) Neurulae labeled from stage19 19-22. (b-d) Labeling of
embryos was for 3 hr.
FIG. 4. Localization of antigen b6-3B7 during early stages of the germline development in X borealis and hybrid. (a) X borealis stage 46:
Nucleus of a presumptive primordial germ cell (ppGC) (arrowhead) migrating along the dorsal mesentery is brightly stained with mAB
b6-3B7. The ppGC is marked by the lobed nucleus and the yolk platelets (y), which show an orange autofluorescence. Nuclei of mesentery
cells are weakly stained. (b) DAPI counterstaining of (a). (c) X bore&s stage 56: The primordial germ cells (pGC) are now situated in the
genital ridge. The nuclei of germ cells (arrowhead) and mesentery cells do not stain above background in staining with mAB b6-3B7. (d)
DAPI counterstaining of (c). (e) X borealis ovary stage 56: Nuclei of the primary (p) and secondary (a) oogonia are brightly stained with
mAB b6-3B7, a weak nuclear staining is seen in leptotene oocytes (asterisk), staining of epithelial cells is hardly above background
(arrowhead). (f) DAPI counterstaining of (e). (g) X bwealis testis stage 54: Primary (p) and secondary (s) spermatogonia are stained with
mAB b6-3B7, all somatic cells are unstained. (h) DAPI counterstaining of (g). (i) X borealis kidney 2 months postmetamorphosis. Single
nuclei of the mesonephric tubuli stain with mAB b6-3B7. However, most nuclei are unstained. (k) DAPI counterstaining of (i). (1) Hybrid
stage 47: Nuclei of migrating ppGCs are unstained (arrowhead). Yolk platelets (y) of the germ cells and erythrocytes (e) in the caval vene
show autofluorescence; (m) dorsal mesentery. (m) DAPI counterstaining of (1). (n) Hybrid stage 54: PGC in the genital ridge (arrowhead).
The nuclei of germ cell and mesentery cells are not stained with mAB b6-3B7. (0) DAPI counterstaining of (n). (p) Hybrid ovary stage 63:
Primary oogonia (p) show a bright nuclear staining, the secondary oogonia (s) are unstained. Binding of mAB b6-3B7 to cell borders is due
to an unrelated antigen (see text). (q) DAPI counterstaining of (p). (r) Hybrid testis stage 63: Nuclei of primary (p) and secondary (8)
spermatogonia are weakly stained, somatic cells are unstained. (a) DAPI counterstaining of (r). (t) X 5oreo& adult kidney: No nuclear
staining is seen. (u) DAPI counterstaining of (t). (a)-(s): bar 26 pm, (t)/(s): bar 56 pm. All tadpoles and tissues were fixed with ethanol by
freeze substitution. Note. In our hands, the germline development of X barea& proceeded more slowly than described for X Lewis
(Nieuwkoop and Faber, 1967; Kalt and Gall, 1974, Whitington and Dixon, 1975; Ziist and Dixon, 1977). Germ cell differentiation in hybrids
that were reared under identical conditions to those used for X borealis, was even more retarded as judged -by the external criteria used
for stage classification by Nieuwkoop and Faber for X loeuia Developmental differences also exist between the individuals of the same
breeding. In hybrids, germ cells arrive in genital ridges later as compared to X borealis normal development.
FIG. 5. Localisation of the antigen b6-3B7 in ovary of X borealis 2 months postmetamorphosis. (a) In some females9 primary oogonia (p)
are brightly stained by mAB b6-8B7. GV, germinal vesicle. (b) DAPI counterstaining of (a). (c) The antigen b6-3B7 is found in oocyte nuclei
at early diplotene (arrow) and in nuclei of stage I up to stage VI. Oocyte nuclei in pachytene stage of early meiosis (arrowhead) and nuclei
of the follicle epithelium are unstained. (d) DAPI counterstaining of (c). Ovaries were fixed with ethanol by freer substitution.
FIG. 6. Localisatlon of X boreo&specific antigen b6-3B7 in ovaries of hybrid and X Iaeuis 2-4 months postmet,amorpbosll. (a) Hybrid
ovary: Primary oogonia (arrowhead) and oocytes of early meiotic stages (arrow) are unstained by mAB b6SB7. (b) DAPI counterstaining
of (a). (c) Nucleus of stage II oocyte in hybrid is brightly stained. (d) DAPI counterstaining of (c). (e) In X hevie ovary, no nucleus is
stained with mAB b6-337, only irrelevant staining of cyst walls is found. (f) DAPI counterstaining of (e). Ovaries were fixed with ethanol
by freese substitution.
FIG. ‘7. Polypeptide B8 in hybrid oocytes. Oocytes of stage I of
hybrids (a), X bore&a (b), and X laevie (c) were extracted and
subjected to two-dimensional gel analysis as described (Dreyer and
Hausen, 1983). Oocyte nuclei of stage VI hybrid oocytes (d) have
been analyzed on an IEF gel containing more acidic Servalytes.
Electrophoresis in the second dimension was twice as long as
in (a-c).