Click here to close
Hello! We notice that you are using Internet Explorer, which is not supported by Xenbase and may cause the site to display incorrectly.
We suggest using a current version of Chrome,
FireFox, or Safari.
???displayArticle.abstract???
We investigated a possible role for testosterone-induced cell proliferation in the development of sexual dimorphism in the larynx of South African clawed frogs, Xenopus laevis. Androgen-induced cell proliferation was studied using [3H]thymidine autoradiography. Nuclei of cartilage, perichondrium, and muscle were labeled in the larynx of sexually immature frogs of both sexes but not in adults. Cell proliferation did not occur with estradiol treatment nor was it seen in nonlaryngeal muscle or cartilage. Electron microscopic/autoradiographic studies of laryngeal muscle indicate that testosterone stimulates satellite cell division which later results in formation of myonuclei. We conclude that testosterone induces both chondrogenesis and myogenesis in juvenile larynx and that this process may contribute to the pronounced sexual dimorphism of the adult vocal organ.
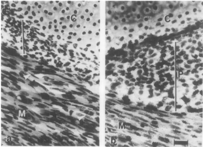
FIG. 1. Photomicrographs of laryngeal autoradiograms. (a) The first panel shows the three tissue types in a sham operated, non hormone-treated juvenile larynx (control). No labeled cells are present in the cartilage (C) or perichondrium (P). Two labeled cells (arrows) can be seenin the muscle (M). Control juveniles were sacrificed 24 hr after a single injection of [3H] thymidine. (b) In larnyx treated 4 days with androgenand then injected with rH]thymidine, both perichondrium and muscle show heavy labeling. Note that the perichondrial layer has also undergonemarked expansion as indicated by the white bracket. Photomicrograph was obtained from the same section level as the control (Fig. la) for comparison. As with the controls, the androgen-treated juveniles were sacrificed 24 hr after injection of the radiolabeled nucleotide. Bar:
10 pm.
FIG. 2. Autoradiogram of testosterone-treated laryngeal cartilage showing numerous chondrocytes. (Juvenile treated as in Fig. lb). Many cells deep within the cartilagenous matrix accumulate silver grains (e.g., arrows) suggesting that in situ chondrogenesis is stimulated by androgen administration. Bar: 5 Wm.
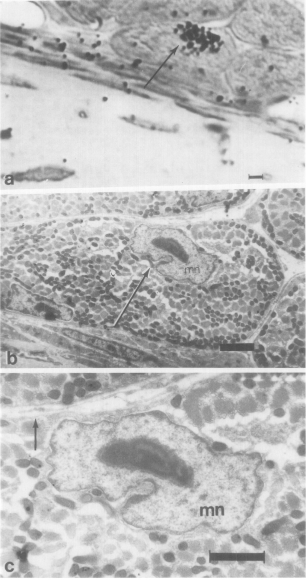
Fig3. Identification of proliferating cell types in layngeal muscle after 4 days of testosterone stimulation. As in Fig. 1b, a single injection
of [3H]thymidine was given and tissue processed 24 hr later. Plastic sections (0.5 pm) of muscle were prepared for tritiated thymidine autoradiography and exposed for at least 3 weeks. Heavy labeling assisted identification of [aH]thymidine-labeled cells. Immediately adjacent thin sections were examined at low magnification under the electron microscope (X100) to locate labeled cells. The identity of the labeled cell nucleus was then determined at higher magnification (X100,000). (a) Autoradiogram of laryngeal muscle obtained after 4 days of testosterone treatment; plane of focus is between tissue and silver grains. Arrow indicates labeled cell nucleus. Bar: 2.5 um. (b) Adjacent low magnification electron micrograph. The three most common nuclei types found in skeletal muscle (myonuclei, mn; satellite cell nuclei, SC; and fibroblast nuclei, fb) can be seen. Only the satellite cell arrow) is labeled. Occasional fibroblasts and endothelial cells (not shown) were also labeled although at a much lower frequency than satellite cells. Abbreviation: (mf, myofiber). Bar: 2.5 um. (c) At higher magnification( x1000,000) a clear boundary (see arrows) can be seen to separate the satellite cell (sc) from the closely apposed muscle fiber (mf). the Satellite cell has a large nucleaous and is enveloped by the basal lamina (bl, arrow) of teh adjacent muscle fiber. Bar: 2um.
FIG 4. Identification of [3H] thyidine-labeled cell types after 3 weeks of testosterone stimulation. Animals were injected with [3H]thymidine on Days 4 and 5 of the hormone treatment. Two injections were given to assure adequate labeling of myogenic precursors. Method for cell identification was the same as in Fig. 3. (a) Light microscopic autoradiogram of a labeled cell in a 0.5-um plastic section. Label is concentrated over the nucleus (arrow). Bar: 10 pm. (b) Adjacent EM section (X100). The nucleus (mn) is associated with a myofiber containing numerous myofilaments and mitochondria. Bar: 10 um. (c) At higher magnification, the nucleus is clearly located within the cytoplasm, underneath the myofiber cell membrane (arrow). The labeled cell nucleus is thus identified as a myonucleus. Bar: 7.5 um.