Click here to close
Hello! We notice that you are using Internet Explorer, which is not supported by Xenbase and may cause the site to display incorrectly.
We suggest using a current version of Chrome,
FireFox, or Safari.
Differentiation
1987 Jan 01;352:100-7. doi: 10.1111/j.1432-0436.1987.tb00156.x.
Show Gene links
Show Anatomy links
The histone H1(0)/H5 variant and terminal differentiation of cells during development of Xenopus laevis.
Moorman AF, de Boer PA, Charles R, Lamers WH.
???displayArticle.abstract???
The maintenance of the differentiated condition is supposed to be associated with the presence of a histone of the H1(0)/H5 subclass. If the H1(0)/H5 variant has an important role in differentiation distinct from that of H1, it should display differential expression in time and position during development. Here we report that this prediction is verified during Xenopus laevis development, in which tadpoles exhibit a very characteristic, developmentally regulated pattern of histone H1(0)/H5 expression that is different for the derivatives of each embryonic germ layer. However, the pattern of appearance of this variant during development does not reflect a simple correlation between its presence and the state of differentiation. Therefore, these results are pertinent to current ideas on differentiation and the involvement of lysine-rich histones in the repression of eukaryotic genes.
Fig.1 A-D. Immunohistochemical detection of histones in stage 37 (A, B), stage 42 (C) and stage 50 (D) tadpoles. Sections are incubated
with anti-histone H1 in A and anti-histone HI"/H5 in B, C and D. The sagittal sections of stage-37 tadpoles (A, B) show the intestine
and surrounding mesodermal cells; pigment granules are visible in the skin. C Detail of a stage-42 tadpole showing the intestine (i),
surrounded by mesothelium (m), the intestinal lumen (io, the peritoneal cavity doc) and the Wolffian (mesonephric) duct (wd) in the
dorsal body wall; the epithelial cells of the intestine contain many yolk granules; some anti-Hl0/H5-positive nuclei are indicated by
urrows. D The frontal section of the stage-50 tadpole shows the oropharyngeal area to demonstrate the presence of histone Hlo/H5
in all cells
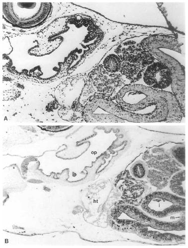
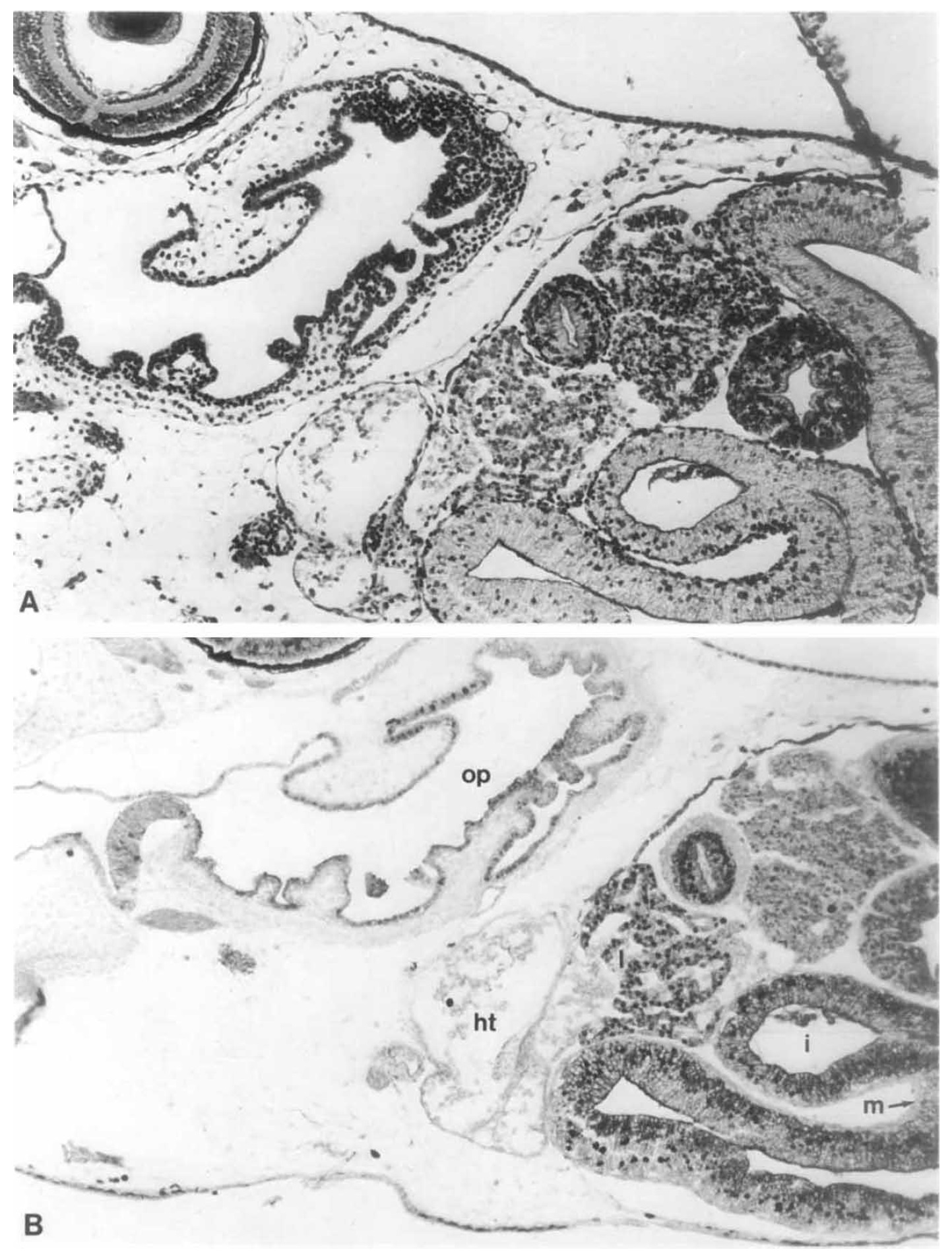
Fig. 2A, B. Sagittal section of stage-46 embryos incubated with anti-histone HI (A) and anti-histone HIo/H5 (B); op, oropharynx;
ht, heart; I, liver; i, intestine; rn, mesothelium
Fig. 3A-D. The appearance of histone HI"/H5 in erythrocytes during development; sections are of an aortic arch artery filled with
erythrocytes in a stage-44 tadpole (A, B) and stage-SO tadpole (D) and of the liver of a stage-46 tadpole (C). The sections were incubated
with anti-histone HI (A) and anti-histone H1°/H5 B-D; en, endothelial cell nucleus; ern, erythrocyte nucleus; hn, hepatocyte nucleus
Fig. 4A-F. The appearance of histone Hl0/H5 in muscle (A-C) and retina (A-F) during development. Sections are of tadpoles at
stages 42 (A, B), 44 (I), E), and 50 (C, F) and were incubated with anti-histone H1 (A, B) and anti-histone HI/H5 B, C, E, F
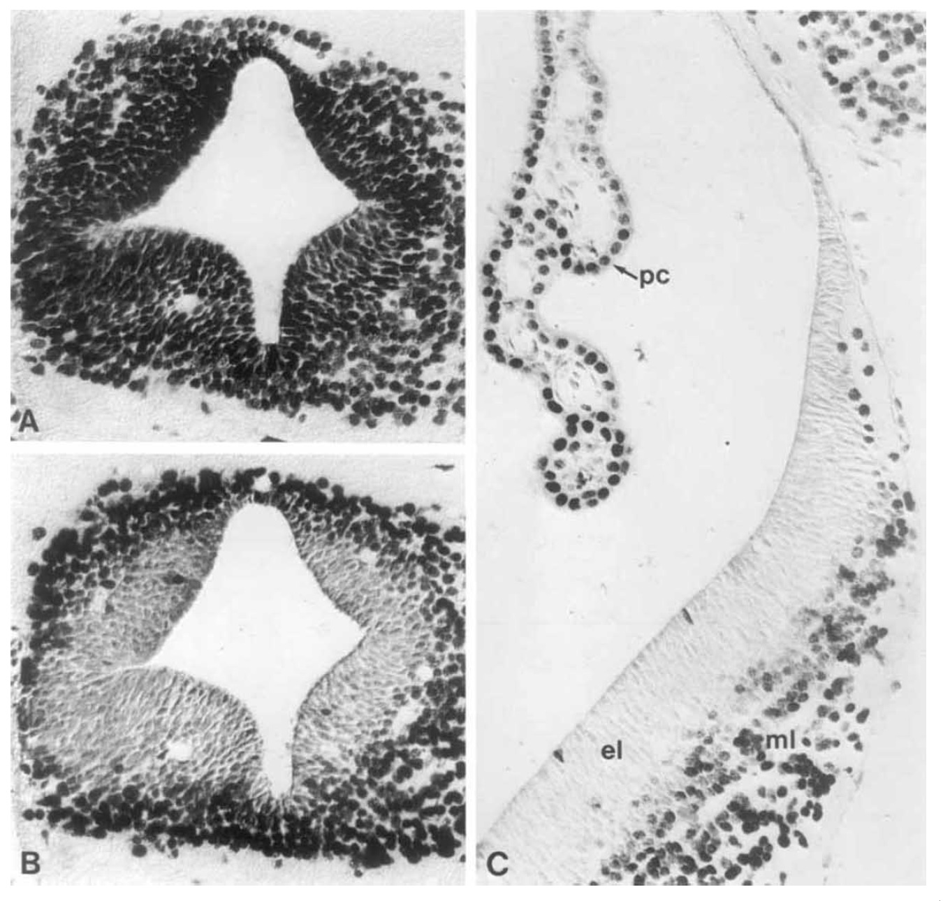
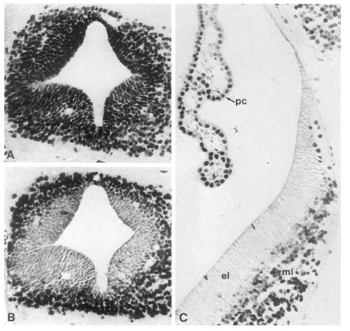
Fig. 5A-C. Histone HI/H5 in the neural tube of stage-50 tadpoles; sections were incubated with anti-histone HI (A) or anti-histone
Hlo/H5 (B, C); el, ependymal layer; ml, mantle layer; pc, plexus choroideus
Fig. 6. Lysine-rich histones from various developmental stages were
electrophorcsed on a 13% sodium dodecyl sulfate polyacrylamide
gel, transferred to nitrocellulose, stained with amido black (A) and
incubated with a monoclonal antibody to histone H5 (B). The
histone preparations used were from the following stages : lanes
aja', adult erythrocyte (3.5 pg); lanes bib', stages 33-41 (1 1 pg);
lanes c/c', stages 42-44 (13 pg); lanes d/d', stages 45-47 (10 pg);
lanes e/e', stages 48-52 (4 pg)