Click here to close
Hello! We notice that you are using Internet Explorer, which is not supported by Xenbase and may cause the site to display incorrectly.
We suggest using a current version of Chrome,
FireFox, or Safari.
???displayArticle.abstract???
A cDNA segment encoding the Ca2+-binding protein, parvalbumin, was isolated with the use of antibodies, from a lambda gtll expression library of Xenopus laevis tadpole poly(A)+ RNAs. The bacterially expressed beta-galactosidase-parvalbumin fusion protein of one lambda recombinant shows high affinity 45Ca2+ binding. The sequence of the tadpoleparvalbumin is highly similar to previously characterized beta-parvalbumins of other organisms. Data from protein and RNA blotting experiments demonstrate that parvalbumin is absent in oocytes, eggs, and early staged embryos, and only becomes expressed during embryogenesis at the time of myogenesis. The protein can be detected in individual developing muscle cells and in muscle fibers of tadpoletail muscles. A simple method is also described for the isolation of neural tube-notochord-somite complexes from Xenopus embryos.
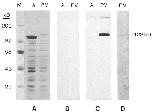
Figure 1. Gel electrophoretic analysis of proteins encoded by
recombinant ~,PVI. A displays the Coomassie Blue-staining pattern
oft 10% polyacrylamide-SDS gel, B represents a Western blot with
preimmune serum, C shows a similar blot with immune serum, and
D exhibits an autoradiogram of 45Ca2+ binding to filter-bound proteins.
In the four panels, the proteins synthesized by bacteria infected
by the vector kgtll are shown in lanes marked g, whereas
proteins produced by bacteria infected by ~,PV1 are shown in lanes
marked PV. The immune complexes on the filters were detected
with secondary goat anti-rabbit IgG antibody coupled to horseradish
peroxidase and chloronapthol, whereas the 4~Ca2+ binding was
detected by film autoradiography. Lane M contains molecular
weight standards with the molecular weights of the individual species
listed in kilodaltons on the left.
Figure 2. Nucleotide sequence of the LPV1 insert, a portion of pPV2 recombinant cDNA plasmid, and the predicted parvalbumin protein.
The insert of LPV1 was sequenced by the dideoxy method in both directions; the sequence is delineated with x's. The complete protein
sequence was deduced by sequencing rightward from the Pvu II site of the recombinant pPV2. A protein encoded by the longest open
reading frame in this sequence is shown, with a putative translation start site (Met) and the high affinity Ca2÷-binding loop domains (24)
of parvalbumin underlined, and the termination codon marked with asterisks. In this same interval, there are 6 and 11 translation stop
codons in each of the other two forward reading frames. The regions of homology between carp beta-parvalbumin (10) and the Xenopus
putative parvalbumin are shown below; identities and semiconservative changes between the two sequences (27) are noted by two and one
dots, respectively.
Figure 3. Western blot with rabbit anti-parvalbumin antibodies to
lysates from oocytes, eggs, and various Xenopus staged embryos.
The lanes (from left to right) contain extracts from 1/4 equivalents
of oocyte (stage VI), egg, stage 10 (gastrula), stage 16 (neurula),
stage 22, stage 24 (tailbud), stage 31, stage 41 (tadpole) embryos,
and dissected stage 41 head and tail segments. Proteins were
resolved by electrophoresis in a 20% polyacrylamide-SDS gel and
later transferred electrophoretically to nitrocellulose. Immune
complexes were detected with 125I-labeled goat anti-rabbit IgG antibodies
and film autoradiography.
Figure 4. Northern blot analysis
of parvalbumin homologous
RNAs present in oocytes,
eggs, and various staged embryos.
The blot was hybridized
with 32P-labeled parvalbumin
cDNA. The nucleotide
(nO lengths of some of the
pBR322 DNA Taq I restriction
fragments (lane M) are
shown on the right of the autoradiogram.
The lanes (from
left to right) contain extracts
from two oocytes (stage VI),
eggs, stage 10 (gastrulae), stage
16 (neurulae), stage 22, stage
37, and stage 41 embryos.
Figure 5. Immunological detection ofparvalbumin
in tadpoletailmuscle cells. Strips of tailmuscle from stage 41 tadpoles were permeabilized
with Triton X-100 and incubated sequentially
with anti-parvalbumin antibodies and
goat anti-rabbit IgG antibodies coupled to fluorescein.
A shows a phase contrast image of the
tailmuscle strip, whereas B shows the fluorescent
image. The black spots in A are epidermal
melanocytes. Bar, 30 um.
Figure 6. Immunofluorescent detection of parvalbumin in stage 28 developing muscle cells. A shows a stage 28 embryo, B displays an
isolated NNS complex from a stage 28 embryo, C shows an azure blue-stained squash of the NNS complex, D shows a phase contrast
image of the differentiating muscle cells, and E shows the fluorescence of these cells reacted with anti-parvalbumin antibodies. Bars: (A)
400 um; (C) 85 um; (D) 15 um.
Figure 7. Western blot detection
of parvalbumin in developing somites
of Xenopus embryos. Protein
lysates were prepared from
adult leg muscle, the NNS complex
of two stage 28 embryos,
the remainder of two stage 28
embryos minus their NNS complexes,
and one complete stage 28
embryo. The proteins were resolved
on a 18 % polyacrylamide-
SDS gel by gel electrophoresis
and blotted to nitrocellulose. The
antigen complexes formed with
rabbit anti-parvalbumin antibodies
were detected with 125I-protein
A and X-ray film autoradiography.
Berchtold,
Parvalbumin in non-muscle tissues of the rat. Quantitation and immunohistochemical localization.
1984, Pubmed
Berchtold,
Parvalbumin in non-muscle tissues of the rat. Quantitation and immunohistochemical localization.
1984,
Pubmed Berchtold,
Primary structure of parvalbumin from rat skeletal muscle.
1982,
Pubmed Boynton,
Stimulation of liver cell DNA synthesis by oncomodulin, an MW 11 500 calcium-binding protein from hepatoma.
1982,
Pubmed Cannell,
Model of calcium movements during activation in the sarcomere of frog skeletal muscle.
1984,
Pubmed Capony,
The amino-acid sequence of the most acidic major parvalbumin from frog muscle.
1975,
Pubmed Carpenter,
Novel proteins belonging to the troponin C superfamily are encoded by a set of mRNAs in sea urchin embryos.
1984,
Pubmed Chien,
Isolation and characterization of calmodulin genes from Xenopus laevis.
1984,
Pubmed
,
Xenbase Coffee,
Carp muscle calcium-binding protein. I. Characterization of the tryptic peptides and the complete amino acid sequence of component B.
1973,
Pubmed Devlin,
Coordinate regulation of contractile protein synthesis during myoblast differentiation.
1978,
Pubmed Dworkin,
Construction of a cloned library of expressed embryonic gene sequences from Xenopus laevis.
1980,
Pubmed
,
Xenbase Epstein,
Isolation of a rat parvalbumin gene and full length cDNA.
1986,
Pubmed Gillis,
Parvalbumins and muscle relaxation: a computer simulation study.
1982,
Pubmed Goodman,
Evolutionary diversification of structure and function in the family of intracellular calcium-binding proteins.
1979,
Pubmed Haiech,
Magnesium and calcium binding to parvalbumins: evidence for differences between parvalbumins and an explanation of their relaxing function.
1979,
Pubmed Hardin,
Structure of the Spec1 gene encoding a major calcium-binding protein in the embryonic ectoderm of the sea urchin, Strongylocentrotus purpuratus.
1985,
Pubmed Heizmann,
Correlation of parvalbumin concentration with relaxation speed in mammalian muscles.
1982,
Pubmed Heizmann,
Parvalbumin, an intracellular calcium-binding protein; distribution, properties and possible roles in mammalian cells.
1984,
Pubmed Heizmann,
Chicken parvalbumin. Comparison with parvalbumin-like protein and three other components (Mr = 8,000 to 13,000).
1979,
Pubmed Jauregui-Adell,
Amino-acid sequence of an alpha-parvalbumin, pI = 4.88, from frog skeletal muscle.
1982,
Pubmed Kozak,
Compilation and analysis of sequences upstream from the translational start site in eukaryotic mRNAs.
1984,
Pubmed Kretsinger,
Structure and evolution of calcium-modulated proteins.
1980,
Pubmed Laemmli,
Cleavage of structural proteins during the assembly of the head of bacteriophage T4.
1970,
Pubmed Lipman,
Rapid and sensitive protein similarity searches.
1985,
Pubmed Lynn,
Localization of a family of MRNAS in a single cell type and its precursors in sea urchin embryos.
1983,
Pubmed MacManus,
A new member of the troponin C superfamily: comparison of the primary structures of rat oncomodulin and rat parvalbumin.
1983,
Pubmed MacManus,
The presence in human tumours of a Mr 11,700 calcium-binding protein similar to rodent oncomodulin.
1984,
Pubmed Maruyama,
Detection of calcium binding proteins by 45Ca autoradiography on nitrocellulose membrane after sodium dodecyl sulfate gel electrophoresis.
1984,
Pubmed Muntz,
Myogenesis in the trunk and leg during development of the tadpole of Xenopus laevis (Daudin 1802).
1975,
Pubmed
,
Xenbase Newport,
A major developmental transition in early Xenopus embryos: I. characterization and timing of cellular changes at the midblastula stage.
1982,
Pubmed
,
Xenbase Pfyffer,
Calcium-binding proteins in human carcinoma cell lines.
1984,
Pubmed Sanger,
DNA sequencing with chain-terminating inhibitors.
1977,
Pubmed Stuhlfauth,
Calcium-binding protein, parvalbumin, is reduced in mutant mammalian muscle with abnormal contractile properties.
1984,
Pubmed Towbin,
Electrophoretic transfer of proteins from polyacrylamide gels to nitrocellulose sheets: procedure and some applications.
1979,
Pubmed Young,
Efficient isolation of genes by using antibody probes.
1983,
Pubmed