Click here to close
Hello! We notice that you are using Internet Explorer, which is not supported by Xenbase and may cause the site to display incorrectly.
We suggest using a current version of Chrome,
FireFox, or Safari.
???displayArticle.abstract???
We have used whole-mount immunofluorescence microscopy of late-stage Xenopus laevis oocytes and early embryos to examine the organization of their cortical cytokeratin systems. In both mature oocytes and early embryos, there is a distinct animal-vegetal polarity in cytokeratin organization. In mature (stage-VI) oocytes, the cytokeratin filaments of the vegetal region form a unique, almost geodesic network; in the animal region, cytokeratin organization appears much more variable and irregular. In unfertilized, postgerminal vesicle breakdown eggs, the cortical cytokeratin system is disorganized throughout both animal and vegetal hemispheres. After fertilization, cytokeratin organization reappears first in a punctate pattern that is transformed into an array of oriented filaments. These cytokeratin filaments appear first in the vegetal hemisphere and are initially thin. Subsequently, they form bundles that grow thicker through the period of first to second cleavage, at which point large cytokeratin filament bundles form a loose, fishnet-like system that encompasses the vegetal portion of each blastomere. In the animal region, cytokeratin filaments do not appear to form large fibre networks, but rather appear to be organized into a system of fine filaments. The animal-vegetal polarity in cytokeratin organization persists until early blastula (stage 5); in later-stage embryos, both animal and vegetal blastomeres possess qualitatively similar cytokeratin filament systems. The entire process of cytokeratin reorganization in the egg is initiated by prick activation. These observations indicate that the cortical cytoskeleton of Xenopus oocytes and early embryos is both dynamic and asymmetric.
Fig. 1. Analysis of Ih5 specificity in Xenopus A6 cells.
(A) A micrograph, taken in fluorescein-optics of
methanol-fixed, Ih5-labelled A6 cells demonstrates that
Ih5 labels cytokeratin filaments (Bar, lOjjm).
(B) Detergent-insoluble cell residue proteins of Xenopus
A6 cells were separated by SDS-polyacrylamide gel
electrophoresis and either stained with Coomassie
brilliant blue (lane marked 'cell residue') or were
electrophoretically transferred to nitrocellulose paper and
probed with the monoclonal antibodies antilFA, Ih5,
14h7, AE1 or Id7. Relative molecular mass marker
positions (xlO~3) are noted on the left hand side of the
figure; the positions of major protein bands have been
marked across the figure.
Fig. 2. Cytokeratin organization in the mature oocyte. The labelling of cytokeratin filaments by Ih5 in the animal
region of mature oocytes varied dramatically from barely detectable (A, specific staining marked by white arrows; grey
regions are areas of yolk autofluorescence visible through pigment cap); through robust, but apparently disorganized
(B); to clear systems of interconnected filaments (C). In the vegetal hemisphere, the organization of cytokeratin
filaments is much more regular (D), consisting of thin fibres that interconnect distinct vertices. This type of cytokeratin
organization is characteristic of the entire vegetal region of mature oocytes; in some regions it can approach a geometric
precision (E). Arrows in part E mark vertices of the cytokeratin lattice. The bar in part E marks 10/im for all parts.
Fig. 3. Cytokeratin organization in eggs and early postfertilization embryos. In some eggs, Ih5 labelling consisted of
scattered filament fragments (A, negative image; white arrows point to Ih5-labelled fibres); more often (B, positive
image) Ih5 labelled amorphous masses and irregular aggregates in the cortex. The following series of micrographs were
taken from a batch of eggs in which the unfertilized eggs showed no punctate Ih5-labelling. By 15min after fertilization,
Ih5-labelling appeared as a pattern of small spots (C, positive image) which grew larger and more irregular (D, positive
image - 30min postfertilization) and were eventually transformed into a fibrous array (E, positive image - 60min
postfertilization), with an apparent overall directionality (marked by white arrow). Bar in part E marks 10^m for all
parts.
Fig. 4. Cytokeratin organization in 2-, 4- and 8-cell embryos. By the time of first cleavage (A) the cytokeratin filament
system of the vegetal hemisphere has beguh to coalesce into a system of anastomosing filament bundles; this
reorganization of cytokeratin filaments continues through second (B) and third (D) cleavage to produce a highly regular
cytokeratin filament network. The cytokeratin system does not appear to descend into the cleavage furrows (marked by
large white arrows in part D). In a negative image of a sectioned, Ih5-labelled, 4-cell embryo (C) (Ih5 labelling is
black), it is clear that the cytokeratin system is entirely cortical. Bar in part B marks 10/jm for all parts.
Fig. 5. Animal-vegetal polarity in cytokeratin organization in early embryos. By the 4- to 8-cell stage, the cytokeratin
system of the animal region (A) consists of scattered filament fragments; the vegetal cytokeratin network (B) (shown at
the same magnification) is dramatically different. In some batches of embryos, the gradient in cortical cytokeratin
organization (C) (negative image) from the animal (a) to the vegetal (v) pole included a region in which the networktype
organization of cytokeratin filaments appears to break down into cytokeratin aggregates. By stage 6/7, the
cytokeratin filaments of the animal hemisphere blastomeres (D) have begun to form integrated filament systems similar
to those found in the vegetal blastomeres (E). Arrow in part E marks what appears to be a desmosomal junction. Bar
in part D marks lOjnn for parts A,B,D,E; bar in part C marks 10/im.
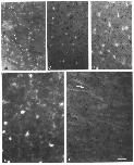
Fig. 6. Appearance of cytokeratin polarity in prick-activated eggs. Unfertilized eggs were activated by pricking with a
clean glass needle. Cytokeratin labelling appeared first as a pattern of spots (A, 30min postactivation) which later was
transformed in the vegetal hemisphere into an anastomosing filament bundle system (B,C, 60min postactivation). The
animal-vegetal gradient in cytokeratin organization is clearly visible in parts B and C. By 120 min postactivation (D,E),
the cytokeratin system'appeared to be mature and similar to that seen in fertilized eggs. In part D, the cortex has ripped
and folded over itself, revealing that the bulk of the cytokeratin system is located in the cortex (white arrows mark limit
of folded over region). By 180 min after activation (F), the cytokeratin system appeared to be breaking down into a
more amorphous type of organization. Bar in part A marks 100nm for parts A,C,E,F; bar in part D marks 100^m for
parts B,D.
Fig. 7. Schematic of changing cytokeratin organization in oocytes, eggs and embryos. The changing organization from
mature oocytes (left) through to the 2-cell embryo (right) is diagrammed here. Cytokeratin organization, as visualized
by Ih5-labelling, is shown in red. Various benchmarks in the period from fertilization (0) to first cleavage (100) have
been indicated on the time line at the bottom of the figure. In this cartoon, a continuous gradient between animal and
vegetal cytokeratin systems in the 2-cell embryo has been depicted. A, anterior; V, ventral; GV, germinal vesicle;
GVBD, germinal vesicle breakdown; 3O'pf, 30min postfertilization; 60'pf, 60min postfertilization.