|
Fig. 1. Differentiation in explanted animal caps after various conditions of early exposure to MIF. (A.B) Sections
transverse and longitudinal to axial structure in explants exposed to MIF for 20min immediately after excision from the
128-cell-stage embryo. All explants were extensively washed after exposure and cultured in 67% NAM until controls
reached stage 35. (C) Differentiation indistinguishable from that of controls (67% NAM only) and (D) differentiation
corresponding to the 'weakest' grade of mesoderm induction, as observed after culture in limiting dilutions of MIF.
These appearances follow continuous culture in the same MIF preparation that gives rise to A and B but beginning
30min after dissection from the donor, when little or no original 'inner' blastomere membrane was exposed to the
medium, nc, notochord; s, somite; ab, abnormal, wrinkled epidermis; ep, properly stretched, bilayered epidermis over a
fluid-inflated cavity, not seen in complete absence of induction. Scale bar, 300 um. |
|
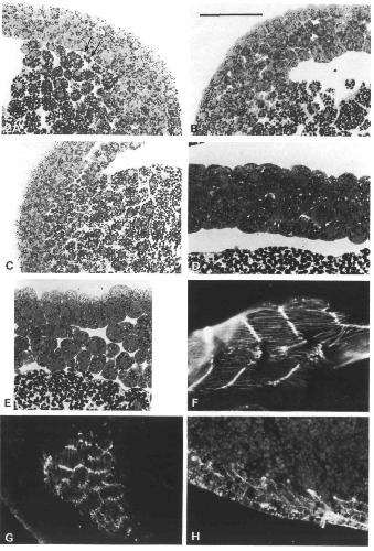
Fig. 2. Thin-sectional appearances at gastrula stages and
the organization of somite muscle seen by
immunofluorescence, after blastocoelic injection of MIF
or control (XL-derived) dialysate. A-C show the
marginal regions of stage-10 (early) gastrulae. A is a
control embryo. B and C are, respectively, at very early
and slightly more advanced stages in the minutes-long
sequence of behaviour change in the inner blastocoel roof
and wall, following injection with MIF at stage 7. Inner
cells first become more loosely adhesive and surfaceactive,
and then form a recognizably separate layer
without localized, organized involution. This is followed
by loss of the normal layered structure at the junction of
endoderm, involuting mesoderm and blastocoel wall
(arrows). D and E are higher power views of,
respectively, the normal and abnormal blastocoel roof at
the slightly later stage 10+. The inner, looser layers of
cells in (E), consisting of ectopic mesoderm, how have
the appearance of newly involuted mesoderm, except that
there is no uninduced ectoderm available for them to
migrate over. The large-celled yolky blastocoel floor
appears at bottom. (F) Immunofluorescence for somite
muscle in the tail of a normal larva, in grazing
parasagittal section. Note the regular positioning of the
fusiform cells in chevron-shaped blocks. (G) Image as in
F but from an embryo that received a low dose
(0-004 units) of MIF into the blastocoel (see Fig. 4A,
second embryo). Note inferior extension and regularity of
cell positioning, and the crazing and disorganization of
the pattern. (H) Muscle immunofluorescence in the
ventral site of the abnormally occluded blastocoel of an
embryo that only just completed gastrulation and tailbud
formation after MIF injection. An ectopic layer of
striated muscle is visible. This forms from what would
have normally produced anteroventral ectoderm. Scale
bar, 300/im for A-C, 100^m for D,E, 125 pm for F,G
and 80 um for H. |
|
Fig. 3. The altered structure during the first half of
normal gastrulation, and the morphology at larval stages,
after intrablastocoelic injection of MIF. (A) Sagittal
sections at control stage 10—, 101 and 111 in normal
(sham-injected) and MIF-injected embryos. Presumptive
dorsal side, where normal mesoderm involution occurs
first, is to the right. The upper control drawing represents
the onset of stage 10, up to which point control and MIFinjected
development are morphologically identical.
Second and third rows represent typical stage-10| and
-111 embryos, with normal on the left and MIF-injected
on the right, but with a split representation of the latter
at stage 111 to show events typical of higher (left half)
and lower (right half) doses. Tissue that is specified as
mesoderm and has involuted or undergone the analogous
change in cell behaviour is shown stippled throughout.
Ectoderm and uninvoluted mesoderm is unshaded, and
endoderm is hatched. The stage of development of
external blastoporal lips and archenteron is shown in the
outlines. At the time of MIF-induced abnormality, the
normal mesoderm has just started to create an interface
by migrating up the outer shell of preinvoluted mesoderm
and presumptive ectoderm. The endodermal mass has a
sharply limited border just ahead of the emerging
mesoderm, because it has preferential affinity for that
tissue. The two principal sequences of abnormal
behaviour concern mesoderm, and then a consequent one
by endoderm. There is a massive, synchronous
'recruitment' of mesodermal cells out of both the deep
presumptive ectoderm and, we believe, the presumptive
mesoderm as yet unrecruited by the normal process.
Normal mesoderm already in a new layer then ceases its
involution and movement, for lack of appropriate space
and substrate. The normal development of a sharp preand
post-involution interface (arrowheads), the
deepening of the archenteron, and the advance of the
blastopore over the yolk plug, all driven by mesoderm
involution (Keller, 1986), are halted. Meanwhile the
anterior edge of the endoderm mass alters its normal
sharp outline, and its cells rapidly and abnormally
achieve contact with the entire lining of the former
blastocoel. The volume of the embryo is preserved by the
appearance of an abnormal cavity within the endoderm in
the vegetal region. After lower MIF doses (about
0-006 units), dorsal lip activity reappears and a pre- and
post-involution interface forms by stage 111-12
(arrowheads), whereas with doses above 0-02 units this
never occurs, and the ectopic mesoderm may reveal its
'dorsal' status by its semiorganized convergent behaviour.
(B) Camera lucida drawings of normal and a range of
MIF-injected embryos at stage 35. The least abnormal
case has all major head parts and all germ layers present,
but heart and blood do not form. Increasing doses reduce
the anterior axial pattern, the pronephros disappears and
somite segmentation is disrupted. A significant accessory
trunk-tail formation is often present, centred on the
ectopic mesoderm region but running into what remains
of the embryo's 'own' axis anteriorly where there is no
brain. At intermediate doses where gastrulation has only
just recovered, the tailbud may be the only externally
recognizable structure, although massive, normally
positioned notochord and somite tissue are found
internally. The ectoderm and nervous system have few
cells and often disintegrate. Above this dose, gastrulation
never occurs and a thick pad of disorganized mesoderm
lies between the thin shell of abnormal ciliated epidermis
(stippled) and the unenclosed endodermal mass.
e, eyecup; ev, ear vesicle; g, gills and pharynx;
pn, pronephros; s, somite segments; fb, forebrain above
cement gland; bp, blastopore. Scale bars, 1mm. |
|
Fig. 4. The effect of blastocoelic MIF injection on
morphogenesis of embryos, and on properties of grafted
blastocoel roof tissue. (A) A group of one normal and
five abnormal siblings at stage 37. The normal individual
is second from bottom. The upper group show external
appearances after low (top) and moderate (2nd and 3rd)
doses of MIF. Even individuals such as that at top have
no heart or blood and little pronephric development,
while somite disorganization (see Fig. 2G) and reduced
epidermal and CNS cell populations are evident. As the
syndrome becomes more severe, only posterior axial
structure and notochord is recognizable, while
unorganized muscle or significant accessory tail and CNS
formation may occur anteroventrally. Higher MIF doses
abort gastrulation.
Above and below the control embryo are two
individuals with highly organized but anteriorly
incomplete second axial patterns, following the grafting
operation described in B. (B) An operation in which a
piece of blastocoel roof tissue from a donor blastula,
previously injected with MIF or a control solution, is
grafted into the ventral marginal zone of a late blastula
host. Grafts (100-300 cells) from control injected donors
or from those receiving less than about 006 units MIF,
integrate into host posteroventral regions with no
disturbance to morphogenesis (see lower larval sketch).
Grafts treated with higher doses of MIF, even after
careful washing before implantation, act like dorsal
blastoporal lip tissue and organize the development of
second axial patterns (see upper larval sketch and A,C).
The host blastula is represented in sagittal section with its
own prospective dorsal lip site to left. (C) Anterior tissue
structure in horizontal sections from the two secondary
axes following grafting shown in (A). The level of
anterior structure reached in these depends upon graft
size and original donor MIF dosage. Both those shown
are incomplete, one reaching pronephric levels but
showing a small notochord piece in its otherwise fused
somite axis, the other reaching ear vesicle and hind brain
induction levels, without notochord. Note highly
organized somite segmentation, which does not occur
anywhere within donor embryos after the doses of MIF
used in these experiments (see Fig. 2G). eg, cement
gland; nc, notochord tissue; ev, ear vesicle;
pn, pronephros; s, somites; tb, tailbud. Scale bar: 1 mm
for drawings of B. |
|
Fig. 5. Injection of poly(A)+ RNA from XTC, but not XL, cells into animal pole blastomeres causes mesoderm
induction. Poly(A)+ RNA from XL cells (A,B) or XTC cells (C,D) was injected into the animal hemisphere of
Xenopus embryos at the 2- to 4-cell stage. At the mid-blastula stage (stage 8) the animal pole regions of these embryos
were dissected out and allowed to develop in 67 % NAM. (A) DAPI staining. (B) The same section stained with
12/101; no muscle is formed. (C) DAPI staining. (D) The same section stained with 12/101; large amounts of muscle
are formed in response to XTC poly(A)+ RNA. Scale bar in (D) is 200um and applies to all frames. |
|
Fig. 6. Explants combining MIF-treated and lineagelabelled
animal cap tissue. (A) Preparation of explant
combinations. The left-hand side shows how one donor
embryo is lineage labelled with RLDx and allowed to
develop to stage 8 (about 7h). The centre column shows
how competent animal cap tissue at stage 7 is exposed to
MIF and excised with careful washing after about 1 h at
stage 8+. The right-hand side shows how the same tissue,
but past its competent period at stage 11 + , is similarly
exposed to MIF. Experimental combinations are
prepared from left and centre components, control
combinations from left and right. (B) Upper (muscle
immunofluorescence) and lower (lineage label) images
from a sectioned combination at control larval stages.
The bulk of muscle develops from the directly MIFexposed
component, but morphogenesis frequently
results in such muscle being overlain by lineage-labelled
epidermis. In C-H, muscle immunofluorescent images
from sections are on the left, and their paired lineage
label images on the right. (C,D) Even within the
mesodermal tissue that fills the explant combinations,
nonmuscle regions including lineage-labelled cells
frequently abutt onto muscle. Freely diffusing transfer of
the original MIF does not seem to cause systematic
muscle induction adjacent to treated tissue. (E,F and
G,H) Two examples of the incorporation of lineagelabelled
cells into the periphery of a region of muscle
development. Arrowheads indicate cells labelled with
RLDx that are also stained with anti-muscle antibody.
Scale bar: 1 mm in drawings of A, and 65um on
photomicrographs B-H. |