Click here to close
Hello! We notice that you are using Internet Explorer, which is not supported by Xenbase and may cause the site to display incorrectly.
We suggest using a current version of Chrome,
FireFox, or Safari.
???displayArticle.abstract???
The spatial segregation of informational molecules in the unfertilized egg and embryo has been hypothesized to be a necessary phenomenon for the normal progression of development leading to the determination of cellular phenotypes. This study describes the selection of a monoclonal antibody (Mab: 2G6) that identifies an antigen (Ag: 2G6) which is localized in the germinal vesicle of oocytes and has a discrete pattern of inheritance during embryogenesis. The antigen displayed biochemical and physical characteristics very similar to nucleoplasmin, which is the histone-binding and nucleosome-assembly protein previously described. Immunoblot analysis with purified oocytenucleoplasmin confirmed this relationship. Indirect immunofluorescence was used to study the temporal expression and spatial distribution of nucleoplasmin. From early cleavage stages through gastrulation, it is preferentially localized in nuclei of blastomeres at the animal pole. By tadpole stages, it was detected only in nuclei of postmitotic cells of the central nervous system and in nuclei of striated muscle. It was not detected in adult tissues. Western blot analysis during embryogenesis revealed at least five immunologically related polypeptides that displayed distinct patterns of expression during development. The different species observed most likely represent different levels of phosphorylation of nucleoplasmin. The more acidic forms, known to be more active in nucleosome assembly, were present during cleavage stages. Analysis of labelled oocyte proteins by two-dimensional immunoblots and autoradiography revealed that synthesis of nucleoplasmin was first detected in stage-2 oocytes, reached 60% maximum levels at stage 3, peaked at stage 4 and was undetectable in stage-6 oocytes. The amount of nucleoplasmin message present does not follow a similar pattern during oogenesis. These results suggest that the message undergoes pronounced changes in translational efficiency during oogenesis. A comparative immunoblot analysis using proteins from a variety of adult tissues revealed that, whereas the polyclonal antisera against amphibian vitellogenic oocytenucleoplasmin recognized several different, tissue-specific polypeptides, two different monoclonal antibodies (Mab: b7-1D1, Mab: 2G6) failed to recognize any of the adult tissues tested. We conclude that nucleoplasmin is a family of closely related proteins with distinct embryonic and adult members.
Fig. 1. Immunofluorescent staining of
transverse sections through stage-1 and -2
and stage-6 oocytes using Mab:2G6. Arrows
denote germinal vesicles (GV) in A-D and
nuclei of follicle cells in E,F. a, animal pole,
v, vegetal pole. Bar 143^m. (A) FITC
staining of stage-1 and -2 oocytes;
(B) corresponding DIC image to A;
(C) FITC staining of stage-6 oocytes;
(D) corresponding DIC image to Q
(E) FITC staining showing negative
response in follicle cells; (F) corresponding
DAPI image to E.
Fig. 2. Gel electrophoresis of NP-40-soluble stage-6
oocyte proteins using 10% SDS-PAGE. Equal oocyte
equivalents loaded per lane. Lanes a-c electroblotted and
probed with Mab:2G6. (a) Whole oocytes, (b) GVs and
(c) enucleated oocytes. Lane d represents Commassieblue-
stained GV proteins. Arrow denotes the 29-5/28K
doublet.
Fig. 3. Mab:2G6 cross-reacts with purified
nucleoplasmin. Duplicate immunoblots of (a) NP-40-
extracted stage-6 oocyte protein probed with mouse anti-
Xenopus nucleoplasm (Mab:b7-1D1 - from P. Hausen).
and (b) purified oocyte nucleoplasmin (1/xg) probed with
Mab:2G6. Arrows denote nucleoplasmin running as
monomer and partly as dimer.
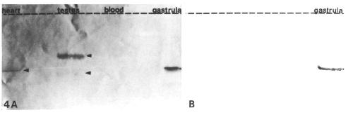
Fig. 4. Immunoblot of NP-40-soluble proteins from adult Xenopus tissue. Equal amounts of protein from heart, testes
and blood were separated on a 10 % SDS-PAG. NP-40-soluble protein from gastrula embryos were used as controls
probed with (A) guinea pig anti-Xenopus nucleoplasmin polyclonal antibody and (B) Mab:2G6. The arrows indicate the
position at which a positive reaction was noted.
Fig. 5. Immunofluorescent staining of transverse sections through early cleavage-stage embryos using Mab:2G6. Bar
143 jim. a, animal pole; v, vegetal pole; b, blastocoel. (A) FITC-stained 4-cell embryo; (B) FITC-stained 32-cell embryo;
(C) corresponding DIC image to B; (D) FITC-stained 512-cell embryo (Arrows denote examples of either stained or
unstained nuclei); (E) corresponding DIC image to D.
Fig. 6. Immunofluorescent staining of transverse sections through stage-49 embryos using Mab:2G6. (A) FITe-stained
embryonic brain; (B) corresponding ore image to A; (C) FITe-stained retina; (D) corresponding Die image to C;
(E) me-stained caudal section; (F) corresponding DAPI stain to E. v, ventricular zone; i, intermediate (postmitotic)
zone; m, marginal zone; n, notochord; p, pigment layer; r, receptor layer; in, intrinsic neurone layer; s. synaptic layer:
g, ganglion layer;!, lens; sc, spinal cord; mu, muscle.
Fig. 7. Immunoblot of proteins from (a) stage-6 oocytes,
(b) 4- to 8-cell embryos, (c) 32- to 64-cell embryos,
(d) 512-cell embryos, (e) stage-12 embryos (f) stage-16
embryos, (g) stage-20 embryos and (h) stage-40 embryos.
The bracket ([ ]) denotes the shift in molecular weight
detected during cleavage.
Fig. 8. Two-dimensional gel analysis of Ag:2G6. lxlO^ctsmin ' of TCA-precipitable protein plus 80fig of unlabelled
protein were loaded on each gel. The (—>) arrow denotes the position of actin and the ( • ) wedge indicates the two
proteins used as position markers. Ag:2G6 is indicated by the (^) arrow. In each case, in panels C, F and I the area of
the autoradiograph that includes Ag:2G6 has been enlarged and Ag:2G6 encircled to show the exact position as
determined by superimposing the immunoblot on the autoradiograph. (A-C) stage-2 oocyte proteins probed with
Mab:2G6 and Mab:b7-1D1 (from P. Hausen); (D-F) stage-3 oocyte proteins probed with Mab:2G6 and Mab:b7-1D1,
and (G-I) stage-6 oocyte proteins probed with Mab:2G6.
Fig. 9. Two-dimensional gel analysis of Ag:2G6 in gastrulae. lxlO6ctsmin ' of TCA precipitable proteins plus 80^g of
unlabelled protein was loaded on each gel. The (—>) arrow denotes the position of actin and the ( • ) wedge indicates
four proteins used as position markers. Ag:2G6 is indicated by the (^) arrow. In each case in panels C and F, the area
of the autoradiograph that includes Ag:2G6 has been magnified and Ag:2G6 encircled to show the exact position as
determined by superimposing the immunoblot on the autoradiograph. (A-C) probed with Mab: b7-lDl and (D-F)
probed with Mab:2G6.
Fig. 10. Synthesis and accumulation of nucleoplasmin
during oogenesis. Levels of accumulation determined by
scanning one-dimensional immunoblots or by the ELISA
(•). Levels of synthesis determined by computer-assisted
integration of two-dimensional autoradiographs ( ).
Accumulation represented as arbitrary units with stage 6
assigned a value of 100. The amounts accumulated at the
other stages are represented relative to stage 6. Synthesis
represented in arbitrary units with stage 4 assigned a
value of 100. The amounts synthesized at the other stages
are represented relative to stage 4. The data have been
corrected for background. The inset represents an
example of the immunoblot used to determine
accumulation. Equal oocyte equivalents loaded on each
lane of (a) stage 6, (b) stage 3 and (c) stage 1 and probed
with Mab:2G6.