Click here to close
Hello! We notice that you are using Internet Explorer, which is not supported by Xenbase and may cause the site to display incorrectly.
We suggest using a current version of Chrome,
FireFox, or Safari.
???displayArticle.abstract???
Screening of a cDNA library from neurula stage Xenopus laevis for notochord-specific sequences led to the isolation of a cDNA clone, XK endo B (Xenopus keratin endo B), which encodes a nonepidermal type I keratin. In situ and Northern blot hybridizations indicate that expression of XK endo B RNA is concentrated in the notochord, whereas expression in the endoderm is 5-10 times lower. XK endo B mRNA is present in the oocyte and increases from late gastrula. Accumulation peaks by late neurula and is greatly reduced by the tadpole stage; in the adult, a low level of XK endo B RNA is present in the liver. XK endo B shows sequence homology to mouse endo B; genomic Southern blots show that XK endo B is the most similar sequence to mouse endo B in the Xenopus genome, and vice versa, indicating that XK endo B and mouse endo B are homologs. The use of endo B as a marker and the germ layer derivation of the notochord are discussed in light of these results.
???displayArticle.pubmedLink???
2463213 ???displayArticle.link???Genes Dev
Figure 1. Notochordal and developmental expression of XK
endo B. [A] Northern blot analysis of 1 jjug of total RNA from
dissected notochords (lane 1) and stage 20 embryos (lane 2). [B]
Northern blot analysis of 1 jjig of total RNA from embryos at
different stages of development: stage 6 (lane 1], stage 10 1/2
(lane 2), stage 12 (lane 3), stage 17 (lane 4), stage 19 (lane 5],
stage 22 (lane 6), stage 27 (lane 7), stage 35 (lane 8], stage 38
(lane 9), stage 42 (lane 10], stage 45 (lane 11], stage 50 (lane 12],
stage 53 (lane 13], and stage 55 (lane 14].
Figure 2. Nucleotide and amino acid sequences.
{A) The nucleotide sequence of the
coding region of NC-11 is shown, together with
its corresponding amino acid sequence. The termination
codon is indicated by three asterisks,
and the potential polyadenylation signal is underlined.
The last five nucleotides of the sequence
(GAATT) are due to the £coRI linkers
used to clone the cDNA. [B] Comparison of the
predicted amino acid sequence of NC-11 (XK
endo B) to its closest protein sequences in the
data base. XK70 is a Xenopus embryonic type I
epidermal keratin (Winkles et al. 1985); mouse
(M) endo B is a mouse type I nonepidermal keratin
(Singer et al. 1986). Two dots (:) indicate
identical amino acids, and one dot (.) indicates a
conservative change. Keratins, as all intermediate
filament proteins, contain four coiled coil
domains in their center, indicated as la, lb, 2a,
and 2b (for review, see Steinert and Parry 1985;
Steinert et al. 1985). The available XK endo B
cDNA (NC-11) lacks the sequences for the
amino-terminal domain of the protein, and the
corresponding segments of the two other sequences
were omitted.
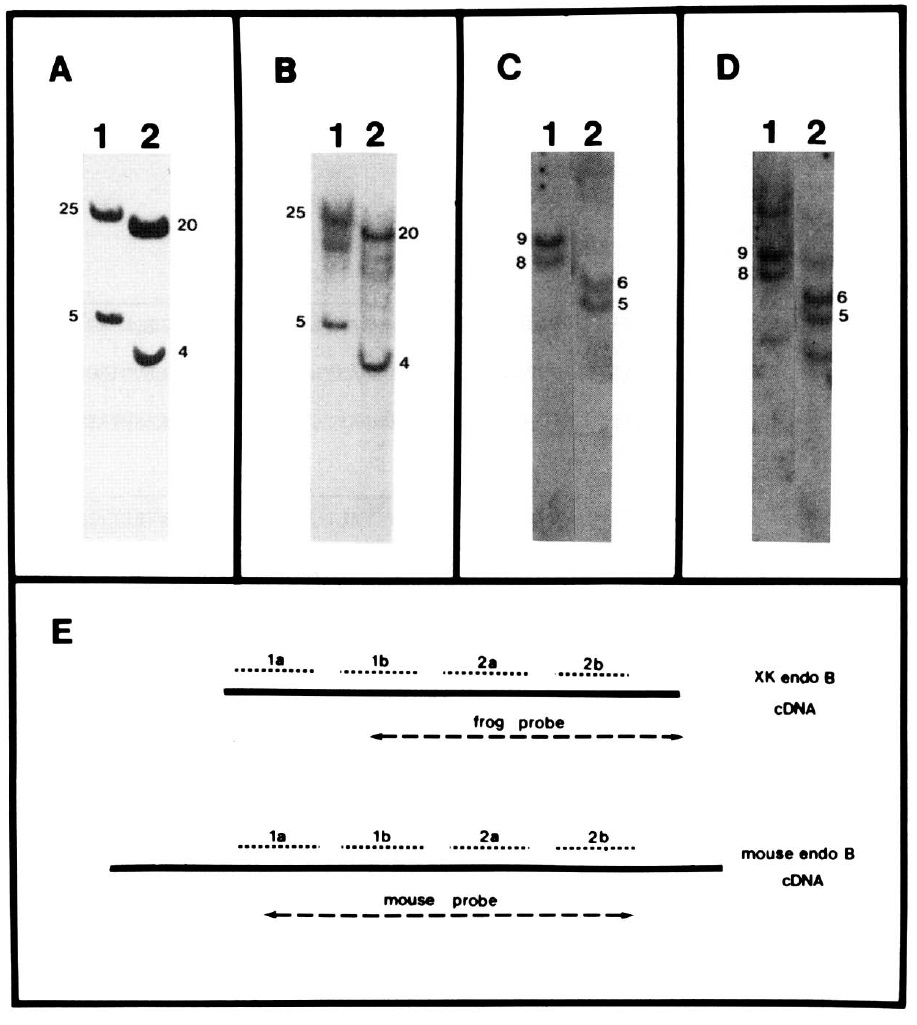
disfigure
3. Southern blot analysis. [A] Xenopus
genomic DNA digested with Kpnl (lane 1) and
Hindlll (lane 2) and hybridized with nick-translated
XK endo B (NC-11). [B] Xenopus genomic
DNA digested with Kpnl (lane 1] and Hindlll
(lane 2) and hybridized with nick-translated
mouse endo B cDNA. (C) Mouse genomic DNA
digested with Kpnl (lane 1] and Bglll (lane 2) and
hybridized with nick-translated mouse endo B
cDNA. (D) Mouse genomic DNA digested with
Kpnl (lane 1] and Bglll (lane 2) and hybridized
with nick-translated NC-11. The most intensely
hybridizing restriction fragments are identified
by their approximate size in kb. Similar regions
of the frog cDNA and the mouse cDNA were
used as probe, as indicated in E. Washing conditions
were at high stringency in A and C and at
low stringency in B and D (see Methods).
Figure 4. In situ hybridization to sections of Xenopus embryos.
[A] Dark-field illumination shows hybridization of
NC-11 throughout the notochord from the anterior to posterior
region of a stage 25 embryo (see £). [B] Dark-field illumination
shows hybridization to the notochord in a stage 25 embryo. (C)
Bright-field illumination of the section shown in B. (N) Notochord;
(NT) neural tube. (D) Dark-field illumination of a stage
14 embryo shows hybridization to the notochord. (£) Plane of
sections shown in A and B. Although the embryos are at different
stages, the plane of section in D is the same as that in B.
Figure 5. Expression of XK endo B in embryonic endoderm and
adult liver. [A] Northern blot analysis of 1 ug of total RNA from
dissected notochords (lane 1] and dissected endoderm (lane 2).
(B) Northern blot analysis of 10 jig of total RNA from eggs (lane
1) and adult liver (lane 2).
Figure 6. SI protection analysis. (Lane 1) Undigested probe.
The following RNA samples were hybridized to end-labeled
probe and digested with nuclease SI (see Methods): 10 jxg tRNA
(lane 2), 8.5 fxg of total RNA from eggs plus 1.5 jjig of tRNA
(lane 3), 0.3 |xg of total RNA from notochord plus 10 |jLg of
tRNA (lane 4), and 1.25 [Lg of total RNA from endoderm plus
8.5 jjLg of tRNA (lane 5). The end-labeled 1914-nucleotide probe,
prepared as described in Methods, extended from the 5' end of
NC-11 to 20 nucleotides upstream from its 3' end. The sequences
at the 5' end of NC-11 are intron sequences and, therefore,
were not protected by mRNA. RNA from all three sources
protected an 1140-nucleotide fragment that represents the
coding sequences of NC-11.