Click here to close
Hello! We notice that you are using Internet Explorer, which is not supported by Xenbase and may cause the site to display incorrectly.
We suggest using a current version of Chrome,
FireFox, or Safari.
???displayArticle.abstract???
Intermediate filament proteins in the postmetamorphic Xenopus laevis nervous system were identified by their crossreactivities on Western blots with a pan-specific intermediate filament antibody (anti-IFA). These intermediate filament protein bands on Western blots were characterized as 3 cytokeratin-like proteins (49, 55, and 58 kDa), one vimentin-like protein (53 kDa), two distinct glial fibrillary acidic protein (GFAP)-like proteins (60 and 67 kDa), and 3 neurofilament proteins (73, 175, and 200 kDa) by evaluation of their crossreactivities with specific antibodies directed against the mammalian forms of these proteins. This panel of antibodies to mammalian proteins, and two additional antibodies directed against a Xenopus GFAP-like protein and a Xenopus neurofilament (NF-M) protein, were used in immunocytochemical studies to determine the developmental expression of these proteins in the Xenopus nervous system. The first antigen to be detected during development was cytokeratin immunoreactivity, which was located in the inner lining of the embryonic neural tube as early as stage 19, and which in immunocytochemical studies in postmetamorphic frogs was abundant in meninges and processes forming the ventricular lining of the ependymal zone. Vimentin immunoreactivity was found in numerous neuroepithelial cell processes in the rhombencephalon and anteriorspinal cord by stage 22, in the prosencephalon by stage 33/34, and in the retina by stage 29/30. In the postmetamorphic frog, vimentin immunoreactivity was found to be abundant in radial processes throughout the brain and spinal cord. NF-M protein immunoreactivity was first detected in neurons in the developing neural tube between stages 22 and 24, in the retina by stages 29/30, and continued to increase throughout development. GFAP-like immunoreactivity was detected very early in radial cells in the neural tube (stage 24), and by stage 42 was found throughout the nervous system. This early appearance of GFAP-like immunoreactivity implies that the onset of glial cell differentiation is a relatively early event in Xenopus.
Fig. l. Evaluation of anti-intermediate filament protein antibody immunoreactivities on Western blots of extracts made from spinal
cords of adult Xenopus laevis frogs. Arrows and numbers indicate the positions and corresponding nominal mol. wts (kDa) of proteins
immunoreactive with the anti-IFA antibody, and with each of the separate antibodies shown. The lane labeled CB shows proteins
from a cytoskeletal extract of adult frog spinal cord, separated on an SDS-gel and stained by Coomassie blue. The lane labeled IFA is a
Western blot of a total protein extract of adult spinal cord separated by SDS-gel etectrophoresis and stained by the anti-IFA antibody.
The other 5 lanes were cut from a single Western blot made from proteins from a cytoskeletal extract of adult spinal cords and stained
with specific antibodies. CB, Coomassie blue; IFA, anti-IFA monoelonal antibody; m KER, rabbit polyclonal antibody to mixed mammalian
cytokeratins; mVIM, rabbit polyclonal antibody to mammalian vimentin; mGFAP, rabbit polyclonal antibody to mammalian
glial fibrillary acidic protein; XGFAP, and XNF-L were monoclonal antibodies made against cytoskeletal extracts of Xenopus laevis
adult central nervous system and were immunoreactive with a 67 kDa GFAP-Iike protein, and a low mol. wr. (73 kDa] neurofilament
protein, respectively (see Materials and Methods for further descriptions of the antibodies).
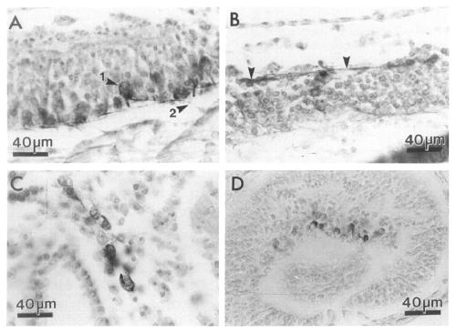
Fig. 2. Immunohistochemical localization of keratin-like immunoreactivity
in the adult spinal cord. A: transversely cut vibratome
section viewed at low magnification. Anti-mammalian
keratin antibody (1:500; mKER) immunoreactivity was most
intense in the meninges (m), and in dense processes lining the
central canal and central ependymal septa (arrowhead at 1). B:
a view at higher magnification of the region near the ventral
central canal from panel A. The arrowhead at 1 points to the
central canal, which was surrounded by intensely immunoreactive
processes extending into the spinal cord grey matter (arrowhead
at 2). In addition to these processes, anti-keratin-like
immunoreactivity was present at scattered locations along the
linings of blood vessels (arrowhead at 3).
Fig. 3. Immunohistochemical localization of vimentin-like immunoreactivity
in the adult nervous system. A: transversely cut
frozen section of adult spinal cord showing intense anti-mammalian
vimentin antibody (1:1000; mVIM) immunoreactivity
throughout all regions of the spinal cord white matter in structures
resembling radial glial processes. B: transversely cut frozen
section from the preoptic area of the hypothalamus, near
the preoptic recess, illustrating mVIM antibody immunoreactivity
in presumptive radial glial processes extending from the
ependymal zone to the pial surface.
Fig. 4. GFAP-Iike (A,B,C,E,F) and neurofilament-like (D) immunoreactive structures in the nervous system of postmetamorphic
frogs. A: radially oriented processes and their associated pial attachments (arrow) in the dorsal white matter of the spinal cord from a
frozen section of an adult frog immunostained with the XGFAP antibody. Adjacent sections stained with the mGFAP antibody were
identical. B: a view of immunoreactive processes in the optic tract (o.t.) and optic nerve (o.n.) in a frozen section cut from the brain of
a juvenile frog and stained with the XGFAP antibody. In neighboring sections, mGFAP antibody immunoreactivity was similar. C:
large axons in a frozen section from the white matter of the medulla surrounded by mGFAP antibody immunoreactivity (1:1500).
XGFAP antibody immunoreactivity in neighboring sections was identical. D: a comparable view from a section approximately 100 pm
away from that shown in panel C, illustrating axons filled with XNF-M antibody immunoreactivity, E: a frozen section cut through a
ventral motor nerve root and immunostained with the mGFAP antibody. Cell bodies, and processes running parallel to the axons were
immunoreactive with the mGFAP antibody, but not the XGFAP antibody. F: cells resembling astrocytes in the spinal cord grey matter
viewed in a frozen section cut from a juvenile frog and stained with the mGFAP antibody (1:1000).
Fig. 5. Comparison of GFAP-Iike (A,B) and vimentin-like (C,D) immunoreactivities in frozen sections from the retina (A,C) and lateral
white matter of the spinal cord (B,D) of adult frogs. In the retina, anti-mammalian GFAP antibody (mGFAP; 1 : 1500) immunoreactivity
was present in radially oriented processes (A), which were most intense in the inner plexiform layer; however, the anti-vimentin
antibody (mVIM; 1:1000) was not immunoreactive with these processes, but did react with scattered processes in the interneuron
layer (C). (The retinal pigmented epithelium is seen on the left, and the retinal ganglion cell layer is to the right.) In contrast to the retina,
in the lateral white matter of the spinal cord, radially oriented processes were immunoreactive with the mVIM antibody (D), but
were unstained by the mGFAP antibody (B).
Fig. 6. XNF-L (A) and XNF-M (B) antibody immunoreactivity
in vibratome sections cut from the spinal cords of adult frogs.
The XNF-L antibody (A) was immunoreactive with neuronal
cell bodies and processes in the grey matter (g) and with axons
in the white matter (w). In the adult, the XNF-M antibody (B)
was primarily immunoreactive with axons.
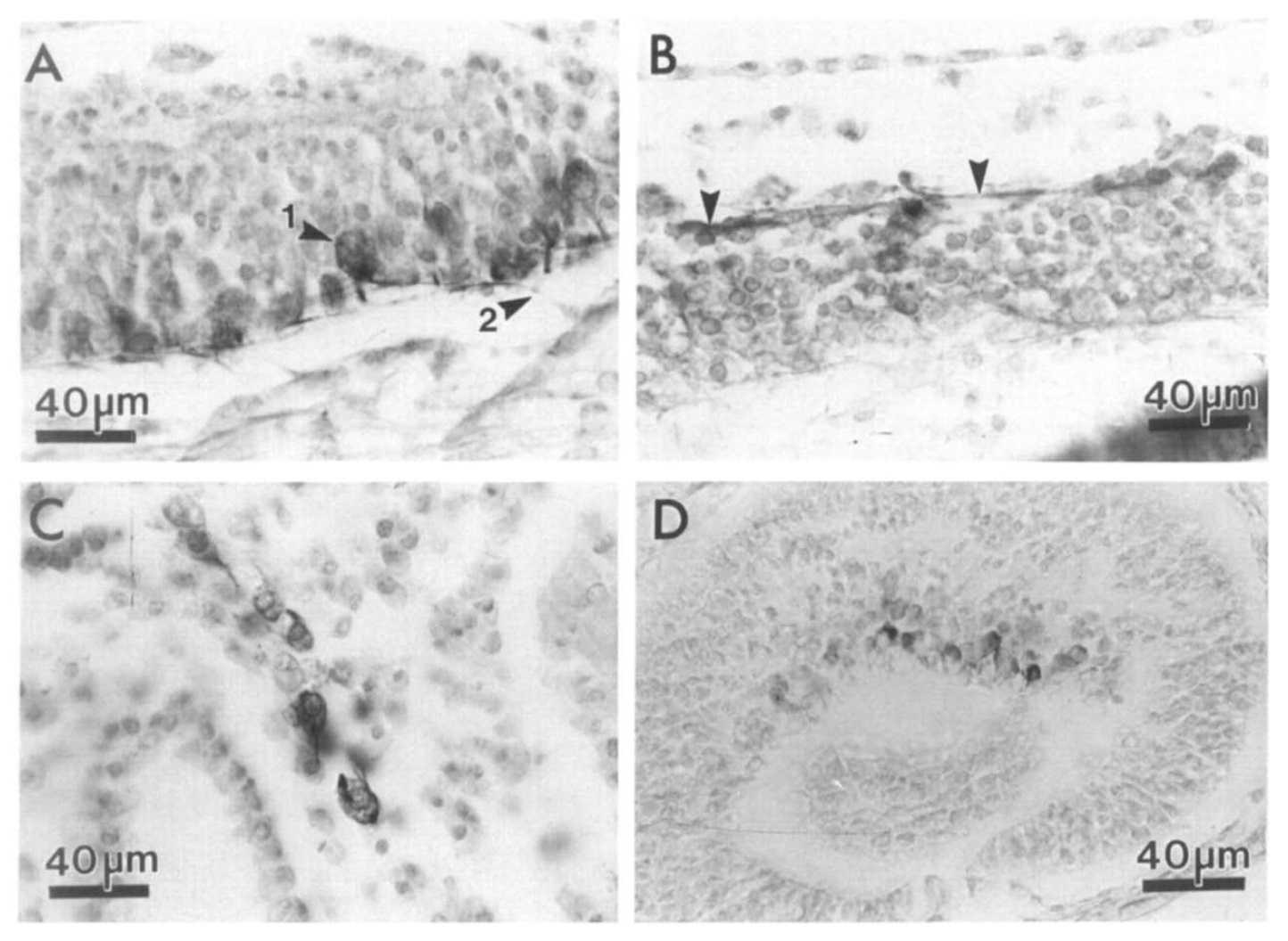
Fig. 7. Keratin-like immunoreactivity at stage 19 in Xenopus
embryos. A: a view at low magnification of mKER (1:500) antibody
immunoreactivity, in a frozen section cut transversely
through the anterior region of a stage 19 embryo. Keratin-like
immunoreactivity was most intense in the prospective epidermis
(1) and was also visible in the lining of the neural tube (2).
B: a view at higher magnification of taKER immunoreactivity
in the lining of the neural tube from panel A.
Fig. 8. Vimentin-like immunoreactivity (1:1000) in developing
Xenopus tadpoles. These and all subsequent sections from developing
tadpoles were cut parasagittal!y. A: mVIM antibody
immunoreactivity in the endfeet of radially oriented processes
(arrowhead) along the ventral surface of the neural tube,
viewed here in a frozen section cut from a stage 24 embryo near
the anterior prospective spinal cord. B: more extensive vimentin-
like immunoreactivity in radially oriented processes in a
frozen section from the spinal cord of a stage 42 tadpole. C:
mVIM antibody immunoreactivity in radially oriented processes
near the inner surface of the retina from a frozen section
of a stage 33/34 embryo, n, neural tube; s, somite; 1, lens: r, retina.
Fig. 9. GFAP-like immunoreactivity in developing Xenopus embryos and tadpoles. A: XGFAP-immunoreactive endfeet of radially
oriented processes were present throughout the central nervous system from the mesencephalon, caudally through the spinal cord, as
viewed in a paraffin section cut from a stage 26 embryo. B: a view of immunoreactive radially oriented processes and their endfeet
from panel A, viewed at higher magnification. C: XGFAP antibody immunoreactivity in the spinal cord of a stage 42 tadpole, cut in
paraffin. D: a radially oriented XGFAP-immunoreactive cell with an attached endfoot (arrowhead) in the ventral rhombencephalon
of a paraffin embedded stage 42 tadpole. E: an XGFAP-immunoreactive cell, whose morphology resembled an astrocyte, located in
the metencephalon of a paraffin embedded stage 42 tadpole. Its processes appeared to be attached to an apparent blood vessel. F:
mGFAP (1:1000) immunoreactive radially oriented processes in a frozen section cut through the retina at stage 42. (At this stage, the
retinal pigmented epithelium is naturally pigmented.)
Fig. 10. A: XNF-M antibody immunoreactivity at stage 26 in cell bodies (1) in the ventral spinal cord and in axons projecting to the somites
(2). B: XNF-M antibody immunoreactivity in cell bodies and axons of Rohon-Beard neurons in the dorsal spinal cord (arrowheads)
of a stage 26 embryo. C: XNF-M antibody-immunoreactive cell bodies and processes in the pathway of the trigeminal nerve at
stage 26. D: XNF-M antibody-immunoreactive cells in the retinal ganglion cell layer of the retina at stage 35/36. All sections were cut
from material embedded in paraffin.