Click here to close
Hello! We notice that you are using Internet Explorer, which is not supported by Xenbase and may cause the site to display incorrectly.
We suggest using a current version of Chrome,
FireFox, or Safari.
Genes Dev
1989 Mar 01;33:324-33. doi: 10.1101/gad.3.3.324.
Show Gene links
Show Anatomy links
Nucleolin from Xenopus laevis: cDNA cloning and expression during development.
Caizergues-Ferrer M, Mariottini P, Curie C, Lapeyre B, Gas N, Amalric F, Amaldi F.
???displayArticle.abstract??? Nucleolin is a key nucleolar protein in higher eukaryotic cells and is involved directly in ribosome biogenesis. Using an antiserum raised against hamster nucleolin, the homologous protein was detected in nucleoli of Xenopus laevis hepatocytes as well as in the amplified nucleoli of oocytes. A cDNA encoding Xenopus nucleolin has been isolated and sequenced. The deduced protein sequence reveals similar domains in Xenopus and in mammals, but they have undergone separate evolutions. In particular, each of the four RNA-binding domains has evolved differently--the carboxy-proximal domain is twice as conserved (87%) as the amino-proximal domain (42%). These data shed some light on the possible roles of each domain. The expression of nucleolin has been followed throughout oogenesis and embryogenesis. The appearance of nucleolin during early development precedes the transcription of rDNA and the synthesis of ribosomal proteins. The maximal accumulation of nucleolin at gastrulation coincides with nucleolar reformation. Furthermore, when ribosomal synthesis is activated during oogenesis and embryogenesis, peptides immunorelated to nucleolin appear and accumulate. The results suggest that nucleolin plays a role not only in ribosome assembly but also in nucleologenesis.
???displayArticle.pubmedLink???
2656405 ???displayArticle.link???Genes Dev
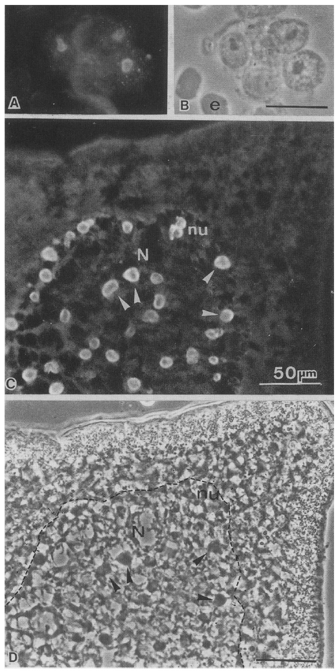
Figure 1. Nucleolin localization. Indirect immunofluorescence
microscopy on isolated liver nuclei from Xenopus using
the purified antiserum raised against CHO nucleolin (A) and
corresponding phase contrast (B). Nucleoli are stained positively.
Erythrocytes are not stained (e). Frozen section of
Xenopus ovary (C) showing part of an oocytenucleus (N) with
numerous nucleoli after incubation with anti-nucleolin antibody.
The amplified nucleoli (nu) at this stage (st. IV) are
strongly fluorescent. (D) Phase contrast: the nucleus is circled.
Bar, 50 ~m.
Figure 2. Detection of nucleolin in X. laevis. Protein analysis.
(Lanes 1, 2, 4, and 5) Protein extracts separated on a 10% SDSPAGE
and electroblotted were probed using an antiserum
raised against CHO nucleolin. Detection of the complexes was
achieved either by 12SI-labeled protein A {lanes I and 2), or by a
second antiserum coupled to alkaline phosphatase (lanes 4 and
5). (Lane 3) Protein phosphorylation was obtained with an endogenous
kinase contained in a low-ionic-strength extract of
Xenopus hepatocyte nuclei and addition of [~/-32P]ATP. Proteins
were separated as before, then the gel was dried and autoradiographed
for 4 hr at - 70~ with an intensifying screen. (Lane 1)
As a control, 0.2 ~g of nucleolin purified from CHO cells was
run in parallel. (Lane 2) Low-ionic-strength extract from nuclei
of Xenopus hepatocytes. (Lane 4) Protein extract corresponding
to 10 oocytes from stage I to III, roughly separated from the yolk
[see Materials and methods). [Lane 5) Same as in lane 4, but
with oocytes from stage IV to VI. Numbers on the left refer to
the molecular weight of the peptides, in kD.
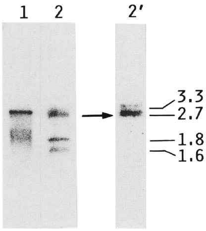
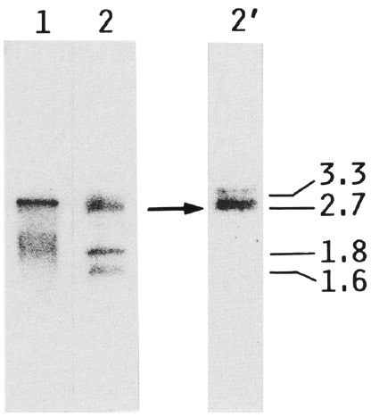
Figure 3. Northern blot analysis. RNA was isolated, separated
under denaturing conditions in a formaldehyde-1% agarose
gel, blotted onto nitrocellulose filter, and then hybridized with
different probes. CHO nucleolin cDNA was used to probe total
RNA purified either from CHO cells as a control (lane 1) or
from Xenopus oocytes (lane 2). Xenopus nucleolin cDNA was
used to probe Xenopus oocyte RNA [lane 2').
Figure 4. Xenopus nucleolin: pXomN1 DNA sequence and deduced amino acid sequence. Numbers above the DNA sequence refer
to the nucleotides while numbers underlined on the right refer to the amino acid residues. Acidic tracts are in boldface type. The three
serine residues that are candidates for the phosphorylation sites are boxed. The potential nuclear translocation signal, similar to the
prototype signal of SV40 large T antigen (Kalderon et al. 1984) is underlined by stars. This signal is located just downstream from the
last acidic stretch as in the Xenopus protein N038 tSchmidt-Zachmann et al. 1987). The four RNA-binding consensus sequences,
centered on the residues at postions 149, 238, 327, and 417, are in boldface type and underlined. The glycine-rich domain at the
carboxyl terminus is in boldface type. The polyadenylation signal is boxed.
Figure 5. Alignment of the four RNA-binding domains of Xenopus nucleolin with those of CHO nucleolin (R I to R IV). Numbers on
the left refer to the position of the first residue of a line. The consensus sequence indentified previously is in boldface type. Sequences
were aligned allowing some gaps (.) to get the best matches (*).
Figure 6. Northern blot showing nucleolin mRNA accumulation
during oogenesis and embryogenesis. Total RNA corresponding
to 0.5 oocyte or embryo was separated by electrophoresis
in a denaturing formaldehyde-1% agarose gel, blotted
onto nitrocellulose filter, and hybridized under stringent conditions
with nick-translated Xenopus nucleolin cDNA as a probe.
(a) Stages I to VI of oogenesis according to Dumont 1972. Autoradiography
was carried out for 20 hr at - 70~ with an intensifying
screen (XM film from 3M). (b) Stages 3 to 40 of embryogenesis
according to Nieuwkoop and Faber (1956). Autoradiography
was carried out for 10 hr.
Figure 7. Relative expression of rRNA, nucleolin, and r-protein mRNAs during embryogenesis. [A) Total RNA corresponding to two
embryos of each stage was analyzed by dot-blot and hybridization with different DNA probes: nucleolin (Nucl.), two r-proteins (rp-S8
and rp-L1 }, and rDNA (rRNAJ. (BJ Quantitative data were obtained for nucleolin and r-protein $8 by densitometric scanning of the
autoradiograms, the values from four independent experiments have been plotted. Average values for each stage are expressed in
percent of the value of the stage with the highest score, rpS8 mRNA {O-O); nucleolin mRNA [@--O).
Figure 8. Polysome/mRNP distribution of nucleolin and r-protein mRNA. Cytoplasmic fractions of 15 embryos of stage 18 and 36
were run through sucrose gradients. RNA was extacted from gradient fractions and analyzed by dot-blot hybridization with probes for
nucleolin, or for r-protein ($8} mRNA. The percent of mRNA in polysomal or mRNP fraction was determined by densitometric
scanning of the autoradiogram.
Figure 9. Fate of nucleolin during embryogenesis. Total protein extracts of 10 embryos were prepared in the presence of protease
inhibitors as described in Materials and methods. (A) Proteins corresponding to one embryo per lane were electrophoresed on a 10%
SDS-PAGE. The amount of protein per lane increases from 10 v-g for stage 8 to 100 ~g at stage 46. The gel was blotted onto
nitrocellulose, probed with purified IgG directed against nucleolin of CHO, then stained with 12SI-labeled protein A. The filter was
exposed for 20 hr at - 70~ with an intensifying screen. Lanes: (C) Control lane, 0.2 wg of purified CHO nucleolin; (8-46) embryo
stage according to Nieuwkoop and Faber (1956). (B) Endogenous phosphorylation of nucleolin in embryonic extracts. Same protein
extracts as in A were incubated in the presence of [~-32p]ATP. Proteins were separated on a 10% SDS-PAGE. The gel was dried and
autoradiographed for 4 hr at room temperature. (Lanes 8-32) Embryo stages. Numbers in the middle refer to the peptides in kD.