|
Figure 1. Sequence of the Xenopus twist-related cDNA 118
The two overlapping poly(A) addition signals are underlined. Asterisk indicates translation stop. |
|
Figure 2. Comparison of the Predicted Protein
Sequences of Drosophila twist and Xenopus
Xtwi
The Xtwi protein is homologous to parts of the
C-terminal region of twist. The bold box surrounds
the DNA binding and dimerization domain
as defined by Murre et al. (WQQ), and the
light box another region of similarity. Double
dots indicate identities, single dots indicate
conservative substitutions, and dashes indicate
spaces inserted to improve the match. |
|
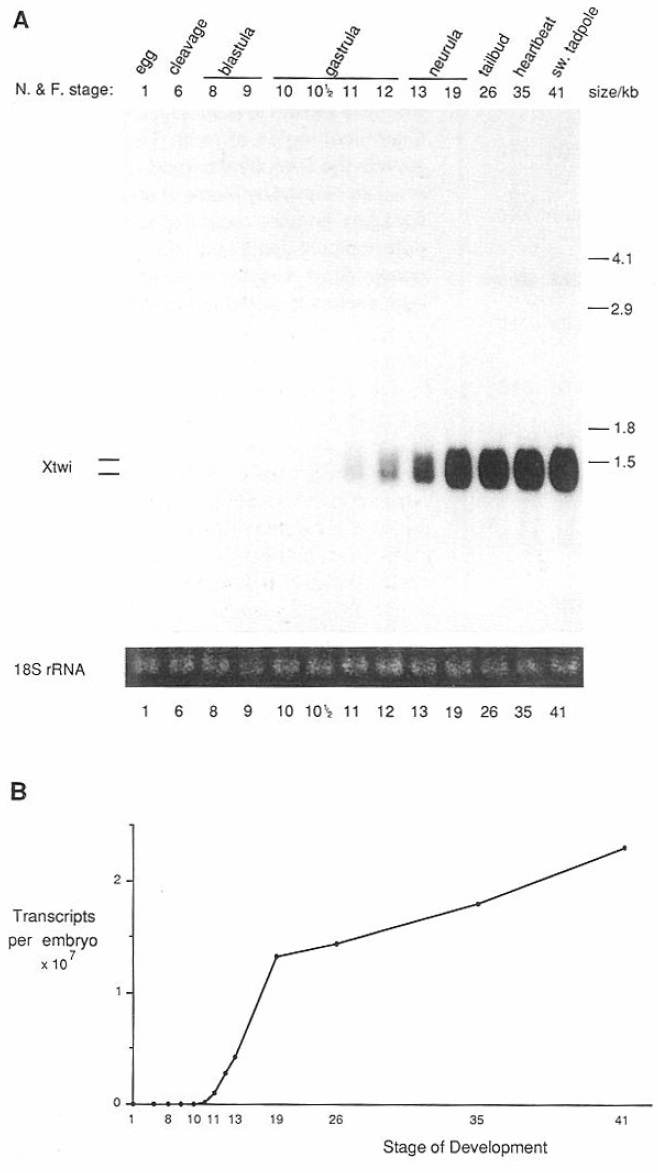
Figure 3. Expression of Xtwi through Early Xenopus Development
(A) Northern blot containing 10 pg of total staged (Nieuwkoop and
Faber, 1997) embryo RNA per lane probed with random-primed fragments
(Feinberg and Volgelstein, 1983) made from the tl8 cDNA.
Ethidium bromide staining of the 18s rRNA shows roughly equal loading.
(6) Graph of numbers of Xtwi transcripts per embryo through da
velopment based on densitometry of appropriately exposed autoradio
graphs of the blot shown in (A). The line plotted refers to one class of
transcripts, and so the total number of Xhvi transcripts is about double
the value shown. |
|
Figure 4. Xtwi Expression in Tailbud (Stage
26) Embryos
(A) and (B) are Northern blots of RNA from dissected
embryo parts hybridized successively
with probes made from tl6, a cardiac actin
gene-specific sequence (Mohun et al., 1964),
and a cDNA encoding the translation factor EFla,
which is expressed in all cells (Krieg et al.,
1969). The cardiac actin probe detects transcripts
only in muscle, and the EF-la probe
shows the relative amounts of total RNA in
each sample. In (A), the rest of the head actually
consisted of the internal head cells left after
the other parts had been dissected away,
and thus contained various cell types, including
mesoderm and neural crest. In (B), although
both cardiac actin and Xtwi are expressed
in the somite fraction, cardiac actin is
probably restricted to the myotome, and Xtwi to
loose mesenchymal cells next to the notochord,
possibly the sclerotome (see text and
Figure 9C). The whole embryo sample contains
an amount of total RNA similar to that
in the dissected tissue samples, which are
pooled from several embryos. lat mes, lateral
mesoderm. |
|
Figure 5. The Dorsal Axial Structuresof a Late
Neurula (Stage 16)
The pictures show (A) the mesodermal and (B)
the ectodermal layers exposed by dissection
and viewed from the ventral side. Anterior is to
the left. Scale bars represent 400 urn. |
|
Figure 6. Northern Analysis of Dissected Parts of Stage 16 Neurectoderm
The blot was probed as described in the legend to Figure 4. The neural
crest sample contains RNA from the segments of the cephalic neural
crest shown in Figure 5. The dorsal (dl) mesoderm sample analyzed
for comparison includes somites and notochord. |
|
Figure 7. Xtwi Expression in Midneurulae
Transverse sections of stage 14-16 embryos
hybridized with Xtwi ([A) and [C)) and cardiac
actin ([B) and [D)) probes. (A) and (B) are sections
about a quarter of the way through the
embryo from the anterior end, at the level of the
most anterior somites. In such sections Xtwi is
expressed in the lateral plate (lp) and in the
notochord (n), in contrast to cardiac actin, which
is expressed only in the somites (s). In (A),
labeling by Xtwi of the forming neural crest is
just detectable (unlabeled arrows). Sections
cut about halfway through the embryo show
Xtwi expression restricted to the notochord (C)
and cardiac actin in only the somites (D). |
|
Figure B. Xtwi Is Expressed in the Mesoderm
and Neural Crest of Late ·Neurulae
transcripts (Figure 48). Apart from the neural crest, the
only tissues labeled by Xtwi at these early stages are of
mesodermal origin. It might be thought that a low level of
(A) and (B) are sections a quarter of the way, (C)
and (D) a third of the way, and (E) and (F) about
halfway through stege 18-19 embryos counting
from the anterior end, hybridized with Xtwi
and cardiac actin probes. Note the strong expression
of Xtwi in the an1erior neural crest
(nc). Mesodermal labeling by Xtwi is restricted
to the notochord (n) and anterior lateral plate
mesoderm (lp), whereas cardiac actin labels
only the somites (s). |
|
Figure 9. Xtwi Expression in Tailbud Embryos
(A) and (B) are sections from stage 23-24 embryos
one-tenth and one-fifth from the anterior
end, showing patches of labeled tissue corresponding
to neural crest cells that have migrated
into the head. (C) and (E) are middle and
posterior sections, respectively, from a stage
27-28 embryo showing labeling in (C) of paranotochordal
mesenchyme (m; possibly the
sclerotome, see text), and in (E) of the notochord
and lateral plate mesoderm (lp), as illustrated
by the diagram (D). nt, neural tube; s, somites. |
|
Figure 10. Xtwi Expression Is Activated in Response to Two Successive
Inductions
Northern blots were probed with Xtwi and EMa probes (see legend
to Figure 4). (A) Stage 3 l/2 blastulae were dissected into animal,
equatorial, and vegetal pieces, and these cultured with control stage
13. Animal and vegetal pieces were also cultured in combination. (B)
Early gastrulaectoderm (ect) was cultured alone or in combination with
mesoderm (mns) from the dorsal (dl) or ventral (VI) sides of midgastrulae
until control embryos reached the tailbud stage. The mesoderm
was then removed before analysis of the ectoderm fragments. The
whole embryo sample included for comparison contains an amount of
total RNA similar to that in the ectoderm fragments. |