Click here to close
Hello! We notice that you are using Internet Explorer, which is not supported by Xenbase and may cause the site to display incorrectly.
We suggest using a current version of Chrome,
FireFox, or Safari.
???displayArticle.abstract???
We have investigated the expression and distribution of talin and vinculin in the oocytes, eggs, and embryos of Xenopus laevis. Antibodies to the previously characterized avian proteins stain several different Xenopus cell types identically by immunofluorescence: adhesion plaques of cultured kidney (A6) cells, the cell peripheries of oviduct cells, and the postsynaptic neuromuscular junctions of tadpoletailmuscle fibers. These antibodies also identify cognate proteins of the appropriate sizes on immunoblots of A6 cell and oviduct lysates. Using these antibodies on ovarian tissue, we find talin to be highly localized at the cortices of oocytes and vinculin to be in the oocytecytoplasm and absent from the oocyte cortex. In the cells of the ovarian layers that surround the oocytes, talin and vinculin can be detected as soluble and cytoskeletal components. Vinculin is first detectable as a cytoskeletal component in eggs, appearing some time during or between oocyte maturation and oviposition. During early embryo development, talin and vinculin are colocalized in the cortex of cleavage furrows and blastomeres. Thus, Xenopus oocytes and eggs display different distributions of talin and vinculin. The change from unlinked localization to colocalization appears to be developmentally regulated, occurring during the transition from oocyte to egg.
FIG. 1. Immunofluorescent staining of A6 cells, sectioned Xenqpus oviducttissue, and a whole mount of Xenopus tadpoletailmuscle with
anti-talin and anti-vinculin antibodies. Panels A and B show corresponding views of fixed permeabilized cultured Xaopus A6 kidney epithelial
cells double-labeled with rabbit anti-talin polyclonal antibodies and mouse anti-vinculin monoclonal antibodies, respectively. Panels C and D
show a section of oviduct double-labeled with mouse anti-talin monoclonal antibodies and rabbit anti-vinculin polyclonal antibodies, respectively.
Panels E and F show a piece of whole-mounted tadpoletailmuscle double-labeled with rabbit anti-talin polyclonal antibodies and mouse
anti-vinculin monoclonal antibodies. Arrows in panels E and F indicate the termini of a single muscle fiber where postsynaptic neuromuscular
junctions are. Bars = â7 pm for panels A and B, 26 pm for panels C and D, and 64 pm for panels E and F, respectively.
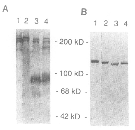
FIG. 2. Immunoblot analysis of chick embryo fibroblast, A6, and
Xenopus oviduct proteins. Mixtures of various chick embryo fibroblast,
A6 cell, and oviduct proteins were resolved on a 6% SDS-polyacrylamide
gel, blotted to Immobilon transfer membrane, and reacted
with antibodies. Blot A was reacted to the rabbit anti-talin polyclonal
antibodies; blot B was reacted to the mouse anti-vinculin monoclonal
antibodies. Lanes l-4 correspond to chick embryo fibroblast whole
lysate, A6 cell whole lysate, oviduct detergent-solubilized extracts,
and oviduct cytoskeletal extracts, respectively. Protein standards are
myosin H-chain (206 kDa), phosphorylase B (106 kDa), bovine serum
albumin (68 kDa), and ovalbumin (42 kDa); these molecular weight
standards are used throughout the paper.
FIG. 3. Immunofluorescent staining of sectioned Xenopus oocyte
with anti-talin and anti-vinculin antibodies. Panels A and B show a
sectioned Xenopus oocyte double-labeled with rabbit anti-talin polyclonal
antibodies and mouse anti-vinculin monoclonal antibodies, respectively.
Panel C shows a similar section treated with nonimmune
antibodies. Bar = 28 pm.
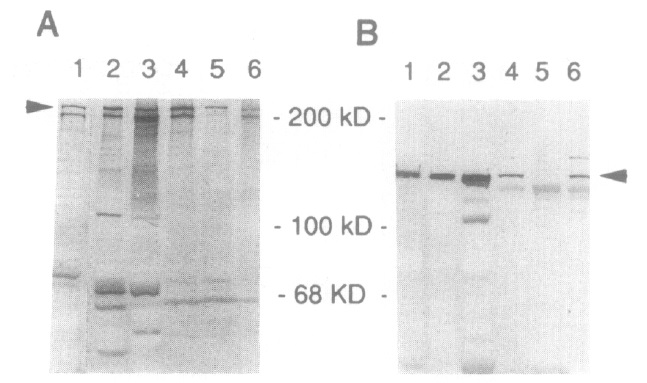
FIG. 4. Immunoblot analysis of Xenqpus ovary, oocytes, and ovarian
sheathes. Mixtures of detergent-solubilized and cytoskeletal extracts
from ovary, oocytes, and ovarian sheathes were resolved on a 6%
SDS-polyacryamide gel, blotted to Immobilon transfer membrane,
and reacted with antibodies. Blot A was reacted to rabbit anti-talin
polyclonal antibodies; blot B was reacted to mouse anti-vinculin
monoclonal antibodies. Lanes l-3 correspond to detergent-solubilized
extracts of ovary, oocyte, and ovarian sheathes; lanes 4-6 correspond
to cytoskeletal extracts of the same tissues. The arrow on the left
points out the bands corresponding to talin; the arrow on the right
points out the bands corresponding to vinculin.
FIG. 5. Immunofluorescent staining of sectioned Xenom egg with anti-talin and anti-vinculin antibodies. Panels A and B show a sectioned
Xenopus egg double-labeled with rabbit anti-talin polyclonal antibodies and mouse anti-vinculin monoclonal antibodies, respectively. Panel C
shows the corresponding phase-contrast image; panel D shows a similar section treated with nonimmune serum. Bar = 28 pm.
FIG. 6. Immunofluorescent staining of sectioned Xen0pu.s two-cell
embryo with anti-talin and anti-vinculin antibodies. Panel A shows a
sectioned Xenopus two-cell embryo labeled with rabbit anti-talin
polyclonal antibodies. Panel B shows an adjacent section reacted with
mouse anti-vineulin monoclonal antibodies. The region shown is from
the vegetal hemisphere; first cleavage is nearly complete. Bar = 17
pm.
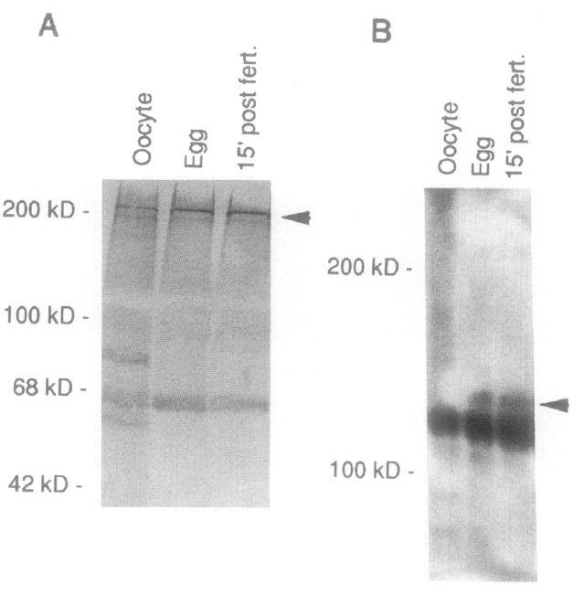
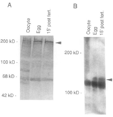
FIG. 7. Immunoblot analysis of Xenqnus oocyte, egg, and embryo
proteins. Mixtures of cytoskeletal extracts from oocytes, eggs, and
embryos 15 min after fertilization were resolved on 6% SDS-polyacrylamide
gels, blotted to Immobilon transfer membrane, and
reacted with antibodies. Blot A was reacted to rabbit anti-talin polyelonal
antibodies; blot B was reacted to mouse anti-vinculin monoclonal
anti-bodies. Blot B was run farther to separate vinculin (116 kDa)
from the yolk proteins (110 kDa). The broad bands of yolk proteins are
occasionally prevalent in our cytoskeletal extracts and react with
immune and nonimmune serum. The arrow on blot A points out the
bands corresponding to talin; the arrow in blot B points out the bands
corresponding to vinculin.