Click here to close
Hello! We notice that you are using Internet Explorer, which is not supported by Xenbase and may cause the site to display incorrectly.
We suggest using a current version of Chrome,
FireFox, or Safari.
???displayArticle.abstract???
The coding sequence of the proliferating cell nuclear antigen (PCNA) was characterized in the amphibian Xenopus laevis. The deduced protein sequence shares an extensive homology (89%) with the mammalian PCNA coding sequences. Xenopus PCNA is expressed beginning in early oogenesis and reaches a level of 3 X 10(7) transcripts per mature oocyte, whereas proliferative somatic cells contain 3 X 10(2) PCNA transcripts per cell. Most of the PCNA protein is expressed during late oogenesis and one single stage VI oocyte contains the amount of PCNA protein present in 4 X 10(5) somatic cells in culture. Thus most, if not all, of the PCNA required for early development is stored as a maternal gene product. Part of the mRNA stockpile is degraded during the cleavage stage and then new PCNA zygotic expression at the neurula stage maintains a constitutive value of 30 transcripts per cell until the tailbud stage. The maternal protein is maintained at a constant level during embryonic development at least until the swimming tadpole stage. The protein is localized in the nuclei at all stages of oogenesis and development that were examined.
Fig. 1. DNA sequence and predicted amino acid sequence of the 1033-bp cDNA Xenopus laevis PCNA clone. Nucleotides are numbered in the 5' to 3' direction. The AATAAA polyadenylation signal and the consensus initiator sequence are underlined.
FIG. 2. Comparison between Xenopus, rat, and human deduced
PCNA protein sequences. Stars indicate nonconserved positions
throughout sequences. Rat and human amino acid deduced sequences
(Matsumoto et al, 1987; Almendral et a& 1987) were obtained from
Genbank.
FIG. 3. Expression and quantification of Xm PCNA mRNA during oogenesis and embryonic development. (A) For each stage of oogenesis
and development analyzed, 10 rg of total RNA were prepared, fractionated on a formaldehyde agarose gel and transferred to nylon membranes
(Materials and Methods). Hybridization was with a 82P-labeled â716-base single-stranded Xenqpus PCNA anti-sense DNA probe. Ten micrograms
of RNA extracted from proliferative Xenopus A6 cells were processed on the same gel. (B) Quantification was as detailed in Materials and
Methods, using multiple exposures of the Northern blot and is expressed as a mean number of transcripts per embryonic cell (A) or per oocyte
and embryo (0). The number of cells per embryo for each stage was taken from Dawid (1965). I-VI, stages of oogenesis; E, egg: M, morula; B,
blastula; G, gastrula; N, neurula; T, tailbud; ST, swimming tadpole.
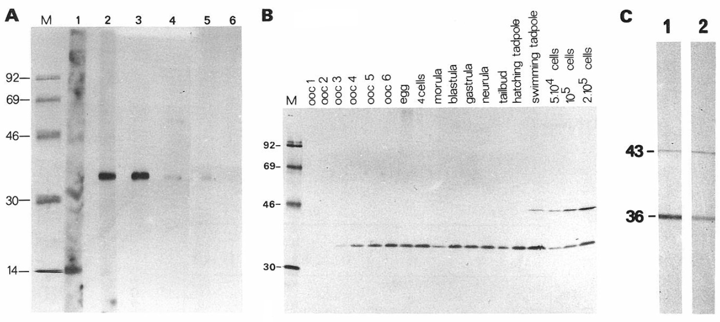
FIG. 4. Expression of Xenopz~~ PCNA protein during oogenesis and embryonic development. (A) Detection of Xenopu.s PCNA protein: the
extract corresponding to one stage VI oocyte was analyzed by SDS-polyacrylamide gel electrophoresis followed by transfer onto nitrocellulose
membranes (Materials and Methods). Proteins were probed either with an antibody against human PCNA (lane 2), with an antipeptide
antibody raised against human PCNA N-terminus (lane 3), or with an antipeptide antibody against human PCNA C-terminus (lane 4). In lanes
5 and 6 proteins were probed with the latter two antibodies that had been preincubated with their N-terminal and C-terminal peptides,
respectively. In lane 1 proteins were probed with nonimmune serum. The molecular mass of PCNA was determined by comparison with
molecular mass markers run in parallel (lane M). (B) For each stage of oogenesis and development, protein extracts equivalent to 0.5 oocyte or
0.5 embryo were separated by electrophoresis in SDS-polyacrylamide and then transferred to nitrocellulose membranes. Immunoblots were
probed with the wGSIL antibody (Materials and Methods). Xenopus A6 actively growing cells (three right lanes) were processed as described
above and analyzed in the same experiment. The slight decrease in PCNA in the morula and tailbud stages was not observed in other
experiments. (C) Control of the noncross reactivity of the (u-GSIL antibody with the 43-Kda antigen: the same amount of protein extract from
swimming tadpole stage embryo was analyzed by immunoblotting. Lane 1 was probed with the wGSIL serum, lane 2 was probed with the same
serum previously depleted with the 36 Kda antigen (Material and Methods).
FIG. 5. Localization of PCNA protein in oocytes and embryos. Immunolocalization with wPCNA antibody was with oocyte and embryo cut
sections as described under Materials and Methods. (A) Overview of a cut section of oocytes from stages II to VI of oogenesis (Dumont, 1972). (B)
Immunoblotting analysis with the wGSIL antibody of cytoplasmic (lane 1) and germinal vesicle (lane 2) fractions of an oocyte stage VI. (C) and
(D) are enlargements of oocytes stage VI after incubation with a-PCNA and rabbit nonimmune serum, respectively. (E) Cut section of a
gastrula. Arrows indicate the nuclei.