Click here to close
Hello! We notice that you are using Internet Explorer, which is not supported by Xenbase and may cause the site to display incorrectly.
We suggest using a current version of Chrome,
FireFox, or Safari.
Dev Biol
1990 Oct 01;1412:270-8. doi: 10.1016/0012-1606(90)90383-t.
Show Gene links
Show Anatomy links
Elongation factor 1 alpha (EF-1 alpha) is concentrated in the Balbiani body and accumulates coordinately with the ribosomes during oogenesis of Xenopus laevis.
Viel A, Armand MJ, Callen JC, Gomez De Gracia A, Denis H, le Maire M.
???displayArticle.abstract???
In Xenopus laevis oocytes two distinct systems catalyze the mRNA-dependent binding of aminoacyl tRNA to the A site of ribosomes. These systems are elongation factor 1 alpha (EF-1 alpha) and the 42S nucleoprotein particle. This particle is also implicated in the long-term storage of 5S RNA and aminoacyl tRNA during early oogenesis. We report here that the ribosomes and the storage particles are distributed uniformly in the cytoplasm of previtellogenic (stage I) oocytes. In contrast, EF-1 alpha is concentrated in a small region of the cytoplasm, known as the mitochondrial mass or Balbiani body. When the Balbiani body disperses in early vitellogenic oocytes (stage II), EF-1 alpha becomes evenly distributed in the cytoplasm. The main phase of EF-1 alpha accumulation follows the disappearance of the 42S particles (stage II), but coincides with the main phase of ribosome accumulation (stages III and IV).
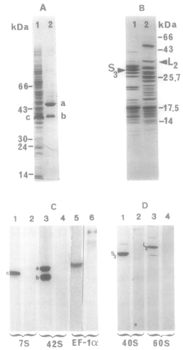
FIG. 1. Control of antiserum specificity by immunoblotting. Total
protein from 4-7s and 42s fractions (A and C) and from ribosomal
subunits (B and D) was fractionated by electrophoresis in polyacrylamide
gels containing 0.1% SDS, and either stained with Coomassie
blue (A and B) or transferred to nitrocellulose and probed with
various antisera (C and D). (A) Lane 1: 4-7s fraction; lane 2: 42s fraction.
(B) Lane 1: purified 40s ribosomal subunit; lane 2: purified 60s
ribosomal subunit. (C) Lanes 1 and 2: 4-7s fraction probed with an
anti-TFIIIA serum (1) or a nonimmune serum (2); lanes 3 and 4: 42s
fraction probed with an anti-thesaurin a + b serum (3) or a nonimmune
serum (4); lanes 5 and 6: 4-7s fraction probed with an anti-EFla
serum (5) or a nonimmune serum (6). (D) Lanes 1 and 2: protein
from 40s subunit probed with an anti-40s serum (1) or a nonimmune
serum (2); lanes 3 and 4: protein from 60s ribosomal subunit probed
with an anti-60s serum (3) or a nonimmune serum (4). Bands a, b, and
c correspond to thesaurin a, thesaurin b, and TFIIIA, respectively.
Bands S, (M, = 29 kDa) and L, (M, = 40.5 kDa) correspond to ribosomal
proteins S3 and L2 (Pierandrei-Amaldi and Beccari, 1980). The
antigen-antibody complexes were revealed with [‘25I] protein A followed
by autoradiography (2 days for the 7s sample, 4 days for the
ribosome samples and 7 days for the 42s sample).
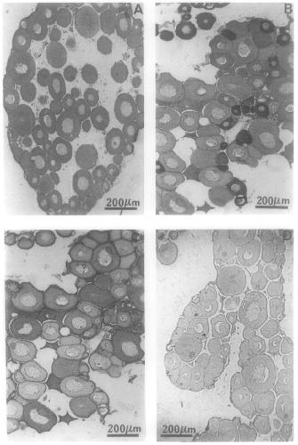
FIG. 2. Immunolocalization of TFIIIA, thesaurins a + h, and ribosomal protein on sections of immature ovaries. (A) Staining with an
anti-TFIIIA serum. (B) Staining with an anti-thesaurin a + b serum. (C) Staining with an anti-60s subunit serum. (D) Staining with a
nonimmune serum. The antigen-antibody complexes were revealed by a color reaction catalyzed by peroxidase.
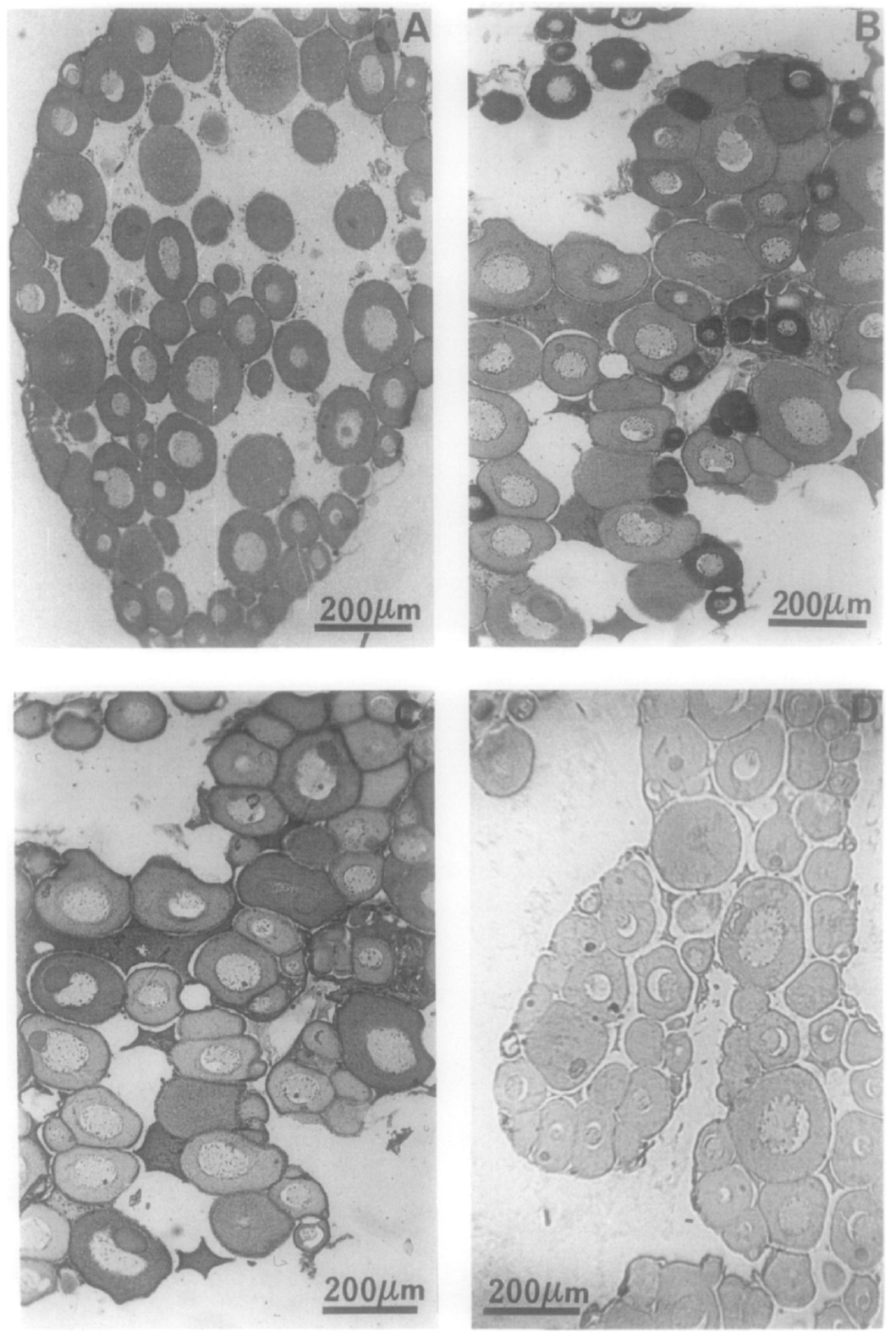
FIG. 3. Immunolocalization of EF-la on sections of immature ovaries. (A) Staining with an anti-EF-la serum. (B) Staining with a nonimmune
serum. (C) Staining with an anti-EF-la serum preincubated in pH 7.4 buffer containing glycerol. (D) Staining with an anti-EF-la serum
preincubated in the same buffer as in C, but containing purified EF-la (1 mg/ml). The arrow marked Mm points to the mitochondrial mass. V
indicates vitellogenic oocytes.
FIG. 4. Variation in protein concentration as a function of oocyte diameter. (A) Densitometric recording of the ovary sections stained with
various antisera (Fig. 2). For each antiserum, the diameter and absorbance of 200-300 oocytes were measured. Three clouds of points were
obtained through which the curves of apparent antigen concentration were drawn. (B) Direct measurement of protein concentration in vitellogenie
oocytes. Batches of cells sorted out by size were homogenized and fractionated by sucrose density centrifugation. The amounts of 42s
particle and ribosomal protein per cell were measured by uv absorption. The relative amounts of EF-lol were determined by a quantitative
immunoassay. Each point with error bar in B is the average of three measurements on different batches of oocytes.
FIG. 5. Time course of protein accumulation during oogenesis of X laevis. The time intervals are taken from Callen et al. (1980a, b). Roman
numerals refer to stages according to Dumont (1972). The curves showing protein accumulation in stages II-V oocytes (solid lines), except those
relative to total cytosolic protein, were obtained by transposing the data of Fig. 4B. The data concerning the previtellogenic period (dashed
lines) are taken from Fig. 4A, using the absolute amounts of protein in 300-rrn oocytes (Fig. 4B) as starting points to calculate the amounts of
protein in smaller oocytes.